POCUS Flashcards

(62 cards)

1
Q

Pocus pulmonar: Diagnósticos? (7)

A
  • Pneumotórax
  • Posição de tubo
  • Derrame pleural
  • Guia para toracocentese
  • Fratura de costela
  • Síndrome intersticial
  • Monitoramento pulmonar
How well did you know this?
1
Not at all
2
3
4
5
Perfectly
2
Q

POCUS:

Achado pulmonar normal?

A

LINHAS A

Quanto mais ar no pulmão, mais linhas A

How well did you know this?
1
Not at all
2
3
4
5
Perfectly
3
Q

Achado pulmonar em líquido?

A

Mais derrame pleural (Linhas B)
Menos linhas A

How well did you know this?
1
Not at all
2
3
4
5
Perfectly
4
Q

POCUS:

PULMONAR: Relação de ar/líquido

A
How well did you know this?
1
Not at all
2
3
4
5
Perfectly
5
Q

POCUS:

Perguntas chaves? (4)

A
How well did you know this?
1
Not at all
2
3
4
5
Perfectly
6
Q

Alterações pulmonares, quais são os achados?

A
How well did you know this?
1
Not at all
2
3
4
5
Perfectly
7
Q

Aeração pulmonar: Progressão?

A
How well did you know this?
1
Not at all
2
3
4
5
Perfectly
8
Q

POCUS PULMONAR: Principais sinais? (9)

A
How well did you know this?
1
Not at all
2
3
4
5
Perfectly
9
Q

POCUS PULMONAR: ÁREAS ANATÔMICAS? (12)

A
How well did you know this?
1
Not at all
2
3
4
5
Perfectly
10
Q

POCUS PULMONAR: Sensibilidade e especificidade?

A

US TÓRAX:
Sensibilidade 86%
Especificidade 97%

How well did you know this?
1
Not at all
2
3
4
5
Perfectly
11
Q

POCUS PULMONAR: Orientação do transdutor?

A

Transdutor convexo aponta caudal

How well did you know this?
1
Not at all
2
3
4
5
Perfectly
12
Q

POCUS PULMONAR: Deslizamento pleural?

A

Exclui pneumotórax
Sensibilidade 97%
Especificidade 86%

How well did you know this?
1
Not at all
2
3
4
5
Perfectly
13
Q

POCUS PULMONAR: Linhas B?

A

Hiperecoicas
Partem da linha pleural
Mov. Sincronico com deslizamento pleural
Apagam as linhas A
Não evanecem

How well did you know this?
1
Not at all
2
3
4
5
Perfectly
14
Q

POCUS PULMONAR: Linhas E?

A

Provém de Enfisema subcutâneo
Não partem da linha pleural
Não variam com a respiração

How well did you know this?
1
Not at all
2
3
4
5
Perfectly
15
Q

POCUS PULMONAR: Linhas Z?

A

São parecidas com linhas B confluentes
Presentes em exame normal
Não apagam as linhas A
Variam irregularmente com respiração

How well did you know this?
1
Not at all
2
3
4
5
Perfectly
16
Q

POCUS PULMONAR: Ponto pulmonar?

A

Lung point
Especificidade 100% > pneumotórax

How well did you know this?
1
Not at all
2
3
4
5
Perfectly
17
Q

POCUS PULMONAR: ORGANOGRAMA?

A
How well did you know this?
1
Not at all
2
3
4
5
Perfectly
18
Q

POCUS PULMONAR: Qual o nome deste achado?

A

Pulso pulmonar

How well did you know this?
1
Not at all
2
3
4
5
Perfectly
19
Q

POCUS PULMONAR: Qual o nome deste achado?

A

Ponto pulmonar

100% pneumotórax

How well did you know this?
1
Not at all
2
3
4
5
Perfectly
20
Q

POCUS PULMONAR: Qual o nome deste achado?

A

LINHAS E

How well did you know this?
1
Not at all
2
3
4
5
Perfectly
21
Q

POCUS PULMONAR: Qual o nome deste achado?

A

LINHAS Z

How well did you know this?
1
Not at all
2
3
4
5
Perfectly
22
Q

POCUS PULMONAR: Qual o nome deste achado?

A

Sinal da areia da praia

How well did you know this?
1
Not at all
2
3
4
5
Perfectly
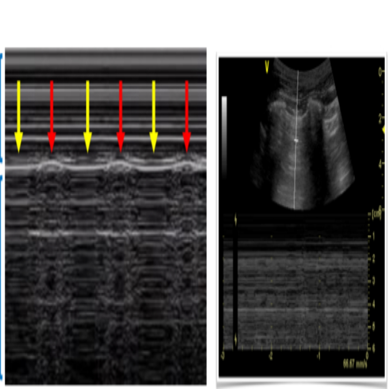
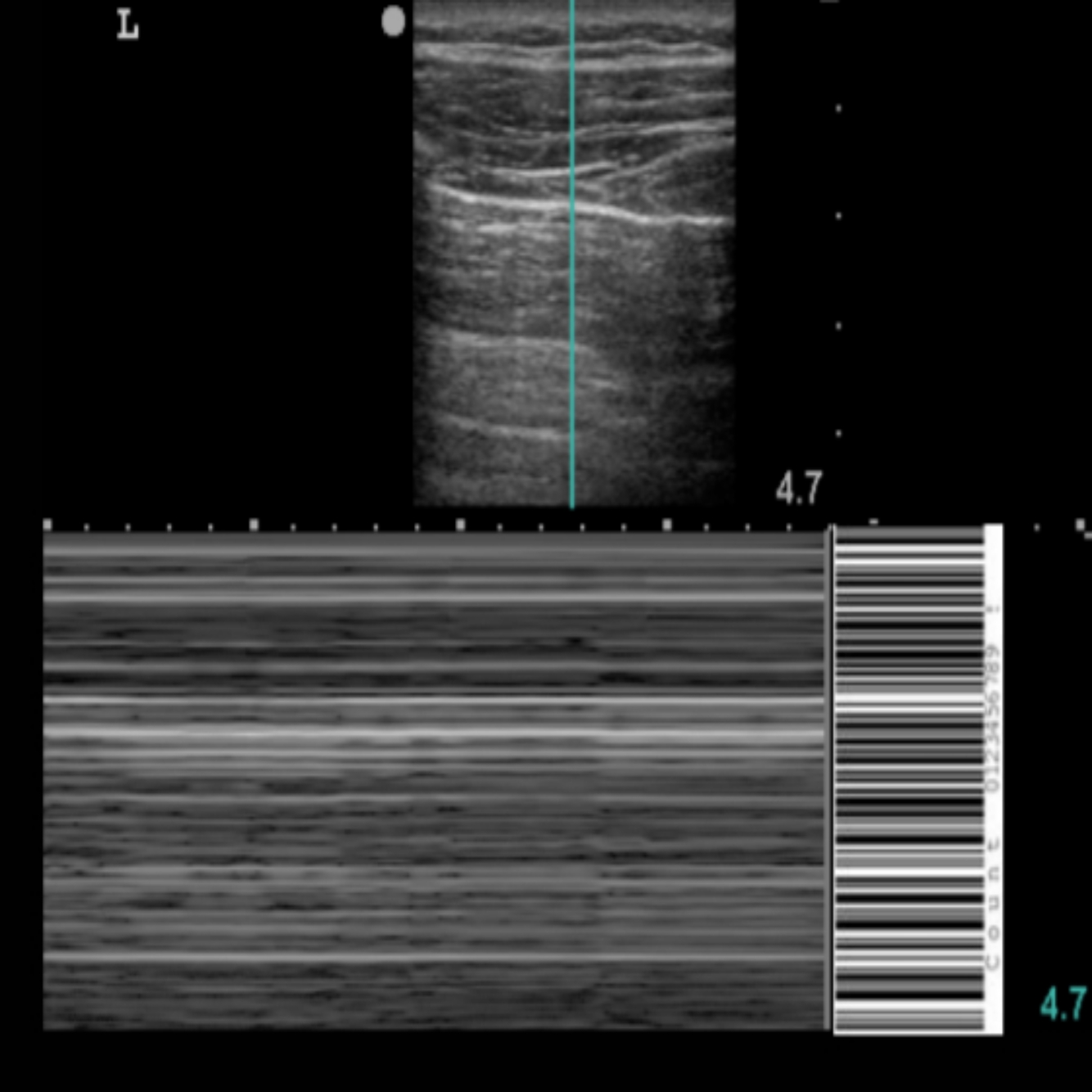
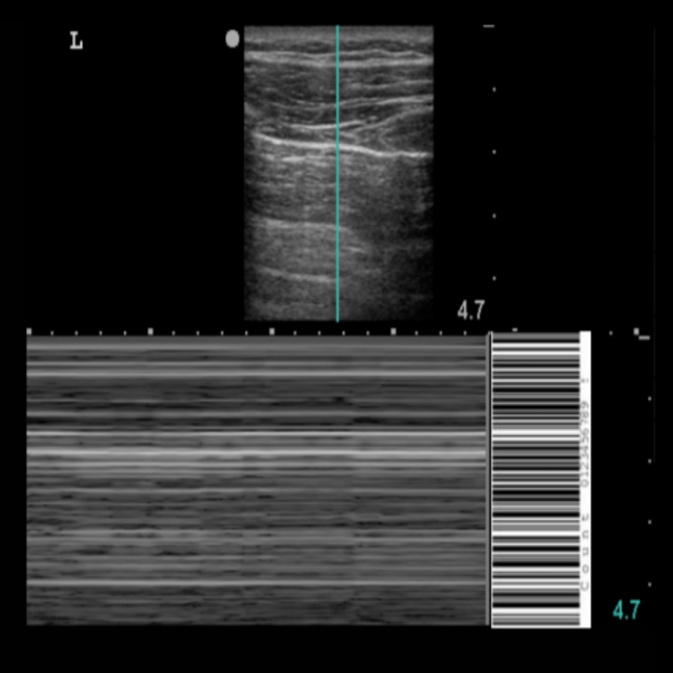
23
Q

POCUS PULMONAR: Qual o nome deste achado?

A

Sinal do código de barras

How well did you know this?
1
Not at all
2
3
4
5
Perfectly
24
Q

POCUS PULMONAR: Quando as pleuras não deslizam em feixe de ponto fixo é um sinal de

A

Código de barras

How well did you know this?
1
Not at all
2
3
4
5
Perfectly
25
POCUS PULMONAR: Quando as pleuras deslizam em feixe de ponto fixo é um sinal de
**Areia da praia**
26
POCUS PULMONAR: Talcagem pulmonar?
Pleura pulmonar adere em derrame pleural em pulmão neoplásico.
27
POCUS PULMONAR: Síndrome intersticial?
Região positiva quando entre duas costelas há mais de 3 linhas B
28
POCUS PULMONAR: Síndrome intersticial focal? (6)
Pneumonia Pneumonite Contusão pulmonar Doença pleural Neoplasia infarto pulmonar Atelectasia
29
POCUS PULMONAR: Síndrome intersticial difusa? (4)
Insuficiência cardíaca Covid-19 Sara Fibrose pulmonar
30
POCUS PULMONAR: Síndrome intersticial difusa definição?
Pelos menos duas regiões positivas de cada lado.
31
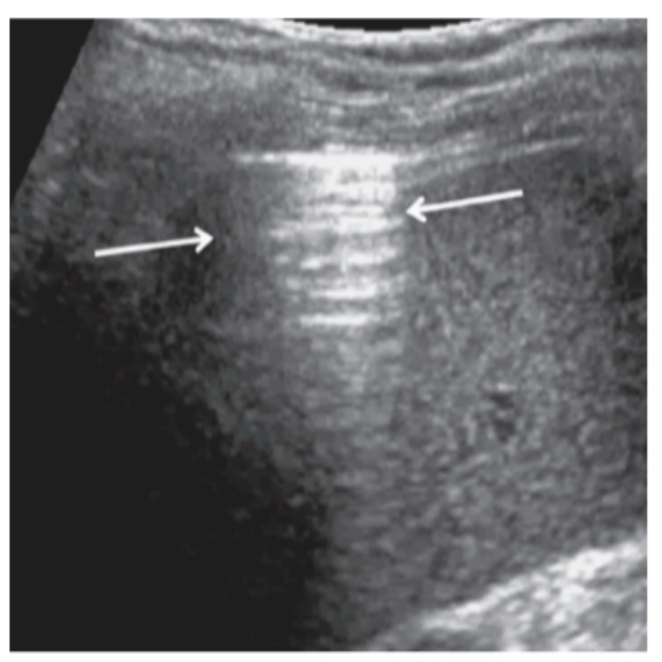
POCUS PULMONAR: Sinal da dupla traqueia significa?
Intubação do esofago, devemos tracionar para nova tentativa.
32
Todo o derrame pleural é visto no ultrassom?
Não, apenas > 20ml
33
Consolidação no ultrassom pulmonar: causas?
- Infecção - Embolia pulmonar - Metástases - CA de pulmão - Contusão pulmonar - Atelectasia obstrutiva
34
POCUS CARDÍACO: nome das quatro janelas principais?
- Paraesternal longa - Paraesternal curta - Apical 4 câmaras - Subcostal/Subxifoide
35
Pocus: princípio de uso?
ALARA Fazer o mínimo necessário para ter a resposta
36
POCUS CARDÍACO: Questões principais a serem respondidas?
- Há derrame pericárdico? - Como está a função sistólica de VE? - Há sobrecarga de VD? - Coração está batendo?
37
POCUS CARDÍACO: Janela paresternal longa, o que avaliar?
- indicador do transdutor para ombro direito do paciente - 3°-5° espaço intercostal - Avalia função sistólica de VE - Avalia derrame pericárdico
38
POCUS CARDÍACO: Janela paresternal curta, o que avaliar?
- Gira transdutor 90°, ombro esquerdo paciente - Avalia Morfologia e função da válvula tricuspide - Avalia Morfologia e função da válvula pulmonar/mitral - Avalia tamanho e função sistólica de VE - Avalia tamanho e função sistólica de VD - Avalia átrio esquerdo e septo interatrial - Avalia derrame pericárdico
39
POCUS CARDÍACO: Janela apical 4 câmaras, o que avaliar?
- Tamanho e função sistólica de VE - Morfologia da válvula mitral
40
POCUS CARDÍACO: Janela subxifoide/subcostal, o que avaliar?
- Septo interatrial - Derrame pericárdico - Avalia aorta descendente + 4 câmaras - Avalia derrame pleural (abaixo da aorta) e pericárdico (acima da aorta) ao mesmo tempo
41
POCUS CARDÍACO: Avaliação da cava?
- Janela subxifoide - Avalia volemia e congestão - Tamponamento (se estiver dilatada) - Confirma localização de Cateter
42
POCUS CARDÍACO: Avaliação da cava: parâmetros?
- Cava normal: < 2,1 cm e comprime > 50% - Cava alterada: > 2,1 cm e não comprime
43
POCUS CARDÍACO, avaliação de cava: PVC?
Pct seco <3 de PVC Normal 4 até 16 Pct congestão >16
44
POCUS CARDÍACO: Avaliação da cava: monitoramento?
Monitora: - Ressuscitação de volume - Perda sanguínea - Pressão
45
No Tamponamento cardíaco a cava vai estar (colabada/dilatada)?
Dilatada
46
Qual o parâmetro para avaliar a ocorrência de TVP?
Escore de wells
47
Escore de wells: pontos avaliados?
48
Escore de wells: baixa probabilidade de TVP?
Baixa 0-1
49
Escore de wells: moderada probabilidade de TVP?
Moderada 2-6
50
Escore de wells: alta probabilidade de TVP?
Alta >7
51
D-dimeros baixos exclui TVP.
Verdadeiro
52
Clínica em TVP? (6)
- Neoplasia ativa <6 m - Imobilização/trauma em membro - Dor em mmii - Edema em todo o mmii - Veias superficiais dilatadas - Assimetria de panturrilha
53
Todo o paciente com TVP no sistema proximal (poplitea até femural) vai ter que anticoagular.
Verdadeiro *Salvo se motivo plausível*
54
Paciente com TVP em sistema proximal: contraindicação de anticoagular?
- Tumor metástase cerebral - Sangramento TGI - AVC Hemorragico - Aneurisma dissecante de aorta - Alergia ao anticoagulante
55
Paciente com TVP em sistema proximal com contraindicação de anticoagular: conduta?
Filtro de veia cava
56
A safena magna é uma veia superficial e ocorre TVP.
Verdadeiro
57
80% das tromboses profundas são (proximais/distais)
Proximais (poplitea ou acima)
58
TVP: questionamentos? (3)
É compressivel? Tem Lumen? Não é armadilha?
59
TVP: o que cuidar para não ter armadilha? (5)
- Linfonodos - Cisto de Backer - Massas inguinais - Pseudoaneurismas - Hematoma inguinal
60
As regiões de bifurcações são mais propensas à formação de trombo.
Verdadeiro
61
**POCUS:** HEMITORAX OPACO: Causas? (3)
62
**POCUS:** DERRAME PLEURAL: Em casos de unilateralidade volumosa, quais são as principais hipóteses diagnósticas?
- Neoplasia pleural (primária ou secundária) - Tuberculose pleural (pacientes jovens)