Kidney
Functions
Kidney
Gross Structure
Capsule
Cortex
Medulla
Renal sinus:
Fat-filled cavity near hilum
Contains minor and major calyces, most of renal pelvis, branches of renal vessels.

Medullary Pyramids

Kidney
Lobe
Defined as all the tissue whose nephrons drain into the same minor calyx.
Includes both cortex & medulla:
1 medullary pyramid
Associated cortical arch
Half of each cortical column that surrounds it
Interlobar arteries and veins located in renal columns at the boundaries between lobes.
Kidney Lobule
Defined as all the tissue whose nephrons drain into the same medullary ray.
Includes cortex but no medulla:
Medullary ray
Half of each cortical labyrinth on each side
Interlobular arteries and veins located at the boundaries between lobules.
Uriniferous Tubule
Functional unit of the kidney.
Includes a nephron plus it’s associated collecting duct.
Seperate embryological origin.

Nephron
~ 1.3 million / kidney
Consists of:

Cortical vs Juxtamedullary Nephrons
Cortical Nephrons
Juxtamedullary Nephrons
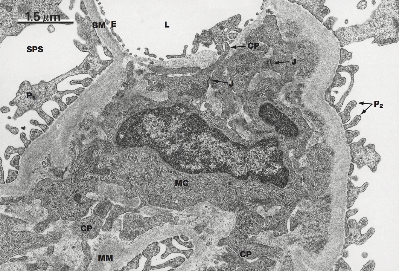
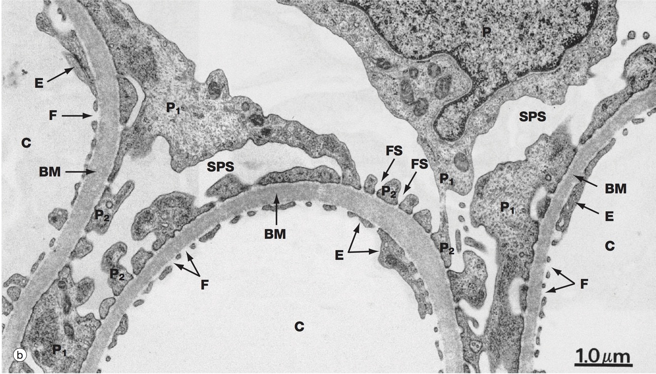
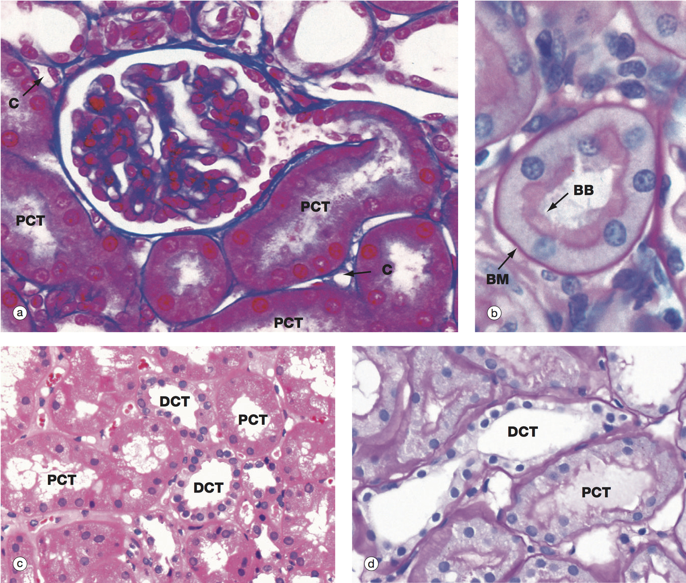
Renal Corpuscle
Includes glomerulus and Bowman’s capsule
Visceral Layer
Bowman’s Capsule

Parietal Layer
Bowman’s Capsule

Intraglomerular Mesangial cells

Glomerular
Filtration Barrier
3 main components:

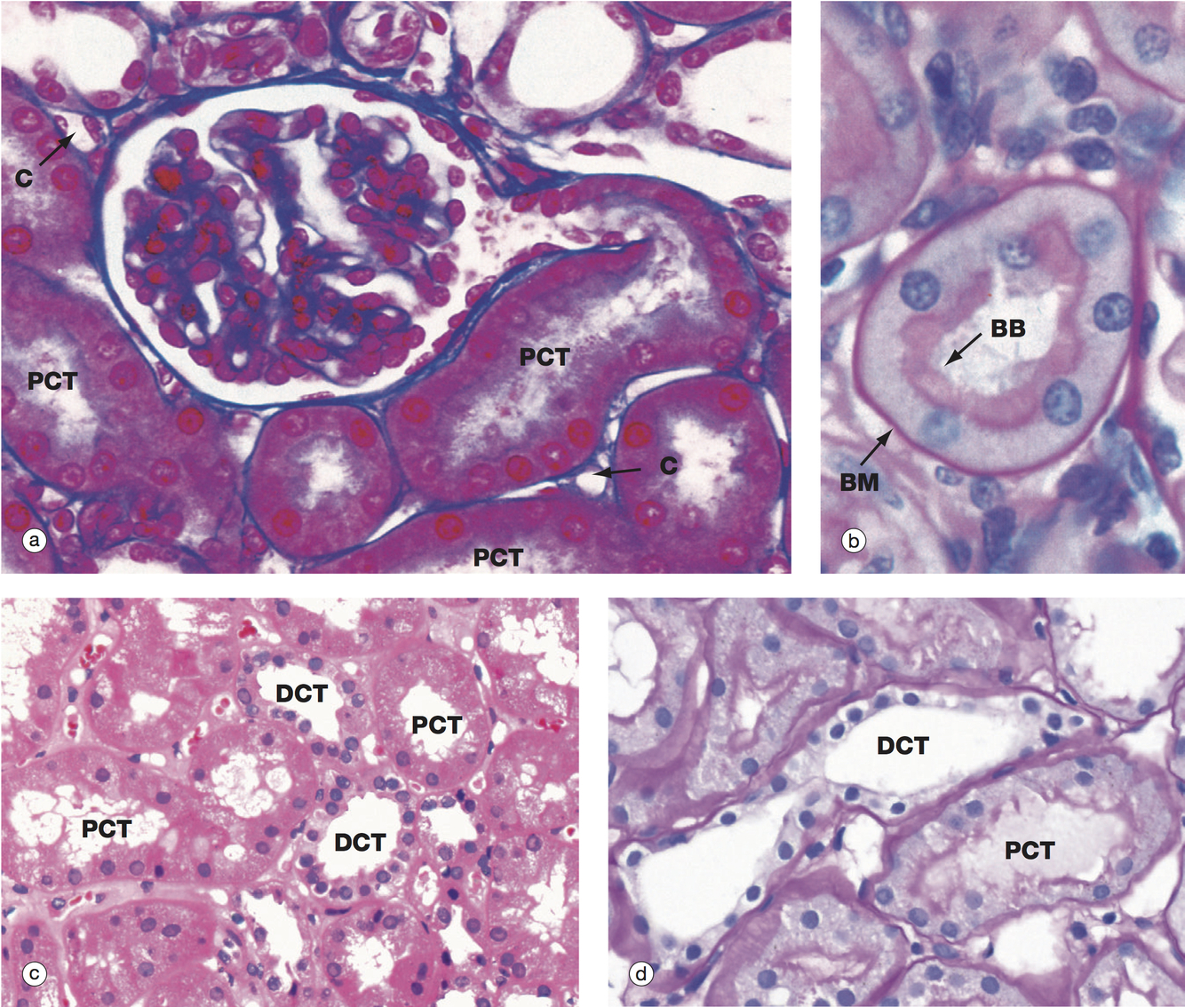
Proximal Tubule
Characteristics
Proximal Tubule
Structure

Thin Limbs
Loop of Henle

Distal Tubule
Characteristics

Distal Tubule
Structure

Juxtaglomerular Apparatus
Includes:

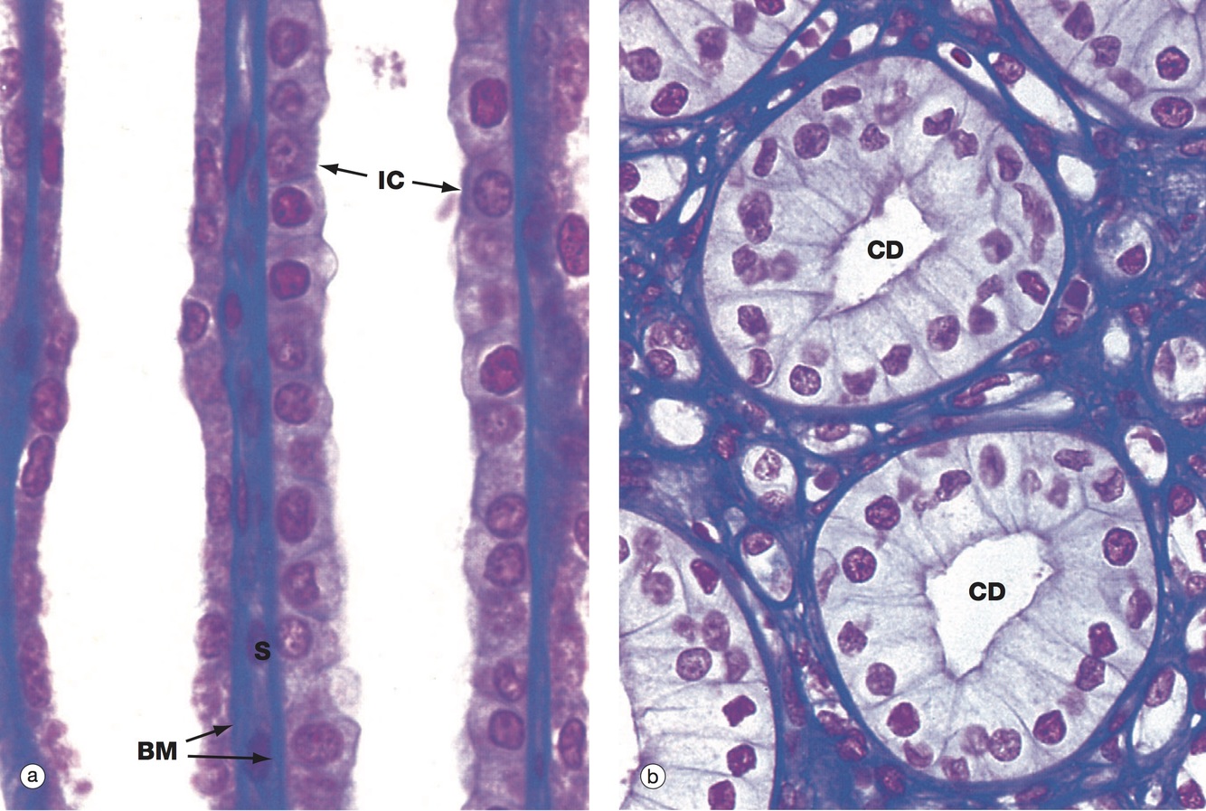
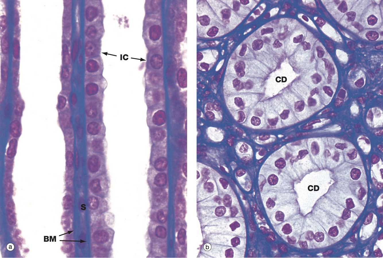
Collecting Tubules and Ducts

Principal Cells
Collecting Ducts

Intercalated Cells
Collecting Ducts

Cortical Collecting Tubules
Medullary Collecting Ducts