
ora serrata
ciliary body
ciliary zonule
cornea
iris
pupil
lens
sclera venous sinus
posteror segment
sclera
choroid
retina
macula lutea
fovea centralis
optic nerve
central vessles
optic disc

optic disc
central vessels
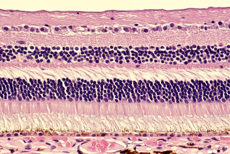
neural layer
pigmented layer
choroid
sclera
optic nerve

nuclei of ganglion cells
nuclei of bipolar cells
nuclei of rods/cones
choroid

external ear
middle ear
inner ear
external acoustic meatus
tympanic membrane
audiotory tube

anterior, posterior, lateral semicircular ducts
cristae ampullares
vestibule w/ utricle, saccule
stapes
facial, vestibular nerve, superior/inferior vestibular ganglion, cochlear nerve
maculae
spiral organ
cochlear duct
round window

vestibular membrane
tectorial membrane
cochlear duct/scala media w/endolymph
stria vascualris
spiral organ
basilar membrane
osseous spiral lamina
spinal ganglion
scala vestibule w/perilymph
scala tympani w/perilymph