Opções terapêuticas para TEP
Anticoagulação PLENA por pelo menos 3-6 meses
O que define TEP maciço?
O que fazer? Até quando?
TEP MACIÇO = Instabilidade hemodinâmica / PCR
TROMBÓLISE - até o 14º dia
Início súbito de
PENSAR EM…
TROMBOEMBOLISMO PULMONAR
(manifestações de caráter SÚBITO)

O que define um TEP maciço
Obstrução > 50% do leito arterial pulmonar
O que define um TEP Moderado-Grande
Obstrução 30-50% do leito arterial
O que define TEP Pequeno/moderado
Obstrução < 30% do leito arterial
Qual o sinal mais frequente no TEP?

TAQUIPNEIA
Qual o sintoma mais frequente no TEP?

DISPNEIA
Turgência jugular + Hipotensão arterial de instalação súbitas…
PENSAR EM…


TEP MACIÇO
Qual o local de trombose de MMII que apresentam maior risco de evoluir para TEP?
TVP PROXIMAL
Qual é a alteração do ECG mais comum no TEP?

Taquicardia sinusal
Qual alteração no ECG mais específica para TEP?

Padrão S1Q3T3
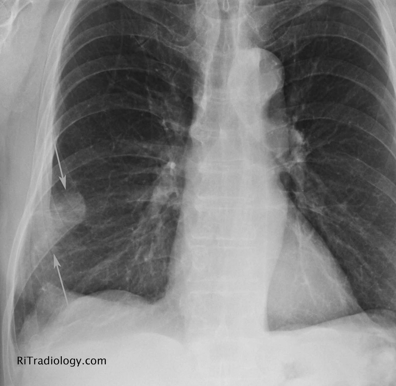
Qual o nome do sinal da primeira figura?
O que indica?

Sinal de WESTERMAK
(oligoemia - hipertransparência - localizada)
Resultado da obstrução ao fluxo sanguíneo naquela região - TEP
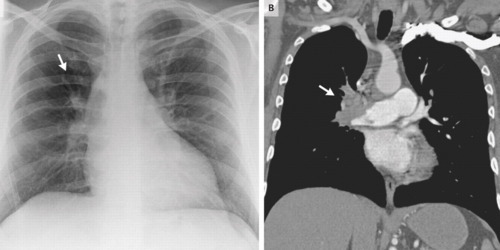
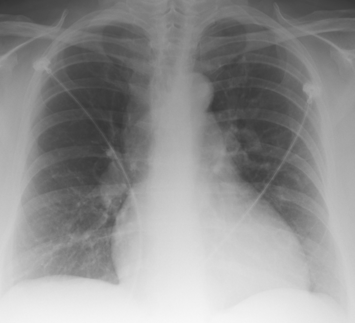
Qual o nome deste sinal?
O que significa?

Sinal de HAMPTON
Área de hipotransparência em cunha - local do infarto pulmonar - TEP
Qual o nome deste sinal?
O que significa?

Sinal de PALLA
Dilatação do ramo descendente da artéria pulmonar
Que achados em avaliação complementar determinarm PIOR PROGNÓSTICO em um quadro de TEP?
Quais são os critérios de Wells?
Que pontuação no score de Wells determina BAIXA PROBABILIDADE de TEP
Wells ≤ 4
O que fazer quando suspeitamos de TEP e o Escore de Wells mostrou baixa probabilidade?
Solicitar D-DÍMERO
O que fazer quando suspeitamos de TEP e o Escore de Wells mostrou alta probabilidade (> 4 pts)?
EXAME DE IMAGEM
INICIAR TERAPIA
Quais exames de imagem são usados para avaliação de suspeita de TEP?
(1) ANGIO-TC ou CINTILOGRAFIA
↓
(2) DOPPLER DE MMII
↓
(3) ARTERIOGRAFIA = padrão OURO
Qualquer (+) = TEP
TODOS (-) = NÃO É TEP
Qual o tratamento básico para quadros de TEP?
ANTICOAGULAÇÃO POR 3 MESES
(não dissolve o trombo / impede progressão)

Quando indicar trombólise num quadro de TEP?
Qual o ∆t?
TEP MACIÇO (hipotensão + disfunção VD)
Pode inciciar até 14 dias do evento
OBS: Não parar anticoagulação / são complementares e não excludentes