Perio Flashcards

(107 cards)

1
Q

Which microorganism is implicated in causing localized aggressive periodontitis?

A

Aggregatibacter actinomycetemcomitans

How well did you know this?
1
Not at all
2
3
4
5
Perfectly
2
Q

Which is the best donor site for a connective tissue graft?

A

the hard palate

How well did you know this?
1
Not at all
2
3
4
5
Perfectly
3
Q

Which surface is the Gracey 13/14 used for?

A

Distal surfaces of posterior teeth

How well did you know this?
1
Not at all
2
3
4
5
Perfectly
4
Q

Which interleukin is important in the pathogenesis of periodontitis?

A

Interleukin-1 (IL-1)

How well did you know this?
1
Not at all
2
3
4
5
Perfectly
5
Q

Clinical attachment loss

A

CAL is equal to gingival recession plus probing depth

How well did you know this?
1
Not at all
2
3
4
5
Perfectly
6
Q

What is the most common cause of late dental implant failure?

A

Peri-implantitis

How well did you know this?
1
Not at all
2
3
4
5
Perfectly
7
Q

___ is the initial therapy of choice to arrest and/or control active periodontal disease.

A

Scaling and root planing (SRP)

How well did you know this?
1
Not at all
2
3
4
5
Perfectly
8
Q

Bacteria type associated with peri-implantitis

A

gram-negative anaerobes

How well did you know this?
1
Not at all
2
3
4
5
Perfectly
9
Q

What is the purpose of Emdogain?

A

to promote the regeneration of periodontal tissues

How well did you know this?
1
Not at all
2
3
4
5
Perfectly
10
Q

Implant surface roughness is crucial for ____

A

osseointegration

How well did you know this?
1
Not at all
2
3
4
5
Perfectly
11
Q

The smooth surface of an implant is important for __________

A

Epithelial attachment

How well did you know this?
1
Not at all
2
3
4
5
Perfectly
12
Q

Biological width is defined as the soft tissue attached to the tooth coronal to the crest of the alveolar bone, encompassing the ____ and ____

A

junctional epithelium and connective tissue

How well did you know this?
1
Not at all
2
3
4
5
Perfectly
13
Q

What color will subgingival calculus most likely present as?

A

brown or black

How well did you know this?
1
Not at all
2
3
4
5
Perfectly
14
Q

What color will supragingival calculus most likely present as?

A

white or yellow

How well did you know this?
1
Not at all
2
3
4
5
Perfectly
15
Q

What is the minimum distance between an implant and the radiographic position of the mental foramen on a panoramic radiograph?

A

5mm

How well did you know this?
1
Not at all
2
3
4
5
Perfectly
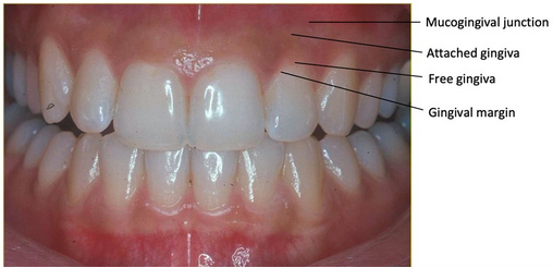
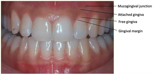
16
Q

What is measured from the gingival margin to the mucogingival junction?

A

Keratinized gingiva

How well did you know this?
1
Not at all
2
3
4
5
Perfectly
17
Q

Name these

A
How well did you know this?
1
Not at all
2
3
4
5
Perfectly
18
Q

Red complex bacterium

A

Porphyromonas gingivalis
Tannerella forsythia
Treponema denticola

How well did you know this?
1
Not at all
2
3
4
5
Perfectly
19
Q

Retraction cord moves the gingiva ____

A

laterally and apically

How well did you know this?
1
Not at all
2
3
4
5
Perfectly
20
Q

Indications for gingivectomy

A

Suprabony pockets

Fibrous enlargements

Subgingival caries

How well did you know this?
1
Not at all
2
3
4
5
Perfectly
21
Q

Common causes of recession

A

misaligned teeth

high frenum attachment

toothbrush trauma resulting from improper brushing techniques

How well did you know this?
1
Not at all
2
3
4
5
Perfectly
22
Q

What is the most likely type of wound healing after a gingivectomy?

A

Secondary intention

It occurs when the wound site cannot be approximated and is left open to heal on its own through processes such as granulation, contraction, and epithelialization.

How well did you know this?
1
Not at all
2
3
4
5
Perfectly
23
Q

Nonsurgical phase of treatment for peri-implantitis

A

Debridement by mechanical means combined with antibiotic agents

How well did you know this?
1
Not at all
2
3
4
5
Perfectly
24
Q

Typical signs of peri-implantitis lesions include _____

A

crater-shaped bone defects

vertical bone loss

bleeding on probing

suppuration

and possible peri-implant tissue swelling and hyperplasia

How well did you know this?
1
Not at all
2
3
4
5
Perfectly
25
What is the normal distance from the alveolar crest to the CEJ?
1-2 mm coronally
26
Name the structures
27
What is the line where keratinized and non-keratinized gum tissues meet?
Mucogingival junction
28
Three C's of gingival descriptions
Color Contour Consistency
29
Which collagen type(s) make up PDLs?
Types 1 and 3 collagen
30
Specialized epithelial attachment to the tooth at the base of the sulcus How thick/tall is it?
Junctional epithelium ~0.97mm
31
connective tissue fibers located beneath the junctional epithelium that attaches to the tooth's cementum. How thick/tall is it?
Connective tissue attachment ~1.07mm
32
Biologic width What is its height?
The combined height of the junctional epithelium (~0.97mm) and the connective tissue attachment (~1.07mm) 0.97 + 1.07 = ~2.0mm *it’s essentially just the 2 layers of tissue above the alveolar crest that attaches to the tooth*
33
Clinical attachment loss formula
Probing depth + recession It's the distance from the CEJ to the base of the sulcus
34
Pocket depth for normal perio health
1-3mm
35
3 things seen in periodontitis
Inflammation CAL Bone loss
36
What does periodontitis involve that gingivitis doesn't?
CAL and bone loss
37
BOP greater than ___% of sites is indicative of gingivitis
10%
38
Probing depths greater than __ mm is indicative of periodontitis
3mm
39
Interdental CAL of greater than __mm is indicative of periodontitis
1mm
40
Do older or younger patients have a worse prognosis when diagnosed with periodontitis?
Younger patients (because it indicates that the disease progressed sooner/more rapidly)
41
Which tooth is least likely to be lost due to perio disease?
Mandibular canine Due to its long root
42
Which tooth is most likely to be lost due to perio disease?
Maxillary 2nd molar
43
Diabetes can inhibit ___ activity
Osteoblast
44
___ is a polymer chain which causes the "stickiness" of the bacterial biofilm
Dextran
45
Which microorganisms are typically found in a healthy periodontium?
Non-motile, facultative gram-positive bacteria
46
Which microorganisms are typically found in gingivitis? Give an example
Anaerobic, gram-negative bacteria F. nucleatum (These bacteria thrive in oxygen poor environments)
47
Which microorganisms are typically found in necrotizing ulcerative gingivitis? Give examples
Anaerobic, gram-negative bacteria P. gingivalis, P. intermedia, T. forsythia (These bacteria thrive in oxygen poor environments)
48
Which microorganisms are typically found in periodontitis?
Anaerobic, gram-negative bacteria (These bacteria thrive in oxygen poor environments)
49
Explain periodontitis theory
It suggests that the driver of periodontitis isn't just bacteria, but a dysregulated, overactive immune-inflammatory response to them
50
High yield orange group bacterial species
Fusobacterium nucleatum *nuclear blasts are orange*
51
Which color of bacterial grouping is associated with advanced perio disease? Which bacteria fall into this category?
Red T. denticola, T. forsythia, P. gingivalis
52
Which microorganisms are typically found in peri-implantitis?
Anaerobic, gram-negative bacteria (These bacteria thrive in oxygen poor environments)
53
Difference between the microorganisms in periodontitis and peri-implantitis
peri-implantitis exhibits a more diverse and variable microbial profile with higher levels of staph. aureus and pseudomonas species
54
High yield preventative agent for gingivitis
Stannous fluoride (SnF2) It is effective in caries prevention and has anti-plaque and anti-gingivitis properties
55
What is sodium fluoride (NaF) and sodium monofluorophosphate (MFP) primarily used for?
caries prevention
56
___ and ___ cells are commonly associated with early gingivitis and chronic periodontitis
PMNs and plasma cells ***High yield***
57
Typical probing depths in gingivitis
3mm or less (4 or greater indicates periodontitis)
58
BOP greater than 30% indicates ____
Generalized gingivitis
59
BOP between 10% and 30% indicates ____
Localized gingivitis
60
Miller's Classification of Gingival Recession
61
____ describes (perio) disease severity and management complexity
Staging
62
____ describes the anticipated rate of perio disease progression through patient history and local/systemic factors
Grading
63
Stage 1 perio disease
"Mild" perio CAL: 1-2mm Bone loss: Coronal 1/3 (<15%) and mostly horizontal PDs: 4mm or less Tooth Loss: 0 (due to perio)
64
Stage 2 perio disease
"Moderate" perio CAL: 3-4mm Bone Loss: Coronal 1/3 (15-33%) and mostly horizontal PDs: 5mm or less Tooth Loss: 0 (due to perio)
65
Stage 3 perio disease
"Severe" perio CAL: 5mm or more Bone Loss: middle 1/3 of the root and beyond, vertical bone loss of 3mm or more, and class 2 or 3 furcation involvement PDs: 6mm or more Tooth Loss: 4 or less (due to perio)
66
Stage 4 perio disease
"Advanced" perio with extensive destruction CAL: 5mm or more Bone Loss: middle 1/3 of the root and beyond, vertical bone loss of 3mm or more, and class 2 or 3 furcation involvement PDs: 6mm or more Tooth Loss: 5 or more (due to perio) and less than 20 remaining teeth ***Other high yield***: Need for complex rehab, bite collapse, flaring of teeth, occlusal trauma
67
Instrument used for measuring furcation involvement
Nabers probe
68
What type of defect is this?
Circumferential
69
Crater-form
70
Grading assesses the progression of bone loss over a ___ year period
5 year
71
Grade A
indicates a slow rate of progression with no evidence of radiographic bone loss over 5 years
72
Grade B
reflects a moderate rate of progression, with less than 2mm of bone loss over 5 years Smokes less than 10 cigarettes per day HbA1c less than 7%
73
Grade C
Signifies a rapid rate of progression, with bone loss of 2mm or more over a 5 year period Smokes more than 10 cigarettes per day HbA1c 7% or higher
74
Smoking less than 10 cigarettes per day and an HbA1c of less than 7% is indicative of which perio grade?
Stage B
75
Smoking more than 10 cigarettes per day and an HbA1c of 7% or more is indicative of which perio grade?
Stage C
76
Localized perio disease
Less than 30% of teeth involved
77
Generalized perio disease
30% or more teeth involved
78
Molar-incisor pattern
periodontitis primarily confined to molars and incisors, which is associated with aggressive or early-onset periodontitis
79
Peri-implantitis treatment for less severe cases
SRP Chlorhexidine rinses Systemic antibiotics (This is the non-surgical approach)
80
What is considered the "definitive" treatment for peri-implantitis?
Surgical therapy: open-flap debridement This involves the removal of granulation tissue from the affected site
81
What are the 5 phases of perio therapy?
1. Preliminary 2. Non-surgical 3. Surgical 4. Restorative 5. Maintenance
82
Preliminary phase of perio treatment involves ____
Extracting hopeless teeth
83
Non-surgical phase of perio treatment involves ____
SRP, antibiotics, CHX rinses, oral hygiene instruction, and prophy's to remove plaque, calculus, and staining from teeth. The goal of this phase is plaque control and controlling local factors that contribute to the disease
84
Surgical phase of perio treatment involves ____
Bone grafting, gingival surgery, osseous surgery. This is done to reduce pocket depths, regenerate the PDL, and fix hard/soft tissue defects when the non-surgical phase was unsuccessful
85
Restorative phase of perio treatment involves ____
This includes final restorations or prostheses. This phase should occur once the perio disease is under control
86
Maintenance phase of perio treatment involves ____
This phase involves periodic evaluation and reinforced OHI. This phase should be done concurrently with the surgical and non-surgical phases during the 1st year of treatment
87
Which mouthwash ingredients are known to cause tooth staining?
Cetylpyridinium Chloride (CPC) Stannous Fluoride
88
____ involves removing supragingival and subgingival plaque and calculus
Scaling
89
____ involves removing calculus and rough cementum
Root planing
90
2 most commonly used antibiotics for aggressive periodontitis
Amoxicillin and Metronidazole
91
Which antibiotic is commonly used for localized probing depths greater than 5mm?
Minocycline (AKA Arestin) This is considered a local delivery antibiotic
92
What is Acute Necrotizing Ulcerative Gingivitis (ANUG)?
It's a severe and rapidly progressing perio disease characterized by the ***loss of the interdental papilla*** (the gum tissue between the teeth) Painful onset and presents with painful gingival inflammation, bleeding, increased tooth mobility, and foul odor.
93
ANUG treatment
debridement of the affected area Chlorhexidine mouthwash Metronidazole
94
Following extraction of a tooth, approximately ____% horizontal bone loss and ___% vertical bone loss occurs within the first ___ months
Horizontal: 30-50% Vertical: 10-20% 6 months
95
Which tissue layers are involved in a free gingival graft?
epithelium and connective tissue
96
A connective tissue graft is specifically used for ____ procedures, especially in the esthetic zone
root coverage
97
____ grafts are the gold standard mucogingival surgery used to treat localized recession and thinning gums
Connective Tissue Grafts
98
Downside of using a conventional flap
The incision splits the papilla and can result in the loss of the papilla leading to formation of black triangles
99
Benefits of using a papilla preservation flap
The incision occurs at the angles of the tooth which preserves the papilla
100
Osteoconductive property of bone grafts
The graft acts like a framework or scaffold that supports the growth of new bone cells. All bone graft materials have this property
101
Osteoinductive property of bone grafts
The bone graft encourages the body to produce new bone by stimulating immature cells (osteoprogenitor cells) to develop into osteoblasts to make new bone *it “induces” osteoblast activity*
102
Osteogenic property of bone grafts
These grafts contain osteoblasts within the material itself.
103
Describe autografts and which of the 3 graft properties do they exhibit?
These come from the patient's own body (commonly from the hip) Autographs have all 3 properties: Osteogenic, Osteoinductive, and Osteoconductive
104
Describe allografts and which of the 3 graft properties do they exhibit?
Allografts are taken from another person. These are Osteoinductive and Osteoconductive (They are not osteogenic since the cells are no longer alive)
105
Describe xenografts and which of the 3 graft properties do they exhibit?
These come from animals (usually cows) These are Osteoconductive
106
Describe alloplasts and which of the 3 graft properties do they exhibit?
These are synthetic or organic materials designed to be biocompatible with the patient's bone These are Osteoconductive
107
Which type of bone graft is considered the gold standard?
Autografts - because they exhibit all 3 graft properties