
3 TYPES
OTHER CONTRACTILES

SMOOTH MUSCLE
not organised into sarcomeres
this slide- double layer of smooth muscle @ intestines

SMOOTH MUSCLE ARRANGEMENT AND GAP JUNCTIONS

SKELETAL MUSCLE TERMINOLOGY

MUSCLE FIBRE & LONGITUTIDNAL SKELETAL MUSCLE
this slide - tongue (with longitudinal muscle fibres)
EXTRINSIC FIBRES - poke out motuh
INTRINSIC FIBRES - manipulate food
myofibrils in register = striations

SKELETAL MUSCLE (TRANSVERSE)
SKELETAL MUSCLE INDIVIDUALLY INNERVATED IN MOTOR UNITS
MITOCHONDRIA BETWEEN MUSCLE FIBRILS WITH MUSCLE FIBRES
MAY SEE GLYCOGEN AND LIPID DROPLETS

SARCOMERE (IRON HAEMATOXYLIN)
SARCOMERES JOINED END TO END AND SIDE TO SIDE AT Z-LINE

CARDIAC MUSCLE
don’t necessarily have own nerve supply as have innate contractility (SA and AV node regulated)

SARCOMERES
between myofibrils:
T-tubules - conduct impulse
sarcoplasmic reticulum - sequester calcium
glycogen/lipid storage
mitochondria - ATP production
UPPER FIBIRL - contractile
LOWER FIBRIL - structural

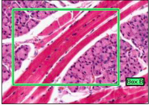
SKELETAL MUSCLE LONGITUDINAL
this slide -tongue
n.b. small fascicles usuall denote smaller motor units = fine control

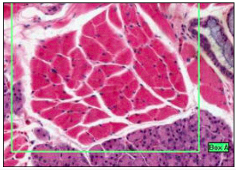
SKELETAL MUSCLE TRANSVERSE
not all skeletal muscle is attached to bone
when skeletal muscles are attached together by fibrous connective tissue = RAPHE

SKELETAL MUSCLE BANDING (IRON HAEMATOXYLIN)
A band is not actin
@ centre of each A band = paler H band with M line
I stands for ISOTROPIC
A stands for ANISOTROPIC

FIBRE ARRANGEMENT LONGITDUINAL
IN REGISTER
between myofibrils = mitochondria and elements of sarcoplamic reticulum
DYSTROPHIN - binds actin to plasmalemma of muscle cells - structural integrity

FIBRE ARRANGEMENT TRANSVERSE
between myofibrils may see parts of T-tubules and sarcoplasmic reticulum. also glycogen and mitochondria.
Z DISC COMPOSITION
lipid = 60% - electrostatically binds proteins
major protein = ALPHA ACTININ

SKELETAL MUSCLE: TYPE 1 & 2(a/b)
most fibres contain all 3 but proportions vary
this slide - stained for fibrillar ATPase (DARK BROWN) and greatest in slow twitch with greater number of mitochondria
postural muscles at spine have largest proportion of slow twitch
fingers have highest proportion of fast twitch

SKELETAL MUSCLE: TYPE 1

SKELETAL MUSCLE: TYPE 2
running = anaerobic, therefore uses carbs as energy source

SHARPEY’S FIBRES - TYPE 1 COLLAGEN
this slide - oblique = sharpey’s / below = periosteum of bone / lower pale staining cellular layer / upper darker staining fibrous layer

TENDON -TYPE 1 COLLAGEN
TENDON = continuation of peri/epimycium
tearing a tendon causes inflammation
inflammation stimulates fibroblasts to synthesise actin (draws would together) and collagen

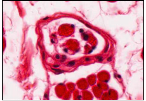
MUSCLE SPINDLE
intrafusal fibres:
fine movement= smaller motor units and more spindles

CARTILAGE

CARTILAGE 2
3 FORMS

HYALINE CARTILAGE
this slide - trachea
n.b.

ELASTIC CARTILAGE
this slide - epiglottis