Qu’est-ce que c’est ? Pourquoi?

Cacinome basocellulaire tatoué car:
nodule perlé avec télangiectasies et zone hyperpigmentée
Un patient présente ces lésions après avoir ingéré un médicament, qu’est ce que c’est? Quelle CAT?

Urticaire aiguë car: dermatose figurée avec papule oedémateuse et éléments annulaires arciformes. ttt=arrêt du médicament et introduction d’antihistaminiques
Qu’est ce que c’est? ttt?

érosion post bulleuse. Penser à un impétigo bulleux car lésion située dans les plis d’où macération, chaleur, écologie particulière etc..
ttt= antiseptique, antibio locaux
Qu’est ce que c’est?

érythème polymorphe car image en cocarde
Diagnostic? Que faut il chercher?

glossite et candidose oropharyngée car langue cérébriforme inflammatoire avec dépôt blanchâtre
Proposer sérologie VIH
Qu’est ce que c’est?

Purpura vasculaire car déclive et infiltré
Quel est le stade de cette escarre sacrée et pourquoi ?
stade III car ulcération marquée du tissu sous cutané sans atteinte du fascia
Quel est le stade de cette escarre du talon?
stade II car atteinte derme+ épiderme et bulle hémorragique
Diagnostic?

syndrome de Kaposi Juliusberg: primo infection herpétique sur dermatite atopique (on voit signe de Denie Morgan -double cerne- qui signe la dermatite atopique)
Diagnostics possibles?

toxidermie bulleuse, érythème polymorphe bulleux, pemphygoïde cicatricielle ou pemphigus
Diagnostic?

Varicelle car vésicules ombiliquées et éléments d’âge différents
Diagnostic et traitement?

Acné congobata (nodulaire)
ttt= isotrétinoïne
Diagnostic, traitement?

Acné papulo-pustuleuse du visage
ttt= antibiothérapie par cyclines + ttt local par peroxyde de benzoyle ou rétinoïde topique
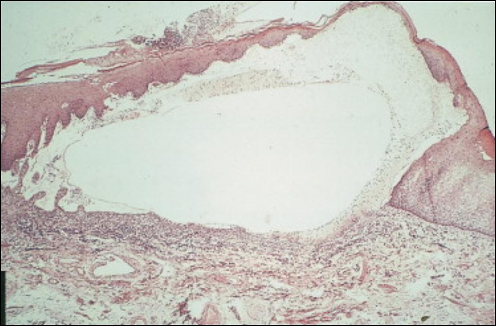
Voilà l’anapath d’une biopsie de bulle cutanée. Pas de médicament récent. Qu’est ce que c’est?
Bulle sous-épidermique, pas d’acantholyse, pas de nécrose kératinocytaire = c’est une pemphigoide bulleuse
Diagnostic?

comédons et papules de la joue= acné
Diagnostic? traitement?

Dermatite séborrhéique lisière cuir chevelu: squames grasses.
ttt= shampoing au kétoconazole
Diagnostic?
dermatophytiede la peau glabre ou herpès circinné
lésion de la face interne de cuisse, ressemblait à de l’urticaire au départ, très prurigineuse. Signe de Nikolsky négatif, qu’est ce que c’est ?
Bulle tendue sur base érythémateuse = pemphigoïde bulleuse
Biopsie avec immunofluorescence directe d’une bulle cutanée. Quel est le diagnostic? (ici IgG)
Dépôt d’IgG linéaire le long de la membrane basale = pemphigoïde bulleuse
Diagnostic? traitement?

Pityriasis amiantacé= forme grave de dermatite séborrhéique. Aspect de casque engainant des touffes de cheveux.
ttt= corticothérapie orale courte car gravité, et kétoconazole topique
Qu’est-ce que c’est ?

Pityriasis amiantacé, forme grave de dermatite séborrhéique (aspect de casque engainant touffes de cheveux)
Diagnostic?

Pityriasis rosé de Gibert car macules OVALAIRES ++
Apparait après un épsiode d’eczéma dihydrosique
Diagnostic? Traitement?
rosacé stade IV: Rhinophyma. Prédominance masculine
ttt= laser CO2 ou chirurgie
Diagnostic et stade? ttt?
Rosacée stade III =papulo-pustuleuse diffuse
ttt= cyclines po + métrondiazole 0,75% topique