Strokes Flashcards

(46 cards)

1
Q

What is the definition of stroke?

A

inadequate blood flow to the brain resulting in cell death

How well did you know this?
1
Not at all
2
3
4
5
Perfectly
2
Q

What is a TIA?

A

brief episode of neurological dysfunction caused by focal brain or retinal ischemia, with complete resolution of symptoms, typically lasting less than 1 hour, and without evidence of infarction

How well did you know this?
1
Not at all
2
3
4
5
Perfectly
3
Q

What is the risk factor for stroke 2 days after TIA?

A

10%

How well did you know this?
1
Not at all
2
3
4
5
Perfectly
4
Q

What are the clinical symptoms of stroke?

A
  • Sudden
    • confusion, trouble speaking or understanding
    • numbness or weakness of the face, arm, or leg especially on one side of the body
    • trouble seeing out of one or both eyes
    • trouble walking, dizziness, loss of balance or coordination
    • severe headache with no known cause or no prior history of headache
    • neglect
How well did you know this?
1
Not at all
2
3
4
5
Perfectly
5
Q

What would you be looking for in a CT that indicates stroke?

A

hypodensity

How well did you know this?
1
Not at all
2
3
4
5
Perfectly
6
Q

When looking at a stroke on MRI, what two sets should you look at together?

A

ADC & DWI

How well did you know this?
1
Not at all
2
3
4
5
Perfectly
7
Q

Why do we see brightness with stroke on a DWI MRI?

A

loss of perfusion → increased edema →influx of fluid/protons that light up

How well did you know this?
1
Not at all
2
3
4
5
Perfectly
8
Q

Identify the type of aphasia indicative of leach level of the flow chart

A
How well did you know this?
1
Not at all
2
3
4
5
Perfectly
9
Q

What areas of language do we want to test when assessing stroke?

A

naming, fluency, comprehensive, repetition, prosed/singing, reading, writing

How well did you know this?
1
Not at all
2
3
4
5
Perfectly
10
Q

What are the 2 types of stroke? Which is more common?

A
  • Hemorrhagic: blood leaking out into the brain
  • Ischemic: loss of blood flow (85%)
    • thrombolic - clot develops in that specific area (usually d/t plaque build up)
    • embolic- clot forms somewhere else & shoots up to the brain (MC cardioembolic stroke)
How well did you know this?
1
Not at all
2
3
4
5
Perfectly
11
Q

Identify the characteristics of ischemic strokes relative to the following variable:

Acute / Hyperacute?

Headache?

Consciousness?

Herniation?

Territory?

A
  • Acute / Hyperacute?
    • acute or hyperacute
  • Headache?
    • moderate / no headache
  • Consciousness?
    • relatively preserved
  • Herniation?
    • rare / later
  • Territory?
    • clear vascular territory
How well did you know this?
1
Not at all
2
3
4
5
Perfectly
12
Q

Identify the characteristics of hemorrhagic strokes relative to the following variable:

Acute / Hyperacute?

Headache?

Consciousness?

Herniation?

Territory?

A
  • Acute / Hyperacute?
    • hyperacute
  • Headache?
    • severe
  • Consciousness?
    • usually impaired if large
  • Herniation?
    • early signs of herniation
  • Territory?
    • no obvious territory
How well did you know this?
1
Not at all
2
3
4
5
Perfectly
13
Q

Identify the arterial territory of the brain indicated in the provided image

A
How well did you know this?
1
Not at all
2
3
4
5
Perfectly
14
Q

What percent of all strokes are cardiothromboembolic?

A

20-30%

How well did you know this?
1
Not at all
2
3
4
5
Perfectly
15
Q

What are the major risk factors/etiologies for cardiothromboembolic stroke?

A

atrial fibrillation (x5)

acute MI w/ left ventricular thrombus

mechanical valve (mitral > aortic)

infective endocarditis

DVT → patent foramen ovale

intrapulmonary shunt

How well did you know this?
1
Not at all
2
3
4
5
Perfectly
16
Q

Ischemic stroke often occurs in what small-vessel diseases?

This most commonly affects which specific vessels?

A

hypertension / diabetes

subcortical/basal ganglia/brainstem area

How well did you know this?
1
Not at all
2
3
4
5
Perfectly
17
Q

Ischemic stroke often occurs in what large-vessel diseases?

This most commonly affects which specific vessels?

A

hyperlipidemia, hypovolemia

PCA, MCA, ACA, carotids

How well did you know this?
1
Not at all
2
3
4
5
Perfectly
18
Q

Other than vessel diseases, what are the other general etiological causes of ischemic stroke?

A
  • hypercoagulatin
  • genetic/vasculitic
  • genetic/metabolic
  • infectious
  • cryptogenic
How well did you know this?
1
Not at all
2
3
4
5
Perfectly
19
Q

What type of stroke is shown on the provided DWI image?

A

watershed stroke - string of pearls sign

between MCA & ACA territory, but all in one hemisphere

20
Q

This watershed stroke suggests what etiological cause?

A

ipsilateral carotid stenosis & hypovolemic state

loss of blood pressure → loss of perfusion → w/ stenosis lose have stroke in area between MCA & ACA territory

21
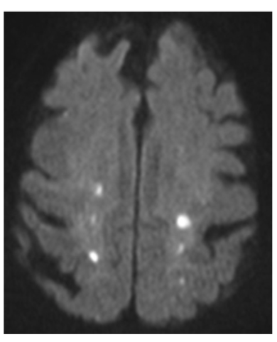
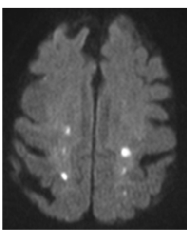
Q

What type of stroke is shown on the provided DWI image?

A

punctate

small, round infarcts cortically & in both hemispheres

22
Q

The punctate stroke shown in the provide image is suggestive of what etiological cause?

A

cardioembolic etiology

23
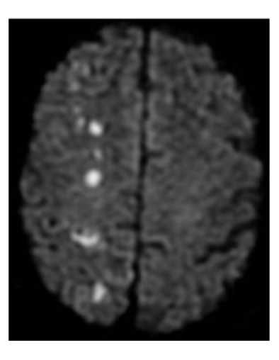
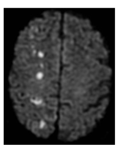
Q

What territory is impacted in the provided DWI/

A

MCA superior division territory

24
Q

The provided DWI image is indicative of what etiological cause of stroke?

A

watershed or thrombotic stroke

25
What type of stroke is shown in the provided DWI image?
lacunar infarct
26
The provided image of lacunar infarct on DWI is suggestive of what etiological cause of stroke?
small vessel disease | (hypertension, diabetes)
27
List the components fo the cerebral vasculature affected by atherosclerotic disease from high to low:
high to low * basilar artery * carotid * cavernous sinus * MCA & ACA divisions
28
What is carotid dissection?
tearing of the inner wall of an artery blood enters the tunica media of the vessel & forms intramural hematoma
29
What characteristics can increase a persons chance of having a carotid dissection?
* Ehler's Danlos Syndrom IV * marfan syndrome * autosomal dominant polycystic kidney disease * osteogenesis imperfecta type I
30
What is the clinical presentation of a patient with carotid dissection? Treatment?
ipsilateral cervical pain (25%) headache (66%) ipsilateral Horner Syndrome (\<50%) TIA (50-95%) days/hours after dissection Treatment: anti-platelet therapy
31
Describe the stroke pathophysiology
mismatch of blood pressure & blood volume → brain wants to maintain constant cerebral blood flow → cerebral vasodilation to maximize blood flow (allow for optimal blood oxygen extraction) → autoregulation is overwhelmed due to the insufficient cerebral perfusion pressure → blood flow decreases → tissue hypoperfusion
32
What is it called when the surrounding tissue in a stroke tries to respond to the loss in blood flow?
penumbra | (goal area for tissue recovery)
33
How long is brain tissue viable?
until cell death occurs can still be recovered even if it is not optimally metabolically function
34
Every 30 minutes in delay in acute perfusion leads to what percent irreversible outcome?
10%
35
What treatment for ischemic stroke increases the likelihood of patient independence at three months post event?
intravenous thrombolysis via recombinant tissue plasminogen activator (tpa) within 4.5 hrs
36
Patients with what kind of stroke are a candidate for endovascular thrombectomy within what timeframe post stroke?
large vessel occlusion 24 hrs from onset
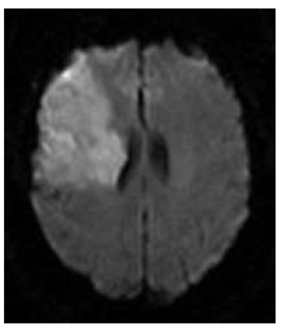
37
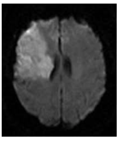
What type of stroke is shown in the provided image?
MCA branch ischemic stroke
38
Occlusion of what artery causes “locked in syndrome”? how?
basilar artery involving the pons disconnects supratentorium/midbrain from pons & medulla
39
What type of movement is spared in “locked in syndrome”? Why?
vertical eye movements controlled by interstitial nucleus of MLF in the midbrain just dorsal to red nucleus
40
What are the modifiable risk factors for stroke?
* hypertension * dyslipidemia * diabetes * metabolic syndromes * atrial fibrillation * carotid stenosis * cigarette smoking * alcohol use * obesity * physical inactivity * obstructive sleep apnea
41
What are the non-modifiable risk factors for stroke?
* age * gender * race/ethnicity * heredity * Hx of TIA/prior stroke
42
How long after quitting smoking is risk of stroke decreased? Cessation of smoking after how long brings risk of stroke to that of non-smoker?
after 2 yrs → risk decreased 5yrs
43
What medications can be given to patients to mitigate risk of stroke?
* anti platelet * aspirin, plavix * anticoagulation * coumadin, NOACs * statin
44
Control of what chronic conditions can help modify risk of stroke?
* control of blood pressure * weight loss / exercise / diet * diabetes management * smoking cessation * CPAP for obstructive sleep apnea
45
Women with what characteristic are predisposed to stroke?
with migraine with aura tobacco use supplemental estrogens
46
What procedure can be performed to decrease risk of stroke? In what situations is this appropriate?
carotid endarterectomy (70-99% stenosis) symptomatic: 50-59% stenosis