Lymphoproliferative Flashcards

(43 cards)

1
Q
A

Recognise Jessner’s lymphocytic infiltrate
Jessners lymphocytic infiltrate.
This is a rare condition that can
present with papules, mostly asymptomatic, that can last for weeks or months before spontaneous resolution

This is a chronic, benign, inflammatory condition, usually affecting photo-exposed skin. it remains poorly understood. It has many similarities with lupus erythematosus tumidus, both clinically and histologically.

Recent literature suggests that it may be a variant of lupus
erythematosus.

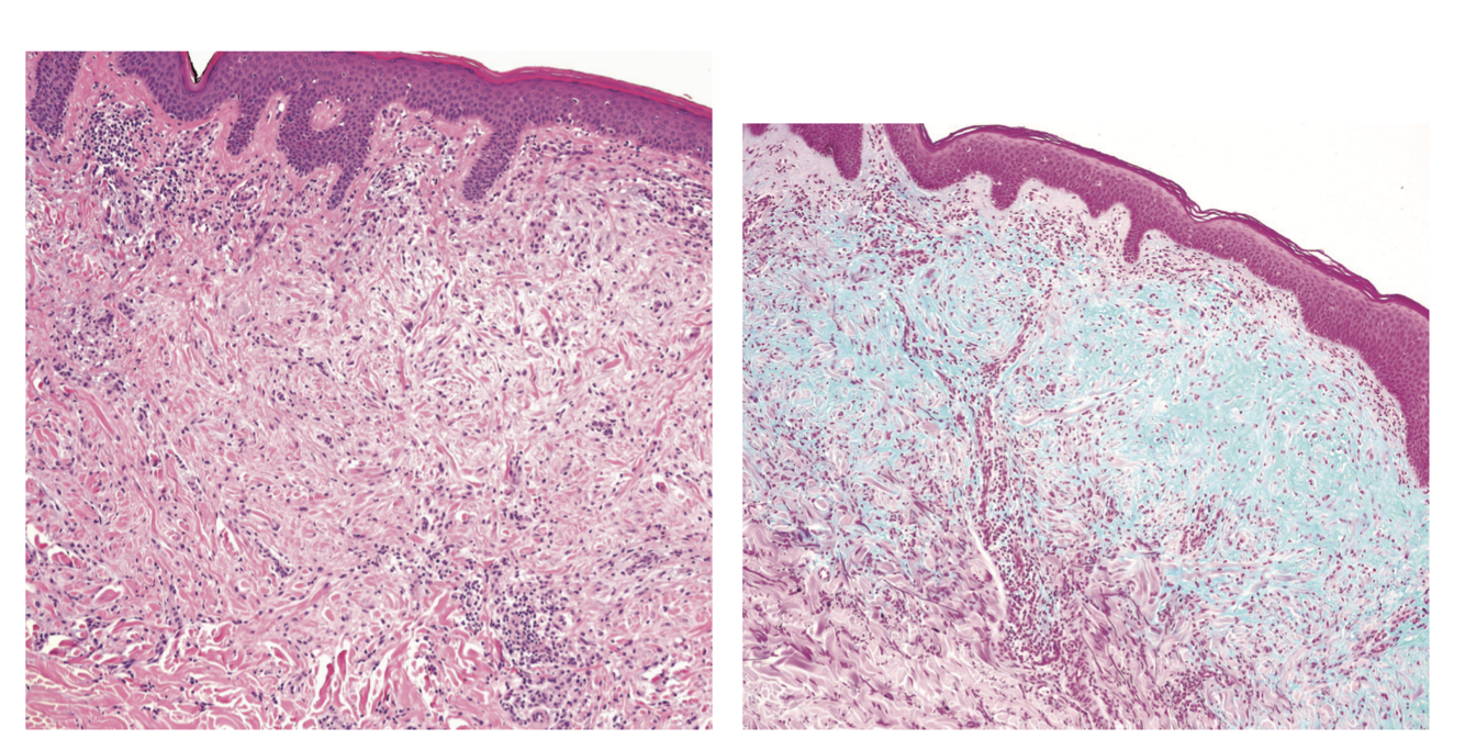
The epidermis is usually normal with no atrophy, follicular plugging or basement membrane thickening. There is a moderately dense superficial and deep perivascular dermal lymphocytic infiltrate. It may also be perifollicular and extend to the subcutis. The infiltrate contains small mature lymphocytes, with occasional large lymphoid cells, plasmacytoid and plasma cells. Copious dermal mucin is not seen.
Immunohistochemistry confirms a mixed lymphocytic infiltrate with a dominant population of CD8+ cells. Direct immunofluorescence is negative. Both T-cell and B-cell populations are polyclonal on molecular analysis.

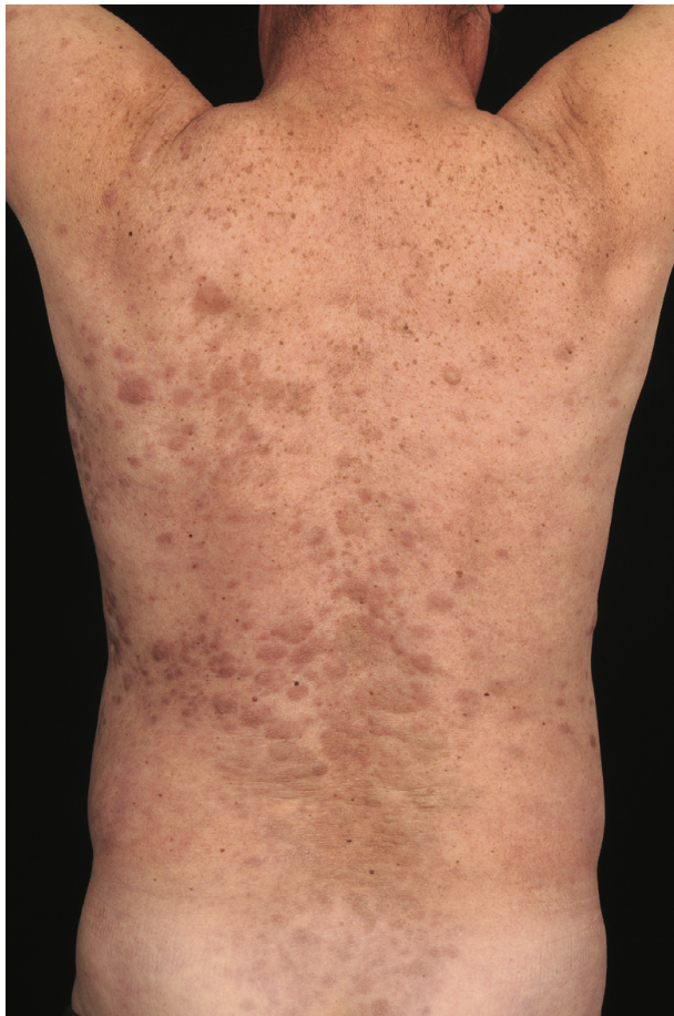
It presents with asymptomatic, non-scaly, red/purple/dusky
papules and plaques, mainly affecting the face, neck and upper chest. There may be one, a few or numerous lesions and central clearing of lesions may occur, giving them an annular appearance. There is no atrophy or follicular plugging. There may or may not be a history of onset following sun exposure. The lesions may last months or years and often resolve spontaneously but can recur, either at the same or a different site.

A skin biopsy is needed for histology, direct immunofluorescence and molecular gene rearrangement studies. Serology testing for systemic lupus erythematosus should be considered, including antinuclear antibodies, ESR, anti-Ro and anti-La antibodies, FBC and urinalysis. Phototesting may be useful in those patients with a history of photosensitivity.

Mx:
excision of small lesions, photoprotection and topical [2] or intralesional steroids may provide benefit. Hydroxychloroquine,
systemic steroids and cryotherapy have been used with success. There are reports of benefit with methotrexate, retinoids and or alauranofin. There is one randomised double blind cross-over study comparing thalidomide with placebo in patients; 59% remained in complete remission 1 month after stopping treatment. Clearing of lesions has also been reported with pulsed dye laser and methylaminolevulinate photodynamic therapy.

How well did you know this?
1
Not at all
2
3
4
5
Perfectly
2
Q
A

Lymphocytoma cutis

Lymphocytoma cutis is a benign, cutaneous, B-cell lymphoproliferative disorder that is included as a subtype of pseudolymphoma.
It encompasses a spectrum of benign B-cell lymphoproliferative diseases that share clinical and histopathological features. It occurs as a response to known or unknown antigenic stimuli that result in the accumulation of lymphocytes and other inflammatory cells in a localised region on the skin.

Female preponderance, with a female to male ratio of
approximately 2:1

Causative organisms
Infectious stimuli include Borrelia burgdorferi, molluscum con-
tagiosum and Leishmania donovani. Lymphocytoma cutis may
also present in scars from previous herpes zoster virus infections.

Environmental factors
Other reported stimuli causing lymphocytoma cutis include
trauma, vaccinations, allergy hyposensitisation injections,
drug ingestion, arthropod bites, acupuncture, metallic pierced
earrings and treatment with leeches.

Most patients show solitary or grouped, asymptomatic, red or
plum-coloured papules, nodules or plaques, most commonly on the face, chest and upper extremities. Occasionally,
they may have a translucent appearance. They are usually asymptomatic but can occasionally be itchy or tender. They enlarge slowly and may reach a diameter of 3–5cm. Associated sunlight sensitivity has been reported in some patients.

Disease course and prognosis
The course of disease varies but is often chronic and indolent.
If the cause is identified, the lesions may resolve once the cause is removed. Some lesions resolve spontaneously. Long-term follow-up of these patients suggests that a small proportion progress to or begin as a primary cutaneous B-celllymphoma (MZL).

Investigations
A skin biopsy is needed for histology, immunohistochemistry and immunoglobulin gene analysis. Serology is required to test for Borrelia burgdorferi. Patch testing may be requested if a possible contact allergen is suspected.

Management
There is no treatment of proven value for lymphocytoma cutis,
with only anecdotal reports and small case series, and no clinical trials. If a causal agent is identified, it should be removed if possible.

First line therapies for localised disease include excision, topical or intralesional corticosteroids and oral antibiotics if the Borrelia serology is positive. In generalised disease, hydroxychloroquine may be of benefit. Second line therapies for localised disease with reported success include superficial radiotherapy, intralesional interferon α (IFN-α), cryotherapy, intralesional rituximab, topical 0.1% tacrolimus ointment and topical photodynamic therapy. Subcutaneous IFN-α, thalidomide and methotrexate have also shown benefit in generalised disease.

How well did you know this?
1
Not at all
2
3
4
5
Perfectly
3
Q
A

Pseudolymphoma is not a specific disease but encompasses a group of benign lymphoid proliferations in the dermis, which may be difficult to distinguish from low-grade malignant lymphoma and possibly may rarely transform to a lymphoma in some cases.
The term cutaneous lymphoid hyperplasia has been suggested and both terms are more commonly used to describe a pathological rather than a clinical appearance. Pseudolymphomas may be of T-cell or B-cell origin. B-cell pseudolymphoma is also calledl ymphocytoma cutis. T-cell pseudolymphoma may be idiopathic
but may also include lymphomatoid drug eruptions, lymphomatoid contact dermatitis and actinic reticuloid.

Confusion between pseudolymphoma and lymphoma can easily arise if a biopsy is submitted to the pathologist without an adequate history of recent events such as drug ingestion or scabies infestation.

Presentation and clinical variants
B-cell pseudolymphomas usually present as solitary or multiple, itchy or asymptomatic, smooth surfaced or excoriated, dermal papules and nodules, which may also be subcutaneous.T-cell pseudolymphomas present with solitary or scattered papules, nodules
and plaques, but can also present as persistent red
or purple discoloration, which may develop into an exfoliative
erythroderma, particularly when caused by drug reactions or
contact dermatitis; there may also be persistent lymphadenopathy, low-grade fever and other symptoms including headache, malaiseand arthralgia.

Differential diagnosis
The most important differential diagnosis is of cutaneous B- and T-cell lymphoma. Careful clinicopathological correlation is vital in order to distinguish between them. Primary cutaneous CD4+ small/medium-sized pleomorphic T-cell lymphoproliferative disorder is an increasingly recognised entity that may have very similar clinical and histological features to pseudolymphoma and has an indolent behaviour.

Complications and co-morbidities
Reports suggest cases have evolved to lymphoma; however, many of these cases may have been subtle low-grade lymphomainitially.

Disease course and prognosis
If a potential cause is identified it should be removed as soon
as possible, but it may take weeks or months for the cutaneous
reaction to subside. In the absence of an identifiable cause, pseu-
dolymphomas may be persistent. The diagnosis and prognosis
of pseudolymphoma should be guarded, as in a number of cases
clear progression from apparent pseudolymphoma to malignant
lymphoma has been recorded. This appears to confirm
the concept that chronic, initially benign, reactive inflammatory
conditions may very rarely progress to frank lymphoma or that
these conditions may be low-grade lymphomas initially, which
then transform and adopt a more obvious malignant cellular
cytology/morphology.

Investigations
A skin biopsy is needed for histology and TCR/immunoglobulin
gene rearrangement analysis. Borrelia burgdorferi serology should be checked. Patch testing may be indicated if lymphomatoid contact
dermatitis is suspected. In severe cases of drug-induced T-cell
pseudolymphoma, full blood count (FBC) and liver function tests should be checked as eosinophilia and hepatitis may occur.

How well did you know this?
1
Not at all
2
3
4
5
Perfectly
4
Q
A

Lymphomatoid granulomatosis

Definition
This is an angiocentric and angiodestructive extranodal EBV-
positive B-cell lymphoma, which invariably involves the lungs and may involve the skin and CNS

Lymphomatoid granulomatos is is an EBV-driven Bcell lymphoproliferative disorder that can be associated with immunodeficiency states including post-transplantation and with long-term therapies such as methotrexate for rheumatoid arthritis.This lymphoma should be distinguished from extranodal NK/T-cell lymphoma (nasal type), which is also EBV positive and characterised by angiodestructive histology.

Pathology
The striking feature is the angiocentricity of the infiltrate and
gross vessel destruction sometimes accompanied by fibrinoid
necrosis (angiodestruction). The infiltrate is polymorphous and
contains both lymphocytes and histiocytes with pleomorphic or large (immunoblast-like) tumour cells and often a prominent reactive T-cell infiltrate. Multinucleated cells may be present although well-formed granulomas are rare. The presence of large transformed cellsis associatedwith a worse prognosis.

Immunophenotype
The tumour cells are EBV positive, express CD20 and are vari-
ably CD79a+. CD30 may be expressed but the cells are negative for CD15. Clonal immunoglobulin gene rearrangements can be detected in most cases and the presence of clonal episomal EBV is characteristic.

Patients most frequently present with pulmonary symptoms associated with systemic malaise, arthralgias, weight loss and fever. The skin (50% of cases), CNS and kidneys are also often directly involved. The cutaneous lesions described are diverse but include subcutaneous nodules and plaques, more superficial plaques and a diffuse dusky maculopapular eruption with epidermal atrophy and purpura. Necrosis and ulceration may also occur.

Disease course and prognosis
Some patients have a fluctuating course with spontaneous remissions but eventually progressive disease develops. Those cases occurring in patients on longterm methotrexate for conditions such as rheumatoid arthritis may have a better outcome, with resolution of disease on withdrawal of the methotrexate.

Management
Although some patients have spontaneous remissions, the development of high-grade disease is associated with a median survival of less than 2 years. Short lived remissions with high-dose chemotherapy have been described. There are reports of responses to cyclophosphamide and IFN-α.

How well did you know this?
1
Not at all
2
3
4
5
Perfectly
5
Q

Describe the skin involvement with Hodgkin lymphoma

A

Hodgkin lymphoma

In Hodgkin disease, specific skin involvement is uncommon, with an estimated prevalence of 0.5–3.4%.

In Hodgkin lymphoma, the majority of patients die within a few
months following the development of skin lesions. Therefore,
skin involvement is considered to be an indication of stage IV disease.

Lymphomatous skin involvement in non-Hodgkin lymphomas is more frequent, especially for mantle cell lymphoma and lymphomatoid granulomatosis (lymphoid dyscrasia caused by EBV).
In Hodgkin lymphoma, the skin infiltrate does not always faith-
fully replicate the nodal disease. Reed–Sternberg cells in the skin are CD30+ CD45–. In a minority of cases, the neoplastic cells in the skin may be negative for CD15 even in patients with nodal CD15 positivity. The major differential diagnoses are primary cutaneous CD30+ lymphomas and CD30+ transformation of mycosis fungoides.

How well did you know this?
1
Not at all
2
3
4
5
Perfectly
6
Q
A

Leukaemia cutis

Leukaemia cutis is an infiltration of the skin by myeloid or lymphoid neoplastic leukocytes resulting in clinically identifiable cutaneous lesions. When made up of malignant granulocytic precursor cells, leukaemia cutis lesions are also called myeloid sarcoma, and formally granulocytic sarcoma or chloroma (named due to the greenish hue of the skin lesions, derived from myeloperoxidase granulesin the neoplastic cells).

Skin lesions mostly develop after or concurrently with the diagnosis of a myeloid disorder (60% and 25%, respectively) and only in approximately 5% of cases do they develop before any detectable bone marrow or blood involvement as an aleukaemic leukaemia cutis.

In chronic lymphocytic leukaemia (CLL), leukaemia cutis
may be the first sign of the disease in 16% of cases. In patients
with chronic disease, such as chronic myelomonocytic leukaemia (CMML), skin involvement may be a sign of disease progression and blastic transformation. The likelihood of developing leukaemia cutis depends on the type of underlying haematological neoplasm.

Leukaemia cutis is most common in patients with myeloid neoplasms (10–15%), especially in acute myeloid
leukaemia (AML) (2.5–9.1% patients) and in leukaemias with
monocytic differentiation, such as CMML. Leukaemia cutis
associated with AML accounts for 60–70% of all cases. The risk
of leukaemia cutis is higher in AML with neoplastic cells displaying the chromosomal translocation t(8,21).

Within the lymphocytic neoplasms, the risk of
leukaemia cutis is relatively high for mature T-cell neoplasms such as adult T-cell leukaemia/lymphoma and T-cell prolymphocytic leukaemia (20–70%) and CLL (4–20%).

In other lymphocytic leukaemias, such as acute B- and T-cell lymphoblastic leukaemias (ALLs), the incidence of leukaemia cutis is much lower (below 3%).
The incidence of leukaemia cutis is higher in children with
leukaemia, and in congenital leukaemias it may be as high as
30%. Isolated leukaemia cutis seems to be more frequent in
patients who relapse after allogeneic bone marrow transplant,
where frequencies of 8–20% have been reported .

Pathology
In leukaemia cutis associated with myeloid neoplasms, skin
infiltration is typically both superficial and deep, and consists
of proliferating immature myeloid cells (myeloblasts, monoblasts, promonocytes or promyelocytes).

The most sensitive markers are CD43, CD68 and lysozyme. Other useful markers are myeloperoxidase, CD33, CD34, CD117 and CD68 but CD117 and myeloperoxidase immunostaining are usually negative in monoblastic skin infiltrates. It is also noteworthy that the immune profile of the circulating leukaemic cells may vary from those in the skin infiltrates, which probably reflects different clonal evolution of the malignant cells in different anatomical compartments.

Leukaemia cutis typically presents as single or multiple monomorphic violaceous, dark red or haemorrhagic skin nodules, especially on the legs, arms and face. In skin
of colour, there may be varied colours at presentation. The lesions have a predilection for sites of trauma (e.g. central line insertion sites) or previous inflammation (e.g. herpes zoster)
but may present anywhere on the skin. Other presentations range from small asymptomatic papules or a maculopapular rash to diffuse skin infiltration, ulceration or even erythroderma. It may mimic a variety of benign conditions such as venous leg ulcer, dyshidrotic eczema, cutaneous vasculitis, Jessner lymphocytic infiltration, granuloma annulare or rosacea. The appearance of the skin
lesionsis not specific for the particular subtype of leukaemia.

Hence, treatment should be guided by the underlying leukaemia with supportive care for the skin lesions. However,
the skin lesions may be less responsive to chemotherapy.

Radiotherapy with photons or electron beam can be beneficial to treat focal leukaemic skin infiltrates.

How well did you know this?
1
Not at all
2
3
4
5
Perfectly
7
Q

What are the clinical and systemic features of POEMS syndrome?

A

Clinical: Polyneuropathy, organomegaly, endocrinopathy (e.g. hypogonadism), skin changes (hyperpigmentation, oedema, glomeruloid haemangioma, cherry angiomas, Raynaud phenomenon).

Systemic: plasma cell dyscrasia, IgG or IgA light chains, osteosclerotic myeloma, and increased VEGF

The POEMS syndrome develops in the context of a monoclonal plasma cell disorder (virtually always of the λ light-chaintype). The acronym stands for polyneuropathy, organomegaly, endocrinopathy, monoclonal protein and skin changes. In addition there may be oedema, ascites, pleural effusion, osteosclerotic bone lesions, Castleman disease and thrombocytosis.

Skin changes comprise hyperpigmentation, eruptive haemangiomas, hypertrichosis, acrocyanosis, leukonychia, sclerodermoid changes, finger clubbing and facial flushing. The cause of POEMS syndrome is not known but the over production of vascular endocrine growth factor (VEGF)
by plasma cells, and pro-inflammatory cytokines are major features. An association with a monoclonal IgG4 has been noted in one patient.
The diagnosis of POEMS syndrome is a multidisciplinary task.
The course of the disease is chronic with a reported median
survival of nearly 14 years. The total number of POEMS features does not affect survival, but fingernail clubbing,effusions, oedema, ascites and respiratory symptoms have been associated with a significantly shorter overall survival. The treatment of the underlying paraproteinaemia and plasma cell disorder is essential.
Isolated lesions of plasmacytoma may be treated by radiation.
Bortezomib with dexamethasone is considered an effective therapy regimen. Some success has been reported with lenalinomide and autologous haematopoietic stem cell transplantation. The latter modality has become the first line treatment for younger patients with normal organ function.

How well did you know this?
1
Not at all
2
3
4
5
Perfectly
8
Q
A

Plasmocytoma

Apart from the bone marrow, neoplastic plasma cells may also
develop in extramedullary locations as solitary plasmacytomas, most commonly in the bone or upper respiratory tract. In exceptional situations, a plasmacytoma may be confined to the skin. Plasmacytomas may result in MGUS and may progress to multiple myeloma if untreated.

Cutaneous plasma cell infiltration in pre-existing multiple myeloma and Waldenström macroglobulinaemia is a very rare phenomenon, with approximately 100 cases described in the literature. The risk of cutaneous involvement does not depend on the immunoglobulin isotype produced by the neoplastic plasma cells. The lsions are described as firm, smooth, violaceous papules and nodules, sometimes with secondary ulceration. The most frequent sites affected
are the trunk, followed by the scalp and face. Rarely there can be a hyperpigmented cutaneous patch overlying the plasmacytoma.

Histopathologically, the infiltrates are diffuse or nodular aggre-
gations of lymphoplasmacytic cells showing a strong immunoreactivity for CD79a and CD138 and an aberrant expression of CD43 and CD56. In multiple myeloma, the cells are usually negative for pan-B-cell markers such as CD19 and CD20. This is in contrast to Waldenström macroglobulinaemia where the neoplastic cells are often CD19+ CD20+. Differential diagnosis includes primary plasmacytoma cutis and EBV-related plasmacytoid hyperplasia which develops in immunosuppressed transplant patients.
In only exceptional cases do these conditions present in the skin. In most cases, skin lesions appear relatively late in the course of multiple myeloma or Waldenström macroglobulinaemia and indicate an unfavourable outcome.

The most common plasma cell malignancies are multiple myeloma and Waldenström macroglobulinaemia. Both conditions are characterised by the presence of >10% malignant plasmacytic cells in the bone marrow and an associated monoclonal gammopathy. It is
thought that these malignancies are preceded by a premalignant stage in which bone marrow infiltration with abnormal plasma cells is below the threshold of detection (<10%) and the identifiable feature is a monoclonal gammopathy, known as MGUS. MGUS is detected in approximately 3% of the general population aged
50 years or older and is associated with a 1% per year risk of
progression to multiple myeloma or Waldenström macroglobulinaemia. According to the type of gammopathy, there are three major classes of MGUS: the immunoglobulin M (IgM) type (progressing to Waldenström macroglobulinaemia), the non-IgM type (IgG or IgA) and light-chain MGUS which may progress to multiple myeloma.

How well did you know this?
1
Not at all
2
3
4
5
Perfectly
9
Q
A

The AESOP syndrome is an acronym of adenopathy and extensive skin patch overlying a plasmacytoma. Very few cases have been described. The cardinal features are slowly enlarging violaceous skin patches or plaques, and enlarged regional lymph nodes.

A biopsy from the cutaneous patch overlying the
plasmacytoma shows increased dermal mucin and vascular hyperplasia. In all described cases, the skin lesion was overlying a solitary plasmacytoma of bone. The patient may share features with the POEMS syndrome, in particular the polyneuropathy.
AESOP syndrome, when recognised at an early stage,may lead to the detection of a curable solitary plasmacytoma of bone.

How well did you know this?
1
Not at all
2
3
4
5
Perfectly
10
Q

Diagnosis and associations

A

Necrobiotic xanthogranuloma (NXG) are non-Langerhans histiocytic paraneoplastic conditions without coexisting hyperlipidaemia. Necrobiotic xanthogranuloma (NXG) is a rare, multisystem histio cytic disease in which widespread infiltrated xanthomatous nodules and plaques are strongly associated with haematological malignant conditions.

The clinical picture of NXG consists of slowly progressive, reddish yellow, xanthomatous plaques/nodules that are infiltrative and destructive. More than 80% of the lesions are
periorbital but may occur on the trunk and limbs where subcutaneous nodules and xanthomatous plaques are present with atrophy and ulceration. The eyes are often affected with conjunctivitis, keratitis, uveitis, iritis and proptosis. Blindness has been reported in two affected patients.

Complications and co-morbidities
Association with haematological and lymphoproliferative malignant disorders such as myeloma, non-Hodgkin lymphoma and chronic lymphocytic leukaemia has been well described and typically occurs approximately 2 years from the onset of skin manifestations. The diagnosis of NXG should prompt a thorough evaluation to rule out these conditions. Only one case report of a patient with typical cutaneous lesions and cerebral involvement presenting as tonic–clonic seizures has been published. Systemic symptoms have been reported, including nausea, vomiting, fatigue,
epistaxis, backpain and the Raynaud phenomenon. Atypical forms of NXG have been reported, including solitary tumours of the skin.

Management
Due to the rarity of the condition, there is no consensus regarding the optimal therapy. Treatment is generally directed to the associated paraproteinaemia. Alkylating agents such as melphalan, with or without prednisolone, have resulted in temporary clearing of the skin. Other therapies included intralesional corticosteroids, high-dose systemic steroids, chlorambucil, interferon-α, cyclophosphamide, methotrexate, hydroxychloroquine and azathioprine
A recent review of reported cases treated with chlorambucil
supported its use as a frontline agent in selected cases. In one
patient where cytotoxic drugs had failed, plasmapheresis reduced the level of the circulating monoclonal IgG and resulted in clearing of the skin. Radiotherapy was successful in one case involving the eye. Cutaneous disease has also been successfully treated with carbon dioxide laser with no evidence of relapse after 12 months. Two patients were successfully treated with intravenous immunoglobulin. A single case report described one patient achieving long-term remission following the combination of thalidomide for 2 years and pulse dexamethasone for 9 months. These authors felt that this combination should be tried as first line in patients who need systemic therapy but that high-dose and
prolonged treatmentis necessary

NXG accounts for two-thirds of paraneoplastic xanthomas. NXG may result from a foreign body giant cell reaction to cutaneous (and extracutaneous) deposition of serum paraprotein complexed with lipids.

Approx 100 cases described.
The pathogenesis of NXG is unknown.

Approximately 80–90% of patients have an underlyingmonoclonalgammopathy, among whom IgG-κ is the
most frequent monoclonal gammopathy of unknown significance (MGUS) (65%), followed by IgG-λ (35%) and, much less commonly, IgA. When a gammopathy is present, the underlying haematological condition is MGUS in half of the cases and myeloma in the other half, which can manifest years after the development of skin lesions. Because of the prolonged gap between the onset of
the skin disease and these malignancies, their role in pathogenesis remains uncertain.

Pathology
Histologically, confluent granulomatous masses are present as either sheets or nodules, replacing much of the dermis and extending into the subcutaneous tissue. Hyaline areas of necrobiosis separate individual nodules. Numerous giant cells are present, with Touton cells and bizarre, angulated giant cells. Cholesterol clefts, lymphoid
nodules (some of which develop germinal centres) and perivascular aggregates of plasma cells are frequent features.

Less common, but characteristic when present, are palisading cholesterol cleft granulomas and xanthogranulomatous panniculitis. Granulomatous
invasion of blood vessels with thrombosis has been described.

NXGs are firm nodules, papules or
plaques in the periorbital area or at any site, often with ulceration, crusting or telangiectasia.

NXG shows a granulomatous inflammation with
lymphocytes, foreign body-like giant cells, Touton giant cells and foci ofcollagen necrobiosis.

NXG and normolipaemic xanthoma are associated with mono-
clonal gammopathy in 80-90% cases. The majority (80%) of these are IgG paraproteinaemias, in particular MGUS (approximately 50%) and multiple myeloma (approximately 40%). The remainder are associated with Waldenströmmacroglobulinaemia, CMML, CLL or non-Hodgkin lymphoma. In almost all cases, xanthomas are
the first sign of the haematological disease.
The differentiation between paraneoplastic NXG and other types of xanthoma can be achieved on the basis of clinical manifestations and histology.

How well did you know this?
1
Not at all
2
3
4
5
Perfectly
11
Q

Diagnosis and key clinical features

A

Scleromyxoedema is the sclerotic variant of LM characterised by a generalised papular eruption on a sclerodermoid background, mucin deposition, increased fibroblast proliferation, fibrosis and monoclonal gammopathy. It has systemic implications.

Scleromyxoedema is a rare disease that usually affects adults
between the ages of 30 and 80 years. The mean age of patients is 59 years. The illness has noethnic or sex predominanceand has rarely been reported in infants and young children.

The pathogenesis of scleromyxoedema is unknown.

Polyclonal and monoclonal immunoglobulins and other unidentified factors in the serum of affected patients may induce upregulation of glycosaminoglycan synthesis from fibroblasts. Although monoclonal paraprotein has been considered pathogenic, the stimulation of fibroblasts occurs even after the removal of the paraprotein.

The typical skin features are those of a widespread eruption of
2–3 mm, firm, waxy, closely spaced, dome-shaped or flat-topped papules involving the dorsal aspect of the upper limbs, head and neck region, upper trunk and thighs. Papules
often are arranged in a strikingly linear pattern; the surrounding skin is shiny and thick (i.e. sclerodermoid in appearance).

Rarely non tender nodules may develop. The glabella typically is involved with deep longitudinal folding that gives the appearance of a leonine face. Deep furrowing is also evident on the trunk, shoulders and limbs (Shar-Pei sign) giving patients a cutis-laxa like aspect. Redness, oedema and a brown-ish discoloration may be seen in the involved areas, and itching is not uncommon. Eyebrow, axillary and pubic hair may be sparse.
Mucosal lesions are absent. As the condition progresses, red and infiltrated plaques develop with skin stiffening, sclerodactyly and reduced mobility of the mouth and the joints of the hands, arms and legs. Over the proximal interphalangeal joints, a central depression surrounded by an elevated rim (due to the skin thickening) is referred to as the ‘doughnut sign’ . Telangiectasia and calcinosis are lacking but Raynaud phenomenon may rarely occur.

How well did you know this?
1
Not at all
2
3
4
5
Perfectly
12
Q
A

Scleromyxoedema is characterised by a triad of microscopic features:
(i) a diffuse deposit of mucin composed mostly of
hyaluronic acid in the upper and mid-reticular dermis confirmed with an Alcian blue stain or an iron colloidal
stain and hyaluronidase digestion (ii) an increase in collagen deposition; and (iii) a proliferation of irregularly arranged fibroblasts. The epidermis may be normal or thinned, the hair follicles may be atrophic and a slight perivascular superficial lymphoplasmacytic infiltrate is often present. The elastic fibres are fragmented and decreased in number.

An interstitial granuloma annulare-like
pattern with histiocytic CD68+ or CD163+ infiltrate has been
described. In addition to skin involvement, mucin may fill
the endocardium, the walls of myocardial blood vessels as well as the interstitium of the kidney, lungs, pancreas, adrenal glands and nerves. Lymphnode involvement may occur

How well did you know this?
1
Not at all
2
3
4
5
Perfectly
13
Q

Outline the systemic manifestations

A

The prognosis of scleromyxoedema is variable. Scleromyxoedema follows a chronic, progressive and sometimes unpredictable
course. Involvement of the central nervous system, heart,
kidney or progression to overt myeloma worsens the prognosis.
The main causes of death include dermatoneuro syndrome (scleromyxoedema with concomitant fever, convulsions and coma), cardiovascular complications and haematological malignancies. Septic complications are mostly linked to melphalan therapy, which is now less commonly used.

Over the last 30 years, there has been a progressive improvement in the mortality of scleromyxoedema patients decreasing from 35% in 1995, to 23.8% in 2013, and to 3% in a 2020 study that has been partially attributed to the influence of therapy, especially the use of intravenous immunoglobulin.

Investigations:
In addition to skin biopsy, serum electrophoresis with immunofixation is mandatory. Thyroid function test results are normal. Other laboratory tests are usually normal, except in cases of specific extra-cutaneous symptoms where the internal organs affected should be evaluated. There is little value in imaging studies, although high-resolution cutaneous ultrasonography may become a useful diagnostic and disease activity monitoring tool for skin thickening.

How well did you know this?
1
Not at all
2
3
4
5
Perfectly
14
Q

Outline the treatment for scleromyxoedema

A

There is no evidence to support any specific definitive treatment for scleromyxoedema because of the rarity of the disorder. There is a limited number of case reports and a lack of randomised controlled trials with incomplete aetiopathogenetic understanding of the disease. In addition, significant toxicity including death, often associated with some therapies such as melphalan, make therapeutic choices more difficult. Intravenous immunoglobulin therapy
(alone or in combination with other drugs) has gained widespread acceptance as the first line therapy for both skin involvement and extracutaneous manifestations. Although remissions persisting for a few months and up to 3 years after cessation of intravenous immunoglobulin infusions have been reported, the response is not permanent and maintenance infusions every 6–8 weeks are required. Thalidomide (or lenalidomide) and/or systemic steroids are considered the second line of treatment, more often in combination with intravenous immunoglobulins than
as monotherapy. Autologous peripheral blood stem
cell transplantation can be considered as a third line of treatment. In patients with severe or refractory disease (cases with central nervous system or cardiac involvement) and recurrent disease, plasma cell-directed therapies using lenalidomide and/or
bortezomib with dexamethasone and intravenous immunoglobulin should be considered. Combined plasmapheresis, intravenous immunoglobulin and high-dose corticosteroids seemed to yield benefit in cases of dermatoneurosyndrome.

How well did you know this?
1
Not at all
2
3
4
5
Perfectly
15
Q

Recognise the dermatological manifestations of polycythemia rubra vera

A

Polycythaemia vera is an example of a chronic myeloproliferative disorder of myeloid cells that results in an increased red cell mass.

PV causes elevation of haemoglobin, haematocrit and red cell mass. Biopsy findings are variable, but livedo reticularis and acral infarcts may be associated with microvascular occlusion.

Ruddycyanosisis characteristicof PV.
Erythromelalgia can occur as a primary or secondary syndrome.
This intensely uncomfortable burning associated with paroxysmal erythema of the distal extremities can be triggered by skin contact with a warm surface

Skin manifestations are:
Plethora/ruddy cyanosis (florid complexion)
Aquagenic pruritus (itching of skin triggered by contact with water)
Erythromelalgia (redness and burning pain of hands/feet)
Livedo reticularis (purplish lace-like discolouration)
Acrocyanosis (bluish-purplish discolouration of hands/feet)
Pyoderma gangrenosum (ulcers).

People with ET and PV have a higher risk of thrombotic complications. Anaemia and altered red cell morphology can occur over time, and these diseases may progress to dyspoiesis, severe anaemia, leukaemia or myelofibrosis. Splenomegaly may be seen in all forms of myeloproliferative syndromes.

Median survival is 14 years for PV and 20 years for ET. In PV, there are two risk categories for thrombosis: high (age over 60 or history of thrombosis) and low (absence of both risk factors).

Bone marrow examination remains the basis of diagnosis for
PV and ET supported by genetic testing.

Therapy in both PV and ET aims to prevent thrombotic and haemorrhagic complications. People with PV receive phlebotomy to keep the haematocrit below 45% and aspirin.

Cytoreductive therapy is recommended for high-risk ET
and PV using hydroxyurea first line with second line interferon α or busulfan. Ruxolutinib, a selective JAK1 and JAK2 inhibitor, can help PV with severe and protracted pruritus or marked splenomegaly.
Because of the platelet origin of occlusion and vascular symptoms in thrombocythaemic erythromelalgia, aspirin administration may be effective in clearing lesions and alleviating burning pain, whereas it is much less effective in primary and other secondary forms of erythromelalgia.

Polycythemia vera
Aquagenic pruritus may precede the development of polycythemia vera by several years and eventually affects ~30%–50% of polycythemia vera patients. Thus, this diagnosis should be considered in all patients with aquagenic pruritus. Additional cutaneous findings include a
ruddy facial complexion, erythema of the hands and feet, and conjunctival injection. Approximately 97% of patients with polycythemia vera have a somatic mutation (V617F) in the Janus kinase 2 gene (JAK2) that results in constitutive activation and agonist hypersensitivity in basophils, which may have a pathogenic role in their aquagenic pruritus. Platelet aggregation has also been suggested as a possible
underlying mechanism, with release of serotonin and other pruritogenic factors such as histamine. In RCTs, the JAK 1/2 inhibitor ruxolitinib led to rapid improvement of polycythemia vera and its associated pruritus. Other treatment options include hydroxyurea, aspirin (300 mg daily), UVB or PUVA phototherapy (reports of success), SSRIs (effective in small series), interferon-α-2b (approved therapy with good
efficacy), and oral H1- or H2-receptor antagonists (variable results.

Paraneoplastic itch is most frequent with myeloproliferative
neoplasms (e.g. polycythemia vera > essential thrombocythemia), lymphoma (Hodgkin > non-Hodgkin), and cancers of the liver or biliary system

How well did you know this?
1
Not at all
2
3
4
5
Perfectly
16
Q

Recognise the dermatological manifestations of essential thrombocytosis

A

Thrombocytosis can be due to essential thrombocythaemia (ET) linked to a myeloproliferative disorder or polycythaemia vera (PV). However, transient thrombocytosis is a common finding with a wide range of primary and secondary causes such as infection.

ET has a 14% risk of thrombosis over 10 years.

Cutaneous lesions are common in ET and other myeloproliferative disorders. Paradoxically, patients with myeloproliferative thrombocytosis may both bleed and clot abnormally. Skin lesions in 22% of 268 people with ET included urticaria, livedo reticularis,
petechiae, ecchymoses, haematomas, erythromelalgia, Raynaud phenomenon, recurrent superficial thrombophlebitis, necrotising vasculitis, leg ulceration and gangrene. Tender erythematous facial plaques and palmar violet macules and papules were reported as
manifestations of platelet plugging in atypical chronic myeloproliferative disease with a history of Budd–Chiari syndrome, another known thrombotic complication of myeloproliferative disease.

People with ET and PV have a higher risk of thrombotic complications. Anaemia and altered red cell morphology can occur over time, and these diseases may progress to dyspoiesis, severe anaemia, leukaemia or myelofibrosis. Splenomegaly may be seen in all forms of myeloproliferative syndromes.

Low-risk ET is given aspirin. Cytoreductive therapy is recommended for high-risk ET and PV using hydroxyurea first line with second line interferon α or busulfan.

How well did you know this?
1
Not at all
2
3
4
5
Perfectly
17
Q

Outline the dermatological manifestations of leukaemia

A

Key features
„ Associated intraoral findings include infections and gingival
hemorrhage
„ Gingival enlargement occurs most commonly with monocytic and myelomonocytic leukemias

Introduction
Approximately one-third of patients with acute and 10% with chronic leukemia develop one or more oral manifestations at some point during the course of their disease. More commonly, they are infectious (e.g. herpes simplex, candidiasis) or inflammatory (e.g. GVHD) rather than neoplastic.

Clinical features
Patients often experience bruising or spontaneous and persistent hemorrhage due to thrombocytopenia. Leukopenia results in poor healing and an increased prevalence of bacterial and fungal infections while lymphopenia increases the risk of viral infections. The tissues may exhibit an overall pallor of anemia or ulcerative gingivitis. Diffuse,
firm, non-tender gingival enlargement can result from infiltration of the gingival connective tissue by leukemic cells, primarily in patients with monocytic or myelomonocytic forms of leukemia.

Treatment
Multi-agent chemotherapy and allogeneic HSCT are most commonly used to treat acute leukemias. Leukemic infiltrates generally respond to therapeutic regimens for the underlying leukemia.

Oral ulceration may be a prominent feature, especially in the
acute leukaemias. Other oral manifestations of leukaemia include mucosal pallor, gingival haemorrhage, gingival swelling, petechiae and ecchymoses. Oral infections with Candida albicans and Gram negative bacteria including Pseudomonas spp., Escherichiacoli, Proteus, Klebsiella and Serratia spp. are common, especially in acute leukaemias, and may act as a portal for septicaemia.
Herpes simplex or varicella-zoster virus ulcers are also common.
Chemotherapy complicates the situation because it too can produce oral ulceration, as can bone marrow transplantation.
Other occasional findings include paraesthesia (particularly of the lower lip), facial palsy, extrusion of teeth or bone, painful swellings over the mandible and parotid swelling (Mikulicz syndrome).

Perniosis may also complicate haematological malignancy, typ-
ically myelodysplastic syndrome and chronic myelomonocytic
leukaemia. Cyanotic swelling of acral digital skin,
particularly the toes, has been reported in these patients. The
onset of perniosis may coincide with a blast crisis, which can be demonstrated on skin biopsy by the presence of large, atypical mononuclear cells in the perivascular infiltrate

How well did you know this?
1
Not at all
2
3
4
5
Perfectly
18
Q

Outline the causes of vulval ulcers

19
Q

Outline the causes of blueberry muffin baby

A

Extramedullary haematopoiesis is the formation of cellular blood components outside the bone marrow. It can be a pathological feature of chronic myeloproliferative syndromes such as primary myelofibrosis; foci commonly occur in the spleen and may in rare instances occur in the skin by seeding of abnormal haematopoietic stem cells outside the bone
marrow and subsequent aberrant proliferation. Skin manifestations include pink to red or violaceous (angioma-like) papules, nodules, tumours and ulcers, often on the torso, that may appear soon after diagnosis with myelofibrosis (and sometimes following splenectomy). Skin lesions may resemble leukaemia cutis from which they should be differentiated. Histologically, skin lesions are characterised by a polymorphous dermal infiltrate of myeloid and erythroid cell precursors, often with the presence of dysplastic
megakaryocytes and occasionally few myeloblasts.

Prolonged dermal extramedullary haematopoiesis can also occur in neonates without a haematological neoplasm but as a reactive phenomenon to an infection commencing in utero, such as one of the TORCH group of infections (toxoplasmosis, other (e.g. syphilis, varicella-zoster, parvovirusB19) ,rubella, cytomegalovirus and herpes infections). The generalised haemorrhagic, purpuric eruption that ensues has led to the term ‘blueberry muffin baby’. In children and adults, reactive extramedullary haematopoiesis may also
accompanythalassaemias,sickle cell anaemia or thrombocytopenic purpura but skin involvement in adults is exceptionally rare

20
Q

Outline diesease that show the koebner response

21
Q

What is the cell of origin for mycosis fungoides?

22
Q

What leukaemias cause leukaemia cutis?

A

Skin lesions are generally asymptomatic and consist of small,
reddish or violaceous/grey-blue macules, papules or nodules,
which may be fleeting or persistent. Leukaemia cutis occurs
in about 20% of patients with acute monocytic leukaemia, and
extramedullary involvement is often a poor prognostic feature.

Gum involvement occurs in 25–50% of patients. Cutaneous
involvement usually occurs after the diagnosis of the underlying haematological malignancy but rarely can occur as the presenting feature.
Non-specific lesions are common. Generalised pruritus may be
a presenting symptom and prurigo-like papules develop in some cases. Disseminated or unusually severe herpe szoster is common. In multiple myeloma, both generalised and local amyloidosis is common. Sweet syndrome and bullous pyoderma can be a non-specific manifestation of an underlying leukaemia. Thrombocytopenic purpura is a characteristic symptom of acute leukaemias and may occur on the skin or mucous membranes, often as the presenting symptom.

23
Q

Which conditions can infiltrate the skin with neoplastic cells?

24
Q

Which haematological conditions are most likely to have skin involvement?

25
What syndromes are associated with leukaemia and lymphoma?
26
What are the causes of leonies facies?
27
What syndromes are associated with monoclonal gammopathy?
28
Outline the classic presention of lymphomatoid papulosis
Lymphomatoid papulosis, a CD30+ lymphoproliferative condition where crops of papulonecrotic skin lesions come and go, can be associated with primary cutaneous or nodal CD30+ large-cell anaplastic T-cell lymphoma and Hodgkin disease in 10–20% of cases (or run a benign course). Because of the overlapping clinical and histologic features between LyP and C-ALCL, including the presence of an aberrant T cell phenotype, the presence of clonally rearranged TCR genes in 60%–70% of the patients, and the presence of identical T cell clones in LyP lesions and associated lymphoma lesions, LyP is best regarded as a low-grade variant of CTCL. Furthermore, in some patients, lymphoma- toid papulosis-like lesions follow known Hodgkin disease. Patients with lymphomatoid papulosis may also have coexisting or pre-existing cutaneous T-cell lymphoma. LyP accounts for ~15% of all CTCL male-to-female ratio is approximately 1.5 : 1 (B) The typical skin lesions in LyP are red–brown papules and nodules that may develop central hemorrhage, necrosis, and crusting; they subsequently disappear spontaneously within 3 to 12 weeks. Characteristically, skin lesions in different stages of evolution coexist. The papulonodules may leave transient hypopigmented or hyperpigmented macules and occasionally, superficial atrophic (varioliform) scars, or they may disappear without ulceration or sequelae. The number of lesions varies from several to more than one hundred. Lesions may be localized, sometimes clustered within rather well-defined areas, or generalized. The predominant sites of involvement are the trunk and limbs, and very rarely, concurrent intraoral lesions are present. The eruption is generally asymptomatic. The duration of the disease ranges from several months to more than 40 years. In up to 20% of patients, LyP may be preceded by, associated with, or followed by another type of cutaneous or systemic lymphoma, generally MF or C-ALCL. However, the prognosis is usually excellent. In a study of 504 patients with LyP, only 14 patients (3%) developed a systemic lymphoma, and only five patients (1%) died of systemic disease over a median follow-up period of 120 months.
29
Outline the histo features of Lymphomatoid papulosis
The histologic picture of LyP is extremely variable, which in part correlates with the age of the sampled skin lesion. In addition, several histologic types of LyP have been described, with LyP type A being the classic and most common type of LyP (>75%). It should be noted that different types of LyP may occur in different but concurrent lesions, and that a single LyP lesion may show histologic features of different subtypes of LyP. Knowledge of the variable histologic presentations of LyP is more important for pathologists than for clinicians as the subtype has no therapeutic or prognostic implications.
30
Outline treatment options for Lymphomatoid papulosis
Topical or systemic corticosteroids and antibiotics are not effective. Aggressive treatment modalities such as systemic chemotherapy or TSEB irradiation may produce complete remissions, but after discontinuation of therapy, the LyP lesions generally reappear within weeks or months, and the disease follows its natural course. Since a curative therapy is not available and none of the available treatment modalities affects the natural course of the disease, the short-term benefits of active treatment should be balanced carefully against potential side effects. . In patients with relatively few non-scarring lesions, expectant management is reasonable. When there are cosmetically disturbing lesions (e.g. scarring or many papulonodules), low-dose oral methotrexate (5–20 mg/week) is the most effective therapy for reducing the number of skin lesions. PUVA therapy is also effective, but is less attractive if maintenance treatment is required. When larger skin tumors develop in the course of LyP, they can be observed for a period of 4 to 12 weeks for the possibility of spontaneous remission. If spontaneous resolution does not occur, such lesions can be excised or treated with radiotherapy. Because of the potential risk for developing a systemic lymphoma, long-term follow-up is required in all patients with LyP.
31
Outline treatment options for CD30 positive conditions
32
What are the CD30 positive lymphoproliferative conditions?
Primary cutaneous CD30-positive lymphoproliferative disorders represent the second most common group of CTCL, accounting for ~25% of CTCL. This group includes primary cutaneous anaplastic large cell lymphoma (C-ALCL), lymphomatoid papulosis (LyP), and borderline cases. C-ALCL and LyP have overlapping clinical, histologic, and immunophenotypic features and form a spectrum of disease. Thus, histologic criteria alone are often insufficient to distinguish between the two ends of the spectrum. In the end, the clinical appearance and course are used as decisive criteria for the definite diagnosis and choice of treatment. The term “borderline case” refers to patients in whom, despite careful clinicopathologic correlation, a definite distinction between C-ALCL and LyP cannot be made. Longitudinal clinical evaluation will generally disclose whether the patient has C-ALCL or LyP
33
Outline the clinical features of primary cutaneous anaplastic large cell lymphoma and the immunophenotype and genotype
Primary cutaneous anaplastic large cell lymphoma (C-ALCL) is composed of large cells with an anaplastic, pleomorphic, or immunoblastic cytomorphology and expression of the CD30 antigen by the majority (>75%) of tumor cells. ~10% of all CTCLs They predominantly affect adults and are rare in children or adolescents. The male-to-female ratio is approximately 2 : 1. Most patients present with solitary or localized nodules or tumors (sometimes papules) that often develop ulceration. Multifocal lesions are seen in about 15% of patients. The skin lesions may show partial or complete spontaneous regression, as in LyP. These lymphomas frequently relapse in the skin. Extracutaneous dissemination occurs in 10%–15% of patients, and it mainly involves the regional lymph nodes. The prognosis is usually favorable, with a 10-year disease- related survival exceeding 85%. However, patients who present with extensive skin lesions on the leg have a reduced survival rate
34
Outline the histopathologic features of primary cutaneous anaplastic large cell lymphoma
These lymphomas show diffuse non-epidermotropic infiltrates with cohesive sheets of large CD30-positive tumor cells. In most cases, the tumor cells have the characteristic morphology of anaplastic cells, with round, oval or irregularly shaped nuclei, prominent (eosinophilic) nucleoli, and abundant cytoplasm. Less commonly (20%–25%), tumor cells have a pleomorphic, immunoblastic, or Reed–Sternberg cell-like appearance. Immunophenotype The neoplastic cells often express a CD4+ T cell phenotype with variable loss of CD2, CD5, and/or CD3. Some cases (<5%) have a CD8+ T cell phenotype. CD30 must be expressed by the majority of neoplastic cells. Expression of cytotoxic proteins (granzyme B, TIA-1, perforin) is noted in ~70% of cases, while MUM1/IRF4 (multiple myeloma oncogene 1/ interferon regulatory factor 4) is expressed in almost all cases. Unlike systemic ALCL, most C-ALCLs express CLA (cutaneous lymphocyte antigen), but do not express EMA (epithelial membrane antigen) or ALK (anaplastic lymphoma kinase); the latter is indicative of a t(2;5) chromosomal translocation.
35
Recognise the skin manifestations of amyloid associated with monoclonal gammopathy
Amyloidoses are subclassified as primary localised cutaneous amyloidosis (PLCA), secondary localised cutaneous amyloidosis (SLCA), systemic amyloidosis with cutaneous involvement, and secondary cutaneous amyloidosis originating from other systemic diseases. In PLCA, amyloid precipitates are normally found in the papillary dermis. Nodular PLCA is an exception to the rule, as amyloid is frequently found in the deeper layers of the skin. This is similar to the findings in systemic amyloidosis with cutaneous involvement where subpapillary layers (stratum reticulare, subcutis), dermal appendages and blood vessels may also be involved. While lichenoid PLCA is the only type that has been specifi- cally associated with the Koebner phenomenon, it appears that nodular PLCA can also occur at sites of prior trauma. There have been sparse reports of nodular PLCA being associated with other autoimmune diseases, such as CREST syndrome and primary biliary cirrhosis, but currently Sjögren syndrome appears to be the main one frequently reported. The rare form of nodular PLCA is characterised by amyloid that is composed of immunoglobulin light chains (AL amyloid). Plasma cells infiltrating the skin (e.g. in extramedullary plasmocytoma) produce monoclonal immunoglobulin lightchains of κ-orλ-type as amyloid precursors. There are two major factors that differentiate nodular amyloidosis from macular and lichenoid amyloidosis. Firstly, nodular amyloid is composed of immunoglobulin light chains derived from a monoclonal expansion of plasma cells, whereas in papular/macular PLCA amyloid consists of cytokeratins. Secondly, the amyloid of nodular PLCA infiltrates the entire dermis, from the papillary dermis to the subcutis. Cutaneous amyloidoses due to systemic disease comprise three groups: (i) non-hereditary systemic amyloidoses with cutaneous involvement; (ii) hereditary systemic amyloidoses with cutaneous involvement; and (iii) hereditary systemic diseases with secondary cutaneous amyloidosis. In the group of non-hereditary systemic amyloidoses with cutaneous involvement, there are primary and myeloma- or plasmocytoma-associated amyloidoses as well as amyloidosis due to Waldenström macroglobulinaemia (amyloid lightand/orheavychains,AL/AH), secondary amyloidoses associated with inflammation or tumours, and haemodialysis-associated forms. The group of hereditary systemic amyloidoses with cutaneous involvement comprises hereditary transthyretin amyloidosis (familial amyloid polyneuropathy), hereditary apolipoprotein A1 amyloidosis, hereditary cystatin C amyloidosis and hereditary gelsolin amyloidosis (Meretoja syndrome). The last group of hereditary systemic diseases with secondary cutaneous amyloid precipitation consists of Muckle–Wells syndrome and tumour necrosis factor (TNF) receptor 1 associated periodic fever syndrome (TRAPS). Systemic amyloidoses are often characterised by amyloid deposition in mesenchymal structures of the internal organs such as heart muscle, liver and kidneys which may lead to a progressive loss of function and eventually to death. As mentioned, there are also hereditary systemic amyloidoses and systemic diseases with secondary cutaneous involvement.In cutaneous involvement, all skin layers as well as vessel walls may be affected. Systemic amyloidoses show cutaneous involvement in about 50% of patients which allows physicians to diagnose the underlying systemic disease at an early stage.
36
What investigations should be performed for cutaneous amyloid?
For immunohistochemistry, antibodies are available for the subclassification of amyloid precipitates, directed against cytokeratin (papular/macular PLCA or SLCA) or immunoglubulin light chains (systemic AL (amyloid from immunoglobulin light chains) amyloidosis or nodular PLCA
37
What subtype of localised amyloid is associated with a paraproteinaemima?
Nodular amyloid
38
What investigations should be performed for systemic amyloid?
In nodular amyloid it is appropriate to assess for progression to systemic amyloidosis on a regular basis. This assessment should include a full history and physical examination along with an electrocardiogram, complete blood count, serum creatinine level, serum liver-associated enzymes levels, serum protein electrophoresis and urine protein electrophoresis. It has also been suggested that an abdominal fat biopsy (incisional or aspiration, easy access for screening) can be performed to rule out systemic disease. Any indication of systemic disease requires immediate attention as it may be rapidly progressive.
39
Outline the subtypes of systemmic amyloid
40
Which light chains are involved with systemic amyloid?
Most non-hereditary primary systemic amyloidoses are caused by monoclonal plasma cell proliferation. The underlying diseases comprise entities such as multiple myeloma, Waldenström disease, Bence Jones plasmocytoma, heavy chain disease and malignant lymphomas. The common feature of these diseases is the production of monoclonal immunoglobulins. Mostly immunoglobulin light chains (isotypes κ and λ) serve as amyloid prescursors (AL=light chain type/Bence Jones amyloid; AL-κ : AL-λ ratio of 1 : 2). However, patients with Waldenström macroglobulinaemia can develop immunoglobulin heavy chain amyloidosis (AH= heavy chain amyloid) and/or immunoglobulin light chain amyloidosis
41
What are the clinical signs of systemic amyloidosis?
Amyloid precipitation within the oral cavity mucosa may present as papules in a local deposition (e.g. infiltrates in the lower lip) or as macroglossia in a diffuse infiltration Despite the clinical variability of AL-type amyloidoses, petechiae and purpura of the face or intertriginous areas (which may be additionally triggered by friction) The clinical presentation of cutaneous involvement in systemic amyloidoses is often characterised by petechiae, haemorrhages, ecchymosis and pruritus. Bleeding is often seen in the periorbital or intertriginous regions due to the deposition of amyloid in and around vascular struc- tures, a deposition pattern that is rarely seen in localised cutaneous amyloidoses. The only exception to this rule is nodular amyloidosis, in which perivascular amyloid deposition may also be encountered and in which the histology may bear a strong resemblance to systemic amyloidosis with cutaneous involvement. Typically, amyloid purpura occurs above the nipple line, mostly on the head and neck, especially on the eyelids. As purpura may be the first sign of systemic amyloidoses, it is important to bear this sign in mind. The suspected diagnosis of amyloidosis maybe the starting point for a multidisciplinary treatment approach as different organs maybe involved. As a clinical variant of light chain amyloidoses, bullous cutaneous manifestations (sometimes haemorrhagic) or bullous manifestations of the mucosa may occur. Confluent white to yellowish, waxy, partially haemorrhagic papules or nodules can be found that predominantly occur on the face, eyelids and scalp. In severe cases, these lesions may lead to ulceration and scarring alopecia. If the dermis is extensively infiltrated by amyloid, scleroderma-like skin changes (especially of the fingers) may occur, known as scleroderma amyloidosum Gottron. Also, blisters and nail dystrophy have been reported as manifestations of myeloma-associated amyloidosis. Bullous forms of amyloidoses occur both in PLCA and in systemic amyloidoses with cutaneous involvement. The combination of prolonged fever episodes, abdominal pain, myalgia and migrating cutaneous erythemas is characteristic of the rare TRAPS, which results in secondary cutaneous amyloidosis (presumably amyloid SAA). Another rare syndrome also associated with secondary cutaneous amyloid deposition (presumably amyloid SAA) is Muckle–Wells syndrome, which is characterised by cutaneous amyloid deposition, periodic urticaria like skin lesions and the development of sensorineural hearing loss.
42
How is cutaneous amyloid managed?
In all types of cutaneous amyloidosis, pruritus is often a major problem leading to further skin irritation, which can cause sec- ondary amyloid precipitation. In contrast, PLCA with widespreadlesionsmayrequiretheadditionaluseofphoto(chemo) therapy and/or systemic drug treatment (dimethyl sulfoxide (DMSO), acitretin, cyclophosphamide). In systemic amyloidoses, the major principle is to treat the underlying disease. Localised amyloidosis. There is one review of case reports dis- cussing the effect of oral retinoids, such as acitretin, in the treatment of lichen amyloidosis. This review shows that oral retinoids administered over about 6 months may lead to a complete remission of papular PLCA (lichen amyloidosis). A case has also been reported regarding the use of oral acitretin in the treatment of mixed (biphasic, allotropic) PLCA. Relief of pruritus, an improvement of the papules and discrete clearance of hyperpigmentation were observed after 4 months’ treatment with 0.5 mg/kg body weight of oral acitretin daily. DMSO can be topically applied, but there are also reports on the efficacy of oral DMSO in the treatment of systemic amyloidoses with cutaneous involvement. With respect to papular PLCA, there is one study reporting on significantly reduced pruritus, hyperpigmentation and lesion size after 50mg per day oral cyclophosphamide over 6 months . Often, the same treatment modalities are used for macular PLCA.
43
How is systemic amyloid managed?
In systemic amyloidoses, it is crucial to treat the underlying cause if possible (e.g. multiple myeloma, plasmocytoma, renal insufficiency). Future treatments with siR-NAs or anti-amyloid antibodies are under development. The finding of IL-31 as a key player in pruritus has led to the development of an antibody against IL-31 (nemolizumab), which shows great promise in the treatment of atopic dermatitis, prurigo nodularis and potentially cutaneous amyloidosi. Interestingly, the role of IL-31 was found to be crucial in familial PLCA. Primary systemic amyloidoses or diseases with secondary cutaneous amyloid precipitation should always be treated by a multi-disciplinary team. When there is an identifiable underlying disease leading to cutaneous amyloid deposition, all efforts should be made to slow down or stop the progress of the disease. Immunosuppression is a core component in the treatment of systemic amyloidoses secondary to inflammation. For instance, AA amyloidosis resulting from familial Mediterranean fever (FMF) can be improved using colchicine. The addition of anakinra (IL-1 receptor antagonist, IL-1Ra) to colchicine may be beneficial in the treatment of FMF-associated amyloidosis as it tempers the underlying inflammatory reactions. TRAPS-associated amyloidoses may also be treated by TNF blockade and IL-1 antagonists. Muckle–Wells syndrome is one of the cryopyrin-associated periodic (fever) syndromes caused by NLRP3 mutations. IL-1β is up-regulated in this group of diseases, and therefore treatment options include canakinumab (IL-1β antibody), rilonacept (IL-1-binding protein) and anakinra (IL-1Ra). Other strategies, such as the administration of intravenous immunoglobulins and plasma exchange, have also been successfully used in the treatment of primary systemic amyloidoses. An increasing number of patients with Aβ2 amyloidosis are expected as haemodialysis has enabled the long-term survival of patients with severe chronic renal failure. Improvement of renal function so that haemodialysis may be stopped is the key to improving and possibly completely resolving A β2 amyloidosis.