
capillaries
pericytes

capillary
(longitudinal section)

post capillary venule

venule
arteriole
tunica media

veins
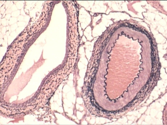
small artery
arterioles

vein
venule
arteriole
artery

artery
vein

medium vessels
artery
vein
10-40 layers


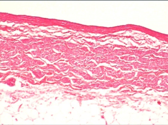
wall of large artery
tunica media
tunica adventita (externa)

vaso vasorum

vena cava
tunica intimia not defined

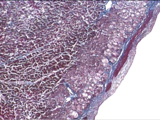
inner heart
myocardium
endocardium
endothelium
subendothelium (type I collagen)
subendocardium (purkinje fibers and CT)

endothelium
subendothelium
purkinje fibers
(noncontractile)

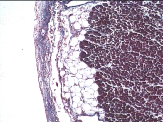
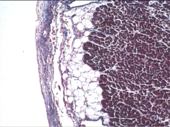
epicardium
connecitive and adipose tissue
myocardium
(mesothelium)

epicardium
vein

myocardium
capillaries
intercalated disc

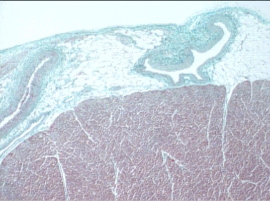
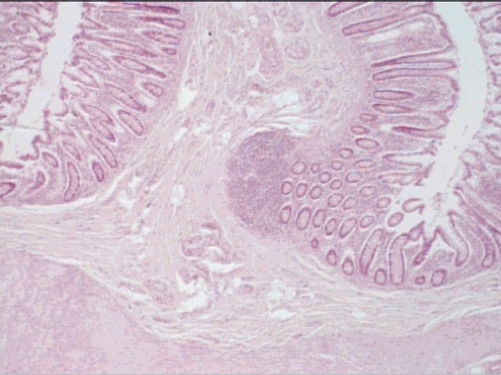
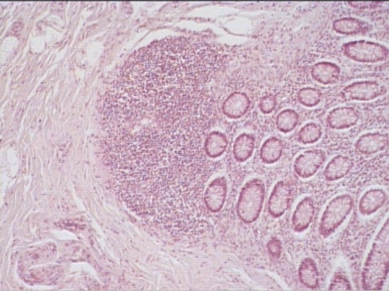
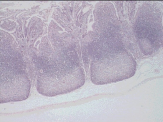
lymphoid nodule
(colon)

solitary lympoid nodule
B-lymphocytes
T-lymphocytes

ileum
peyer’s patch

peyers patch
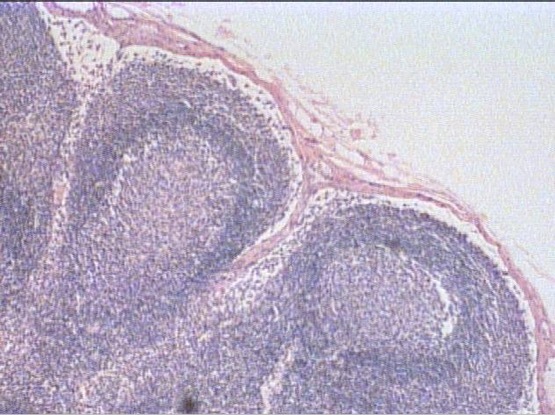
active B lymphs
proliferative (germinal) center
secondary lymphoid nodules

lymph node
cotex
pericortex
medulla

outer cortex lymph node (B-cells)
paratrabecular sinus
subcapsular sinus
(lymphatic fluid)
trabeculae
CT capsule

cortex
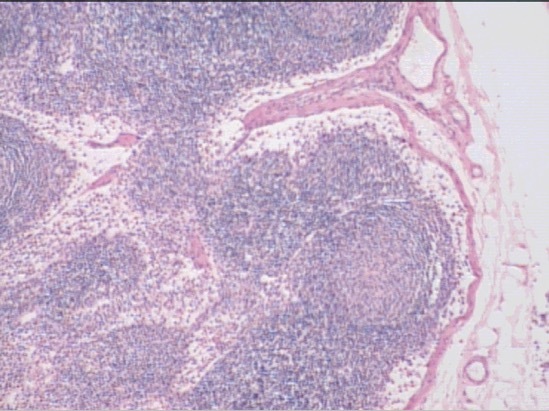
primary nodule
secondary nodule
trabeculae
subcapsular & paratrabecular sinus