What is the leading cause of TBI?
falls (esp in elderly)
What is the primary mechanism of preventing spinal cord injury?
avoid injury
What are the 3 components of the Glasgow Coma Scale?
Eye
Verbal
Motor
What are the levels of the Eye component of the Glasgow Coma Scale?
Best eye response
What are the levels of the Verbal component of the Glasgow Coma Scale?
best verbal response
What are the levels of the Motor component of the Glasgow Coma Scale?
best motor response
What numbers constitute a mild, moderate & severe glasgow coma score?
Mild : 13-15
Moderate : 9-12
Severs : 3-8
What are the signs of elevated intracranial pressure?
What are signs of impending herniation?
What is the name of this sign?
What does it mean?

battle’s sign
posterior fossa injury
What is the name of this sign?
What does it mean?

Racoon eyes
anterior fossa injury
What are the contents of of the skull & relative percentages?
What is the name of the concept that an increase in the volume of one of the compartments of the cranium myst be offset by an equal decrease in another compartment, otherwise intracranial pressure will rise?
Monro-Kelli Doctrine

What buffer accounts to Cranial Reserve?
CSF compartment

Diffuse axonal injury is what type of finding?
nonsurgical
What is axonal shear injury & how does this type of injury occur?
Really, anything that cause a shearing force

What are the grades of Diffuse Axonal Injury Scale?

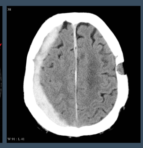
What type of injury is shown in the provided image?
Symptoms?
Surgical indication?

Epidural hemorrhage (convex/lens shaped)
lucid interval - then pass out
YES - surgery is indicated
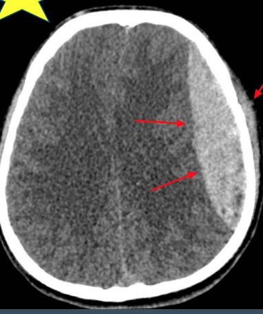
What type of injury is shown in the provided image?
Risk factors?
Surgical indication?

Subdural hemorrhage (concave/crescent-shaped)
Elderly; EtOH abuse
YES - surgery idicated
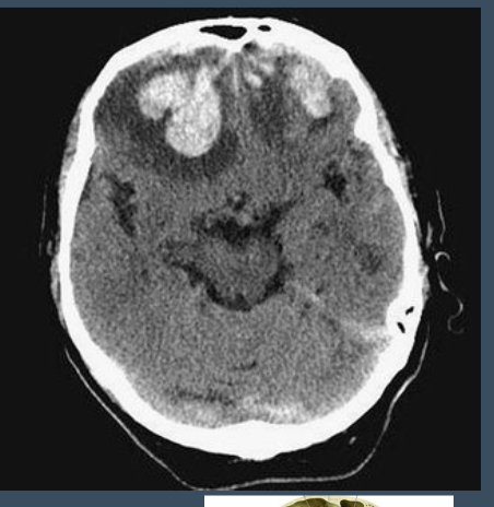
What type of injury is shown in the provided image?
Most common locations?
Surgical indication?

Intracerebral hemorrhage (contusion)
Bony areas
YES - surgery is indicated

What are the steps to mild TBI managemetn?
Often recover quickly & fully - do not require hospitalization
Why is it important to follow the TBI guidelines?
patients 2x more likely to survice when following guidelines
What situations can cause cerebral herniation?
Identify the type of herniation indicated on the provided image:

