
KIDNEY
Blood

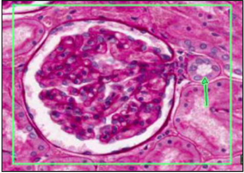
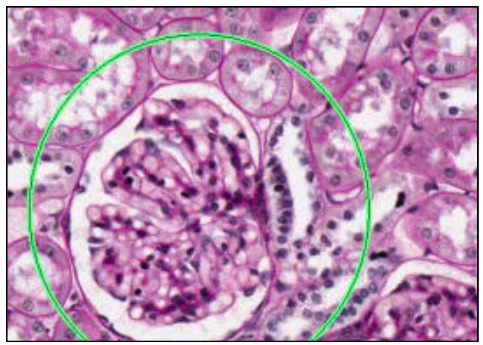
GLOMERULUS

GLOMERULAR TUFT (PAS)

FILTRATION BARRIER

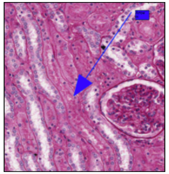
PROXIMAL TUBULES (PAS)

PROXIMAL TUBULES 2 (PAS)

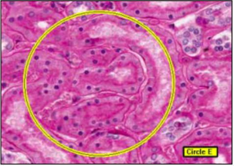
LOOP OF HENLE (PAS)
this slide - thick and thin limbs and vasa recta

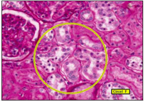
DISTAL TUBULE (PAS)
@ cortex both proximal and distal tubules present
proximal more tightly coiled therefore appear to be more numerous

COLLECTING DUCTS (PAS)
prone to kidney stones and infection

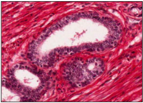
JUXTAGLOMERULAR APPARATUS (PAS)
this slide - obvious macula densa

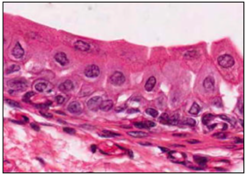
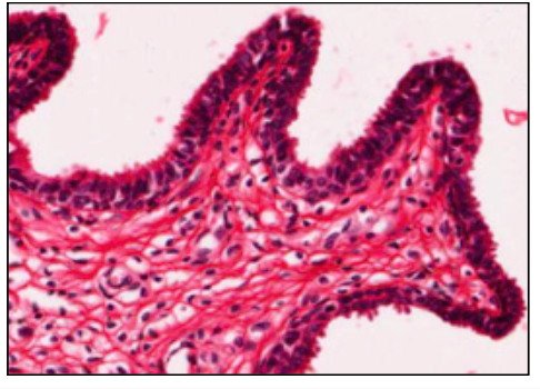
UROTHELIUM
umbrella cells:

URETER

URINARY BLADDER
thrown into folds w/ umbrella cells
walls of bladder contains small nerves (autonomic)
sympathetic NS = mainly blood vessels at bladder
inset = nerves
micturition
when external sphincter relaxes (sympathetic) and muscle wall (detrusor) contracts (para)

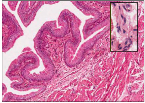
PROSTATIC URETHRA
inset = U-shaped prostatic urethra

TESTES

SEMNIFEROUS TUBULE

SEMNIFEROUS TUBULES
arrow to spermatid
reduction division (2n-1n -> first meiotic) takes place when primary to secondary @ luminal side of blood testis barrier i.e. not in contact with blood stream

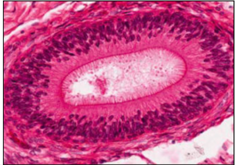
EPIDIDYMIS

VAS DEFERENS
thick muscular wall makes vas feel cord like

SEMINAL VESICLE

PROSTATE

PROSTATIC EPITHELIUM

PROSTATE 2

PENILE URETHRA