Ortho Flashcards

(38 cards)

1
Q

How much Leeway space in each arch?

A

Maxilla: 3mm (1.5 per quadrant)

Mandible: 5mm (2.5 per quadrant)

How well did you know this?
1
Not at all
2
3
4
5
Perfectly
2
Q

Blunted roots are associated with which type of resorption?

A

External root resorption

How well did you know this?
1
Not at all
2
3
4
5
Perfectly
3
Q

Which bones undergo intramembranous ossification?

A

Flat bones - parietal, maxilla, zygoma, palatine, lacrimal, nasal, frontal

How well did you know this?
1
Not at all
2
3
4
5
Perfectly
4
Q

Which bones undergo endochondral ossification?

A

ethmoid, styloid process, stapes, hyoid, incus, malleus, inferior nasal concha

How well did you know this?
1
Not at all
2
3
4
5
Perfectly
5
Q

serial extractions to manage severe crowding (including both primary and permanent teeth)?

A

1st - primary canines

2nd - primary first molars

3rd - first premolars

How well did you know this?
1
Not at all
2
3
4
5
Perfectly
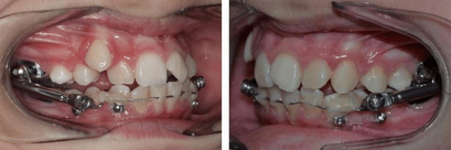
6
Q

device name

A

hyrax

How well did you know this?
1
Not at all
2
3
4
5
Perfectly
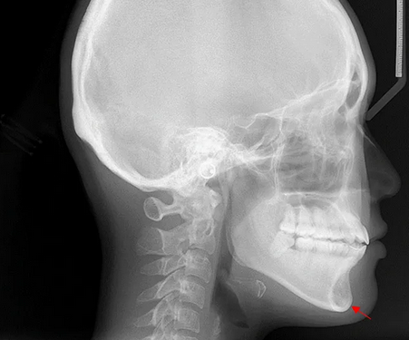
7
Q

name of the anatomical landmark

A

gnathion

How well did you know this?
1
Not at all
2
3
4
5
Perfectly
8
Q

4 most commonly impacted teeth in order

A
  1. Third molars
  2. Maxillary canines
  3. Mandibular premolars
  4. Mandibular canines
How well did you know this?
1
Not at all
2
3
4
5
Perfectly
9
Q
A

Herbst appliance

How well did you know this?
1
Not at all
2
3
4
5
Perfectly
10
Q

When does the mid-palatal suture typically close in males and females?

A

Females: 11-13

Males: 14-16

How well did you know this?
1
Not at all
2
3
4
5
Perfectly
11
Q

What direction does the growth of the maxilla occur?

A

downward and forward

How well did you know this?
1
Not at all
2
3
4
5
Perfectly
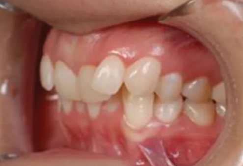
12
Q

Class type

A

Class 2 div 2

How well did you know this?
1
Not at all
2
3
4
5
Perfectly
13
Q

In a periodontally healthy tooth, where is the center of resistance?

A

Middle third of the root

How well did you know this?
1
Not at all
2
3
4
5
Perfectly
14
Q

Maxillary vertical excess leads to____

A

gummy smile

How well did you know this?
1
Not at all
2
3
4
5
Perfectly
15
Q

Maxillary vertical deficiency leads to ___

A

a reduced incisor display

How well did you know this?
1
Not at all
2
3
4
5
Perfectly
16
Q

_____ is required to determine the mandibular plane angle

A

cephalometric imaging

17
Q

Malocclusion is best visualized from a/an _________

A

intraoral lateral view

18
Q

Normal SNA angle

A

82 +/- 2 degrees (80-84)

19
Q

Normal SNB angle

A

80 +/- 2 degrees (78-82)

20
Q

Normal ANB angle

A

2 +/- 2 degrees (0-4)

21
Q

Which 2 landmarks make up the Frankfort plane?

A

Porion and Orbitale

22
Q

Which 2 landmarks make up the Mandibular plane?

A

Gonion and gnathion

23
Q

The mandibular plane angle (FMA) is formed by the intersection of the _____ and _____

A

Frankfort and mandibular planes

24
Q

Bone resorbs on the ____ side and forms on the ___ side, allowing the tooth to gradually shift

A

pressure

tension

25
For maxillary central incisors, the center of resistance is __% of the root length from the apex.
77%
26
_____ is described as a crown and root being forced in opposite directions for movement
Uncontrolled tipping
27
____ is described as a tooth being partially tipped and partially translated. The axis of rotation is located near the root apex
Controlled tipping
28
Orthodontic tooth extrusion speed should be no more than ___ per month
1mm
29
How can you reduce tipping while using braces to close a diastema?
Decrease the force applied to the tooth
30
When should children outgrow thumb sucking by?
3 years old
31
Name and which class of malocclusion does it treat?
Cervical pull Class 2
32
Name and which class of malocclusion does it treat?
reverse pull class 3
33
Cleft lip occurs when ____ fail to fuse with the maxillary processes. This occurs between weeks ___ thru ___ of embryonic development
Mesial nasal processes weeks 4-6
34
Cleft palate occurs from the failure of the _____ to properly fuse in the midline This occurs between weeks ___ thru ___ of embryonic development.
palatal shelves weeks 7-10
35
Syndromes associated with cleft palate
Treacher Collins, Pierre Robin, and DiGeorge syndrome
36
Non-syndromic causes of clefts
combination of hereditary and environmental factors, including fetal alcohol syndrome, maternal cigarette smoking, and folic acid deficiency
37
cleft lip is typically repaired between __ and ___ months of age
3-6 months
38
cleft palate is typically repaired between __ and __ months of age
6-12 months