what are the two physical circulations in the lungs?
where do they & occur from?
what do they drain into?

what exists between the pulmonary and bronchial circulation? why do they exist?
There are arterial and venous anastomoses (shunts) between the bronchial and pulmonary circulations. These are important ‘safety valves’ to prevent too high a pressure in the pulmonary circulation

what is the difference in pressure between pulmonary and systemic circulation?
systolic pressure much greater in systemic arteries and capillaires c.f. pulmonary; BUT mean venous pressure is similar for both

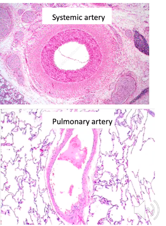
what ar special anatomic features of pulmonary circulation vessels? (4)

how does right cardiac output match the left cardiac output, but the pulmonary circulation has less pressure? :)
Then pulmonary vascular resistance R needs to be much lower than systemic vascular resistance for the cardiac output to be same on both sides of heart.
what condition do you get if pulmonary vascular pressure increases?
Pulmonary arterial hypertension (PAH): lifethreatening condition
(causes rise in back pressure in right ventricle, which has thinner walls, so dilates - cant pump = right heart failure)
what is the innervation like for lungs? basic role?
vertebral level?
- parasympathetic innervation:
i) vagal afferent fibres detect irritants in airways
ii) vagal efferent fibres produce bronchoconstriction and stimulate secretion of mucous.
explain the symapethic innervation to lung a bit more?
pathway?
innervate?
activation causes? how?
sympathetic innervation: T2-T4/6
- The postganglionic nerves from the paravertebral sympathetic ganglia pass into the lungs in plexi around pulmonary arteries and arterioles.
- Activation: bronchodilation via beta 2 receptors. Bronchial muscle relaxation due to sympathetic nerves is greatly augmented by circulating adrenaline
Bronchial muscle relaxation due to sympathetic nerves is greatly augmented by circulating what????
Bronchial muscle relaxation due to sympathetic nerves is greatly augmented by circulating adrenaline
what are J receptors?
where found?
stimulated by?
causes?
J receptors:
parasympathetic vagal afferent & vagal efferent innervation causes what?
parasympathetic:
vagal afferent - triggers cough reflex (due to irritants)
vagal efferent innervation - narrowing of bronchi and mucous production
pre-ganglionic nerve fibres (both SNS & PNS): ? (NT and receptor)
parasympathetic post-ganglionic nerve fibres on airway smooth muscle and mucous glands: ? (NT and receptor)
pre-ganglionic nerve fibres (both SNS & PNS): Ach & Nicotinic receptors
parasympathetic post-ganglionic nerve fibres on airway smooth muscle and mucous glands: Ach & M3 (muscarinic receptors)

how does gravity influence pulmonary circulation?
whats the 3 zone model?
pressure is much lower in apex c.f. base when standing:
Creates a 3 zone model of the lung:
•The apices (zone 1) have intermittent flow; capillaries are squashed during expiration and diastole. flow occurs during systole (& inspiration)
•The centres (zone 2) have pulsatile flow; the pressure inside the capillay is greater for part of the resp. cycle: therefore is pulsatile. flow in this part of lung greater in systole than diastole; and inspiration c.f expiration
•The bases (zone 3) have continuous flow of blood; due to pulmonary A & V pressure > alveolar pressure

what is lung compliance?
(when is breathing least hard?)
why is low lung compliance bad? (caused by?)
why is high lung compliance bad?
Lung compliance (C) is a measure of ‘stretchability’ or ‘distensibility’ of the lungs. It is the change in the volume per unit pressure change.
C = dV/Dp
breathing least hard when: given change in pressure gives large change in volume. (takes a lot of effort to get that v. last bit of breath in / out during inspiration / expiration - which is where it curves on the graph
Low compliance: requires more effort to inflate lungs - e.g. fibrosis
high lung compliance: if very high, then lungs have lost elastic recoil, so have to have extra effort to exhale. then can take extra effort to inhale again



what is difference in compliance in base v apex of the lung? what does this mean for ventilation in apex and base?
Compliance in base: higher - this means the base of the lungs are better ventilated (per unit lung volume) than apices.
Compliance in apex: lower
The basal alveoli are more ventilated than apical alveoli, as they have a higher compliance (as shown by a steeper sloping in the curve) and thus a bigger volume change per unit pressure change

SO - what is ventilation AND blood flow (perfusion) like in base v apex?
which (ventilation or blood flow) shows a steeper decline with height of lung?
- blood flow and ventilation are higher at the base of the lungs c.f apex
At the base, blood flow is greater than ventilation yet at the apex, blood flow is worse than ventilation

what does ventilation / perfusion ratio graph show?
(what would ideal ratio be? - what is it at base and apex )
what does that mean regarding relationship of perfusion and ventilation in apex and base

@ the apex: ventilation exceeds perfusion - bad blood flow, good gas exchange
@ the base: perfusion exceeds ventilation - good blood flow, poor gas exchange

how do u work out ventilation / perfusion ratio?
= V/Q
what does it mean if V/Q is > 1 ?
what does it mean if V/Q is <1 ?
if V/Q is > 1: ventilation exceeds perfusion - bad blood flow, good gas exchange
if V/Q is <1: perfusion exceeds ventilation - good blood flow, poor gas exchange
:
In conditions of airway obstruction V/Q ratio is ?? than normal
In conditions of blood flow obstruction (eg from an embolus) V/Q ratio is ?? than normal.
In conditions of airway obstruction V/Q ratio is LOWER than normal
In conditions of blood flow obstruction (eg from an embolus) V/Q ratio is HIGHER than normal.
* important !! *
which, out of ventilation or perfusion, regulates the other? what does this mean, if have hypoxia?
e.g.
If ventilation is reduced in one alveolus, then the capillaries around it ??? , and blood is redirected to ?? ??? alveoli.
local ventilation regulates local perfusion
called: v/q matching
hypoxia: causes vasoconstriction of the local blood vessels
If ventilation is reduced in one alveolus, then the capillaries around it constrict, and blood is redirected to better ventilated alveoli.
what happens to pulmonary circulation during exercise?
- pulmonary arterial pressure: increases only slightly during exercise.
- pulmonary arterial resistance: greatly decreasing during exercise (by dilating)
what is the mechanism of pulmonary arterial vasodilation during exercise?
in the apex of the lung:
Blood flow through zone 1 can increase seven to eight fold during exercise
A similar reflex stretch induced relaxation occurs in zone 2 and 3, where blood flow can increase 2 to three times