Functions of the lungs and the respiratory system
What happens when these things pass through the pulmonary capillary bed?
Blood clots
Bacterial vegetations on the heart valve
Cancers
Blood clots -> pulmonary emboli
Bacterial vegetations -> pulmonary abcesses
Cancers -> metastatic tumors
What is the sequence of layers gasses must pass through to get to hemoglobin?

What is the function of FB?
What is pulmonary fibrosis?

Fibroblasts: produce collagen to repair damaged tissue when the lungs are injured.
Pulmonary fibrosis: excessive scar tissue from proliferating fibroblasts forms in a lung injury, impairing gas exchange -> hypoxemia
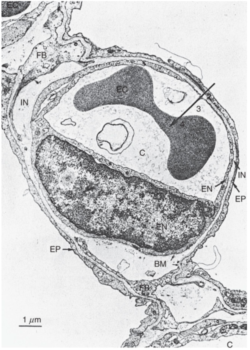
Epithelial vs Endothelial cells
Epithelial cells are in contact with the air outside the body -> vulnerable to inhalational injury & infection
Endothelial cells are in contact with the blood inside the body –> vulnerable to blood-borne substances
The thickness of the barrier between the alveolar air and hemoglobin in RBCs is
0.3
Air moves from high pressure to low pressure.
How do we lower the pressure within the chest below atmoshperic pressure to cause inspiration?
Move the diaphragm down
Move the ribcage out
What has to happen to cause passive exhalation?
Respiratory muscles relax, pushing abdominal contents back up into the thoracic cavity
Elastic recoil of chest wall
What is the purpose of branching of the airways so much from the bronchioles and forward?
Total cross-sectional area increases so much that the forward velocity of the gas slows to a standstill at the alveoli –> gas diffusion takes over

The area of the lungs where gas moves by diffusion and not by bulk flow is …
Respiratory zone
Respiratory bronchioles, alveolar ducts, alveolar sacs
The total volume of the conducting zone (trachea -> terminal bronchioles) is
~150 mL
Anatomic dead space - define it & quantify
The fixed volume of tubing it takes for oxygen to get from the nose/mouth to the alveoli / The conducting zone
~1 mL per pound of ideal body weight –> ~150mL
The maximum volume of the respiratory zone (volume of lungs that contain alveoli) is
Maximum: ~2.5-3L
However, unlike the anatomic dead space, the respiratory zone is highly variable depending on the size of breath!
Volume of an average breath is
0.5L
Minute ventilation
Amt of air that enters and leaves the body per minute
Volume of each breath x Respiratory rate per min
Normal: ~6L/min
Dalton’s law: The sum of all the partial pressures in a gas mixture equals
the atmospheric pressure
=amt of pressure it would take to push up a column of Hg in a tube
= 1 atm
=760mmHg
=14.7ppi (pounsd-per-square-inch)

What’s the proportion of oxygen in the air?
Oxygen = 21%
[FiO2] = .21
(Nitrogen is 78%)
As you go higher in the atmosphere, what happens to pressure?
It decreases.
The proportion of oxygen in the air stays the same, but its pressure decreases.
What is the partial pressure of oxygen in air in mmHg at sea level?
0.21 x 760 mmHg = 160mmHg
Warmer air has more ___ in it than cooler air.
Water vapor
What is the partial pressure of water vapor in the inspired air at body temperature at sea level?
47 mmHg
What is the effective atmospheric pressure of air once it reaches the alveoli, since it gets warmed and humidified in the body?
760 - 47 = 713
(47mmHg is the partial pressure of water vapor in inspired air at body temperature at sea lvl)
What happens to the partial pressure of oxygen as air moves into the trachea? The alveoli?
It decreases because of humidification and addition of CO2.
(760-47) x 0.21 = 150 mmHg after humidification in the trachea
100mmHg after addition of CO2 in the alveoli

Bronchial circulation
small branches off the aorta (so it’s systemic) that supply the conducting airways (bronchi) of the lungs, nerves, and lymph nodes of the lungs