What is MS?
Resulting pathology?
Autoimmune inflammatory disease of the CNS
causes demyelination & variable axonal loss ; multiple lesions (plaques) involving brain & spinal cord
What are the genetic & environmental risk factors for MS?
What pathology is shown in the provided image?

MS
wel circumscribed, tan, irregularly shaped plaque in periventricular white matter (demyelinating)
If the provided sample has been stained with Luxol-fast blue PAS, it is from what disease?

MS
unstained regions of demyelination
plaques (red arrows) seen around the 4th ventricle
What features of MS plaques are depicted in the provided schematic?

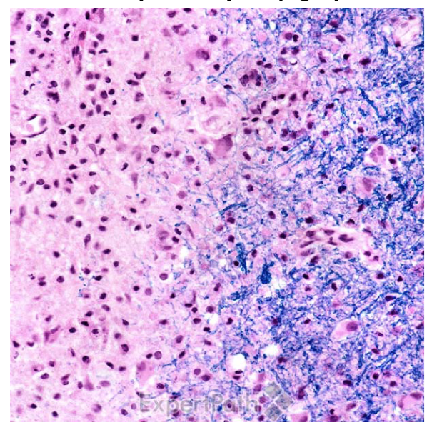
What patholgy is shown in the provided images? This is suspicious of what conditin?
If the provided sample has been stained with Luxol-fast blue PAS, it is from what disease?

sharp interface between lesion- demyelination - (left) and normal parenchyma (right)

What is ADEM?
It is associated with what conditions?
Acude Disseminate Encephalomyelitis
brief but widespread demyelinating disease in the brain & spinal cord (mainly in children)
post-infectious/post-vaccinial/allergic encephalomyelitis
usually follows URI

PML is cause by what virus?
JC polyoma virus
Describe the pathophysiology of PML
deadly demyelinating CNS disease due ot lytic infection of oligodendrocytes
related to AIDS & immunosuppressive therapies
What pathology is shown im the provided images?

PML

What pathology is shown in the provided images?

Advanced stage PML
large areas of cerebral white matter have depressed, cavitated areas w/ granular appearance (black open arrow)
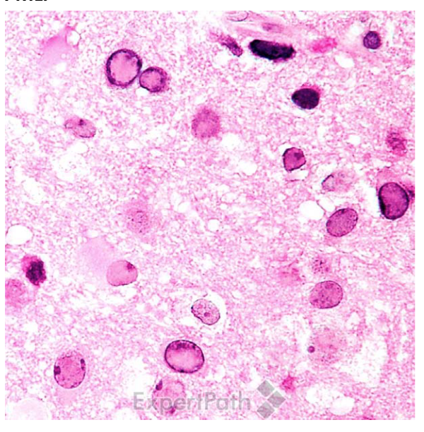
What type of cells do see in this microscopic sample?
They are classic expression of what?

homogenized nuclei of oligodendrocytes
classic expression viral infections (ie. PML)
What is central pontine myelinolysis?
degeneration of a symmetrical midline portion of the basis pontis & portions of pontine tegmentum
loss of myelin w/ relative preservation of axons & neuronal cell bodies
Central pontine myelinolysis is most commonly seen in what situations?
rapid correction hyponatremia
What condition is seen in the provided image?

Central pontine myelinolysis
myelin loss without evidence of inflammation
all lesions appear at same stage of myelin loss & reaction
What pathology is shown in the provided image?

focal watershed infarct
What cause of infarct is shown in the provided image?

in situ thrombosis
Other than atherosclerosis, what are the other common causes of thrombosis?
Cardiac mural thrombi
Vasculitis (infectious & non-infectious)
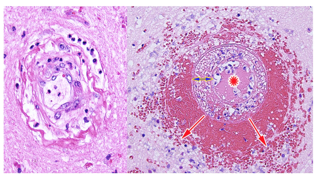
What pathology is shown in the provide image?

Hemorrhagic Infarct: shower emboli
What pathology is happening in the two images?

Left - infarct
Right - reperfusion injury (d/t damaged vessel wall, they become leaky & you can get hemorrhage in the surrounding area)
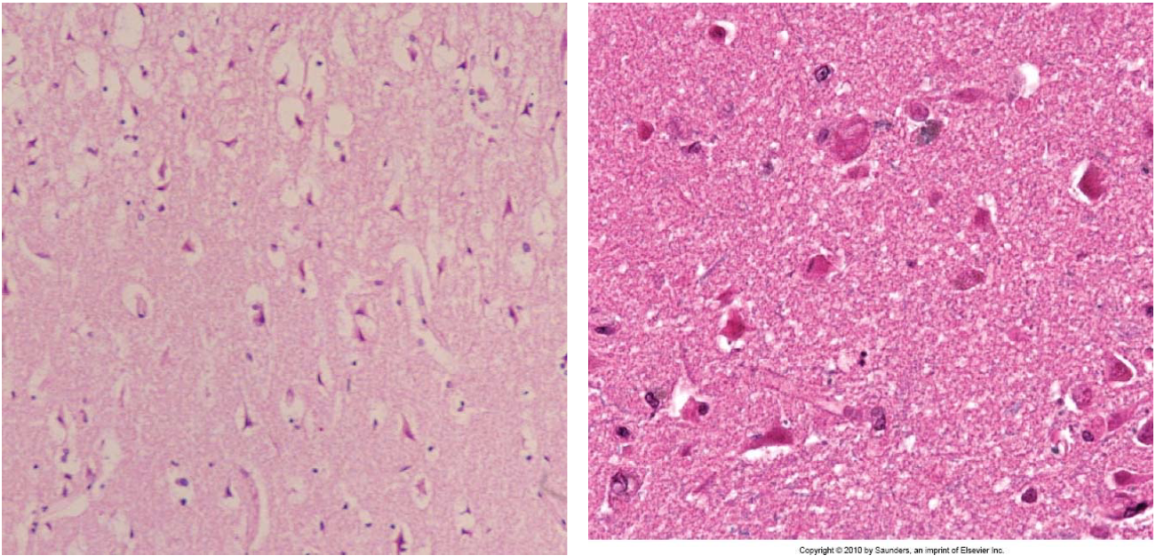
What pathology is shown in the provide image?

Acute Bland Infarct
12-48 hr
(w/o significant reperfusion injury)
What is the general cause of bland infarct vs. red infarcts?
What is one of the earliest morphological findings of a bland infarct?
Edema & red neurons
clear spaces around red neurons that are starting to shrink
