What is acute pancreatitis and what would you see in a CT scan for acute pancreatitis
Rapid onset inflammation of the pancreas
CT scan- pancreas becomes muddy *as seen on diagram *. Normally pancreas is smooth

What is the definition of chronic pancreatitis and what are the signs you’d see on a CT scan for chronic pancreatitis
Long stands inflammation of the pancreas
CT scan- would see calcium (white spots) deposit on head of pancreas

Mention all the aetiology of the acute pancreatitis.
Which 3 are most common and which is least common
Acronym: GETSMASHED
3 most common are: gallstones, ethanol and trauma
Least common: Trinidad scorpion bite

Describe the pathogenesis of acute pancreatitis WHEN GALLSTONES is the aetiology
Gallstones causes reflux of bile from CBD into Main pancreatic duct.
This increases pressure in MPD. Hence increased permeability of pancreatic duct epithelium
Acinar cells enzymes (already in MPD) diffuse into periductal interstitial tissues
Pancreatic enzymes activated extracellularly and cause damage- trypsin activated

Describe the pathogenesis of acute pancreatitis when alcohol is the aetiological agent
Alcohol precipitates proteins in duct which can lead to increase in upstream pressure.
Hence acinar cells diffuse into periductal interstitial tissue and cause damage

How can pancreatic enzymes be activated intracellularly - another form of pathogenesis
Proenzymes and lysosomal proteases incorporated into the same vesicle
This activates trypsin
What are the potential downstream effects of extracellular or intracellular trypsin activation
DRAW DIAGRAM

What are the 3 common named type of acute pancreatitis? What can cause them? Why isn’t it ideal to call them these names?
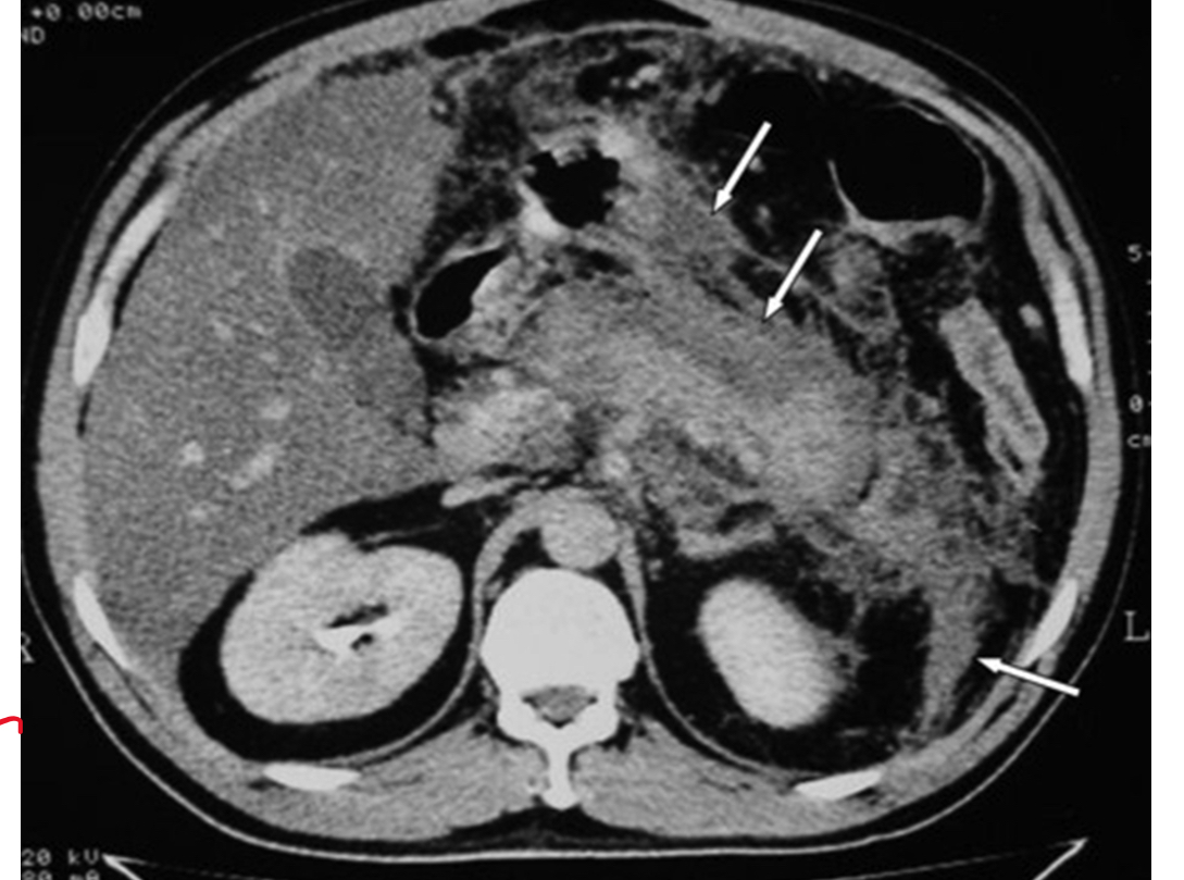
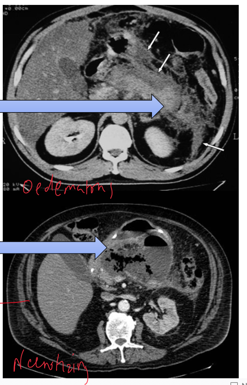
Oedematous pancreatitis
Hameorrhagic pancreatitis - caused by arroding of blood vessels
Necrotic pancreatitis - caused by infection which can lead to infective necrosis. Bacteria produce gas in pancreas.
not ideal: very hard to distinguish on scans which is which

What are the symptoms of Avute pancreatitis
What are the signs of acute pancreatitis
What 2 signs of acute pancreatitis are definitely seen in haemorrghic pancreatitis
Grey turner sign
Cullen’s sign
What are the potential differential diagnoses for the causes of acute pancreatitis
Gallstone disease and associated complications like biliary colic and acute cholecyctitis
Peptic ulcer disease/perforation
leaking/ruptured abdominal aortic aneurysm
What are the investigations you’d perform to hone down differential diagnoses. What will you look for for each investigation?
What is the criterial for measuring severity of acute pancreatitis ? List it out and what result suggest severe pancreatitis
Modified Glasgow criteria
a score of 3 or above within 48hrs of onset suggest severe pancreatis

What molecule in the blood can be used as an independent predictor of severity of acute pancreatitis
CRP
above 200 CRP suggest severe pancreatitis
What are the systemic complications of Acute pancreatitis
What are the local complications of acute pancreatitis
A local complication of acute pancreatitis is haemorrhage
describe the outcome for haemorrhaging of small and large vessels
Small vessels- causes haemorrhaging pancreatitis, hence Cullen’s or grey-Turner’s signs seen
Large vessels- (like splenic artery) can be life threaintie unless it forms a pseudoaneurysm
Thrombosis is one of the local complications of acute pancreatitis. Describe what the outcome could be?
Formation of ascites
small bowel venous congestion/ischaemia
Outline the process of saponification
Lipases converts lipids to FFAs
FFAs chelate Calcium salts
this decreases Ca2+ serum levels
What complication of acute pancreatic gives the only indication for surgical intervention? Also what does surgical intervention entail
Infected pancreatic necrosis- high mortality rate if dead infected tissue isn’t debrided
Surgery involves necrosectomy
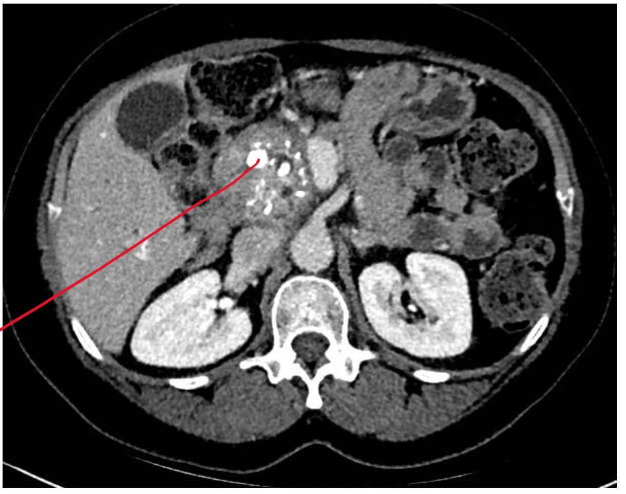
What is a complication of infected pancreatic necrosis . Describe what it is and when it presents
Formation of pancreatic abscess

How do you manage pancreatic abscess?
Antibiotics and drainage
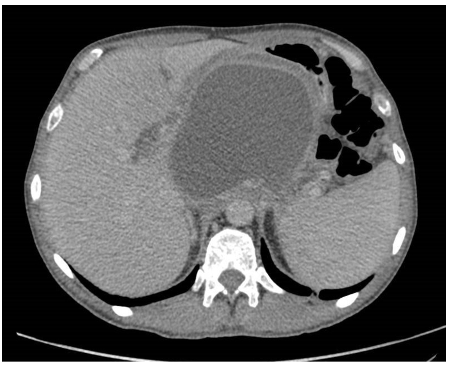
drainage could entail
*diagram shows percutanoues CT drainage*

What is pancreatic pseudocyts and when does it present
Peri-pancreatic fluid collection
increased pancreatic enzymes within a fibrous capsule. NO EPTIHELIAL LINING
it presents more than 6 weeks after pancreatitis
