Conducting
vs
Respiratory Zone
Nasal Cavity
Structure

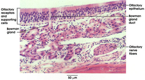
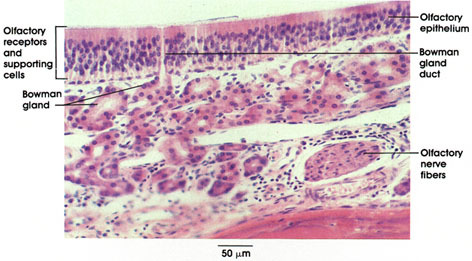
Olfactory Epithelium

Olfactory Receptor Cells

Sustentactular Cells

Olfaction
Paranasal Sinuses
Frontal, ethmiodal, sphenoid, and maxilla.

Respiratory Epithelium

Pharynx

Larynx

Vestibular Folds
a.k.a. false vocal folds

Vocal Folds

Trachea

Bronchi
https://www.proteinatlas.org/learn/dictionary/normal/bronchus+1

Bronchioles

Club Cells
a.k.a. Clara Cells

Alveolar Ducts

Alveolar Sacs

Alveoli
Terminal spaces of the respiratory system where gas exchange occurs.

Type I Pneumocytes

Type II Pneumocytes

Air-blood Barrier
The minimal air-blood barrier consists of:
Alveolar Macrophages

Pulmonary Blood Supply
