
male urethra

ureter

male urethra

female urethra

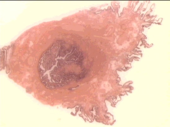
ovary
cortex
medulla

tunica albuginea
germinal epithelium
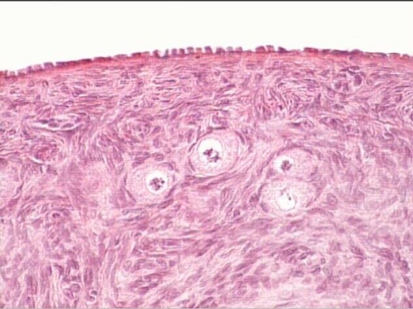
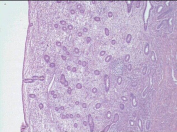
cortex w/ follicular cells
oocytes
primordial follicle

primary (unilaminar) follicle
granular cells around oocyte

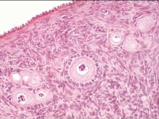
growing (multilaminar) follicle
zona pellucida
thecal cells
oocyte

early antral follicle
antrum
oocyte
cumulus oophorus
corona radiata
inner/outer thecal cells

late antral follicle
antrum
oocyte
corona radiata

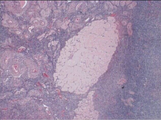
corpus luteum
corpus hemorrhagium

wall of corpus luteum
granulosa lutein cells
theca lutein cells
secrete estrogen and progesterone

lutein cells
thecal lutein cells

corpus albicans

distal fallopian tube
infundibulum
fimbria

mid-oviduct
ampulla
isthmus near uterus

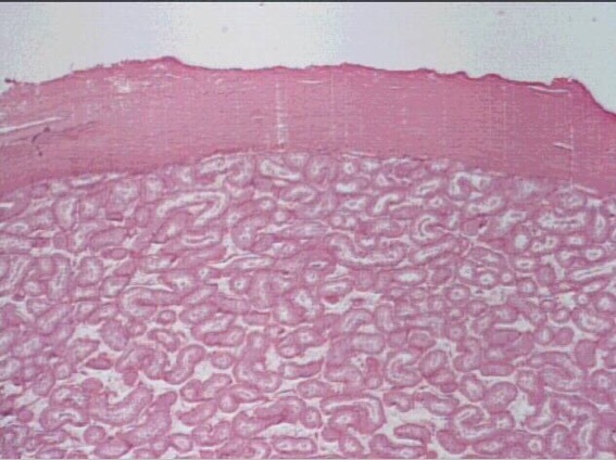
uterus
endometrium
myometrium

endometrium (proliferative)
stratum functionalis
stratum basalis
glandular ducts, endometrial glands

endometrium (secretory)
ducts more spiralized
stratum functionalis
stratum basalis

endometrium (late secretory)
ducts more spiralized
stratum functionalis
stratum basalis

endometrium (menstrual)
mostly stratum basalis

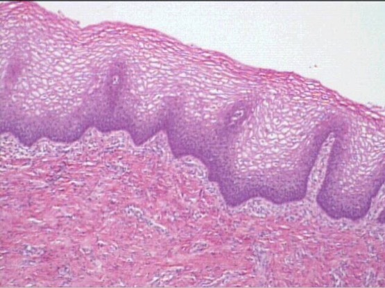
vagina
stratified squamous NK

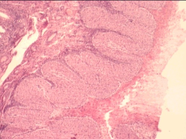
testes
lobules divided by septa
tunica albuginea

tunica albuginea
seminiferous tubules