Urinary Tract in the Kidney
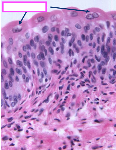
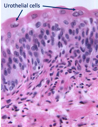
-Transitional epithelium is a stratified epithelium, capable of great extension, and characterized by the presence of urothelial cells (aka umbrella cells, transitional cells, dome cells) at the lumenal surface.
Urothelial Cells
Ureters
-Peristalsis in the muscularis moves urine continuously towards the bladder.
Main Sites of Constriction in the Ureter
The lumen of the ureter is susceptible to constriction at 3 main sites, which are therefore prone to obstruction by renal calculi (stones):

Ureter in the Female
In the female, the ureters are crossed superiorly by the uterine arteries lateral to the cervix, and they are vulnerable to injury at this location during hysterectomy.
Urinary Bladder
Trigone
A triangular area of the bladder wall called the trigone, lies between the ureteral openings and is smoother than the rest of the wall. In females, this area is sometimes lined by stratified squamous epithelium rather than transitional epithelium. The trigone is supported against collapse, and allows complete emptying of the bladder.

Bladder Layers
Female Urethra

Male Urethra
•The male urethra has three parts:






Uretovesicle Junction
The bladder wall forms a flap valve at the ureterovesicle junction.












Membranous urethra (location of voluntary sphincter)
