IMMS Flashcards

(41 cards)

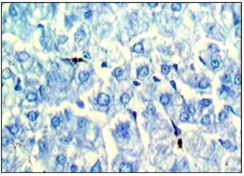
1
Q

What is this?

A

ALCIAN BLUE

  • GAG-rich
  • mucous
  • mast cells
  • cartilage

BLUE

How well did you know this?
1
Not at all
2
3
4
5
Perfectly
2
Q

What is this?

A

EOSIN

  • colloidal proteins
  • plasma

PINK

EOSINOPHILIC = ACIDOPHILIC

How well did you know this?
1
Not at all
2
3
4
5
Perfectly
3
Q

What is this?

A

IRON HAEMATOXYLIN

  • nuclei
  • elastic fibres

BLACK

How well did you know this?
1
Not at all
2
3
4
5
Perfectly
4
Q

What is this?

A

PERIODIC ACID SCHIFF (PAS)

  • hexose sugars (complex carbs)
  • goblet cell mucins
  • cartilage matrix
  • glycogen
  • basement membranes
  • brush border

MAGENTA (DARK PINK)

How well did you know this?
1
Not at all
2
3
4
5
Perfectly
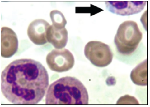
5
Q

What is this?

A

ROMANOVSKY/LEISHMANN’S (BLOOD FILMS)

  • Chromatn/nuclei and neutrophil granules (PURPLE)
  • eryhtrocytes/eosin granules (RED/PINK)
  • lymphocyte/monocyte plasma (PALE BLUE)
  • basophil granules (DARK BLUE/PURPLE)
How well did you know this?
1
Not at all
2
3
4
5
Perfectly
6
Q
A

TOLUIDINE BLUE

  • nuclei/ribosomoes (DARK BLUE)
  • cytoplasm (PALE BLUE)
  • cartilage/matrix/mast cell/GAG rich (BRIGHT PURPLE)
How well did you know this?
1
Not at all
2
3
4
5
Perfectly
7
Q
A

VAN GIESON’S TRICHROME WITH HAEMATOXYLIN COUNTER STAIN

  • collagen (PINK RED)
  • cell cytoplasm (YELLOW/OLIVE GREEN)
  • nuclei (BLACK)
  • elastic tissue (DARK BROWN)
How well did you know this?
1
Not at all
2
3
4
5
Perfectly
8
Q
A

HAEMATOXYLIN

  • nuclei
  • RNA

BLUE

BASOPHILIC STRUCTURES = BLUE

How well did you know this?
1
Not at all
2
3
4
5
Perfectly
9
Q
A

SILVER STAIN - NEURONS

  • neurons are large
  • 25-60 microns
  • because of slide thickness you cannot see all processes
  • 1-5 dendritic processes
  • metabolically active
  • fully differentiated
How well did you know this?
1
Not at all
2
3
4
5
Perfectly
10
Q
A

LYMPHOCYTE SIZE

  • small = 5 microns
  • little cytoplasm as dormant and not fully differentiated
  • metabolically inactive
  • minimal rER
How well did you know this?
1
Not at all
2
3
4
5
Perfectly
11
Q
A

EPITHELIA

  • barries
  • single layer = simple
  • multi layer = stratified
  • stratified = protection
How well did you know this?
1
Not at all
2
3
4
5
Perfectly
12
Q
A

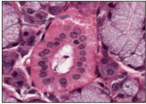
SIMPLE COLUMNAR

  • height > width
  • oval nucleus
  • longer axis perp. to base of cell
  • often microvilli or cilia at apical membrane
  • GUT ENTEROCYTES and RESPIRATORY TRACT

left = gallballder

How well did you know this?
1
Not at all
2
3
4
5
Perfectly
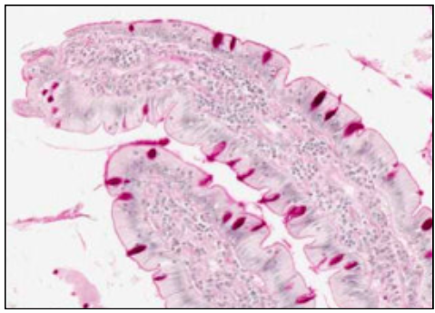
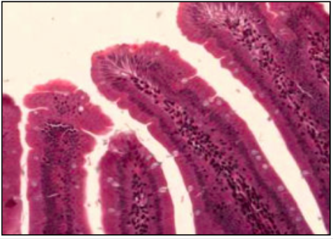
13
Q
A

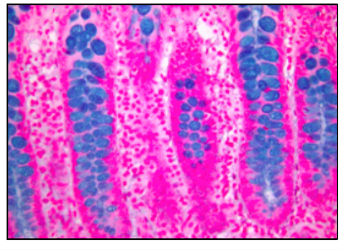
INTESTINAL EPITHELIUM

  • enterocytes w/ goblet cells
  • epithelia sit on BM - permeability barrier between epithelium and connective tissue
  • microvilli at apical surface = BRUSH BORDER
  • brush border - increase SA / attachment of exo-enzymes
  • samll intestine = simple columnar
How well did you know this?
1
Not at all
2
3
4
5
Perfectly
14
Q
A

MICROVILLI/INTESTINAL WITH PAS AND HAEMATOXYLIN

  • microvilli with carb. rich GLYCOCALYX
  • goblet cells and BM rich in HEXOSE
  • stain magenta
How well did you know this?
1
Not at all
2
3
4
5
Perfectly
15
Q
A

CILIATED SIMPLE COLUMNAR EPITHELIUM

  • nose/larynx/bronchial tree/fallopian tube
  • SIMPLE COLUMNAR EP w/ goblet cells and cilia
  • cilia = 2 microns

LEFT = NOSE

stained with H&E and ALCIAN BLUE

cilia movement by tubulin and dynein

How well did you know this?
1
Not at all
2
3
4
5
Perfectly
16
Q
A

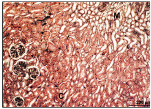
CUBOIDAL EPITHELIUM

  • square
  • round nucleus
  • @ducts of exocrine glands - sweat glands, salivary, pancreas
  • kidney tissue
How well did you know this?
1
Not at all
2
3
4
5
Perfectly
17
Q
A

SQUAMOUS

  • outer surface of most thoracic and abdominal organs
  • simple squamous epithelium (SEROSA)
  • also lines pleural and peritoneal cavities
  • air sacs of lungs (alveoli)
  • FLATTENED
  • CYLINDRICAL/ELLIPTICAL NUCLEI @ base of cell

LEFT = serosa @ outer wall intestine

18
Q
A

AIR / BLOOD BARRIER

  • septa = capillaries covered by simple squamous ep
  • typically 1 micron
  • overall thickness = 5-10 microns
  • with 2x capillary endothelial cells, 2x T1 pneumocytes and capillary lumen
19
Q
A

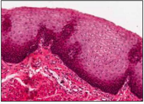
STRATIFIED SQUAMOUS

  • mouth, throat, oesophagus, anus, vagina
  • cells replaced from below
  • stem cells (mitosis capable) at basal layer
  • sloughed off from top

this slide = moist non-keratinised stratified squamous epithelium at mouth

(moist from glandular secretion)

20
Q
A

KERATINISED STRATIFIED SQUAMOUS

  • epidermis
  • lower layers epidermis similar to stratified squamous
  • upper layers syntehsise unique collection of proteins - interact with cytoskeleton of cell to produce keratin
  • keratine - dense protein, fills cytoplasm of cells = tough and waterproof
  • when full of keratin cells die and are sloughed off

this slide - hairless skin @ lower lip

blue/purple = living

pink = dead keratinised squames

@ boundary =layer with blue keratohyaline granules

STRATUM GRANULOSUM - intermediate with blue grans

STEM CELLS @ basal layers

21
Q
A

PSEUDOSTRATIFIED

  • multilayered but when stretched flattens
  • TRACHE AND BRONCHI
  • @urinary tract = specialised UROTHELIUM

distinguish from stratified

all cells in contact with BM

cells replaced by lateral migration not vertical

this slide - trachea

22
Q
A

CELL JUNCTIONS

  • bound tightly together to prevent macromolecule or fluid movement
  • DESMOSOMES
  • TIGHT (ADHERENT) JUNCTIONS
  • GAP JUNCTIONS
23
Q
A

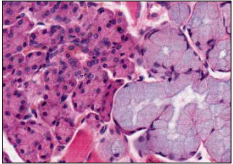
GLANDS

  • epithelial in origin - develop as ingrowths
  • exocrine glands to surface by ducts
  • fluid, lubricants, enzymes

MUCUS - separate acini from serous, occasionally mixed

PALE - flattened nucleus at base of cell

SEROUS

DARK - round nuclei

24
Q
A

CONNECTIVE TISSUE - INTRO

  • extracellular fibre scaffold - COLLAGEN/ELASTIN
  • jelly-like matrix - hydrophilic polysaccharide polymer - GAG - glycosaminoglycans
  • GAG - synthesises @ epithelial cells, muscle, cartilage, bone
  • COLLAGEN/ELASTIN synthesised by fibroblast
25
CONNECTIVE TISSUE - TERMINOLOGY SOFT - flexible/gel-like * fibrous - collagen/elastic/**reticulin (with silver = black lines)** LOOSE IRREGULAR - few visible fibres/random orientate DENSE IRREGULAR - large number of fibres/little matrix DENSE IRREGULAR - large number of fibres - **long parallel bundles** * fatty - mainly fat cells with intervening capillaries **HARD** - bond
26
DENSE IRREGULAR CONNECTIVE TISSUE * dermis of scalp * long fibres of collagen in many directions * fibres stain pink * fibres with dark nuclei (**fibrobalsts**) alongside * collagen fibres not uniform thickness * INSET - fibroblast * COLLAGEN FIBRES = EXTRACELLULAR
27
DENSE REGULAR CONNECTIVE TISSUE * ligament * thick ribbons of parallel collagen * fibroblasts at layer between * compact and regular **COLLAGEN NEITHER ELASTIC NOR CONTRACTILE**
28
COLLAGEN (TROPOCOLLAGEN = 300n) * 12 types * NEITHER ELASTIC NOR CONTRACTILE **TYPE** 1. SKIN/BONE/TEETH/ORGAN CAPSULES 2. CARTILAGE 3. LIVER/KIDNEY/SPLEEN/**ARTERIES**/UTERUS (reticulin) 4. BASEMENT MEMBRANES (sheet like) 5. PLACENTA **STRUCTURE** - overlapping linear strands **TROPO-COLLAGEN** **TC** secreted from fibroblasts - arranged to fibrils extracellularly overlapping gives rise to characteristic **banding** **TC =** 3 linear polypeptide chains @ alpha helix
29
LOOSE AND DENSE * dense irregular at penis erectile compartment (inner) forms a capsule/sheath * this is common between cells of most organs and tissue * outside = loose @ penis - an inextensible capsule around erectile compartments means extra blood makes it turgid
30
RETICULIN (TYPE 3 COLLAGEN) - SILVER STAIN * shape and intergrity of many organs by extracellular fibres * coarser elements = T1 * fine frameworkd = T3/reticulin TISSUE OF RETICULO-ENDOTHELIAL SYSTEM ie. lymph nodes, spleen, liver **RETICULIN FORMS BRANCHED FIBRES** - most collagen forms linear fibres
31
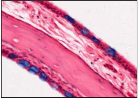
ELASTIC FIBRES * microfibres of **fibrillin** set in amorphous matrix of **elastin** * **fine fibres** or **sheets** * PINK WITH H&E - tough to distinguish collagen * DARKER STAINING **this slide - large elastic artery** concentric sheets of elastic tissue (in vessels near heart) stain pink with eosin difficult distinguish collagen (GLISTENS) perforated elastic sheets with snake-like character
32
ELASTIC FIBRES 2 * with elastic Van gieson's trichrome * DARK BROWN
33
FATTY CONNECTIVE - DIPOSE * white and brown * **white fat** more abundant * large cells with single fat droplet * protect vital organs and energy store (INSULATION AND PACKING) * usually deposited alongside capillaries therefore many vessels * **brown fat** abundant in new born * limited in later life (chest and shoulder-blade) * multi-locular - many droplets per cell * generation of heat via oxidation of FAs
34
NERVES * supporting cells **OLIGODENDROCYTES (CNS), SCHWANN CELLS (PNS)** produce myelin (insulate/conductive) * cell bodies mainly at CNS or sensory at DRG * myelin lost in tissue processing **this slide - axons in transverse section** * each axon surrounded by Schwann cell cytoplasm * with dark staining lamina = myelinated * A - Schwann cell nucleus * B - axon w/myelin sheath * C - unmyelinated axon * D - myelin sheath Schwann cells may contain many unmyelinated axons Myelin linkage: adhesion proteins
35
SCHWANN CELLS AND AXONS SUPPORTED * each axon with continuous Schwann cell chain * MYELINATED - 1:1 relationship with Schwann * UNMYELINATED - several:1 MYELINATED AXONS - generally larger (greater diameter) with increased velocity of conduction **MYELIN** membranous, bilipid (phospholipid), proteins inserted between layers Predominantly phospholipid = **SPHINGOMYELIN** **MESAXON** - where 2 limbs of Schwann/Oligo around axon **fuse = focal point where myelin inserted in myelin sheath**
36
PERIPHERAL NERVES * mix of motor/sensory axons * surrounded by Schwann cells * between axons = connective tissue network (fibres and cells) CONNECTIVE TISSUE NETWORK * endoneurium * perineurium * exoneurium 5 **NERVE FIBRES** - with many axons - surrounded by endoneurium and perineurium Flattened nuclei = fibroblasts Rounded nuceli = Schwann
37
ISOLATED PERIPHERAL NERVES (OSMIUM TETROXIDE STAIN) - TRANSVERSE * lipid of myelin sheath extracted in processing * if treat nerve with osmium tertroxide renders myelin **insoluble** * myelin = brown/black **this slide - osmium tetroxide and H&E** various diameters many axons = nerve fibre (w/perineum) many nerve fibres = nerve (peripheral) w/epineurium
38
ISOLATED PERIPHERAL NERVES (OSMIUM TETROXIDE STAIN) - LONGITUDINAL * worm-like * constrictions = **NODES OF RANVIER** - boundary between one Schwann cell and next MYELINATED = 10-100 m/s UNMYELINATED = 1-20 m/s
39
SYNAPSE * large number of neuro-secretory vesicles @ presynaptic space * dark staining either side of synapse
40
NERVE CELL BODIES (SILVER) * either @ CNS or in discrete ganglia close to spinal cord * exception is PNS with clusters close to organ innervated * silver stain has affinity for cytoskeleton of cells * neurons have **developed cytoskeleton,** therefore stain heavily GOLDEN BROWN - nucleus pale but nucleolus black **cytoskeleton - mictrotubules** (tubulin and dynein) = axonal transport i.e. vesicles from golgi to end and back/**neurofilaments** (intermediate architecture) = axonal diameter **no. processes** unipolar - sensory bipolar - interneurons multipolar - motor neurons
41
NERVE CELL BODIES (H&E) * sensory cell bodies at DRG * large * one axon * one major dendrite * appear more rounded than motor neurons **this slide - DRG with large cell bodies** DARK STAINING PATCHES IN PERIKARYON (cytoplasm around nucleus) = **NISSL SUBSTANCE (aka rER)** nissl substance synthesis of proteins for export from cell or inclusion in membrane