MCQ practice made up Flashcards

(16 cards)

1
Q

T/F Regarding reactive perforating collagenosis.

Onset is usually during adulthood

A

F
Bologina: Onset is during childhood

How well did you know this?
1
Not at all
2
3
4
5
Perfectly
2
Q

T/F Regarding reactive perforating collagenosis.

Koebnerization is more commonly
observed with RPC than with the other perforating disorders.

A

T

Bologina: Koebnerization is more commonly
observed with RPC than with the other perforating disorders but it has been reported with all of them

Dermnet:
Skin conditions that regularly manifest Koebner phenomenon are psoriasis, vitiligo and lichen planus. There have been reports of possible Koebner phenomenon in many other conditions.
A true Koebner response occurs in:
Psoriasis
Vitiligo
Halo naevus
Lichen planus.

A pseudo-Koebner response occurs with infections arising in an area of trauma, but represent transfer of virus into the damaged skin:
Molluscum contagiosum
Viral warts.

Localised trauma can also lead to:
Behҫet disease and pyoderma gangrenosum (pathergy)
Cancer, for example Marjolin ulcer arising in a longstanding scar
Darier disease
Erythema multiforme
Granuloma annulare
Hailey-Hailey disease
Kaposi sarcoma
Kyrle disease
Lichen sclerosus
Morphoea
Necrobiosis lipoidica
Pellagra
Perforating folliculitis
Reactive perforating collagenosis.

How well did you know this?
1
Not at all
2
3
4
5
Perfectly
3
Q

T/F Regarding reactive perforating collagenosis.

spontaneously resolve over 6 months

A

F

Bologina: spontaneously resolve over 6-10 weeks

How well did you know this?
1
Not at all
2
3
4
5
Perfectly
4
Q

T/F Regarding reactive perforating collagenosis.

Verrucous perforating collagenoma is a familial variant

A

F
Bolognia: Verrucous perforating collagenoma (collagenome perforant verruciformé) is a very rare non-familial variant

Rook: Verrucous perforating collagenoma. Verrucous perforating collagenoma (synonym collagénome perforant verruciforme) is rarely reported and appears to be a reaction to the traumatic introduction of foreign materials including fibreglass, vegetable matter, calcium chloride and irritant drugs into the skin. Damaged collagen extruded to the surface by TEE is manifest as verrucous papules

How well did you know this?
1
Not at all
2
3
4
5
Perfectly
5
Q

T/F Regarding reactive perforating collagenosis.

Acquired RPC usually occurs in association with diabetes mellitus

A

T

Bolognia:
Acquired RPC that begins in adulthood usually occurs in association with diabetes mellitus and/or chronic kidney disease (stages 4–5), and these cases are best classified as acquired perforating dermatosis, even though the histopa-
thology is identical to the inherited form of RPC.

How well did you know this?
1
Not at all
2
3
4
5
Perfectly
6
Q

T/F regarding Acquired Perforating Dermatosis and Kyrle’s disease

Can arise within sites of healing herpes zoster

A

T
Bolognia:
Acquired perforating dermatosis can arise from other forms of trauma (not just scratching), including within sites of healing herpes zoster

How well did you know this?
1
Not at all
2
3
4
5
Perfectly
7
Q

T/F regarding Acquired Perforating Dermatosis and Kyrle’s disease

Is associated with hyperthyroidism

A

F
Hypothyroidism

Bolognia:
While an association with hypothyroidism and
hyperparathyroidism has been reported, most of these patients also had established risk factors (e.g. diabetes, nephropathy

How well did you know this?
1
Not at all
2
3
4
5
Perfectly
8
Q

T/F regarding Acquired Perforating Dermatosis and Kyrle’s disease

Can develop after exposure to epidermal growth factor inhibitors

A

T
Bologina:
In addition, acquired perforating dermatosis and perforating folliculitis may develop following exposure to several classes of drugs including TNF inhibitors, epidermal growth factor receptor inhibitors (e.g. gefitinib, panitumumab) and other kinase inhibitors (e.g. nilotinib), dipeptidyl peptidase-4 inhibitors, antivirals (e.g. telaprevir, indinavir),nsirolimus, and several monoclonal antibodies (e.g. natalizumab, bevaci-
zumab)

How well did you know this?
1
Not at all
2
3
4
5
Perfectly
9
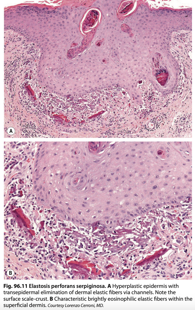
Q

T/F regarding elastosis perforans serpiginosa

Tend to have lymphocytes, macrophages, or
multinucleated giant cells in the dermis at the site of perforation

A

T

Bolognia: EPS, tend to have lymphocytes, macrophages, or
multinucleated giant cells in the dermis at the site of perforation

How well did you know this?
1
Not at all
2
3
4
5
Perfectly
10
Q

T/F regarding perforating folliculitis

The most common site is the trunk and extremities

A

T
Bolognia: Trunk and extremeties are the most common sites

How well did you know this?
1
Not at all
2
3
4
5
Perfectly
11
Q

T/F regarding Acquired perforating dermatosis

Elastic fibers stain red with Verhoeff–van Gieson stain.

A

False - stain black

Acquired perforating dermatosis. Transepidermal elimination of both collagen (red) and elastic fibers (black) into a crust with many neutrophils is seen (Verhoeff–van Gieson stain).

How well did you know this?
1
Not at all
2
3
4
5
Perfectly
12
Q

T/F regarding elastosis perforans serpiginosa

Is associated with Rothmund-Thomson syndrome

A

T

Bolognia:
About 40% of cases occur in association with other genetic
disorders, including Down syndrome, Ehlers–Danlos syndrome, osteo-
genesis imperfecta, Marfan syndrome (Fig. 96.2), pseudoxanthoma
elasticum (PXE), Rothmund–Thomson syndrome, and acrogeria

How well did you know this?
1
Not at all
2
3
4
5
Perfectly
13
Q

T/F regarding elastosis perforans serpiginosa

Is associated with short term use of penicillamine

A

False - long term use

Bologina:
EPS has also been reported following long-term use of penicillamine, usually for 10 or more years. This drug is known to disrupt desmosine cross-links
within elastin. Because penicillamine is used to treat
Wilson disease, the possibility that abnormal copper metabolism plays a pathogenic role in EPS has been raised. However, EPS has also been observed in patients with cystinuria or rheumatoid arthritis who have received penicillamine.

How well did you know this?
1
Not at all
2
3
4
5
Perfectly
14
Q

T/F regarding elastosis perforans serpiginosa

Lesions tend to
persist, often for several years.

A

T

Bologina:
the lesions may spontaneously resolve, but in general tend to persist, often for several years

How well did you know this?
1
Not at all
2
3
4
5
Perfectly
15
Q

T/F regarding elastosis perforans serpiginosa

Most common site is the lateral neck

A

T
Bolognia:
Lesions of EPS are keratotic, 2- to 5-mm papules that tend to be arranged in a serpiginous or annular pattern, most commonly on the lateral neck, but also on the face, arms, or other
flexural area

How well did you know this?
1
Not at all
2
3
4
5
Perfectly
16
Q

T/F regarding elastosis perforans serpiginosa

Males are predominantly affected

A

T
Rook: Males are predominantly affected