The urogenital system is composed of:
What are the three separate pairs of nephric structures that arise successively in a cranio-caudal fashion with the previous structure degenerating and being replaced?
The Urogenital Ridge
Development of the Pronephros
In humans, the pronephros is a rudimentary kidney structure that develops bilaterally in the intermediate mesoderm in neck and head region.
Development of the Mesonephros
The mesonephros appears in a cranial to caudal manner, just caudal to the pronephros. It is quite large, and over time extends from the 1st thoracic to 3rd lumbar vertebrae.
A. Early in the fourth week, mesonephric tubules begin to form in the intermediate mesoderm. These paired structures are produced in a cranial to caudal fashion.
B. The mesonephric tubules do differentiate into excretory units. They form a Bowman’s capsule at the end of each tubule and branches of the dorsal aorta extend into each and form a glomerulus.
C. As the mesonephric tubules are forming, a mesonephric duct begins to form as a solid rod of cells in the urogenital ridge from the thoracic region down to the cloaca (embryonic bladder/rectum combo). After fusion with the cloaca, the rod begins to form a lumen, resulting in a duct. The mesonephric tubules fuse with the mesonephric duct, opening the passage from the mesonephric excretory unit to the cloaca.
D. Even as caudal mesonephric tubules are forming, the cranial portion of the mesonephros has begun to degenerate- this all occurs between 5-8 weeks of age.
E. In the male, mesonephric tubules will persist as the efferent ductules of the testis and the mesonephric (Wolffian) duct will persist as the ductus deferens. In the female (without substantial testosterone), they will all regress and a parallel duct system will form the oviduct and uterus.
Development of the Metanephros
A. The metanephric kidney is the last/third and definitive kidney. It begins to form early in the fifth week (thus overlapping with the mesonephros). It arises from two structures: the ureteric bud (ducts) and the metanephric blastema (kidney).
B. The ureteric bud buds off of the mesonephric duct. It grows dorsally and induces the intermediate mesoderm to form the metanephric blastema. A blastema is a blob of undifferentiated tissue.
C. The ureteric bud gives rise to the urine collecting elements- collecting tubules, major and minor calyces, and the ureters.
D. The ureteric bud undergoes repeated branching to form many generations of collecting tubules. The first generations become confluent to form the major calyces, the next generations form the minor calyces, and the remainder forms the true collecting tubules.
E. The metanephric blastema gives rise to urine producing and processing portions of the kidney between the glomerular capillary and the collecting duct. These are the Bowman’s capsule, proximal convoluted tubule, Henle’s loop, and the distal convoluted tubule.
F. The metanephric blastema is induced by the ureteric bud to form vesicles and, eventually, S-shaped tubules. i. S-shaped tubules become nephrons. ii. Vascular endothelial cells grow into this primordium to form the glomerulus iii. Older nephrons mature to form elongated loops of Henle, newer nephrons are formed in more cortical areas.
G. At birth, each kidney contains 800,000 to 1,000,000 nephrons. Nephron formation is thought to be complete at birth. Growth of the kidneys after birth is the result of elongation of the proximal convoluted tubules and loops of Henle, as well as increased interstitial tissue.
Metanephric blastema
Ureteric bud forms…
Regulation of Kidney Development and Defects
Ascent of the Kidneys
A. The metanephric kidneys originate deep in the pelvic region, adjacent to the bladder. During the late embryonic (week 6-8) and early fetal period (week 9), they shift into the abdominal region. This is largely due to the growth of the caudal region of the embryo.
B. Blood supply to kidney begins at sacral level from dorsal aorta branches. As the kidneys ascend, they develop new connections with the aorta at each level. Sometimes these vessels will persist in the adult. Kidney Development 6
C. During ascent, the kidneys rotate 90° so that the hilum faces medially.
D. If the inferior poles of the metanephric blastema grow into one another while they are still in the pelvis, they can become fused into a horseshoe kidney. When ascending into the abdomen, this horseshoe kidney will get caught under the Inferior Mesenteric Artery (IMA) and the kidney will remain in the pelvis (see below).
Formation of the Urinary Bladder
A. The urorectal septum, a mesodermal cone, divides the cloaca into the urogenital sinus and the rectum. Failure of this cone to create a good division between the rectum and bladder can lead to imperforate anus and other malformations of the external genitalia, and recto-vesicle fistulas (internal connections allowing leakage between the rectum and bladder). Although the lining of the rectum and bladder are associated with the endodermal germ layer, the segregation requires the mesodermal cone, and thus associates with mesodermal germ layer disorders (VACTERL), similar to the tracheo-esophageal separation you will learn aout in DMH.
B. The base of the allantois at its attachment to the urogenital sinus expands to form the urinary bladder, with an embryonic connection (urachus) to the extra embryonic allantois (for early waste removal). The connecting urachus closes and becomes the median umbilical ligament in the adult (STEP1). Failure of the urachus to close leads to leaking of urine out the umbilicus in the newborn (patent urachus).
C. Growth of the dorsal bladder incorporates the mesonephric ducts and ureteric buds (of the metanephros) into the bladder wall. The remaining ureteric bud forms the ureter. The smooth area formed and bounded by the entry of the mesonephric ducts (future ductus deferens that empty into the prostate along with the seminal vesicles) and ureters is known as the trigone of the bladder. Stretch receptors here signal bladder fullness (flashback to Neuro).
E. The area of the urogenital sinus where the mesonephric ducts enter becomes narrowed and forms the beginning of the urethra.
Patent Urachus
Failure of the urachus to close leads to leaking of urine out the umbilicus in the newborn
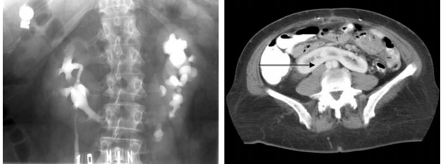
Horseshoe Kidney
Horseshoe Kidney (1/600) is usually asymptomatic and forms when the bilateral metanephric blastema get stuck together in the midline. Because the inferior mesenteric artery comes off of the ventral side of the aorta in the lower abdomen, the now horseshoe-shaped kidney gets caught under this vessel and cannot rise up to its normal location along the dorsal, retroperitoneal wall of the abdomen.

Unilateral Multicystic Dysplasia

Bilateral Multicystic Kidney or Bilateral Renal Agenesis
POTTER
P – Pulmonary hypoplasia (urine/amniotic fluid is needed for lung development)
O – Oligohydramnios (insufficient amniotic fluid = trigger)
T – Twisted face (compressed features due to oligohydramnios)
T – Twisted skin (ditto)
E – Extremity defects (ditto)
R – Renal failure in utero (primary cause)

Pelvic Kidney
•One-third of all children born with a pelvic kidney have other complications either with their cardiovascular system, the central nervous system or their urinary system

Trigone
•The trigone starts out mesodermal in origin whereas the rest of the bladder lining is endodermal in origin. Eventually the endoderm overgrows it.

Imperforate Anus
Vertebral defects
Anal atresia
Cardiac defects
Tracheo-esophageal fistula
Renal anomalies
Limb abnormalities.
