Periapical Pathology Flashcards

(92 cards)

1
Q

define periapical inflammation pathology

A

 Hello

How well did you know this?
1
Not at all
2
3
4
5
Perfectly
2
Q

what is periapical inflammatory pathology usually a consequence of?

A
How well did you know this?
1
Not at all
2
3
4
5
Perfectly
3
Q

Name a useful tool in identifying features of periapical inflammatory pathology

A

radiographs

How well did you know this?
1
Not at all
2
3
4
5
Perfectly
4
Q

when identifying features of periapical inflammatory pathology, radiography is not a screening tool, therefore what points need to be covered prior?

A

history
examination
review of prior imaging

How well did you know this?
1
Not at all
2
3
4
5
Perfectly
5
Q

what is the go-to radiograph when trying to assess periapical inflamm pathology?

A

periapical

How well did you know this?
1
Not at all
2
3
4
5
Perfectly
6
Q

what technique is used when taking a periapical to assess periapical inflamm pathology?

A

paralleling technique

How well did you know this?
1
Not at all
2
3
4
5
Perfectly
7
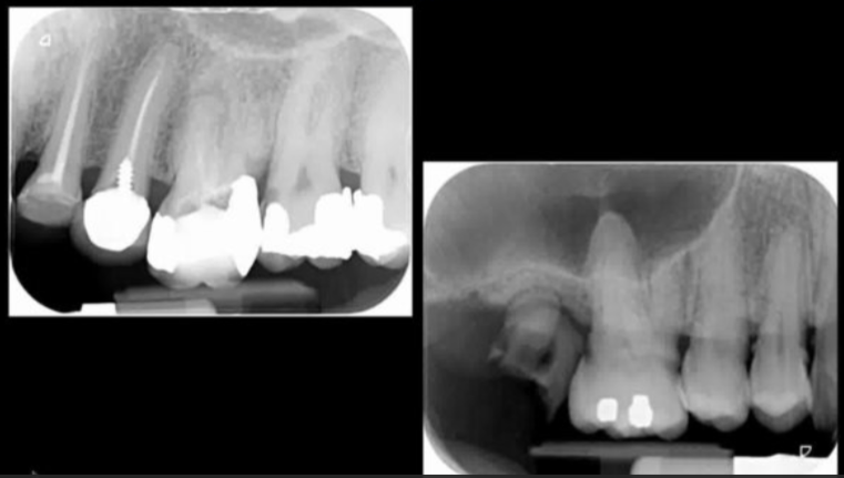
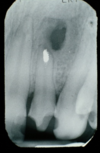
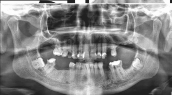
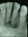
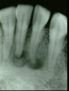
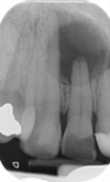
Q

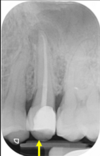
what other radiographs other than periapicals can be used to assess periapical inflamm pathology?

A

maxillary occlusal
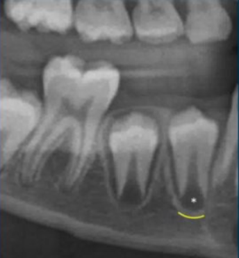
lateral obliques
OPG
cone beam CT

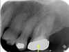
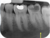
How well did you know this?
1
Not at all
2
3
4
5
Perfectly
8
Q

when may we consider an OPG when assessing periapical inflamm pathology?

A

when periapical already taken and lesion not demonstrated v well, so we may want a larger view

or it may be a dose benefit for a pt with grossley decayed teeth

How well did you know this?
1
Not at all
2
3
4
5
Perfectly
9
Q

when may a cone beam CT be used when assessing periapical inflamm pathology?

A

often used for troubleshooting when plain films can’t answer ur clinical question

How well did you know this?
1
Not at all
2
3
4
5
Perfectly
10
Q

what would you expect to see on a radiograph of normal periapical tissues?

A
  • radiolucent (black) line of PDL space
    - even width around the tooth
  • radiopaque (white) lines that represents lamina dura
    • continuous around the root
How well did you know this?
1
Not at all
2
3
4
5
Perfectly
11
Q

what would you expect to see on a radiograph of normal trabecular bone in the mandible?

A
How well did you know this?
1
Not at all
2
3
4
5
Perfectly
12
Q

what would you expect to see on a radiograph of normal trabecular bone in the maxilla?

A
How well did you know this?
1
Not at all
2
3
4
5
Perfectly
13
Q

what would you expect to see on a radiograph of normal periapical tissues of developing teeth?

A
  • circumscribed area of radiolucency at the apec - the apical papilla
  • radiopaque line of the lamina dura is intact
  • developing root is funnel shaped
How well did you know this?
1
Not at all
2
3
4
5
Perfectly
14
Q

list some radiolucent shadows (superimposition) that can mimic pathology

A
How well did you know this?
1
Not at all
2
3
4
5
Perfectly
15
Q

list some radioopaque shadows (superimposition) that can mimic pathology

A
How well did you know this?
1
Not at all
2
3
4
5
Perfectly
16
Q

what is this superimposition?

A

maxillary antrum

How well did you know this?
1
Not at all
2
3
4
5
Perfectly
17
Q

what is this superimposition?

A

soft tissue of the nose

How well did you know this?
1
Not at all
2
3
4
5
Perfectly
18
Q

what is this superimposition?

A

zygomatic buttress

How well did you know this?
1
Not at all
2
3
4
5
Perfectly
19
Q

what is this superimposition?

A

mental foramen

How well did you know this?
1
Not at all
2
3
4
5
Perfectly
20
Q

what is this superimposition?

A

submandibular fossa

How well did you know this?
1
Not at all
2
3
4
5
Perfectly
21
Q

list the causes of periapical pathology

A
  • caries
  • trauma
  • large/deep restorations
  • sub-optimal root fillings
  • perio bone loss
How well did you know this?
1
Not at all
2
3
4
5
Perfectly
22
Q

list the history/clinical signs of periapical inflammation

A
  • swelling
  • pain
  • heat
  • redness
  • loss of function
How well did you know this?
1
Not at all
2
3
4
5
Perfectly
23
Q

following pulpal necrosis/ bacterial ingress an inflammatory exudate accumulates in the apical tissues.

What is the the type of inflammation response at the apex dependant on?

A
  • the infecting organism and its virulence
  • host response/ defence mechanisms
How well did you know this?
1
Not at all
2
3
4
5
Perfectly
24
Q

describe the spectrum of clinical presentations

A

rapidly spreading acute periapical abscess to slowly progressing chronic apical granuloma or radicular cyst

How well did you know this?
1
Not at all
2
3
4
5
Perfectly
25
on a plain radiograph, is it possible to differentiate between an abscess, granuloma or cyst?
NO
26
explain the steps in which this periapical periodontitis shown has occured
1) bacterial ingress via caries/ cracks . fractures / marginal gaps in restorations 2) reversible pulpitis ---> irriversible pulpitis ---> pulp necrosis ---> root canal system becomes infected 3) inflamm response happens 'periapical periodontitis' occurs to confine infection/ bacterial ingress 4) the body results in resorption, formation of granulation tissue (cysts may also occur) resulting in radiolucency 5) bone foramtion may also occur - may result in corticated (white) margin and/or general sclerosis of adjacent bone (to wall off infection)
27
we need to be aware of varying terms of apical inflamm pathology, name a few?
28
radiographic appearance of acute inflamm reactions: what impact does the initial acute inflammation have on the PDL space?
inflamm exudate accumulates in the apical PDL ---> widening of the apical PDL space
29
radiographic appearance of acute inflamm reactions: what impact does the initial acute inflammation have on the lamina dura?
will be intact or partially visible
30
radiographic appearance of acute inflamm reactions: as initial inflammation spreads, we have resorption of apical bony socket. What effect does this have on the apical lamina dura?
loss of apical lamina dura
31
radiographic appearance of acute inflamm reactions: as initial inflammation spreads, we have resorption of apical bony socket. Comment on the radiolucencies that develop
- established periapical radiolucency 'rarefying osteitis' - ill-defined, poorly circumscribed, non-corticated radiolucency
32
radiographic appearance of acute inflamm reactions: as initial inflammation spreads, we have resorption of apical bony socket. as periapical radiolucency increases in size, will it may appear more or less radiolucent?
more
33
when a patient has an acute abscess or any acute periapical inflamm process, how many days may it take for radiographic appearance of the abscess after the clinical diagnosis?
7-10 days
34
when a patient has an acute abscess or any acute periapical inflamm process, why may it take 7-10 days for radiographic appearance of the abscess after the clinical diagnosis?
we need about 30% of bone resorption for it to show up on a radioraph, and this takes about 7-10 days
35
what is a hallmark of chronic inflammatory reactions in the periodontal tissues?
Simultaneous destruction and healing
36
radiographically, what will periapical chronic inflammatory reactions transform into as a result of simultaneous destruction and healing
either into a combo of bone formation and bone resorption
37
what types of inflamm reactions are we expecting if the periapical inflammation is chronic?
- Granulomas - radicular cysts - sclerosing osteitis.
38
Chronic inflammation: Granulomas and Radicular Cysts: With time, granulation tissue forms at the site of bone resorption resulting in a what?
periapical granuloma
39
Chronic inflammation: Granulomas and Radicular Cysts: With time, granulation tissue forms at the site of bone resorption resulting in a periapical granuloma. Epithelial rests of Malassez within granulation tissue can proliferate to form what?
radicular cyst
40
list the symptoms of a periapical granuloma and a radicular cyst
both largely asymptomatic unless infected
41
what is the radiographic appearance of a periapical granuloma and a radicular cyst?
- Well-defined circumscribed periapical radiolucency - May be corticated / surrounded by sclerotic dense bone
42
Is it possible to differentiate between a granuloma and radicular cyst?
not entirely as it is a histopathlogical difference mainly, however there are some differences
43
If we have a periapical radiolucency, what size does it need to be to most probably be a granuloma?
<1cm
44
If we have a periapical radiolucency which is 1-1.5cm, which is it more likely to be, a granuloma or a cyst?
could be either equally
45
If we have a periapical radiolucency which is >1.5cm, which is it more likely to be, a granuloma or a cyst?
cyst
46
if you have a radicular cyst, you have taken the tooth out and it has persisted, what does it become?
residual cyst
47
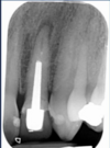
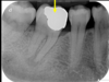
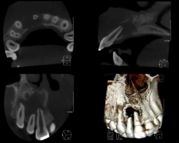
what is shown on this picture?
periacpical granuloma
48
Chronic inflammation: Sclerosing osteitis what else can this be called?
Also called condensing or focal sclerosing osteitis
49
Chronic inflammation: what does Sclerosing osteitis happen in response to?
low grade chronic inflammation
50
Chronic inflammation: what are the symptoms of sclerosing osteitis?
often symptomless
51
Chronic inflammation: what is the radiographic appearance of Sclerosing osteitis?
- Dense sclerotic (radiopaque) bone around the apex - Varying degrees of apical ligament space widening and radiolucency
52
Endo-perio lesions what may they also be referred to as?
perio-end or combined
53
what do endo-perio lesions involve?
both the pulp and perio tissues
54
what is a common presentation of a perio-endo lesion?
non-vital tooth with periodontal pocketing extending apically
55
what are the causes of a perio-endo lesion?
- May arise without root damage - Periodontitis causing pulp necrosis - Apical periodontitis extending along the periodontal ligament space - Or as a result of root damage - Root fracture, perforation, external root resorption
56
what is thet common radiographic appearance of an endo-perio lesion?
Signs of apical pathology with a wide periodontal ligament space or communicating periodontal defect.
57
where along the root does most inflammatory pathology manifest?
typically apically
58
Although most inflammatory pathology manifests apically, why may it manifest anywhere along the root surface?
due to the presence of: - Normal anatomy – lateral and furcal canals - Iatrogenic – perforation - Pathologic – perforations, cracks, fractures
59
what may “Double dense” shadows on a radiograph relate to clinically?
a clinically apparent chronic sinus
60
In terms of “Double dense” shadows on a radiograph, what does image appearance reflects on a radiograph?
Imaging appearance reflects perforation of the cortices and degree of bone loss which is present.
61
sometimes as a Sequalae of long term periapical inflammatory pathology, we may get external inflammatory root resporption. What may this look like on a radiograph?
Root may look irregular in outline or have a blunted apex
62
sometimes if the body isnt able to contain the infection within a periapical granuloma, you may get infection spreading into the meducllary cavity of the bone itself. What is infection of the bone called?
Osteomyelitis
63
what is Osteomyelitis?
Infectious inflammation of bone and bone marrow
64
what is a predisposing factor of getting osteomyelitits during a periapical infection?
immunocompromised - meds, poorly controlled diabetics
65
what is the cause of Osteomyelitis?
- untreated apical pathology - surgery - trauma - idiopathic
66
list the Variable clinical and imaging features of Osteomyelitis
- Indolent to aggressive - Sclerosis - Lytic / moth eaten appearance - Bony sequestra - Periosteal bone formation
67
list the steps in what you can see on a radiograph as periapical inflammatory pathology develops
68
A radiolucency may persist following endodontic treatment, even if satisfactory why?
Healing with fibrous tissue may leave residual radiolucency
69
following apical surgery, what may be the effect on the previous radiolucency?
- may increase in size or become more apparent
70
list the other common causes of periapical radiolucencies and radiopacities
Normal anatomy, artefact, superimposition. Benign Cemento-osseous dysplasia Hypercementosis Dense bone islands
71
when might we suspect that a patient has any of the following rather than periapical pathology? Normal anatomy, artefact, superimposition. Benign Cemento-osseous dysplasia Hypercementosis Dense bone islands
if the patient is asymptomic and the tooth is vital
72
define hypercementosis
proliferation of cementum at the root surface
73
which area of the mouth is periapical cemento-osseous dysplasia very common within?
anterior mandibular region
74
what gender is periapical cemento-osseous dysplasia most common within?
females
75
which ethnicity is periapical cemento-osseous dysplasia most common within?
black or asian
76
describe periapical cemento-osseous dysplasia
benign condition in which normal bone is replaced by fibrous tissue which slows starts to mineralise
77
what can dense bone islands mimic?
scherosing or condensing osteitis
78
what is the main giveaway that a dense bone island is a dense bone island and not scherosing or condensing osteitis?
PDL is preserved
79
what are dense bone islands?
bit of rlly dense cortical bone shouldnt see any resorption, desplacement or symptoms u usually leave them alone
80
Malignancy can mimic a localised area of infection What can be a potential sign of concern?
- Spiking resorption and an irregular radiolucency with a poorly defined border - Tooth mobility in the absence of periodontal disease or ‘floating’ teeth - Hair on end / Sunburst appearance - Altered sensation or anaesthesia - No improvement despite treatment
81
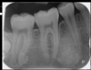
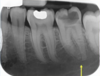
82
is the following periapical pathology or not?
yes
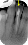
83
is the following periapical pathology or not?
yes - root filled - PDL isnt continuous - lamina dura isnt continuous
84
is the following periapical pathology or not?
no
85
is the following periapical pathology or not?
no
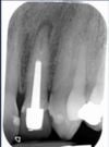
86
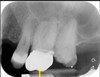
is the following periapical pathology or not?
yes - it is crowned - apical radiolucency - lamina dura tracking off
87
is the following periapical pathology or not?
cant tell
88
is the following periapical pathology or not?
no
89
is the following periapical pathology or not?
yes - lamina dura tracking off
90
is the following periapical pathology or not?
no PDL widened probs cus of brace
91
is the following periapical pathology or not?
yes
92
metastasis