Headache Disorders Flashcards

(67 cards)

1
Q

SSNOOP for secondary headache?

A
  • S: ystemic symptoms
    • fever/weight loss
  • S: econdary risk facrors
    • underlying disease, history of head injury, family history brain aneurysm
  • N: eurologic symptoms / abnormal signs
    • confusion, trouble speaking or walking, impaired alertness or consciousness, focal examination
  • O: nset -
    • sudden, abrupt or split second; first is worst, onset with exertion
  • O: lder age onset
    • new onset & progressive headache, especially >50yr
  • P: attern change
    • first headache or different or change from previous headache (frequency, severity or clinical features)
How well did you know this?
1
Not at all
2
3
4
5
Perfectly
2
Q

What is the most likely diagnosis for a patient that presents with:

headache + fever

A

meningitis

How well did you know this?
1
Not at all
2
3
4
5
Perfectly
3
Q

What is the most likely diagnosis for a patient that presents with:

headache + fever + stupor

A

encephalitis

How well did you know this?
1
Not at all
2
3
4
5
Perfectly
4
Q

What is the most likely diagnosis for a patient that presents with:

headache + wide-based gait + dementia + incontinence

A

Normal Pressure Hydrocephalus

How well did you know this?
1
Not at all
2
3
4
5
Perfectly
5
Q

What is the most likely diagnosis for a patient that presents with:

sudden severe headache + nuchal rigidity

A

subarachnoid hemorrhage

How well did you know this?
1
Not at all
2
3
4
5
Perfectly
6
Q

What is the most likely diagnosis for a patient that presents with:

sudden headache + localized neurologic finding + hypertension

A

interacerebral hemorrhage

How well did you know this?
1
Not at all
2
3
4
5
Perfectly
7
Q

What is the most likely diagnosis for a patient that presents with:

chronic progressive worsening headache + focal neurologic finding

A

neoplasm

How well did you know this?
1
Not at all
2
3
4
5
Perfectly
8
Q

What is the most likely diagnosis for a patient that presents with:

headache + patient >50 + tender temporal arteries

A

temporal arteritis

How well did you know this?
1
Not at all
2
3
4
5
Perfectly
9
Q

What is the presentation of a patient with Temporal arteritis?

What is the major concern with this diagnosis?

Treatment?

A
  • presentation
    • >50 yr
    • thickened tender non-pulsatile temporal artery
    • jaw claudication/occipital pain
    • elevation ESR (>50)
    • granulomatous (giant cell) inflammation on biopsy
  • major concern
    • irreversible blindness if not diagnosed & treated urgently
  • treatment
    • high-dose corticosteroids
    • tocilizumab (anti IL-6)
How well did you know this?
1
Not at all
2
3
4
5
Perfectly
10
Q

What is the differential for a “thunderclap headache”

A
  • subarachnoid hemorrhage
  • reversible cerebral vasoconstriction syndrome
  • carotid ? vertebral artery dissection
  • cerebral venous sinus thrombosis
  • spontaneous intracranial hypotension
How well did you know this?
1
Not at all
2
3
4
5
Perfectly
11
Q

What is the term for a very severe, abrupt onset headache that reaches maximum intensity in less than 1 minute?

A

thunderclap headache

How well did you know this?
1
Not at all
2
3
4
5
Perfectly
12
Q

If you suspect a SAH in a patient, what are your next steps?

A
  • CT
    • highest sensitivity w/in 6 hr
  • Lumbar puncture
    • xanthrochromia (not present until 2 hrs - can last 2 weeks)
How well did you know this?
1
Not at all
2
3
4
5
Perfectly
13
Q

What are the characteristics of Reversible Cerebral Vasoconstriction Syndrome?

Cause?

A

recurrent thunderclap headaches over 1 to 2 weeks

multivessel, multifocal segmental vasoconstriction of cerebral blood vessels that reverses within 12 weeks of onset

How well did you know this?
1
Not at all
2
3
4
5
Perfectly
14
Q

What demographics most commonly experience reversible cerebral vasoconstriction syndrome?

triggers?

A
  • female 40-50
  • risk factor
    • postpartum, THC, antidepressants, stimulants (cold medicines & migraines)
  • Triggers
    • urinating, bathing, valsalva, sexual activity
How well did you know this?
1
Not at all
2
3
4
5
Perfectly
15
Q

What lab values would you expect to see in a patient with RCVS?

CSF?

A

no aneurysmal SAH

near normal CSF (protein <100mg/dL, WBC <15)

How well did you know this?
1
Not at all
2
3
4
5
Perfectly
16
Q

Fill out the provided table comparing RCVS to Primary CNS Angiitis

A
How well did you know this?
1
Not at all
2
3
4
5
Perfectly
17
Q

Headaches due to intracranial hypotension are usually due to what causes?

A

CSF opening pressure <6 cm H20

lumbar puncture

head trauma (CSF fistula)

spontaneous idiopathic

How well did you know this?
1
Not at all
2
3
4
5
Perfectly
18
Q

What is the clinical picture of a patient with headaches due to intracranial hypotension?

Treatment?

A
  • headache that is holocephalic
    • associated with neck pain, tinnitus, changer in hearing, photophobia and/or nausea
    • rhinorrhea
  • pain is better when lying down & worse when standing
  • Treatment:
    • strict bed rest & hydration
    • blood patch to stop CSF leak
    • surgery may be needed
How well did you know this?
1
Not at all
2
3
4
5
Perfectly
19
Q

What test do you perform on a patient with a headache due to intracranial hypotension to discern if rhinorrhea is CSF?

What would you see on MRI?
Radioisotope cisternogrophay?

A
  • Fluid test
    • beta-2-transferrin
  • MRI
    • diffuse meningeal enhancement
  • Radioisotope cisternography
    • abnormal
How well did you know this?
1
Not at all
2
3
4
5
Perfectly
20
Q

What do you need to be conscious of about the bevel when doing a lumbar puncture? Why?

A

the bevel needs to be parallel to the long axis of the patient (if patient is laying down, it needs to be horizontal) → spread the fibers rather than chopping them & decrease risk of post-dural headache

How well did you know this?
1
Not at all
2
3
4
5
Perfectly
21
Q

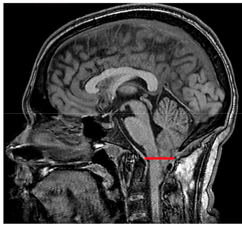
What is Chiari Type I malformation headache & what are the symptoms?

A

cerebella tonsillar ectopia ~5mm

  • Symptoms:
    • occiptial/suboccipital headache
    • pain triggered by valsalva
    • associated with syrngomyelia
How well did you know this?
1
Not at all
2
3
4
5
Perfectly
22
Q

You get an MRI like this, what are the two things you are thinking?

A

CSF leak

or

Chiari Type I Malformation

How well did you know this?
1
Not at all
2
3
4
5
Perfectly
23
Q

What happens with pseudotumor cerebri?

A

(idiopathic intracranial hypertension)

high intracranial pressure; CSF > 25 cm H2O

lose peripheral visual field - v slow;

How well did you know this?
1
Not at all
2
3
4
5
Perfectly
24
Q

Treatment for pseudotumor cerebri?

A

idiopathic intracranial hypertension

treatment: acetazolamide, topiramate, lasix

How well did you know this?
1
Not at all
2
3
4
5
Perfectly
25
What are the classic MRI findings in situation so increased cranial pressure?
* orbital flattening * tortuous optic nerves * empty sella
26
If a patient complains of episodic headaches, there is a \>90% chance it is what?
migraine or probable migraine
27
What are the 5 phases of migraine with aura?
1. **prodrome** 2. **aura** 3. **pain phases** 1. mid pain 1. cutaneous allodynia 2. moderate/severe pain 4. **resolution** 5. **postdrome**
28
Migraines are at least how long by definition? Greater than what length of time makes it migranosis?
4 hrs \>72 hrs
29
Migraine is what type of disorder?
neuronal hyperexcitability lack the ability to habituate electrically to repetitive stimuli
30
What happens in the premonitory phase?
activation of meningeal nociceptors → via increased parasympathetic tone * thalamic activation of superior salivary nucleus * spenopalatine ganglion activation * meningeal vasodilation, release of inflammatory molecules * trigeminal ganglion/trigeminal cervical complex activation
31
What happens in the aura phase?
spreading cortical depression * repeated slow depolarization of neuronal/glial membranes * K+ efflux → ionic gradient disruption → Ca+, Na+, glutamate release * inhibition of cortical activation up to 30 minutes * wave of spreading depression is associated with hyperemia/cortical oligemia
32
What are the types of auras?
* fortification spectra * enhancements like zigzag fort structure * positive scotoma * local perception of additional structures * negative scotoma * loss of awareness of local structures (mostly one sided) * combined
33
Migranous auras occur in what fraction of all migraines? What is the typical time length of an aura?
⅓ of migraine attacks onset \>5 minutes, does not last more than one hour, and is followed within one hour by migraine headache
34
Symptoms of migranous aura?
* fully reversible visual symptoms * fully reversible sensory symptoms * fully reversible dysphasic speech _NO weakness_
35
if an aura occurs for the first time after 40 yr, is fast onset, brief, purely negative in nature & associated with weakness→ what do you suspect?
TIA
36
Migraine with aura is associated with a 2x risk of what kind of stroke?
ischemic
37
Migraine with visual aura is associated with what other conditions?
incident atrial fibrillation stroke/TIA
38
Women with migraine have an additional increased risk of stroke based on what other predisposing factors?
high dose estrogens (synthetic estrogens are contraindicated - \<20 micrograms/day) smoking
39
What happens in the headache portion of a migraine?
* dilation of meningial vessels * sterile neurogenic inflammation * stimulates trigeminal ganglion * trigeminal cervical complex * ascending irritation of various pain centers (SSN, PB, PAG) * thalamus (central sensitization - from “my head hurts” to “everything hurts”)
40
What are the criterion for migraine without aura?
* headache lasting 4-72 hrs * unilateral * pulsating * nausa and/or vomiting * photophobial & phonophobia
41
What are the criterion for tension-type headache?
* lasting 30min - 7 days * bilatearl * pressing/tightening (non-pulsating) * no nausea or vomiting * can have photophobia OR phonophobia, but not both
42
What is the pharmacological treatment for migraines?
* Preventative * propranolol, topiramate, amitryptyline, valproic acid * Abortives (rescue) * NSAIDS, tylenol * **_triptans_**: 5-HT1B/1D agonists * **_dihydroergotamine_** (DHE): 5-HT1B/D/F agonist
43
Triptans are contraindicated in what patients?
patients with cardiac risk b/c cause vasoconstriction patients with migraine with *atypical* aura
44
What are the non-pharmacological treatments for migraines?
* CoQ10 * Vitamin B2 * Magnesium Oxide * Lifestyle modifications * exercise/manipulation/physical therapy * avoid triggers (keep headache diary) * regular sleep & meal times
45
What are the migraines with *atypical* auras?
* hemiplegic migraine * includes contralateral paralysis/paresis * Migraine with Brainstem Aura * aka “basilar migraine” * symptoms originate from brainstem * dysarthria, vertigo, tinnitus, ataxia, diplopia
46
In a patient with migraine with atypical aura, what needs to be excluded as part of the diagnosis?
TIA/Stroke
47
What are childhood periodic syndromes that may be precursors to or associated with migraine?
* cyclical vomiting of childhood * benign paroxysmal vertigo of childhood * abdominal migraine of childhood
48
What are the complications of migraine?
* migraine aura triggered seizure (migralepsy); rare * migranous infarction
49
What are trigeminal autonomic cephalgias? What are the 4 types?
headaches that follow a trigeminal nerve pattern & are associated with cranial autonomic disturbance (conjunctival injection / lacrimation, nasal congestion, rhinorrhea, eyelid edema, forehead & facial sweating / flushing, sensation ear fullness, miosis and/or ptosis) 1. cluster 2. paroxysmal hemicrania 3. hemicrania continua 4. SUNA/SUNCT
50
What is the typical clinical presentation of a cluster headache?
* M * orbital/temporal stabbing, boring pain (15-180 min) in clusters for weeks - months w/ pain free remission * circadian periodicity * autonomic features * photophobia/phonophobia * ipsilateral to headache (unlike migraine)
51
What is a common trigger for cluster headache?
EtOH
52
What is the treatment for cluster headache?
* acute * sumatriptan SC * oxygen (10L/min - 15L/min 15-20min) * prophylactic * **verapamil**
53
What is the typical clinical presentation of a patient with paroxysmal hemicrania?
* F * similar to cluster - but **shorter attacks** * 2-30min & occur higher daily frequency than cluster * chronic (\>1yr) * ipsilateral autonomic features
54
What is a common trigger for paroxysmal hemicrania?
prominent nuchal/mechanical trigger
55
What is the treatment for paroxysmal hemicrania?
indomethacin always completely responsive
56
What is hemicrania continua
long version of paroxysmal hemicrania * unilateral headache (mild to moderate) - unremitting w/ exacerbations latering 30-3 days * pain _not as severe_ as cluster or paroxysmal hemicrania * complete response to indomethacin
57
Hemicrania continua can easily be misdiagnosed as what?
chronic migraine
58
What is the typical clinical picture of a patient with SUNA/SUNCT?
* F:M 1:1.5 * short lasting unilateral neuralgiform headache attacks (1-600s) & occur 1- 00 times/day
59
Treatment for SUNA/SUNCT?
Iamotrigine
60
Taking excessive amount of over the counter medicine can lead to what condition?
medication-overuse headache
61
What medications commonly cause medication overuse headache?
* butalbital * \>5 dayes/month * opioids * \>8 days/month * triptans, NSAIDS, analgesics * \>10days/month
62
Identify the type of headache indicated by the shown distribution
63
What is the pain quality & distribution of Trigeminal Neuralgia? Triggers? Causes?
* shock-like / stabbing pain * V2/V3 * trigger: cold, wind, brushing teeth, tactile stimulation * vascular loop compression / MS / Tumor
64
What is the pain quality & distribution of Glossopharyngeal Neuralgia? Triggers? Causes?
* shock-like, stabbing pain * ear, base of tongue, throat * may also cause bradycardia / asystole * _Trigger:_ swallowing, coughing, yawning, talking * _cause:_ neoplasm
65
How would you differentiate between trigeminal neuralgia & cluster headache?
trigeminal neuralgia: V2/v3 cluster: has V1 involvement
66
Treatment for tirgeminal neuralgia? Process of diagnosis?
Treatment: carbamazepine need MRI/MRA brain to exclude pathology (superior cerebellar artery in contact with CN V)
67
What are the possible secondary causes for glossopharyngeal neuralgia?
* pontocerebellar angle tumor * peritonsillar abscess * carotid aneurysm * calcified stylohyoid ligament