Group atrophy of skeletal muscles suggests what cause?
neurogenic disease
Perifascicular atrophy of skeletal muscle suggests what cause?
dematomyositis
Type II fiber atrophy of skeletal muscle suggests what cause?
corticosteroid therapy or disuse
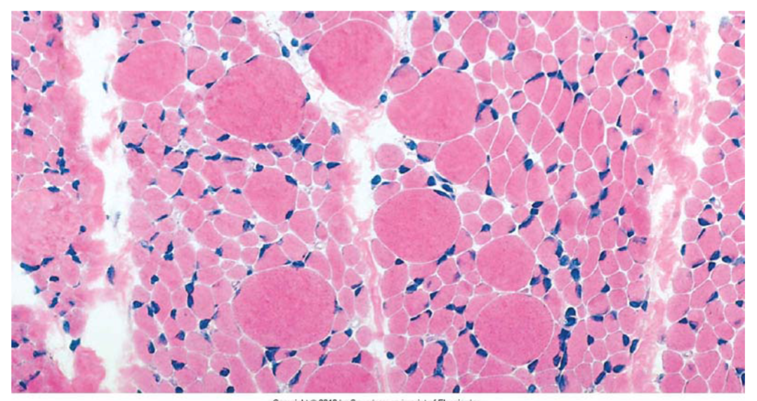
Whta pathology is shown in the provided image?

Denervation & atrophy
some of the cells are very atrophic & more angulated
not dead - just atrophic b/c not getting the stimulation from the nerve
During reinnervation, what can happen to fiber type?
they can switch depending on what type of nerve the get re-innervated by
axon determine what type o myofibril you have

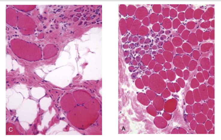
What type of pathology is shown in teh provided iamge?
How do you know?

Group atrophy & then regenration separated by type
What condition is seen in this provided image?

Myofiber hypertophy
can have many causes
What is the difference in presentation between Duchenne muscular dystrophy & Becker muscular dystrophy?
Presence of dystrophin?
What is the inheritance pattern of Muscular dysrophy with dystrohin mutation?
X-linked
(Duchenne & Becker)
Dystrophin is encoded by what gene?
IHC
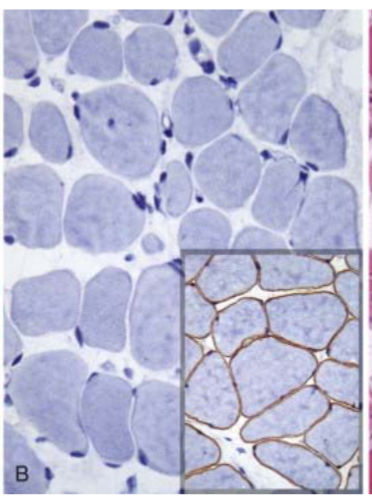
If this is a stain for dystophin, what condition is depicted in the provided slide?

Duchenne muscular dystrophy
the brown outline of the myofibers in the right-hand box is the dystrophin; notice this is absent in the larger image, indicative of the absence of dystrphin

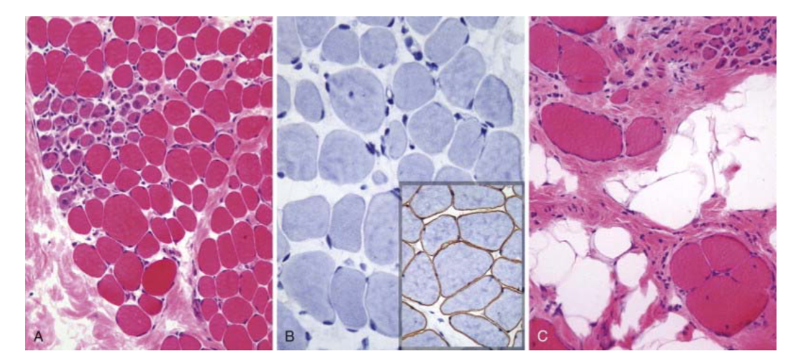
What condition is depicted in the provided slide?
The sample on the left is froma 3 yr old and the sample on the right is from a 9 yr old

Muscular Dystrophy
The collagen fibrosis that course between & around the myofibers is characteristic of muscular dystrophy
In the sample on the right, even more myofibers have been replaced by collagen & adipose
Identify the types of peripheral nerve damage shown in the diagram

What are the characteristics of nerves after regeration of axons after injury?
What are the characteristics of nerves after remission of demyelinating disease?

What types of tumors have evidence of Schwann cell differentiation?
Peripheral Nerve Sheath Tumos
Peripheral nerve sheath tumors are associated with what common familial tumor syndromes?
neurofibromatosis 1 & 2
schwanomatosis
How do malignant peripheral nerve sheath tumors most commonly arise?
malignant transformation of preexisting benign plexiform neurofibromas
What pathology is shown on the provided image?
Benign or malignatn?
Arising from what cells?
Schwannoma
(well-circumscribed, encapsulated, firm gray masses, loosely attached to, but not invadign associated nerve)
benign tumor
often arist directly from peripheral nerves
Schwannomas asre associated with what gene mutation?
inactivating mutation in NF2 gene on chromosome 22
wiht loss of gene product (merlin)
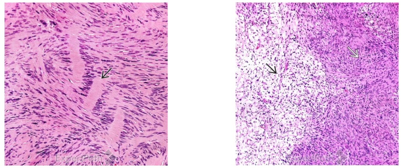
The provided microscopic samples are from what larger pathology? Describe the two samples.

Schwannoma
What is the composition of neurofibromas?
schwann cells are admixed with perineurial-like cells, fibroblasts, mast cells & CD34+ spindle cells
What are the 3 types of neurofibromas?
superficial cutaneous
diffuse
plexiform
Neurofibromas can be associated with what gene mutation?
NFT1
What pathology is shown on the provided image?

Cutaneous superficial neurofibroma
ovoid or fusiformmass with gelatinous or wavy cut surface
(transected nerve fibers can be seen at the ends)