Esquema básico tratamento TB
RIPE 6 meses
RIPE 2 meses + RI 4 meses
Que condições requerem tratamento mais prolongado para TB?
MENINGOENCEFALITE ou OSTEOARTICULAR
RIPE 12 meses
RIPE 2 meses + RI 10 meses
Principais efeitos adversos da RIFAMPICINA

Principais efeitos adversos da ISONIAZIDA

Principais efeitos adversos da PIRAZINAMIDA

Quais são as drogas tuberculostáticas potencialmente HEPATOTÓXICAS?
Qual a pior?
RIFAMPICINA / ISONIAZIDA / PIRAZINAMIDA
P é a Pior!
Principal efeito colateral do ETAMBUTOL
NEURITE ÓPTICA
“EtambutOLHO”
Principais efeitos colaterais da ESTREPTOMICINA
NEFROTOXICIDADE
OTOTOXICIDADE
Intolerância a RIFAMPICINA ou ETAMBUTOL
Conduta?
RI = trocar por S (ESTREPTOMICINA)
Sem R = SIPE 12 meses
Sem I = RSPE 9 meses
Intolerância a PIRAZINAMIDA ou ETAMBUTOL
Conduta?
Apenas retira do esquema
RIE 6 meses
RIP 6 meses
Conduta no RN filho de mãe bacilífera
NÃO VACINAR → ISONIAZIDA POR 3 MESES
Fazer PPD
Como tratar infecção latente da TB?
ISONIZAZIDA 270 doses (9 a 12 meses)
RIFAMPICINA 120 doses (4 a 6 meses)
Acima de 50 anos ou hepatopatia
INDICAÇÕES DE TRATAMENTO DA INFECÇÃO LATENTE POR TB
Definição formal de SINTOMÁTICO RESPIRATÓRIO?
Tosse > 2 semanas
Após quanto tempo da primoinfecção começa a ser orquestrada uma resposta imune contra o Mycobacterium tuberculosis
3 - 8 SEAMANAS
Quais os componentes da imunidade são ativados na resposta contra o Mycobacterium tuberculosis
(que braço da imunidade, que efetores, que sinal)
Imunidade CELULAR
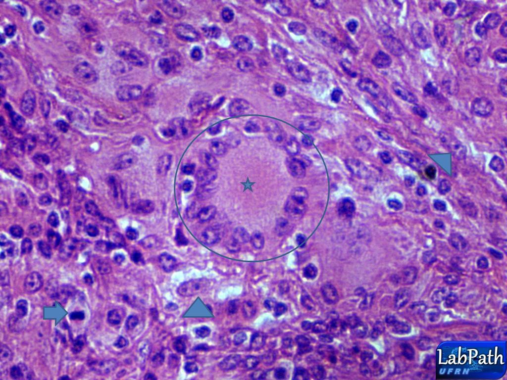
Granuloma caseoso: pensar em…
TUBERCULOSE!
Como pode ocorrer a TB pós-primária?
REINFECÇÃO
ou
REATIVAÇÃO
Toda TB primária é pulmonar - V ou F?
FALSO! TB primária é todo adoecimento após a infecção, não necessariamente pulmonar
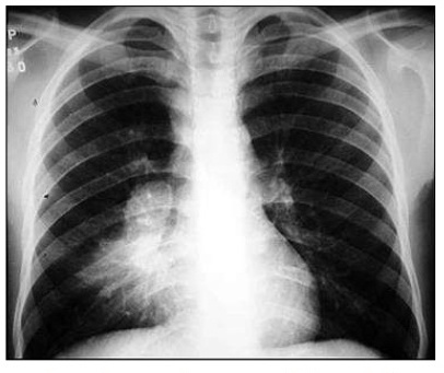
Adenomegalia hilar unilateral - pensar em…

TB PRIMÁRIA
O que é nódulo de Ghon?

Um granuloma visualizado na radiografia de tórax
Quais são as 2 formas de TB pulmonar primária?
1) Quadro típico: Crianças
2) TB miliar

Quem são os pacientes que fazem TB miliar?
Que forma de TB é esta?
TB pulmonar primária
TB em forma cavitária representa que momento da infecção?
TB PÓS-PRIMÁRIA
Paciente é BACILÍFERO