What are the six major types of epithelial cells that line the intestine?
Even Cows Get Pussy Every Monday

These cells are tall and columnar with luminal microvilli; contain surface glycocalyx (houses the digestive and absorptive enzymes)
Enterocytes

These cells are progenitor cells that replace all of the other epithelial cell types; little or no digestive capability; have short, sparse microvilli
Undifferentiated crypt epithelial cells
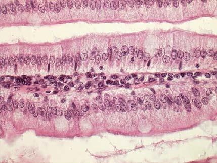
What do we observe in this image?

Absorptive enterocytes
Identify the structures within the box.

Intestinal crypts
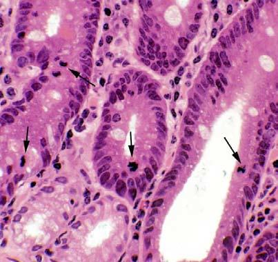
Identify the cells indicated by the arrows

Intestinal epithelial stem cells
These are present within the crypts thoughout the GI tract
These cells secrete mucus; present in villi and crypts; numbers tend to increase aborally throughout the length of the intestine
Goblet cells

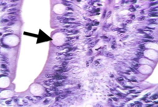
Identify the cell

Goblet cell
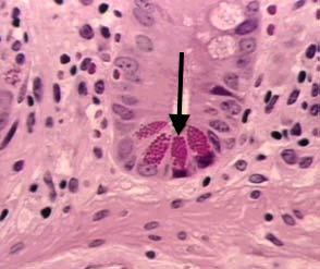
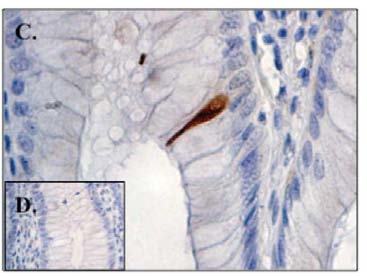
Identify the cell indicated by the arrow

paneth cell
Where are enteroendocrine cells found primarily?

the crypts
What is the function of M-cells?
Uptake of protein and peptide antigens from the intestinal lumen and transport to the gut-associated lymphoid tissue
Portal of entry for some pathogens
Identify the cell indicated by the arrow

M cell
The small intestine has villi and intestinal glands also known as __________
Crypts of Lieberkühn
Identify ‘A’ in this H&E section of the jejunum

lamina propria
Identify ‘B’ in this H&E section of the jejunum

tall cylindrical villi
Identify ‘C’ in this H&E section of the jejunum

crypts
Identify ‘D’ in this H&E section of the jejunum

submucosa
Identify ‘E’ in this H&E section of the jejunum

muscularis: inner circular layer
Identify ‘F’ in this H&E section of the jejunum

muscularis: outer longitudinal layer
Identify ‘G’ in this H&E section of the jejunum

serosa
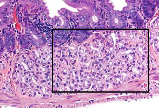
Identify the structures within the box in this H&E section of the submucosal region of the duodenum

Brunner’s glands (duodenal glands)
only present in the duodenum!
Identify the structures within the box.
Where are they found?

peyer’s patches (lymphoid aggregates)
Found in the Ileum
Identify ‘A’ in this H&E section of the jejunum.

villus
Identify ‘B’ in this H&E section of the jejunum.

submucosa