HAS Flashcards

(38 cards)

1
Q

Diagnóstico de HAS

A
  • PA > = 140x90 mmHg em 2 consultas (com técnica correta, sem anti-hipertensivos)
  • PA + alto risco cardiovascular
  • PA > = 180x110
  • MRPA/MAPA com média > = 130x80
How well did you know this?
1
Not at all
2
3
4
5
Perfectly
2
Q

Fatores de risco cardiovascular na HAS

A
  • H > 55a & M > 65a
  • DCV prematura em 1º grau
  • Tabagismo
  • Dislipidemia
  • Diabetes
  • IMC = > 30
How well did you know this?
1
Not at all
2
3
4
5
Perfectly
3
Q

HA mascarada x avental branco?

A

Mascarada: nível pressórico normal no consultório mas elevados no MAPA ou MRPA

How well did you know this?
1
Not at all
2
3
4
5
Perfectly
4
Q

Quando pensar que a HA é secundária?

A
  • HA estágio 3 antes dos 30 ou após os 55
  • HAS resistente ou refratária
  • Uso de medicações associadas a hipertensão (ex: ACO)
  • Tríade de feocromocitoma
  • Indícios de SAHOS (síndrome de apneia hipopneia do sono)
  • Assimetria ou ausência de pulsos em MMII (coarctação de aorta)
  • Hipocalemia (< 3) espontânea ou importante induzida por diuréticos
How well did you know this?
1
Not at all
2
3
4
5
Perfectly
5
Q

Metas PA na HAS: risco CV baixo/moderado X alto

A
  • Baixo/moderado: < 140x90
  • Alto: < 130x80
How well did you know this?
1
Not at all
2
3
4
5
Perfectly
6
Q

Quando tratar idosos frágeis com HAS? Qual a meta de tratamento?

A
  • Tratar: >= 160x90
  • Meta: 140-149x70-79
How well did you know this?
1
Not at all
2
3
4
5
Perfectly
7
Q

Dieta orientada para HAS e relação com perda de peso

A
  • DASH ou do mediterrâneo
  • Perda de peso é o principal fator de melhora da HAS
How well did you know this?
1
Not at all
2
3
4
5
Perfectly
8
Q

Uso de álcool: máximo recomendado na HAS

A
  • Homem: 2 doses/dia
  • Mulher: 1 dose/dia
How well did you know this?
1
Not at all
2
3
4
5
Perfectly
9
Q

Recomendação de atividade física na HAS

A
  • Levantar por 5 min a cada 30 sentado
  • Pelo menos 150 min de ativide moderada
How well did you know this?
1
Not at all
2
3
4
5
Perfectly
10
Q

Principal medicação no tratamento de HAS: função, efeitos adversos e contraindicações

A
  • Inibe enzima coversora de angiotensina I e degradação de bradicinina
  • Declínio renal > 30%: pensar em estenose bilateral de artéria renal
  • EA: tosse seca (trocar por BRA), angioedema, erupção cutânea, hipercalemia
  • Contraindicado na gestação e se K > 5,5

IECA

How well did you know this?
1
Not at all
2
3
4
5
Perfectly
11
Q

BRA: função, efeitos adversos e contraindicação

A
  • Bloqueio dos receptores ATI antagonizando ação da angiotensina II
  • EA: hipercalemia
  • CI: gravidez
How well did you know this?
1
Not at all
2
3
4
5
Perfectly
12
Q

Tiazídicos: mecanismo, exemplos de medicações e efeitos adversos

A
  • Redução do volume circulante, extracelular e da resistência vascular periférica (RVP)
  • Hidroclorotiazida, indapamida, clortalidona (+ potente)
  • EA: hiperuricemia (gota), hipocalemia, hipomagnesemia (arritmias), maior risco de DM2
How well did you know this?
1
Not at all
2
3
4
5
Perfectly
13
Q

Estágios da HAS

A
  1. 140-149 x 90-99
  2. 160-179 x 100-109
  3. 180 x 110
How well did you know this?
1
Not at all
2
3
4
5
Perfectly
14
Q

Quando fazer monoterapia para HAS? Quais drogas usar (5) ?

A
  • HA1 risco baixo
  • PA 130-139 x 85-89 + risco alto
  • Muito idosos/frágeis
  1. DIU
  2. BBC (bloqueador canal de Ca diidopiridínicos: anlodipino, nifedipino)
  3. IECA/BRA
  4. BB (indicações específicas)
How well did you know this?
1
Not at all
2
3
4
5
Perfectly
15
Q

Quando combinar dois fármacos na HAS e quais combinações usar?

A
  • HA1 risco moderado
  • HA1-3 alto
  1. IECA/BRA + BBC
  2. IECA/BRA + DIU
How well did you know this?
1
Not at all
2
3
4
5
Perfectly
16
Q

Exemplos de bloqueadores de canal de cálcio e efeito adverso.

A
  • Anlodipino, nifedipino
  • Edema de MMII
17
Q

O que é classificado como HA resistente? Como tratar?

A
  • Três drogas em uso e meta não alcançada
  • Adicionar 4º fármaco: espironolactona
18
Q

Como tratar HA refratária? Quais são as medicações utilizadas (4)?

A
  • Quarto fármaco + outros
  • Obrigatório: ter diurético de longa ação + espironolactona
  1. BB
  2. Simpatolíticos centrais
  3. Alfabloqueadores (metildopa, clonidina)
  4. Vasodilatadores
19
Q

A hipertensão _ (resistente/refratária) está mais ligada a retenção persistente de fluidos, enquanto a _ (resistente/refratária) a hiper-reatividade simpática.

A
  • Resistente: retenção persistente de fluidos
  • Refratária: hiper-reatividade simpática
20
Q

Principal causa de HA secundária e tratamento

A
  • Sd. da apneia obstrutiva do sono
  • CPAP
21
Q

HA secundária de causa renovascular: sinais e sintomas + como diagnosticar e padrão ouro?

A
  • Sopro abdominal
  • Edema agudo pulmonar de repetição
  • Piora renal em IECA/BRA

Diagnóstico:
* Doppler de artérias renais
* Angio TC/RM
* Arteriografia renal (padrão ouro)

22
Q

HA secundária renovascular

Etiologia da estenose renovascular:
* Em mulheres jovens pensar em:
* Em idosos pensar em:

A
  • Mulheres jovens: displasia fibromuscular
  • Idosos: aterosclerose
23
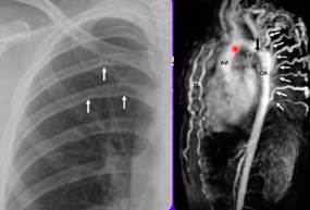
Q

Quando desconfiar de coarctação de aorta como causa de HA secundária?

A
  • PA e pulsos reduzidos em MMII (pelo menos 10 mmHg)
  • RX tórax: corrosão de costelas (artérias intercostais colaterais para irrigar mmii)
  • ECO e/ou angioTC de tórax
24
Q

Hipertensão resistente, hipocalemia & nódulo adrenal: pensar em? Como diagnosticar?

A
  • Hiperaldosteronismo primário
  • Dosar aldosterona (>30) e atividade de renina plasmática (Aldo/Atv > 15)
  • Teste confirmatório (furo, captopril, fludocortisona) + TC/RNM
25
Como tratar HA secundária por hiperaldosteronismo primário?
* Cirúrgico p/ retirada de nódulos * Espironolatona 50-300 mg/dia
26
A sd. de Cushing pode causar _ (acidose/alcalose) por _ (hiper/hipo)calemia
Sd. de cushing pode causar alcalose por hipercalemia
27
Síndrome de Cushing: como diagnosticar e como realizar o teste de supressão?
* Diagnóstico: cortisol urinário (24h) > 55 mcg * Teste: cortisol matinal basal e matinal 8h após dexa **> 1,8 mcg**/dL | Fazer RNM para ver lesão adrenal
28
# HAS Tríade do feocromocitoma
Hipertensão paroxística + 1. Cefaleia 2. Sudorese 3. Palpitações
29
Diagnóstico de feocromocitoma
* Metanefrinas plasmáticas livres (ideal) OU * Metanefrinas + catecolaminas urinárias * Procurar feocromocitoma na TC e RNM
30
# HAS secundária Tratamento do feocromocitoma e localizações (4)
Regra dos 10%: 10% em cada localização * Extra-adrenais (paragangliomas) * Bilaterais * Malignos * Familiares | Maioria: adrenais, unilaterais e benignos
31
Diferença e como tratar: pseudocrise X urgência X emergência hipertensiva
* Pseudocrise: PA elevada com sintomas inespecíficos (tratar a causa!) * Urgência: PA 120 sem LOA (VO: **captopril/clonidina**) * Emergênia: PAD 120 com LOA aguda e progressiva (**nitroprussiato/nitroglicerina** IV)
32
Definicão de hipertensão crônica mal controlada
PA elevada em paciente assintomático
33
Hipertensão acelerada maligna: mecanismo e causas
* Retinopatia com **papiledema** * Necrose fibrinoide de arteríolas renais * Endoarterite obliterante * IRA, IC
34
Alvo de PA no AVCi e AVCh
AVCi * Trombólise: reduzir < 185x110 * Sem, tolerar: 220x120 AVCh * Alvo: PAS 160-180
35
Como saber que é papiledema?
Borramento da papila (limite da bolinha não é nítido)
36
# Emergência hipertensiva Tratamento: edema agudo de pulmão
* Nitrato (nitroprussiato/nitroglicerina) * Furo 1mg/kg * Decúbito elevado e pernas pendentes * VNI * Morfina
37
Exames para pesquisar LOA na HAS
* ECG * TFG (Cr) * Microalbuminúria (ou relação albumina/cr na urina) * Índice tornozelo-braquial (**> 1,3**) * Fundo de olho
38
Efeitos colaterais dos bloqueadores de canal de cálcio (6)
* Edema maleolar * Cefaleia * Tontura * Rubor facial * Dermatite ocre * Hipertrofia gengival