
esophagus

esophageal glands
lumen
SSE nonkeratinized
muscularis mucosa
submucosa
muscularis externa

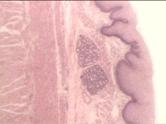
esophagus
esophageal glands
lympoid nodules
submucosa

esophagus
muscularis externa (upper)

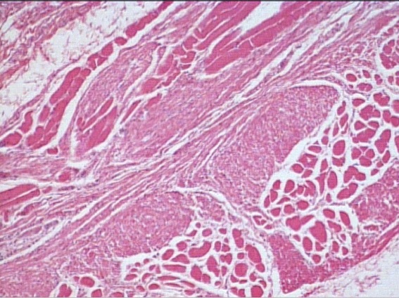
esophagus
muscularis externa (upper)

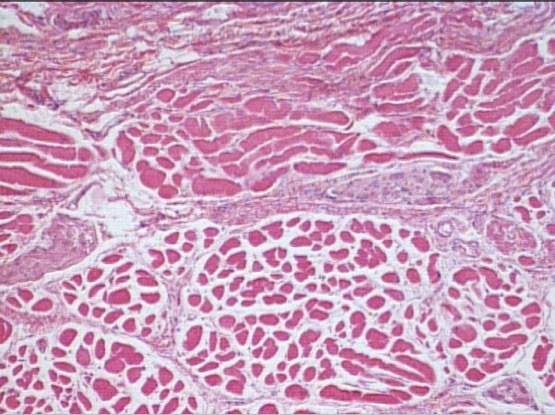
esophagus
muscularis externa (lower)

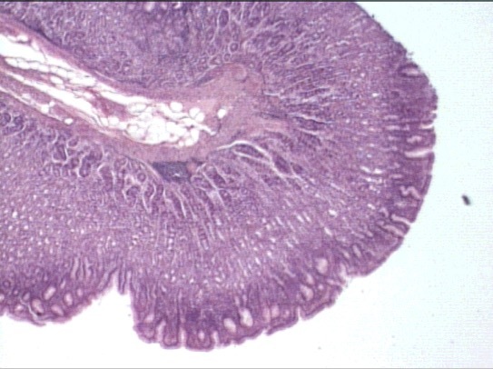
stomach
mucosa
submucosa
muscularis externa

fundic region stomach
1:4 pits to glands
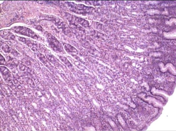
mucosa (heterogenous)
glandular
pits

stomach
glands
pits

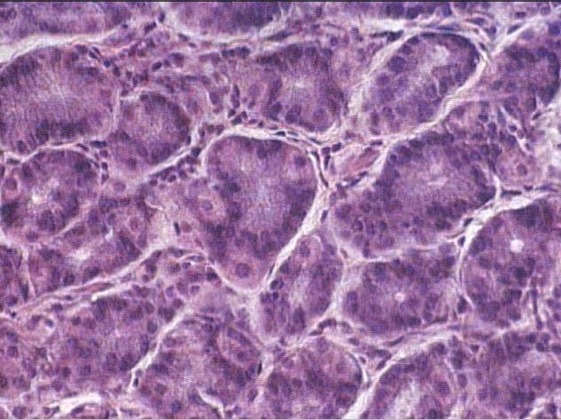
stomach
parietal cells (HCL, intrinsic factor B12)
chief cells
(pepsinogen)

stomach
parietal cells (HCL, intrinsic factor B12)
chief cells
(pepsinogen)

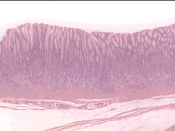
pyloric region stomach
1:1 pits to glands
pits much longer

duodenum

duodenum
plicae circularis w/villi
submucosa
muscularis externa
serosa

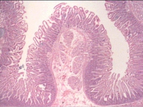
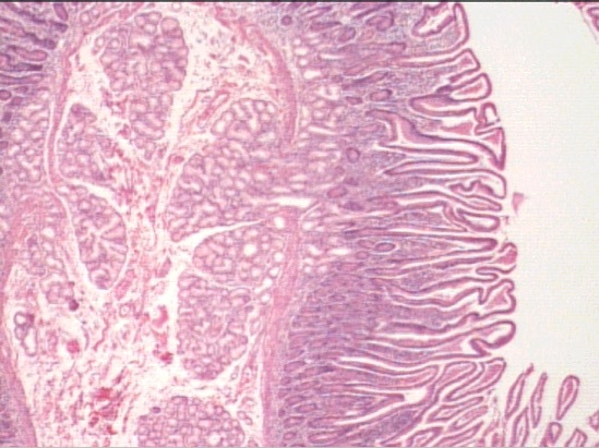
duodenum
plicae circularis
Brunner’s glands
(alkaline)

duodenum
muscularis mucosa

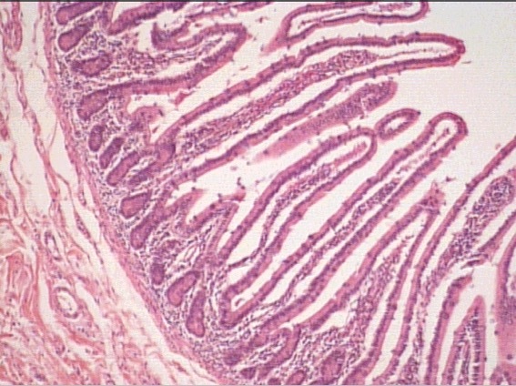
jejunum
(longer plicae)

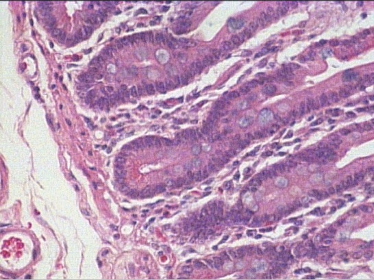
jejunum villi

jejunum villi
simple columnar epithelium
goblet cells
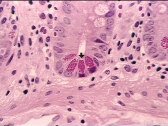
deep glandular base
paneth cells

crypts of Lieberkuhn
paneth cells
immunological defense
antibiotic enzymes

ileum
Peyer’s patch

Peyer’s patch
ileum

colon
mucosa flat, no villi, no plicae
muscularis externa
longitudinal layers discontinous
teniae coli

mucosa of colon
crypts of Lieberkuhn
goblet cells
lymph nodule