Partial Dentures: Intro Flashcards

(61 cards)

1
Q

resin retained bridges - adv?

A
  • comfertable
  • blend in with pts own natural teeth
  • fixed in place
How well did you know this?
1
Not at all
2
3
4
5
Perfectly
2
Q

resin retained bridges - disadv?

A
  • only 1 tooth per bridge
  • rely on abutment being strong and minimally restored
How well did you know this?
1
Not at all
2
3
4
5
Perfectly
3
Q

disadv of implants?

A
  • relies on excellent lab and clinical work
  • may be surgery involved
  • may be insufficient bone for implant
How well did you know this?
1
Not at all
2
3
4
5
Perfectly
4
Q

adv of dentures?

A
  • low cost
  • lower skillset compared to surgery and implants
  • v easy to adjust, further teeth can be added
How well did you know this?
1
Not at all
2
3
4
5
Perfectly
5
Q

disadv of acrylic denture?

A
  • has to cover more of pts soft tissue:
  • affects taste (covers tastebuds)
  • collects plaque
How well did you know this?
1
Not at all
2
3
4
5
Perfectly
6
Q

adv of acrylic denture?

A

easier to add teeth to

How well did you know this?
1
Not at all
2
3
4
5
Perfectly
7
Q

adv of chrome denture?

A
  • gingival clearance
  • covers less of palate
  • retention and support better
How well did you know this?
1
Not at all
2
3
4
5
Perfectly
8
Q

disadv of chrome denture?

A
  • difficult to repair
  • v expensive to make
  • cant add to it, so should only be provided to pts with no suspected firther tooth loss
How well did you know this?
1
Not at all
2
3
4
5
Perfectly
9
Q

Kennedy classification - list them all

A
How well did you know this?
1
Not at all
2
3
4
5
Perfectly
10
Q

Kennedy classification - define class 1

A

bilateral free end saddle

How well did you know this?
1
Not at all
2
3
4
5
Perfectly
11
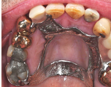
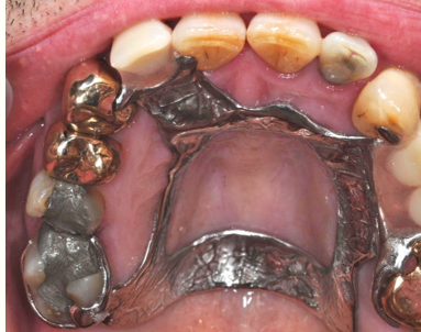
Q

which class is this denture?

A

class 1

How well did you know this?
1
Not at all
2
3
4
5
Perfectly
12
Q

Kennedy classification - define class 2

A

unilateral free end saddle

How well did you know this?
1
Not at all
2
3
4
5
Perfectly
13
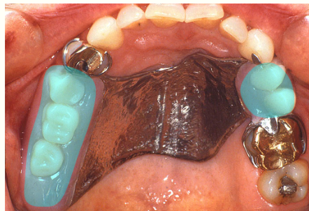
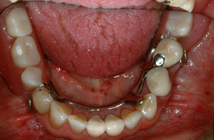
Q

which class is this denture?

A

class 2

How well did you know this?
1
Not at all
2
3
4
5
Perfectly
14
Q

Kennedy classification - define class 3

A

unilateral bound saddle

How well did you know this?
1
Not at all
2
3
4
5
Perfectly
15
Q

which class is this denture?

A
How well did you know this?
1
Not at all
2
3
4
5
Perfectly
16
Q

Kennedy classification - define class 4

A

anterior bound saddle

How well did you know this?
1
Not at all
2
3
4
5
Perfectly
17
Q

explain modifications to the kennedy classification

A
How well did you know this?
1
Not at all
2
3
4
5
Perfectly
18
Q

kennedy classification - what class is this?

A

class II mod 2

How well did you know this?
1
Not at all
2
3
4
5
Perfectly
19
Q

kennedy classification - what class is this?

A

class II mod 3

How well did you know this?
1
Not at all
2
3
4
5
Perfectly
20
Q

list the 4 components of a partial denture

A
How well did you know this?
1
Not at all
2
3
4
5
Perfectly
21
Q

which partial denture component is this?

A

saddle

How well did you know this?
1
Not at all
2
3
4
5
Perfectly
22
Q

what is the denture saddle?

A

the area of the denture that replaces the missing teeth

How well did you know this?
1
Not at all
2
3
4
5
Perfectly
23
Q

what is a denture flange?

A

the component that replaces gum (acrylic) - goes into the sulcus

How well did you know this?
1
Not at all
2
3
4
5
Perfectly
24
Q

define denture support

A

resistance from the dentures being pushed into the tissues during function

How well did you know this?
1
Not at all
2
3
4
5
Perfectly
25
what are the 2 types of denture support?
tooth borne mucosa borne
26
define a mucosa borne denture
all support is placed on soft tissues and no support is placed on teeth themselves
27
give an example of a mucosa borne denture
spoon denture
28
what is an adverse affect of a mucosa borne denture?
force transmitted to mucosa and underlying alveolar bone can lead to resorption especially resorption of the alveolar ridge
29
what is a tooth borne denture?
metal components on top of teeth Transmit forces down the long axes of the teeth and also prevent the clasp arms from over seating and traumatising the gingival tissues
30
which component of a partial denture allows the Transmission of forces down the long axes of the teeth and also prevent the clasp arms from over seating and traumatising the gingival tissues
occlusal rests
31
where is force transmitted on a tooth borne denture?
force transmitted to teeth either side - as long as those teeth are healthy no damage will be done
32
what is a tooth and mucosa supported denture?
where a denture has a mixture of both supports
33
what may be a problem of a tooth + mucosa supported denture?
can cause tipping due to uneven distribution of forces
34
define retention of a denture
Retention = Preventing the denture from being displaced away from the tissues
35
what are the 2 diff types of clasps that provide retention?
- occlusally approaching - gingivally approaching
36
what is an occlusally approaching clasp?
37
what is an gingivallyapproaching clasp?
38
which type of clasp tends to work best with molar teeth?
occlusally approaching
39
which type of clasp tends to work best with anterior teeth?
gingivally
40
label this
41
name this occlusally approaching clasp
occlusally approaching ring clasp
42
name this clasp
gingivally approaching I-bar
43
what is the function of a connector
things that join all components of denture together
44
what is a major connector?
45
what is a minor connector
46
name the steps in the development of a cobalt chrome denture
47
what is this type of denture called?
collet
48
what are the advantages of a colleted denture
49
what are the disadvantages of a colleted denture
increased plaque retention
50
what condition can poor plaque retention lead in a denture?
denture-induced stomatitis
51
why is it important that colleting is done correctly?
plaque retention and also otherwise the denture could traumatise the soft tissues
52
how can we minimise the risk of a collated denture traumatising the soft tissues
technician designs the acrylic to go over the teeth, over the margin
53
advantages of a spoon denture?
Low cost Quick means to replace small number of anterior teeth Gingival clearance
54
list the Disadvantages of Spoon Dentures
Localised gingival trauma Fracture & danger of inhalation Loose (Flipper)
55
modified spoon denture - how is retnetion and stability improved in this denture compared to a traditional spoon denture?
Addition of clasps Extending base to rest on teeth to stop denture from being able to move around
56
Advantages of Modified Spoon Denture
- Increased retention & stability - Increased tooth support due to cingulum rests
57
list the Disadvantages of Modified Spoon Denture
- Increased cost - Wrought wire clasps may fracture - Covers more gingival tissue - Bulkier appliance
58
59
list the 4 Principals of Good Denture Design
1. Gingival clearance where possible 2. Support is spread around the arch 3. The denture is rigid 4. The design is simple
60
list the clinical stages for acrylic dentures
61
list the Clinical Stages for Cobalt Chrome Dentures