
coronal through larynx
laryngyl ventricles
false vocal cords
vocal cords
vocalis m.

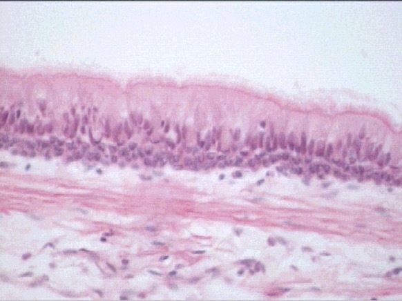
larynx
false vocal cord
true vocal cord
PCCE v. SSEnk
glandular epithelium

larynx
PCCE v. SSEnk

N/A

hyaline cartilage rings
C-shaped

c/s trachea
C-shaped hyaline cartilage

trachea
PCCE
cartilage rings

trachea
PCCE

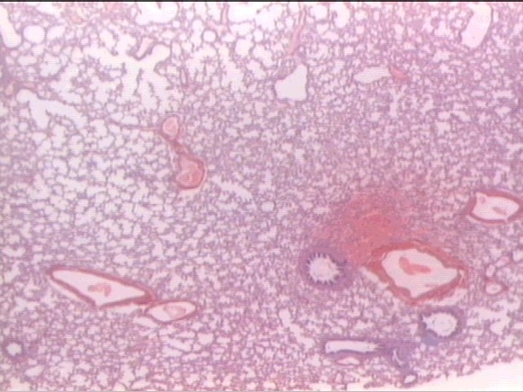
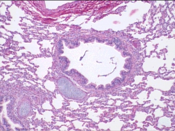
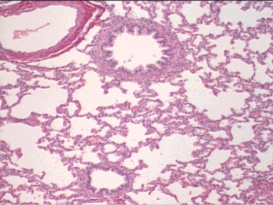
bronchi
bronchioles
(missing c-rings)
conducting v. respiratory zone
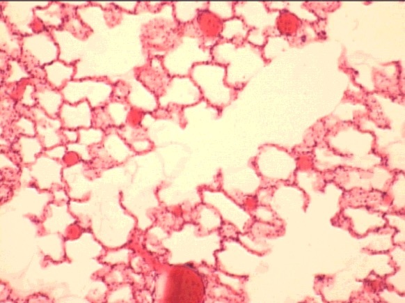
alveoli

lung
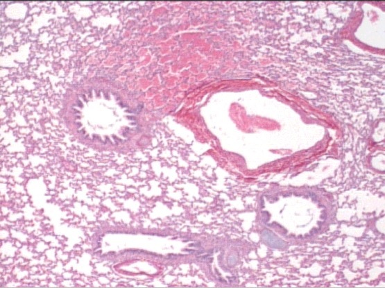
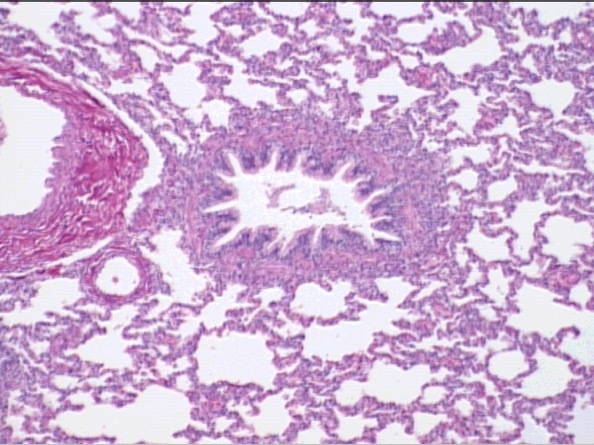
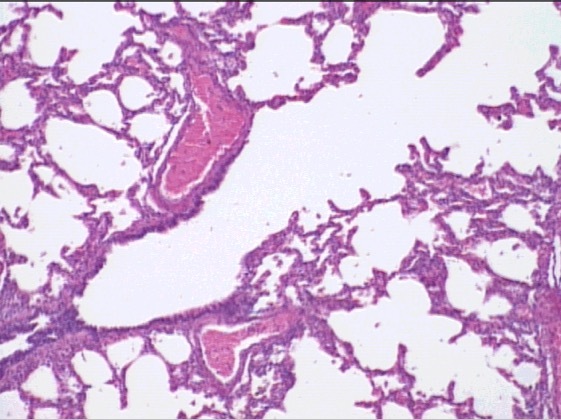
bronchus
vessel

c/s bronchus
(look for hyaline cartilage)

bronchiole

bronchi
vessel

bronchiole

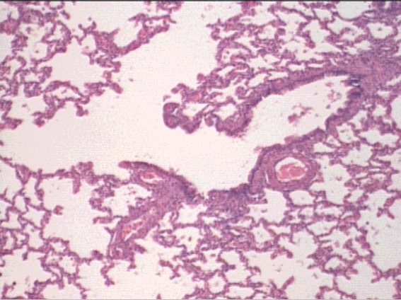
terminal bronchiole
note epithelial changes
simple columnar –> cuboidal

terminal bronchiole
respiratory bronchiole

alveolar ducts
alveolar sac
terminal bronchiole

alveolar sac
alveolar duct

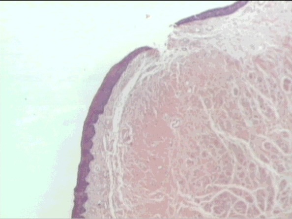
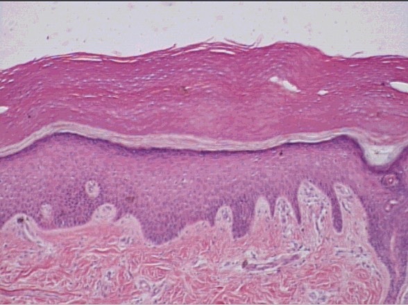
epidermis - SSE keratinized
dermis - dense irregular CT
stratum basale
stratum spinosum
stratum granulosum
stratum lucidum
stratum corneum

epidermis
stratum basale
stratum spinosum
stratum granulosum
stratum lucidum
stratum corneum

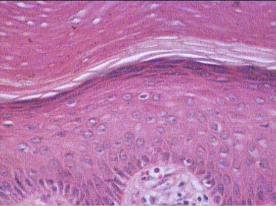
thin skin, no lucidum
stratum basale
stratum spinosum
stratum granulosum
stratum corneum
papillary dermis
reticular dermis

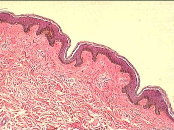
thin skin, no lucidum
stratum basale
stratum spinosum
stratum granulosum (discontinous)
stratum corneum
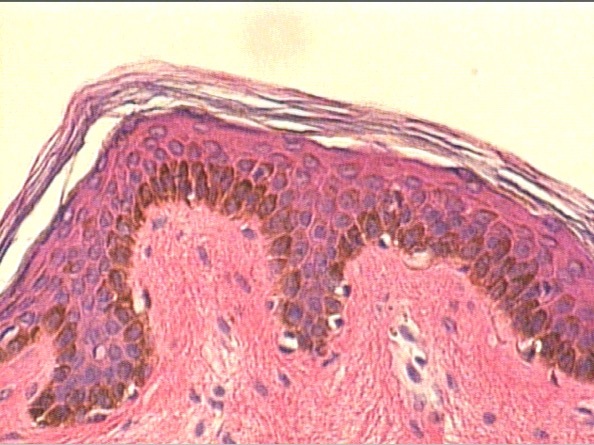
keratinocytes, melanocytes

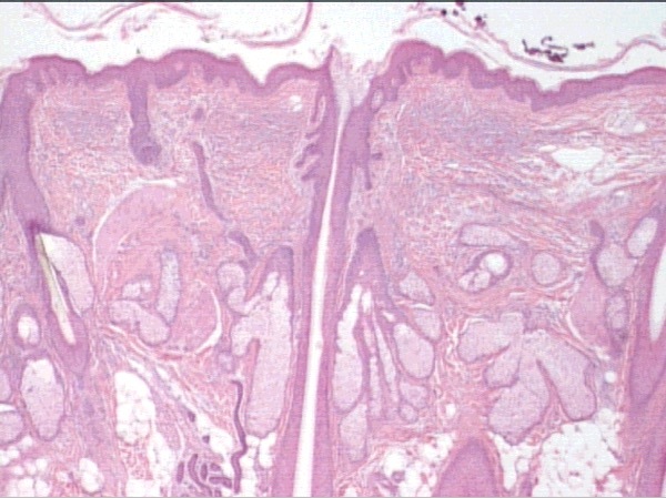
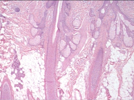
skin
hair follicle
subacous glands

skin
arrector pili m. (sympathetic)
hypodermis (adipose)