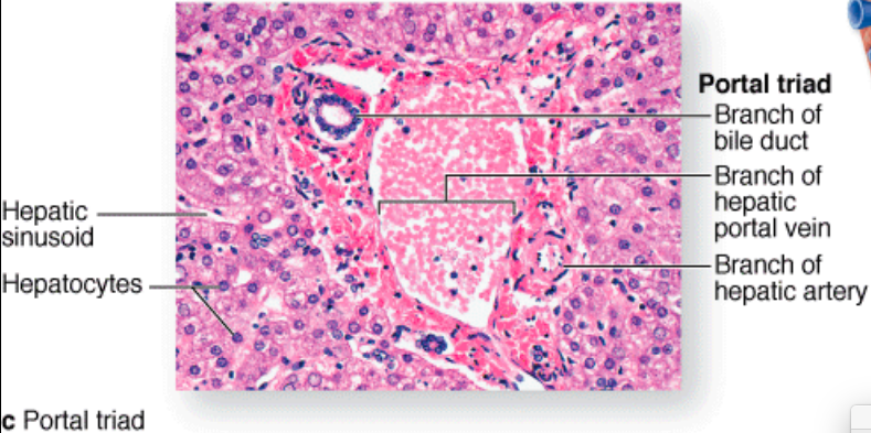
Describe the dual blood supply of the liver
Portal vein: 75% of blood, but oxygen-poor
Hepatic artery: 25% of blood, but oxygenated
Both drain into hepatic sinusoids

Peribiliary plexus
Where? Fxn?
Between the bile and blood within the portal tract
Provides the means for modifying biliary secretions through the bidirectional exchange of compounds (proteins, inorganic ions, bile acids)
The hepatocyte is a one-cell-thick epithelium lining the vascular sinusoids fed by the portal vein & hepatic artery
What feature of the hepatocytes allows it to alter composition of blood and bile?
Fenestrations permit passage of big molecules like albumin –> transport electrolytes across membranes to alter blood & bile
Kupffer cells
Phagocytes associated with the endothelium of sinusoids.

space of Disse
Where is it?
Fxn?
Between the hepatic cells and endothelium
During abnormal conditions, ___ will produce excessive collagen –> liver dysfunction
Stellate/Ito cells: storage site for retinoids & source of growth factors for hepatocytes
The apical surface of the hepatocyte occupies a ___ fraction of the cell membrane.
The apical surfaces of adjacent cells oppose each other to form ___.
Apical membrane sof adjacent cells oppose each other to form a small fraction of the cell membrane.
Apical membranes of adjacent cells oppose each other to form a channel between cells called canaliculus, which drain bile into biliary ducts

Pathway of bile

Cholangiocytes
classical columnar cells that line biliary ducts and modify the composition of bile:
Bile composition
10 : 3 : 1
Bile acids : phosphatidyl choline: cholesterol
Canalicular bile
Hepatic bile
Gallbladder bile
Bile in the intestine
Cholangiocytes
Columnar cells lining biliary ducts that modify bile:

What impact does eating a meal have on cholangiocytes?
Secretin

Function of gallbladder
storage and concentration of bile
How does the gallbladder concentrate bile?
Isotonic reabsorption of NaCl** and Na_HCO3-_ b**y the leaky gallbladder epithelium leaves bile & bile components behind
Bile acid monomers that become avialable as a reuslt of concentration in the gallbaldder are immediately..
incorporated into micelles to prevent cholesterol precipitation
Describe the transporters involved in gallbladder concentration of bile

How does the pH of bile change after gallbladder modifies it?
Why is this important?
Goes from slightly alkaline to slightly acidic
More soluble–> reduces risk of calcium precipitation or gallbladder stones
Name the changes in bile composition during gallbladder storage
Major functions of bile
Bile acid synthesis
Cholesterol metabolism forms bile acids.
First & rate-limiting step: 7a-hydroxylase
What enzyme catalyzes the rate-limiting step of bile acid synthesis?
the first one: 7a-hydroxylase
What results if, after cholesterol metabolism, th ebile acid is further hydroxylated?
Cholic acid
How is bile acid synthesis regulated?
If bile acid levels are high in the blood flowing to the liver –> suppress hepatocytes’ bile acid synthesis