Thyroid
Location and Structure

Thyroid Development

Thyroid Capsule
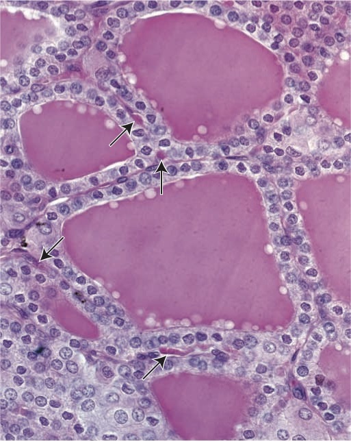
Thyroid Follicle

Follicle cell structure

Colloid

Thyroid Blood Supply

Classes of thyroid hormones

Thyroid Hormone Synthesis

Regulation of thyroid function
Functions through a feedback mechanism involving the hypothalamo-hypophyseal axis.

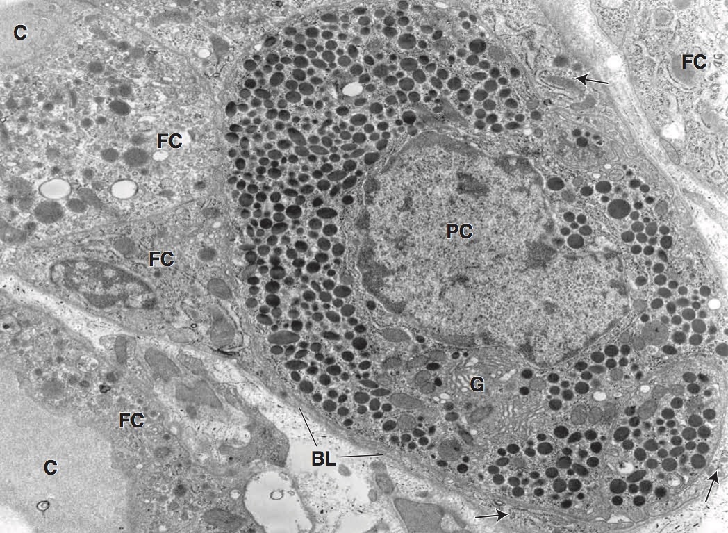
Parafollicular cells
Location & Function

Parafollicular cells
Microscopic Anatomy

Calcitonin
Iodine Deficiency

Cretinism

Adult Hypothyroidism

Hashimoto’s thyroiditis

Graves Disease
H&E of thyroid below shows pale staining area around the periphery of follicular space due to excess colloid use.

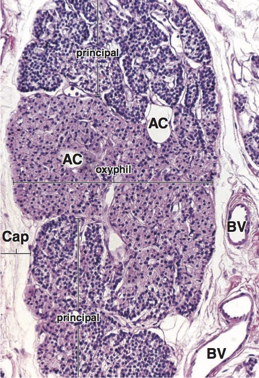
Parathyroid Glands
Location and Function

Parathyroid glands
Development

Parathyroid glands
Microscopic Anatomy

Parathyroid Hormone
(PTH)