
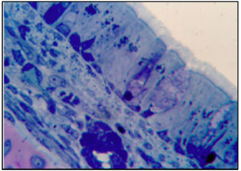
RESPIRATORY EPITHELIUM (TOLUIDINE BLUE)
SIMPLE/PSEUDO-STRATIFIED COLUMNAR CILIATED EPITHELIUM
with non-ciliated (basal/intermediate) stem cells - renewal of epithelium
@nose, nasopharynx, larynx, trachea, bronchi, bronchioles

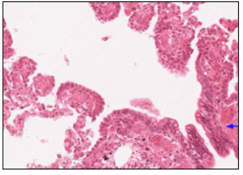
NOSE (H&E AND ALCIAN BLUE)

NOSE OVERVIEW

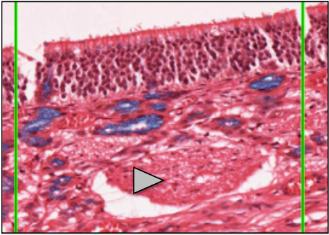
OLFACTORY EPITHELIUM
special cells = Bowman’s glands - small serous glands below olfactory epithelium
sustentacular cells tall, narrow, in contact w/ BM. bulky cytoplasm near lumen. cytoplasm accumulates yellow/brown pigment.

LARYNX
below epiglottis larynx -> 2 sets of folds
Vocal folds
FALSE FOLDS - upper - respiratory epithelium
TRUE FOLDS - lower - stratified squamous epithelium
VESTIBULE - between - respiratory epithelium

TRACHEA

VOCAL CORDS

VOCAL FOLDS 2

TRACEHA 2

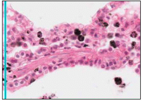
BRONCHUS (H&E)

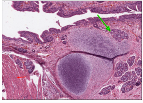
MALT NODULE (@ TRACHEA)
LYMPH NODE = discrete, encapsulated collection of lymphoid tissue
MALT NODULE = no capsule, intimately related to epithelium

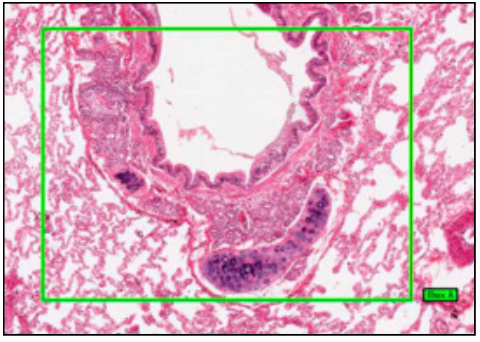
BRONCHIOLES
unlike bronchi may be contstricted by smooth muscle as no cartilage

TERMINAL/RESPIRATORY BRONCHIOLES (not respiratory epithelium)
terminal
respiratory
this slide - terminal

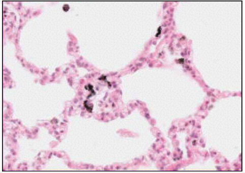
ALVEOLI
type 1 cells (thin) - flat cells, flat nuceli, 40% of population, 90% of SA
type 2 cells (globular) - secretes surfactant (lipid rich), 60% of pop., 10% SA, rounded, round dark staining nuclei

ALVEOLAR MACROPHAGES
ALVEOLAR - enter teminal/respiratory bronchioles and pass to lymphatics or are transported by muco-ciliary escalator
FIXED/SEPTAL - remain in interstitium between cells and tissue

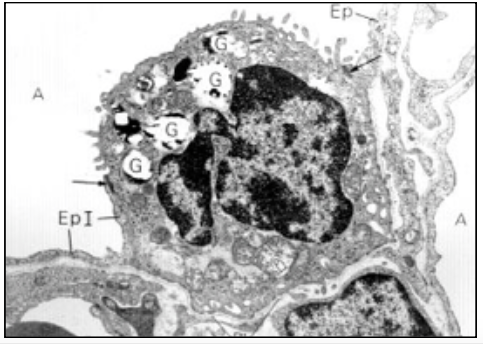
TYPE 2 PNEUMOCYTE

PULMONARY BLOOD VESSELS