Hemorragia Subaracnoidea Flashcards

(20 cards)

1
Q

Morbimort de hemorr SA

A

45% fallecen en primeros 30 d.
50% secuelas irreversibles

How well did you know this?
1
Not at all
2
3
4
5
Perfectly
2
Q

Edad promedio de HSA

A

55 a.

How well did you know this?
1
Not at all
2
3
4
5
Perfectly
3
Q

Género predominante en HSA

A

M 3:2

How well did you know this?
1
Not at all
2
3
4
5
Perfectly
4
Q

Causas de HSA

A

Traumática espontánea
Malfromaciones vasc
Arteriopat
Enf aso a HA

How well did you know this?
1
Not at all
2
3
4
5
Perfectly
5
Q

Clx de HSA

A

Inicio súbito
Cefalea SEVERA
N/V
Fotofobia
Alt de conciencia
Hemorr subhialoideas en fondo de ojo
Sx meníngeos

How well did you know this?
1
Not at all
2
3
4
5
Perfectly
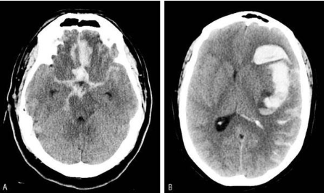
6
Q

HSA IMAGEN

A
How well did you know this?
1
Not at all
2
3
4
5
Perfectly
7
Q

Dx de imágen de HSA

A

TC
- Temprano puede aparecer normal
AngioTAC
- Buscamos aneurisma SIEMPRE

How well did you know this?
1
Not at all
2
3
4
5
Perfectly
8
Q

Siguiente paso de px con sx sugestiva de HSA y TC normal

A

Punción lumbar
- LCR hemorr
- LCR xantocrómico (amarillo)

CONFIRMAN DX

How well did you know this?
1
Not at all
2
3
4
5
Perfectly
9
Q

¿Qué indica LCR xantocrómico?

A

Prod hemáticos NO recientes

How well did you know this?
1
Not at all
2
3
4
5
Perfectly
10
Q

Manejo de HSA

A

Tx de exclusión de aneurisma tras rotura
Manejo médico

How well did you know this?
1
Not at all
2
3
4
5
Perfectly
11
Q

Tx de exclusión de aneurisma tras rotura
en HSA

A

Clipaje (craneotomía)
Tx endovasc (cateterismo)

How well did you know this?
1
Not at all
2
3
4
5
Perfectly
12
Q

Manejo médico de HSA

A

Reposo
Analgesia
Antihipertensivos
Prev de vasoespasmo

How well did you know this?
1
Not at all
2
3
4
5
Perfectly
13
Q

¿Qué es un vasoespasmo?

A

Estrechamiento repentino de vaso por presencia de sangre en espacio subarac

How well did you know this?
1
Not at all
2
3
4
5
Perfectly
14
Q

¿Con que farm prevengo vasoespasmo?

A

Nimodipino

How well did you know this?
1
Not at all
2
3
4
5
Perfectly
15
Q

Complicaciones de HSA

A

Resangrado
Vasoespasmo
Hidrocefalia

How well did you know this?
1
Not at all
2
3
4
5
Perfectly
16
Q

Riesgo de resangrado tras HSA

A

Mayor riesgo 24 hrs
50-70% mort

17
Q

Riesgo de vasoespasmo en HSA

A

3 - 13 d. post en 30%
Riesgo de EVC isq

18
Q

Etapa aguda de hidrocefalia

A

Oclusión de drenaje

19
Q

Etapa crónica de hidrocefalia

20
Q

Complicaciones no tan frecuentes de HSA

A

Edema
Isq tardía
Crisis epilépticas
Hiponatremia
Anormalidades cardiopul
Disfunción neuroendocrina