Vilka faktorer bidrar till hudens motståndskraft mot yttre faktorer?
Keratin, UV-skydd (melanin och kreatin), Lågt pH (5-6, pga laktat och fettsyror från talgkörtlar + svett), antimikrobiella peptider (defensiner)
Vilka tre skikt utgör huden?
Epidermis, dermis och subcutis
Hur förankras epidermala celler?
Intermediära filament, desmosomer, hemidesmosomer, basalmembran
Vilka lager utgör epidermis, inifrån och ut?
Hur tjock är epidermis?
Stratum basale = Basalcellslager. Proliferation, mognar utåt
Stratum spinosum = Skivepitellager
Stratum granulosum = Granulärlager
Stratum lucidum (endast tjock hud) = ¨Genomsklinigt lager¨
Stratum corneum = Hornlager
Tjocklek: 0,05 mm - 1 mm beroende på lokalisation

Vilka celltyper finns i epidermis?
Keratinocyter, langerhans-celler (APC), melanocyter, merkelceller (känscelcellr i str. basale)
Vilka taktilareceptorer förekommer i huden?
Vad registrerar de?
Merkelceller och meissnerkroppar finns basalt: Föremedlar lätt beröring och känsel, via fria nervändar i hunden.
Pacini- och ruffinikroppar: Stimuleras av tryck
Dermis:
Tjocklek?
Funktion?

Celltyper i dermis?
Fibroblaster och makrofager
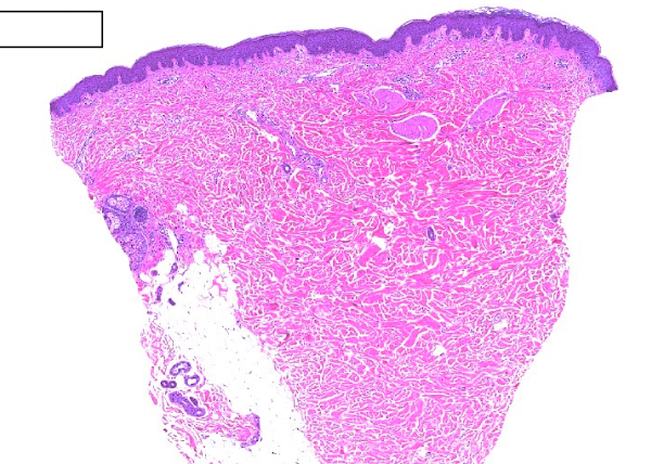
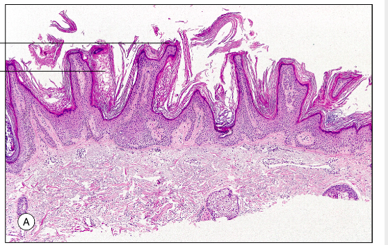
Vad är detta?

Normal hud
Vad finns i subcutis?
Funktion?
Bindväv, fettceller
Stödjevävnad, värmeisolering och energidepå
Hur lång tid tar det för huden att nybildas (mognad + avstötning)?
Cirka 5 veckor, 3 veckor från str. basale till corneum. Därefter avstötning 2 veckor senare
Vad betyder följande:
Acantolys
Acantos
Basal degeneration
Dyskeratos
Elastos
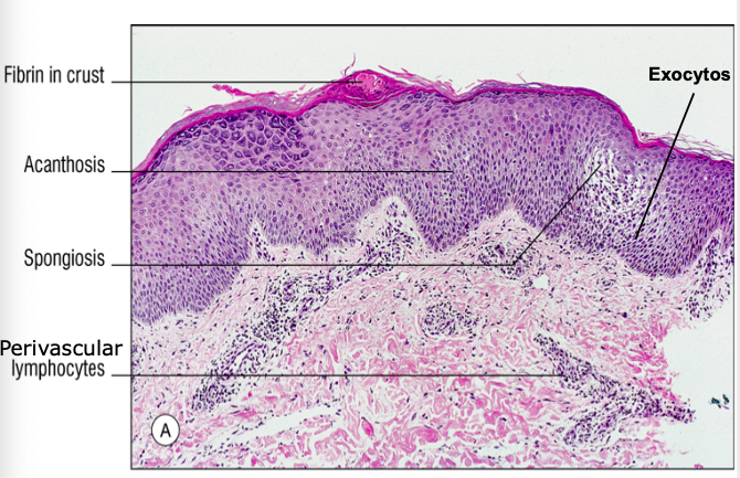
Exocytos
Histiocyt
Hornpärlor
Hydrop degeneration
Hyperkeratos
Acantolys: Cellerna i str. spinosum förlorar vidhäftning.
Acantos: Ökad tjocklek av epidermis
Basal degeneration: Skadat str. basale
Dyskeratos: Rubbad keratinisering i enskilda keratinocyter
Elastos: Degenererat elastin, ofta UV-inducerat.
Exocytos: Migration av celler upp i dermis.
Histiocyt: Vävnadsmakrofag.
Hornpärlor: Rundade intraepidermala områden med hornmaterial
Hydrop degeneration: Basal degeneration
Hyperkeratos: Förtjockning av str. corneum.
Vad betyder följande?
Koilocyt
Kärnsplitter
Lichenoid reaktion
Melanofag
Mikroabscess
Ortokeratos
Parakeratos
Pagetoid uppvandring
Papillomatos
Koilocyt: Virusinfekterad keratinocyt, fr.a. HPV. ¨Fågelögon¨
Kärnsplitter: Kärnfragment av neutrofiler
Lichenoid reaktion: Inflammatorisk bandformat cellinfiltrat under epidermis
Melanofag: Makrofag med intracellulärt pigment
Mikroabscess: Små ansamlingar av vita blodkroppar. Ofta intraepidermalt.
Ortokeratos: Kärnfritt stratum corneum (normalt).
Parakeratos: Kärnor i stratum corneum.
Pagetoid uppvandring: Förekomst av atypiska celler i epidermis.
Papillomatos: Vågformig proliferation av epidermis.
Vad betyder följande?
Pigmentinkontinens
Spongios
Vaccuolisering
Pigmentinkontinens: Deposition av pigment (melanin) i dermis.
Spongios: Intreapidermalt extracellulärt ödem.
Vaccuolisering: Intracellulär uppklarning
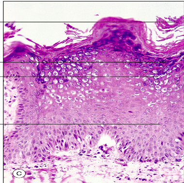
Vad är detta?
Kännetecken?

Verruca vulgaris: Virusinducerad (HPV) vårta. Ofta självläkande. Drabbar främst barn och unga vuxna. Fr.a. mellantjock - tjock hud,
Histologi:

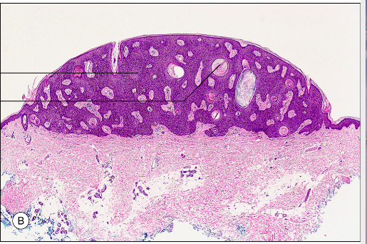
Vad är detta och hur uppkommer det?
Hur vanligt, åldersgrupp?
Kännetecken kliniskt och histologiskt?

Seborrhoisk keratos: Vanligaste benigna tumören hos äldre. Patogenesen är okänd, men det finns en hereditäs benägenhet.
Kännetecken: Välavgränsade, hudfärgade-gråsvarta, vanligast på bålen.
Histologi:

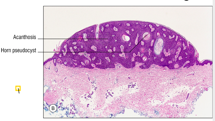
Vad är detta?

Seborrhoisk keratos

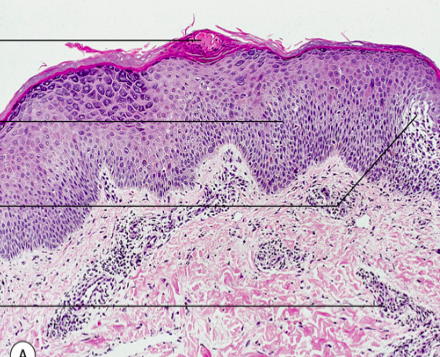
Patiente med kliande utslag i böjvecken. Histologiskt: bl.a. perivaskulära lymfocytinfiltrat
Vad är detta?
Vilka drabbas?
Patogenes?
Kliniska kännetecken?
Histologi?

EKSEM
Vilka drabbas? Främst barn, 15-20 % i prevalens.
Patogenes: Atopiska eksem = typ-1-överkäsnlighet. Koppling till luftvägsallergier. Ärftliga komponenter.
Kliniska kännetecken: Torr hud, klåda, rodnade makulopapulösa plack, rivmärken.
Histologi: Förtjockat hornlager, akantos, förlängda retetappar, lymfocytär exocytps, spongios.

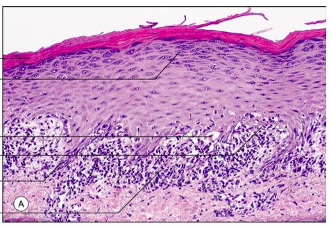
Psoriasis vulgaris:
Vad är det?
Kännetecken kliniskt
Histologi
Vad är det: En reaktiv hyperproliferation av epidermalt skivepitel
Kännetecken kliniskt: Stearinartad fjällning, köbnerfenomen, kliar oftast INTE.
Histologi: Klubboformade retetappar och hyperparakeratos.

Vad är detta?

Psoriasis

Psoriasis
Prevalens: 3-4 %
Ärftlig.
Män: kvinnor = 1:1, alla åldrar drabbas
Psoriasis guttat
Vad är detta?


Lichen planus
Orsak och hereditet
Kliniska kännetecken
Lokalisation
Histologi
Orsak och hereditet: Okänd etiologi, ingen känd hereditet
Kliniska kännetecken: Kliande, platta rödvioletta papler. Köbnerfenomen.
Lokalisation: Hanleder och buccalslemhinna är vanligast.
Histologi: Hyperortokeratos, hypergranulos, sågtandad acantos