PM1 Flashcards

(30 cards)

1
Q

Como classificamos o traumatismo cranioencefálico (TCE)?

A
  • TCE leve - Glasgow 13, 14 e 15;
  • TCE moderado - Glasgow 9, 10, 11 e 12;
  • TCE grave - Glasgow menor ou igual a 8.
How well did you know this?
1
Not at all
2
3
4
5
Perfectly
2
Q

TCE moderado e grave sempre devem fazer TC de crânio. E quanto ao TCE leve em adultos?

A
How well did you know this?
1
Not at all
2
3
4
5
Perfectly
3
Q

O que são lesões primárias e secundárias em TCE?

A

Primárias: decorrem diretamente do trauma (sangramento e fraturas, principalmente). Secundárias: são consequência das lesões primárias, contudo de maneira tardia, sobre as quais podemos intervir.

How well did you know this?
1
Not at all
2
3
4
5
Perfectly
4
Q

Qual é o mecanismo de hematoma epidural?

A

Ocorre frequentemente devido à fratura que lesiona a artéria meníngea média (localizada entre o crânio e a dura-máter).

How well did you know this?
1
Not at all
2
3
4
5
Perfectly
5
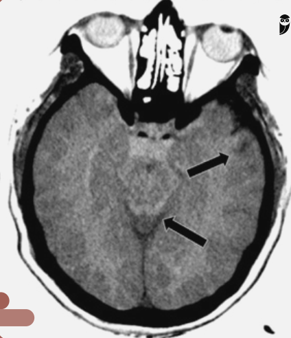
Q

Qual é o tipo de sangramento intracraniano que as imagens a seguir mostram?

A

Hematoma epidural (extradural).

How well did you know this?
1
Not at all
2
3
4
5
Perfectly
6
Q

O intervalo lúcido ocorre em que tipo de sangramento intracraniano?

A

Hematoma epidural (extradural).

How well did you know this?
1
Not at all
2
3
4
5
Perfectly
7
Q

Qual é o mecanismo de um hematoma subdural?

A

Ruptura da veia ponte (localizado entre a dura-máter e o córtex cerebral), apresentando formato de crescente na imagem.

How well did you know this?
1
Not at all
2
3
4
5
Perfectly
8
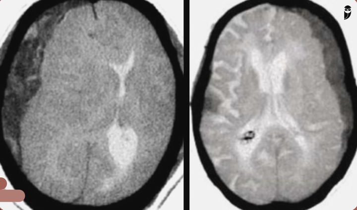
Q

Que tipo de sangramento as imagens a seguir mostram?

A

Hematoma subdural.

How well did you know this?
1
Not at all
2
3
4
5
Perfectly
9
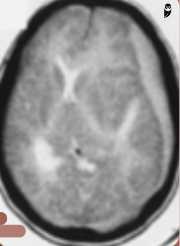
Q

Qual é o tipo de sangramento que a imagem a seguir mostra?

A

Hematoma subdural crônico.

How well did you know this?
1
Not at all
2
3
4
5
Perfectly
10
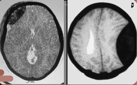
Q

Qual é o tipo de sangramento que a imagem a seguir mostra?

A

Hemorragia subaracnóidea.

How well did you know this?
1
Not at all
2
3
4
5
Perfectly
11
Q

Quais são os dois principais sinais sugestivos de fratura de base de crânio?

A
  • Sinal de Battle (equimose retroauricular, na região da mastoide)
  • sinal do guaxinim (equimose periorbital).
How well did you know this?
1
Not at all
2
3
4
5
Perfectly
12
Q

Em um paciente com TCE grave e TC de crânio pouco alterada, qual é o provável mecanismo fisiopatogênico?

A

Lesão Axonal Difusa (microssangramentos por ruptura dos axônios).

How well did you know this?
1
Not at all
2
3
4
5
Perfectly
13
Q

Quando indicar TC de crânio no TCE pediátrico?

A

Seguir a regra PECARN: Para menos de 2 anos, TC recomendada se ECG <15, alteração do nível de consciência ou sinais de fratura do crânio palpável. Para 2 anos ou mais, TC recomendada se ECG <15, alteração do nível de consciência ou sinais de fratura de base do crânio. Há critérios para observação antes da dispensa/TC.

How well did you know this?
1
Not at all
2
3
4
5
Perfectly
14
Q

Quais são as medidas de neuroproteção indicadas para os pacientes com TCE grave?

A
  • Sedação + analgesia,
  • Controle da temperatura (<38∘C),
  • Ventilação mecânica objetivando normocapnia (35 a 45 mmHg),
  • Controle pressórico (PAS >110 mmHg),
  • Manter euvolemia e Hb>7g/dL,
  • Profilaxia de crise epiléptica (fenitoína EV),
  • Evitar disglicemia (140 a 180mg/dl),
  • Compressão pneumática para TVP,
  • Cabeceira elevada a 30 graus em posição neutra.
How well did you know this?
1
Not at all
2
3
4
5
Perfectly
15
Q

Quais são os principais tratamentos para reduzir, agudamente, a hipertensão intracraniana?

A
How well did you know this?
1
Not at all
2
3
4
5
Perfectly
16
Q

Quais são os sinais clínicos que constituem a tríade de Cushing?

A
  • Bradicardia +
  • Hipertensão arterial +
  • Irregularidade do ritmo respiratório (bradipneia).
17
Q

Qual é a tríade da herniação cerebral uncal (compressão do mesencéfalo)?

A
  • Rebaixamento do nível de consciência +
  • Midríase ipsilateral à compressão +
  • Hemiparesia contralateral.
18
Q

Quais são os sinais clínicos que marcam a necessidade imediata de redução da pressão intracraniana?

A
  • Tríade de Cushing +
  • Herniação cerebral iminente +
  • Postura motora anormal (flexão ou extensão).
19
Q

Principal contraindicação ao uso do manitol.

A

Hipotensão arterial.

20
Q

Três medidas “heroicas” no tratamento da hipertensão intracraniana refratária.

A
  • Coma barbitúrico +
  • Hipotermia induzida +
  • Craniectomia descompressiva.
21
Q

Principal indicação de monitorização invasiva da pressão intracraniana?

A

TCE grave com alteração na TC de crânio.

22
Q

Homem, 20 anos, vítima de TCE grave. Midríase unilateral com hemiparesia contralateral. Já intubado e com cabeceira elevada. Qual é o próximo passo?

A

Solução hipertônica, antes mesmo da TC de crânio (quadro sugestivo de herniação).

23
Q

Em um paciente no CTI, já com cateter de PIC, qual é a medida inicial mais efetiva para reduzir a pressão intracraniana?

A

Abrir o sistema de drenagem (drenagem de líquor).

24
Q

O padrão biconvexo de um sangramento extra-axial sugere que tipo de hematoma?

A

Epidural (extradural).

25
O padrão côncavo-convexo de um sangramento extra-axial sugere que tipo de hematoma?
Subdural.
26
Disfunção cerebral aguda no TCE leve.
Concussão.
27
O que sugere o sinal do duplo halo?
Fratura de base de crânio.
28
Qual é o risco da hiperventilação feita de forma agressiva e por muito tempo?
Isquemia cerebral por vasoconstrição excessiva.
29
Quando utilizar o corticoide no manejo do TCE?
Nunca.
30
Lesão intracraniana primária causada por impacto direto do parênquima cerebral.
Contusão cerebral.