
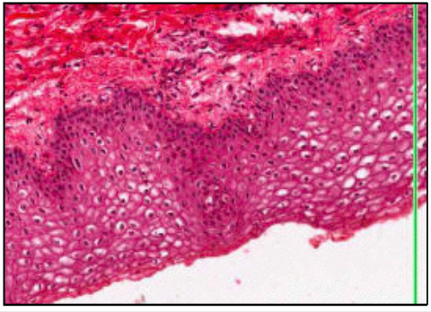
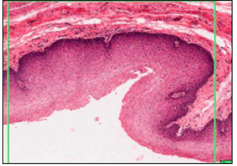
LIP 1

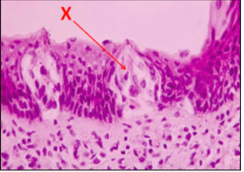
LIP 2: TRANSITION
SSNKE (lower) to SSKE (upper)

LIP 3

HAIR FOLLICLE

TONGUE 1
extrinsic fibers - skeletal muscle inserted to lower jaw
intrinsic fibers - skeletal muscle inserted to fibrous connective tissue underlying mucosa
mixed sero-mucous salivary glands (SUBLINGUAL)
lymph nodules - particularly @ posterior 1/3 of tongue (linguinal tonsisl)

TONGUE - UPPER SURFACE

TONGUE - SEROUS GLANDS

MUCOUS GLANDS
mucus glands stain paler than serous!

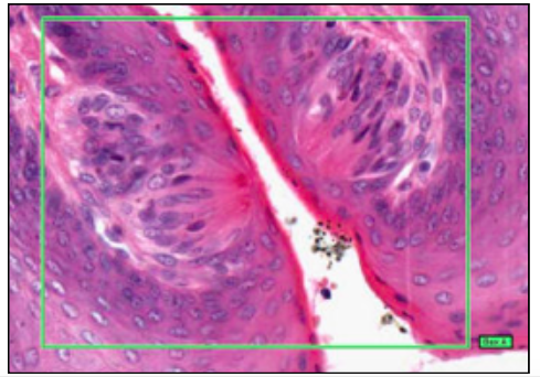
PAPILLAE AND TASTE BUDS
sweet (tip) / slaty (front/side) / sour (further back) / bitter (whole back)
filiform papillae (threadlike) - most common, tall, pointed - @ whole anterior 2/3
fungiform papillae (mushroom-like) @ tip and sides
circumvallate papillae (V-shaped row) @ divide between anterior 2/3 and post. 1/3
this slide - 2 paler staining taste buds embedded in opposing sides of adjacent fungiform papillae

NERVES OF TONGUE

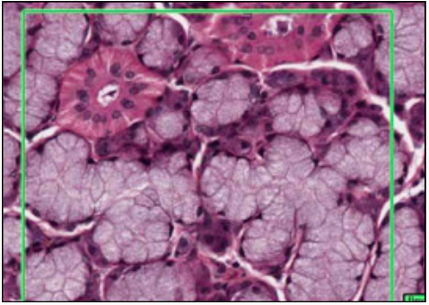
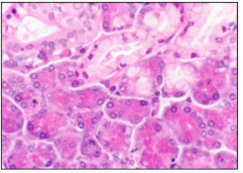
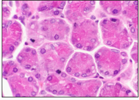
PAROTID SALIVARY GLAND (SEROUS ONLY)
secretory cells - pyramidal, spherical nucleus, basal cytoplasm full of rER, apex contains prominent secretory granules (pink staining)
duct cells - simple cuboidal (stratified at distal end)

PAROTID GLAND 2
inset - close up of lymph node
parotid saliva contains IgA (from plasma), combines with proteinous pieces so reaches intestine unmodified by amylase
striated duct - from invaginations, indicative of water reabsorption

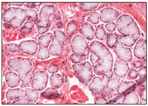
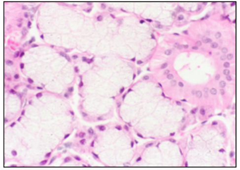
SUBLINGUAL SALIVARY GLAND (MAINLY MUCUS)
major constiuent - polysaccharide

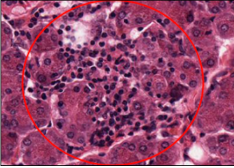
PSNS (parasympathetic nervous system) GANGLION
this slide = sublingual

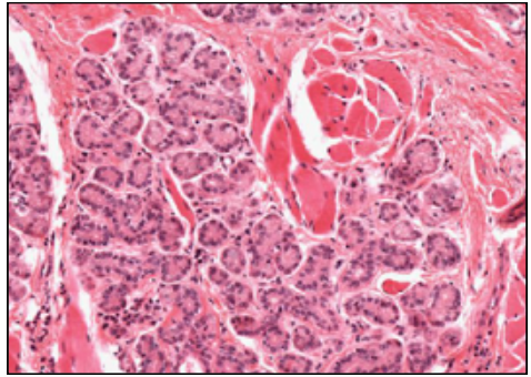
SUBMANDIBULAR SALIVARY GLANDS (MIXED)
demi-lunes - serous cells form demi-lunes (half-moons) at closed ends of tubules

LYMPH NODULE WITHIN SUBMANDIBULAR GLAND

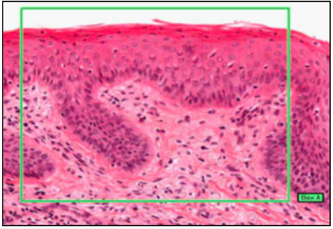
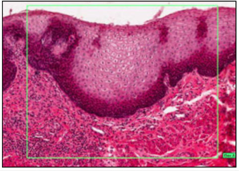
EPIGLOTTIS
contains:
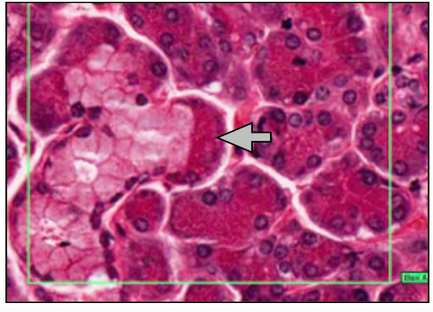
Box A = buccal surface - faces mouth

EPIGLOTTIS 2

GI FORMATIVE 1

GI FORMATIVE 2
this is a sublingual gland

GI FORMATIVE 3
therefore this is a submandibular gland
(mixed = submandibular)

GI FORMATIVE 4
this is parotid gland
therefore contains branches of facial nerve

GI TRACT LAYERS (x4)

OSEOPHAGUS
mucosa:
below diaphragm:
sub-mucosa: sero-mucous glands (lubrication), large thin-walled veins (@ distal end - oesophageal variscosities)
muscularis externa:
upper 1/3 = skeletal / middle 1/3 = mixed / lower 1/3 = smooth