De vanligaste kirurgiska komplikationerna är:
Att göra vid misstänkt komplikationer
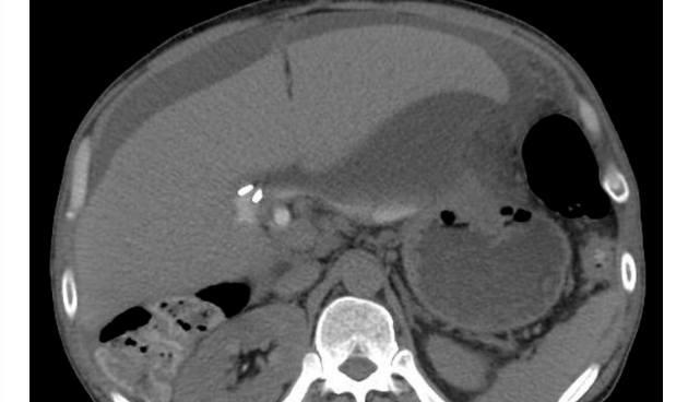
(ifrån fall med smärta i buk efter gall-op)
Riskfaktorer för komplikationer
Hur kan man förebygga komplikationer?
Rökstopp, avstå från alkohol, daglig motion, trombosprofylax, tidig mobilisering, god blodsockerkontroll.
Postoperativ blödning
Postoperativ blödning
vad finns att säga om post op infektion
vadå yttliga vs djupa?
trombos efter op
vanligt?
när ger man profylax?
Vad ökar risk?
Samma som för alla tromber (malignitet, gen, lm mm)
När ger man profylax?
Waran/noak innan op
SIRS
Kritiskt tillstånd där patienten uppfyller minst två av följande kriterier:
vad finns att säga om gallläcge
Efter en laparoskopisk kolecystektomi kan få ett gallläckge vilket ger smärtor med utstrålning. Kan även få abscess och blödning.
Frågeställning på rtg vid dessa symtom:

åtgärder vid gallläckage?
Den akuta åtgärden blir att ultraljudslett lägga in ett dränage, där det tömmer sig gallfärgad vätska och därefter beställs ERCP för att hitta läckage-plats och åtgärda med stent. T.ex. läckage från cysticusstumpen där sfinkterotomi kan göras och plaststent läggs in i ductus choledochus i 4-6 veckor för att de ska läcka ihop.
