Fixed Bridges Flashcards

(51 cards)

1
Q

define fixed dental prosthesis

A

“Any dental prosthesis that is luted, screwed or mechanically attached to natural teeth, tooth roots, and/or dental implant abutments providing the primary support for the dental prosthesis”

How well did you know this?
1
Not at all
2
3
4
5
Perfectly
2
Q

What are the components of a fixed dental prosthesis?

A

Abutments, pontics, and retainers.

How well did you know this?
1
Not at all
2
3
4
5
Perfectly
3
Q

What are abutments?

A

Teeth or implants that directly receive pressure from the prosthesis.

How well did you know this?
1
Not at all
2
3
4
5
Perfectly
4
Q

what is the retainer?

A
How well did you know this?
1
Not at all
2
3
4
5
Perfectly
5
Q

what is an abutment?

A

Abutment: That part of a structure that directly receives the pressure, the abutments can either be natural teeth or abutment component in a dental implant.

How well did you know this?
1
Not at all
2
3
4
5
Perfectly
6
Q

what are the 2 types of abutments?

A
How well did you know this?
1
Not at all
2
3
4
5
Perfectly
7
Q

What is a pontic?

A

Pontic: An artificial tooth on a fixed dental prosthesis that replaces a missing natural tooth, restores its function, and usually fills the space previously occupied by the clinical crown

How well did you know this?
1
Not at all
2
3
4
5
Perfectly
8
Q

What are the types of pontic designs?

A

Modified ridge lap, sanitary, and ovate.

How well did you know this?
1
Not at all
2
3
4
5
Perfectly
9
Q

What is a modified ridge lap pontic?

A

A pontic design that is the most common type.

contact with ridge buccaly

How well did you know this?
1
Not at all
2
3
4
5
Perfectly
10
Q

What is an ovate pontic?

A

A pontic design requiring soft tissue surgery, mostly used for anterior teeth.

How well did you know this?
1
Not at all
2
3
4
5
Perfectly
11
Q

What is a sanitary pontic?

A

A pontic design that allows space for cleaning underneath.

no contact with ridge at all

How well did you know this?
1
Not at all
2
3
4
5
Perfectly
12
Q

What is the purpose of retainers in a prosthesis?

A

To cement the bridge to the abutments.

How well did you know this?
1
Not at all
2
3
4
5
Perfectly
13
Q

What forms can retainers take?

A

Full crown, ¾ crown, inlay/onlay, or metal wing.

How well did you know this?
1
Not at all
2
3
4
5
Perfectly
14
Q

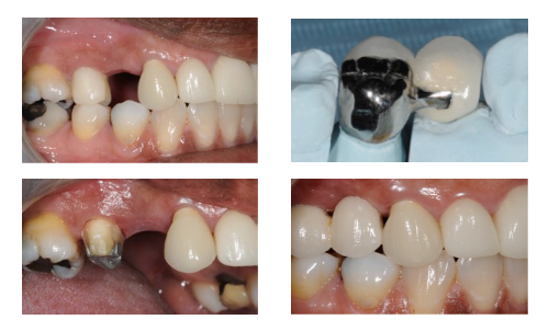
What is a conventional fixed-fixed bridge?

A

A fixed prosthesis where the pontic is supported by two abutments, one on each side.

conventional prep of abutment teeth: conventional crown

How well did you know this?
1
Not at all
2
3
4
5
Perfectly
15
Q

What are single and double abutments used for?

A

Single abutment for cantilevered bridges and double abutment for fixed-fixed bridges.

How well did you know this?
1
Not at all
2
3
4
5
Perfectly
16
Q

What are conventional cantilever bridges?

A

Bridges where the pontic is retained by a conventional crown, inlay, or onlay.

retention coming from 1 side only & conventional crown prep of that 1 abutment tooth

How well did you know this?
1
Not at all
2
3
4
5
Perfectly
17
Q

What are indications for conventional bridgework?

A
  • Heavily restored abutments.
  • Well-motivated patients with good plaque control.
  • No active caries.
  • Stable periodontium.
  • Maintainable bridgework.
  • Small edentulous spaces.
  • Replacement bridgework.
How well did you know this?
1
Not at all
2
3
4
5
Perfectly
18
Q

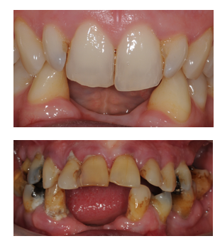
What are contraindications for conventional bridgework?

A

Unrestored abutments.
Poorly motivated patients.
Active caries or periodontitis.
Poor manual dexterity.
Large edentulous spaces.
Contact sports players.

How well did you know this?
1
Not at all
2
3
4
5
Perfectly
19
Q

Which teeth are ideal for bridge abutments?

A

1s, 3s, and 6s.

How well did you know this?
1
Not at all
2
3
4
5
Perfectly
20
Q

why are 1s, 3s, and 6s. ideal bridge abutments?

A
  • have long/multirooted roots
  • sufficient in structure of clinical crown height to provide retention
How well did you know this?
1
Not at all
2
3
4
5
Perfectly
21
Q

What teeth are unsuitable for abutments?

A
  • Teeth with poor clinical and radiographic support.
  • heavily restored with post crowns
  • endo-treated with posts (already compromised so dont want to overload)
22
Q

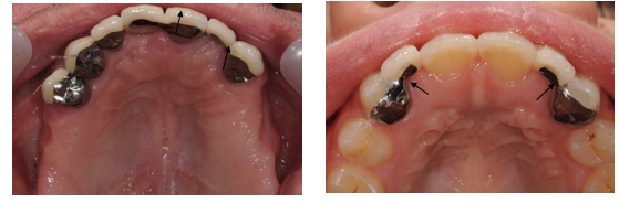
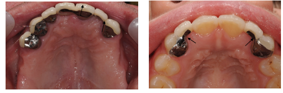
What are resin-retained cantilever bridges?

A

Bridges where the pontic is retained by a metal retainer using cement and abutment coverage.

cantilver= one side only attachment
reesin retained= retained by a metal retainer using cement and abutment coverage.

23
Q

What are indications for resin-retained bridges?

A

Sound, unrestored abutments.
Well-motivated patients with excellent plaque control.
No active caries.
Stable periodontium.
Maintainable bridgework.
Small edentulous spaces.

24
Q

What are contraindications for resin-retained bridges?

A

Heavily restored abutments.
Poor crown height.
Poorly motivated patients.
Active caries or periodontitis.
Poor manual dexterity.
Large edentulous spaces.
Contact sports players.
Bruxism or parafunctional habits.

25
What is a key design feature of resin-retained bridges?
Minimal tooth preparation of abutment to maximize enamel bonding.
26
What did research conclude about resin-retained bridges?
They are superior in longevity and patient satisfaction compared to other designs.
27
How should the abutment surface be prepared for resin-retained bridges?
Maximize coverage of the abutment tooth surface to maximise retention
28
What is a key design feature for abutment teeth in bridges?
Cover the maximal surface area of the abutment tooth.
29
in resin retained bridges, how do we overcome the fact that the metal wing bonded to the resin might interfere with the pts bite
overeruption of teeth
30
What material and thickness should metal wing retainers have?
Rigid, non-precious metal with a thickness of 0.7(ant tooth`) -0.8mm (post tooth).
31
What design is recommended for adhesive bridgework in terms of pontic?
Cantilever designs with the pontics kept out of excursive contacts.
32
Which teeth are ideal as bridge abutments?
Canines and molars.
33
Why should fixed-fixed resin-retained bridges be avoided?
They can lead to complications and are less reliable. when the bridges fail, they ususally fail at the wing-tooth interface, leading to degradation of cement, leaving a gap and then caries starts to develop if this is a fixed-fixed, then one of them fails but it will remain bonded thru the other abutment so u will only see that its failed once its quite a severe fail (caries and all)
34
What is a cantilever bridge?
A prosthesis where the pontic is supported on one end by one or more abutments.
35
what are the 2 types of cantilever briges?
36
What is the clinical workflow for conventional bridges?
Primary impression. Diagnostic wax-up. Abutment preparation and master impression. Bridge construction. Bridge trial and cementation.
37
What are design considerations for conventional bridges?
Keep pontic in light contact in ICP and no lateral/protrusive contacts. Share occlusal guidance with natural teeth.
38
What is the clinical workflow for resin-retained bridges?
Primary impression. Diagnostic wax-up. Master impression. Bridge construction. Bridge trial and cementation.
39
What are design considerations for resin-retained bridges?
Light contact for the pontic in ICP. Discuss anterior wax-up with patients. Inform patients that metal wings may show through.
40
What are fixed-fixed bridges used for today?
As replacements for old bridges when abutments are sound.
41
Why are fixed-fixed bridges not used in contemporary practice?
They are destructive and have long-term complications like caries and endodontic failure.
42
What is the 10-year pulp survivability under a single MCC?
84.4%
43
What is the 15-year pulp survivability under a bridge MCC abutment?
66.2%
44
What is the leading cause of failure in single MCCs?
Endodontics (55.9%)
45
What is the leading cause of failure in bridge MCCs?
Endodontics (53.3%)
46
What is the survival rate of conventional cantilever bridges at 10 years?
81.8%
47
What is the main complication of resin-retained cantilever bridges?
Debonding
48
What is the survival rate of conventional fixed-fixed bridges at 10 years?
92%
49
What is the risk of caries and endodontic failure for conventional fixed-fixed bridges?
Caries (38%), endodontic risk (32%)
50
What are the main take-home messages for prosthodontic treatments?
Well-maintained teeth last a long time. Prosthodontic treatments have biological, technical, and financial consequences. Use diagnostic wax-ups and plan occlusal schemes. Choose the least destructive techniques. Consider the Shortened Dental Arch concept.
51