Liver
Gross Anatomy

Classic Liver Lobule
Based on venous drainage.
Region whose sinusoids all drain into same centrain vein.

Portal Triad

Central Veins
Terminal Hepatic Venule

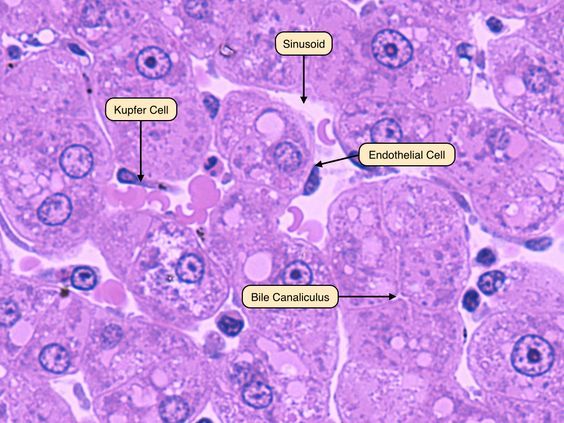
Hepatic Sinusoids

Kupffer Cells

Space of Disse

Ito Cells
(Hepatic Stellate Cells)

Hepatic Blood Flow
Interlobular branches of hepatic artery & portal vein in portal canals →
Distributing branches leave portal canal & run between classic lobules →
Inlet vessels enter lobules →
Sinusoids →
Central vein →
Sublobuler vein →
Larger collecting veins →
3 or more hepatic veins →
IVC

Portal Lobule
Based on bile flow.
Region whose bile canaliculi all drain toward the bile duct in the same portal canal.

Hepatic Acinus of Rappaport
Based on gradients of O2, nutriends, and tonxins supplied by distributing vessels.
Used to explain patterns of hepatocyte metabolism and pathology.

Hepatocytes

Bile Canaliculi

Bile Ductules
Intrahepatic ductules, canals of Hering, cholangioles.
Enterohepatic Recirculation
Deficiency of Bile Salts
Biliary Tree

Gallbladder
Functions

Gallbladder Wall
Has a mucosa, muscularis, and serosa/adventitia.
No muscularis mucosae or submucosa.

Rokitansky-Aschoff Crypts

Pancreatic Acinar Cells

Centroacinar Cells

Pancreatic
Intercalated Ducts

Pancreatic Ductal System
