HSA Flashcards

(32 cards)

1
Q

A HSA é uma emergência neurológica com taxas de mortalidade de até 50% dos casos

V ou F

A

Verdadeiro

How well did you know this?
1
Not at all
2
3
4
5
Perfectly
2
Q

Forma mais comum de HSA e forma mais comum NÃO traumática

A
  • Mais comum: traumática
  • Mais comum não traumática: ruptura de aneurisma
How well did you know this?
1
Not at all
2
3
4
5
Perfectly
3
Q

Locais mais comuns de HSA

A
  • ARTÉRIA COMUNICANTE ANTERIOR (40%)
  • Junção da artéria comunicante posterior
  • Artéria carótida interna
How well did you know this?
1
Not at all
2
3
4
5
Perfectly
4
Q

Idade média de HSA e gênero

A

49-55 anos, mulheres

How well did you know this?
1
Not at all
2
3
4
5
Perfectly
5
Q

A HSA representa _ % de todos os AVC

A

2-7%

How well did you know this?
1
Not at all
2
3
4
5
Perfectly
6
Q

Quadro clínico da HSA por ruptura de aneurisma

A
  • Cefaleia sentinela: pequena ruptura do aneurisma que gera cefaleia antes do quadro
How well did you know this?
1
Not at all
2
3
4
5
Perfectly
7
Q

Escala clínica de Hunt-Hess: onde é utilizada

A

Escala clínica na HSA

How well did you know this?
1
Not at all
2
3
4
5
Perfectly
8
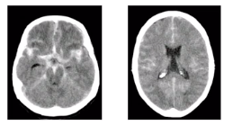
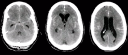
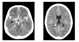
Q

Exame de escolha na emergência na HSA e sensibilidade

A
  • TC de crânio
  • Sensibilidade próxima a 100% nas primeiras 6h e < 60% após 5 dias
  • Angiotomo/angiorressonância é importante para localizar aneurisma
How well did you know this?
1
Not at all
2
3
4
5
Perfectly
9
Q

DX

A

HSA

How well did you know this?
1
Not at all
2
3
4
5
Perfectly
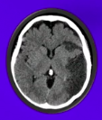
10
Q

DX

A

AVCi

How well did you know this?
1
Not at all
2
3
4
5
Perfectly
11
Q

Escala de Fischer: uso

A

Escala tomográfica da HSA

How well did you know this?
1
Not at all
2
3
4
5
Perfectly
12
Q

Padrão ouro diagnóstico e terapêutico da HSA

A

Angiografia distal

How well did you know this?
1
Not at all
2
3
4
5
Perfectly
13
Q

Quadro clínico sugestivo de HSA e TC de crânio normal: conduta?

A

Líquor

How well did you know this?
1
Not at all
2
3
4
5
Perfectly
14
Q

Como diferenciar acidente de punção X HSA

A
How well did you know this?
1
Not at all
2
3
4
5
Perfectly
15
Q

Tratamento cirúrgico X endovascular de HSA

A
  • Cirúrgico: clipagem
  • Endovascular: embolização
  • Ambas igualmente eficazes
How well did you know this?
1
Not at all
2
3
4
5
Perfectly
16
Q

É recomendado na HSA os 3Hs (hipertensão, hemodiluição e hipervolemia)

V ou F

A

FALSO: não é mais recomendado

17
Q

Meta pressórica na HSA

A

PAS < 160 mmHg

18
Q

O ressangramento na HSA pode ocorrer principalmente nas primeiras _ horas, o principal fator de risco é …

A

72h; pico hipertensivo

19
Q

O vasoespasmo e a isquemia cerebral tardia ocorrem entre o _ e _ dia na HSA, com pico no _ dia

A

3º e 14º dia

20
Q

Vasoespasmo sintomático na HSA: o que é?

A

Déficit neurológico novo e/ou rebaixamento do nível de consciência

21
Q

Diagnóstico do vasoespasmo e isquemia cerebral tardia na HSA

A

Diagnóstico clínico OU exames complementares (doppler transcraniano, angiotomografia)

22
Q

Tratamento de vasoespasmo e isquemia cerebral tardia

23
Q

Medicação que previne isquemia cerebral tardia na HSA, com melhor desfecho funcional em 3 meses e mesma taxa de vasoespasmo

A

PROFILAXIA: NIMODIPINA 60 mg 4/4h por 21 dias

24
Q

Complicação aguda mais frequente da HSA (50% dos casos)

25
A hidrocefalia na HSA cursa com rebaixamento do nível de consciência até o _ º dia.
7º dia da HSA
26
Fatores de risco para hidrocefalia na HSA
* Hemoventrículo * Sangue difuso pelas cisternas * Aneurisma de circulação posterior
27
Tratamento da hidrocefalia na HSA
Derivação ventricular externa (DVE) ou DVP (ventrículo-peritoneal se ocorrer na fase crônica)
28
Conduta nas crises epilépticas na HSA
29
Mecanismos de hiponatremia na HSA
* Síndrome perdedora de sal: maior natriurese, depleção de volume intravascular * Sd. da secreção inapropriada de ADH
30
A febre na HSA está associada a pior desfecho clínico | V ou F
Verdadeiro
31
Mecanismo de complicações cardiopulmonares na HSA
32
É iatrogênico realizar trombólise na HSA | V ou F
VERDADEIRO