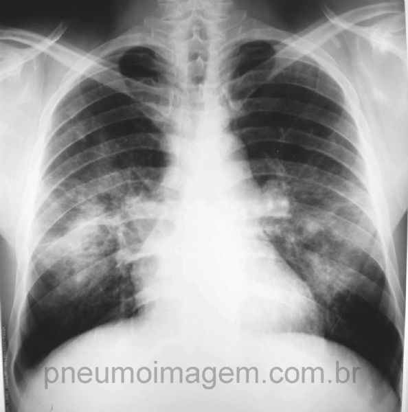
Esta imagem é sugestiva de que?
PARACOCCIOIDOMICOSE
Síndrome Mono-Like arrastada
Linfonodo que fistuliza
Pensar em….

PARACOCCIDIOIDOMICOSE
Na forma aguda (juvenvil)
Acomete crianças e adultos jovens
Sintomas respiratórios arrastados lembrando TB (com este infiltrado)
+
Acometimento cutâneo-mucoso: lesões polimórficas em lábios, cavidade oral e VAS

PARACOCCIDIOIDOMICOSE em sua forma CRÔNICA

Como é feito o diagnóstico de Paracoco?
PROCURAR O FUNGO
Paracoco - TRATAMENTO
Formas LEVES:
Formas GRAVES
Qual a característica epidemiológica importante da paracoccidioidomicose?
ATIVIDADES AGRÍCOLAS / RURAIS
“É a Tuberculose rural”
Como é a forma crônica da Histoplasmose?
Quadro pulmonar semelhante à TB
Infiltrado pulmonar / adenopatia hilar / mediastinite
Pacientes com pneumopatia prévia
Qual a história epidemiológica da Histoplasmose?
Contato com MORCEGOS (cavernas)
ou GALINHEIROS
“É a TB da caverna”
Diagnóstico de histoplasmoe
Exame direto / Cultura / Biópsia / Sorologia
Pode ser feito aspirado medular na forma disseminada

Tratamento Histoplasmose
LEVE: Itraconazol 12 meses
GRAVE: Anfotericina B
Qual complicação rara e grave da Histoplasmose?

Mediastinite fibrosante → Síndrome da Veia Cava Superior
Qual principal condição relacionada à criptococose?
HIV / AIDS
Tratamento da Criptococose em formas leves/pulmonares
Fluconazol
Tratamento Criptococose SNC ou disseminada
Anfotericina B +- Flucitosina 2 semanas
Fluconazol por 8 semanas
Tosse Crônica de origem infecciosa em adultos → 3 causas
Que achado no hemograma é sugestivo de coqueluche?
Leucocitose com linfocitose
Qual o exame para confirmar diagnóstico de coqueluche?
COQUELUCHE → Conduta?
2 alternativas terapêuticas (padrão e em caso de alergia)
Quando fazer a quimioprofilaxia dos comunicantes de paciente com coqueluche?
Contato íntimo: familiares e colegas de escola
AZITROMICINA