Radiology Flashcards

(24 cards)

1
Q

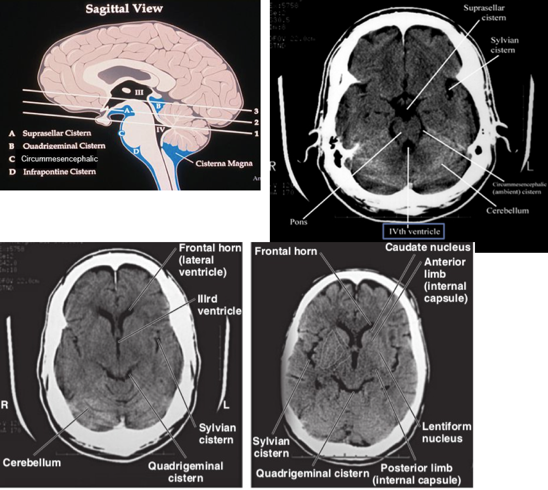
Approach to head CT

A

Blood Can Be Very Bad

Blood

  • Extracranial hemorrhage
  • Epidural hemorrhage
  • Subdural hemorrhage
  • Subarachnoid
  • Intraparenchymal
  • Intraventricular

Cisterns

  • Circummesencephalic
  • Suprasellar
  • Quadrigeminal
  • Sylvian
  • Look for: effacement, asymmetry, blood

Brain

  • Effacement or asymmetry of sulcal pattern
  • Grey-white differentiation
  • Structural shifts
  • Abnormal hypodensity (edema, air)
  • Abnormal hyperdesnity (blood, calcification)

Ventricles

  • Effacement or asymmetry
  • Blood
  • Hydrocephalus

Bone

  • Fractures
  • Soft tissue swelling and air in paranasal sinuses or mastoid air cells should raise suspicion of skull fracture
  • Intracranial air = violation of skull and dura
How well did you know this?
1
Not at all
2
3
4
5
Perfectly
2
Q

Epidural hematoma

A
  • Hemorrhage between inner surface of skull and outer surface of dura
  • Most often from torn middle meningeal artery
  • Usually associated with history of head trauma and frequently associated with skull fracture
  • Mostly in younger patients (dura less adherant to bone)
  • Biconvex in shape (lentiform)
  • Limited by sutures, but not by venous sinuses (however in children, up to 11% cross suturelines)
    • Exceptions:
    • Fracture crosses suture
    • Suture diastasis
    • Vertex EDH
  • Usually unilateral
  • >95% supratentorial
    • Parietotemporal > Frontal = parietooccipital
  • <5% posterior fossa
  • Hyperdense, hetrogeneous
  • Well-demarcated
  • Secondary features of mass effect may be present depending on size (subfalcine herniation, uncal herniation, midline shift)
How well did you know this?
1
Not at all
2
3
4
5
Perfectly
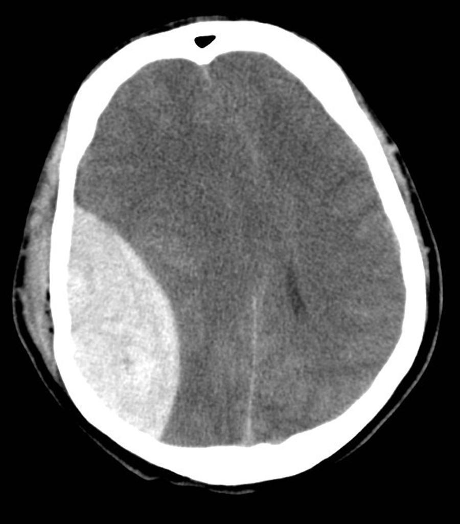
3
Q

Subdural hematoma

A
  • Hematoma between dura and arachnoid
  • Occurs in any age group, usually after trauma
  • Stretching and tearing or bridging cortical veins due to sudden change in velocity of head (shearing forces)
  • Crescent-shaped
  • Usually more extensive than EDH
  • Not limited by sutures; are limited by dural reflections (falx cerebri, falx, cerebelli, tentorium
  • Most unilateral in adults vs. bilateral in infants
  • Subacute = Isodense
  • Acute = Hyperdense
  • Subacute = Isodense
    • Indirect signs:
    • Sulci do not reach the skull
    • Apparent cortical thickening
    • Mass effect including effacement of sulci, midline shift
  • Chronic = Hypodense
    • May change to biconvex shape
How well did you know this?
1
Not at all
2
3
4
5
Perfectly
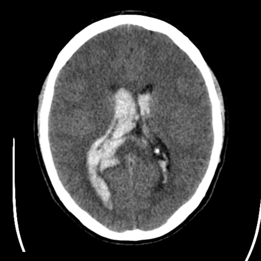
4
Q

Intraventricular Hemorrhage

A
  • Primary
    • Newborns
  • Secondary
    • Due to SAH or intraparenchymal hemorrhage
  • Presents similarly to SAH - sudden onset severe headache or stroke-like symptoms
  • Hyperdense material in ventricles
  • Heavier than CSF so pools dependently, best seen in occipital horns
  • Often obstructive hydrocephalus, needs to be distinguished from ex vacuo dilatation of ventricles
  • Ventricles: Lateral ventricles > Interventricular foramina (Foramina of Monro) > 3rd ventricle > Cerebral aquaduct (Aquaduct of Sylvius) 4th ventricle
  • 3rd ventricle is located between the thalami
  • 4th ventricle is located posterior to the pons and upper half of the medulla oblongata

https://radiopaedia.org/articles/intraventricular-haemorrhage

How well did you know this?
1
Not at all
2
3
4
5
Perfectly
5
Q

Appearance of sinuses

A
  • Present at birth:
    • Maxillary
    • Ethmoid
  • Pneumatized by 5 years:
    • Sphenoid
  • Pneumatized by 7 to 8 years, not completely developed until adolescence:
    • Frontal

http://pediatrics.aappublications.org/content/108/3/798

How well did you know this?
1
Not at all
2
3
4
5
Perfectly
6
Q

Mastoiditis

A
  • CT initial investigation of choice
  • Post-imaging contrast can be helpful to identify soft tissue complications or vascular complication such as dural venous thrombosis
  • Partial to complete opacification of mastoid air cells, sometimes the middle ear cleft as well
  • Erosion of the mastoid air cell bony septum may be present

https://radiopaedia.org/articles/acute-mastoiditis

How well did you know this?
1
Not at all
2
3
4
5
Perfectly
7
Q

Skull fracture

A
  • Plain radiographs can be used to identify and classify, however CT is the first line investigation as it is more sensitive and specific
  • Absence of fracture does not reliably exclude presence of TBI
  • Should not be used as a screening test as not sensitive (55%) or specific enough (88%) for TBI
  • Perform when history of trauma uncertain (e.g. suspected NAI) or to rule out superficial foreign body
  • If plain radiographs identify skull fracture, CT or MRI is warranted although risk of serious intracranial injury in well-appearing child with frontal non-depressed skull fracture appears to be low
  • Comment on location, appearance (linear vs comminuted), degree of depression, communication with any air sinuses of the skull (considered open, increased risk CSF leak)
How well did you know this?
1
Not at all
2
3
4
5
Perfectly
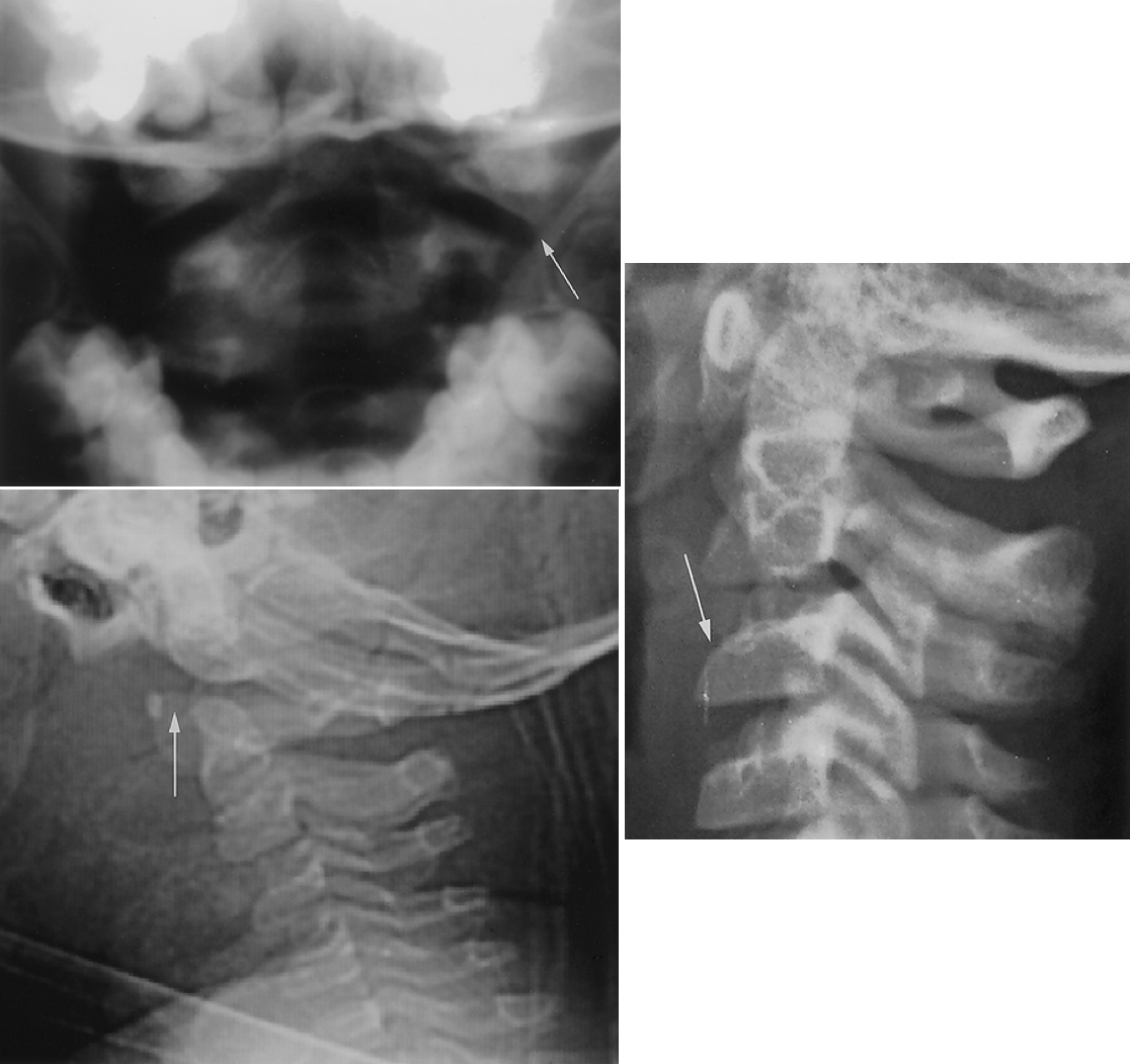
8
Q

C-spine Radiographs

  • Why are children more prone to high cervical spine injuries?
  • Name 7 normal variants of pediatric cervical spine
A
  • By 8 to 9 years of age, cervical spine reaches adult proportions
  • Cervical spine injuries in children usually occur high - from the occiput to C3 vertebra
  • Fulcrum of motion in children is at the C2-C3 level rather than at the C5-C6 level in adults
  • Owing to hypermobility of the c-spine because of ligamentous laxity, shallow and angled facet joints, anteriorly wedged vertebrae, and underdeveloped spinous processes
  • Weak neck muscles, underdeveloped odontoid process, and large head also contribute to instability of the c-spine
  • For screening, obtain lateral, AP, and odontoid views of the cervical spine
  • Need for odontoid view sometimes questioned
  • Some experts believe lateral view in children under 5 years sufficient
  • False negative rate of single lateral view 21 to 26%

Approach

  • Every lateral c-spine view should visualize at least the top of T1, of not, may need swimmer’s
  • Lateral
    • Upper C-spine
      • Atlantodens interval (< 5 mm)
      • Spinolaminar line should intersect with opisthion
      • Relationship between basion and odontoid and posterior vertebral line for atlantooccipital dislocation - should be less than 12 mm (?), head usually dislocated anterior on cervical spine
      • Look at odontoid
      • C2 on C3 subluxation, C2 pedicles
    • Lower C-spine
      • Anterior vertebral body line
      • Posterior vertebral body line
      • Articular pillars
      • Spinolaminar line
      • Disc spaces should be roughly equal
      • Interspinous spaces should be uniform
      • Kyphotic deformity
    • Prevertebral tissues (see below)
  • Odontoid
    • Upper C-spine
      • Lateral bodies with respect to axis
      • Atlantodental spaces should be symmetric
  • AP
    • Spinous processes - will be malaligned in facet joint dislocation
    • Uncinate processes
    • Pedicles

Normal Pediatric Variants:

  • ADI = atlantodens interval or distance between anterior wall of the dens (odontoid process) and posterior wall of the atlas’ anterior ring
    • In children less than 5 mm is normal
    • If greater than 5 mm, suspect ligamentous disruption
  • Pseudo spread of the atlas on the axis can be seen on the odontoid view
    • Pseudo Jefferson fracture
    • Up to 6 mm of displacement of lateral masses relative to the dens can be seen commonly in patients under 4 years and may be seen up to 7 years of age
  • Pseudo subluxation of C2 on C3
    • C2 on C3 and to a lesser extent C3 on C4 can have physiologic displacement
    • Check posterior cervical line (line between anterior aspects of spinous processes of C1, 2, and 3) - should line up within 1 mm
    • If the posterior cervical line does not overlap anterior aspect of spinous process of C2 by more than 2 mm, true injury is present
    • Abnormal posterior cervical line suspect occult hangman fracture of C2
  • Absence of lordosis may be seen up to 16 years
    • Posterior intraspinous distance should not be more than 1.5 the distance of the levels above and below the level in question
    • In children, flexion can cause fanning of the C1 and C2 spinous processes (tight ligamentous connection of C1 to skull base)
  • Anterior wedging of up to 3 mm of the vertebral bodies
    • Can be marked at C3
  • Normal physeal plates - expected location, smooth and regular, subchondral sclerotic lines
    • vs fracture - occur at any location, irregular lines, no sclerosis
  • Prevertebral space of less than 6 mm in children is normal
    • Widening of prevertebral space can be due to expiration - if widened, repeat in slight extention and inspiration
    • Radiopedia:
    • C2

0-2 years of age: 7.6 mm

3-6 years of age: 8.4 mm

7-10 years of age: 6.8 mm

11-15 years of age: 6.8 mm

* C6

0-2 years of age: 9.0 mm

3-6 years of age: 9.8 mm

7-10 years of age: 12.1 mm

11-15 years of age: 14.5 mm

http: //pubs.rsna.org/doi/full/10.1148/rg.233025121
https: //www.youtube.com/watch?v=skLoiQgzi5s

How well did you know this?
1
Not at all
2
3
4
5
Perfectly
9
Q

Jefferson Fracture

A
  • Due to axial loading - force transmitted from occipital condyles to lateral masses of C1
  • Burst fracture of C1. Usually fracture through anterior and posterior rings of C1
  • Spreading of C1 lateral bodies on C2
  • Asymmetry between odontoid process and lateral masses
  • Stable if transverse ligament intact
  • If distance between odontoid process and lateral mass > 6 mm, suspect transverse ligament injury

http: //pubs.rsna.org/doi/full/10.1148/rg.233025121
https: //radiopaedia.org/articles/jefferson-fracture

How well did you know this?
1
Not at all
2
3
4
5
Perfectly
10
Q

Atlantoaxial Rotary Subluxation

A
  • Anterior facet of C1 becomes locked on facet of C2, impairing rotation at this joint
  • May or may not be associated with C1-C2 dislocation
  • May be caused by:
    • Congenital syndromes (T21, NF1, Marfans, OI)
    • Acquired (trauma, RPA - Grisel syndrome, URTI)
    • Arthritides (RA, psoriatic, SLE, AS)
  • In dislocation see widened ADI (should be less than 5 mm in children)
  • In subluxation, normal ADI
  • Loss of definition of craniocervical junction
  • On AP one lateral mass appears wider and closer to midline
  • On lateral anterior arch of C1 is not truly lateral
  • Type 1: no displacement
  • Type 2: 3 to 5 mm anterior displacement, atlas rotated on one lateral articular surface
  • Type 3: greater than 5 mm anterior displacement, atlas rotated on both lateral articular surfaces
  • Type 5: posterior displacement

http: //pubs.rsna.org/doi/full/10.1148/rg.233025121
https: //radiopaedia.org/articles/atlanto-axial-subluxation

How well did you know this?
1
Not at all
2
3
4
5
Perfectly
11
Q
A
  • Blunt trauma with hyperflexion or extension
  • Most common fracture of the axis
  • Usually dens displaced anteriorly, dens tilted posteriorly
How well did you know this?
1
Not at all
2
3
4
5
Perfectly
12
Q
A
  • Atlantodens interval of greater than 5 mm in children suggests ligamentous injury at atlantoaxial articulation
  • Rare in isolation in healthy children
  • Chronic subluxation can be seen in children with T21, arthitides, bone dysplasias
  • Can also occur in children with necrotizing retropharyngeal infection or adenoidectomy

http://pubs.rsna.org/doi/full/10.1148/rg.233025121

How well did you know this?
1
Not at all
2
3
4
5
Perfectly
13
Q
A
  • Hangman fracture or traumatic spondylolisthesis of the axis
  • Hyperextension injury
    • Virtually never seen in suicidal hanging (usually asphyxial)
    • Most commonly seen in major trauma e.g. MCV
  • Associated with fracture through bilateral pars interarticularis
  • Anterior subluxation of C2 on C3 may be seen (don’t confuse with pseudosubluxation of C2 on C3) - look at posterior cervical line
  • Posterior cervical line (line between anterior aspects of spinous processes of C1, 2, and 3) - should line up within 1 mm
  • If the posterior cervical line does not overlap anterior aspect of spinous process of C2 by more than 2 mm, true injury is present
  • Abnormal posterior cervical line suspect occult hangman fracture of C2
    https: //radiopaedia.org/articles/hangman-fracture
    http: //pubs.rsna.org/doi/full/10.1148/rg.233025121
How well did you know this?
1
Not at all
2
3
4
5
Perfectly
14
Q
A
  • Bilateral facet dislocation
  • Unstable
  • Translation displacement of adjacent vertebrae by 50% dislocation of facets on radiograph

http://pubs.rsna.org/doi/full/10.1148/rg.233025121

How well did you know this?
1
Not at all
2
3
4
5
Perfectly
15
Q
A
  • Acromioclavicular joint separation
  • Can obtain stress views (weight bearing) if initial radiographs normal but injury suspected
  • Soft tissue swelling or stranding (may be only sign in Type 1)
  • Widening of AC joint
  • Widening of CC distance
  • Superior displacement of distal clavicle (undersurface of clavicle should line up with undersurface of acromion)
How well did you know this?
1
Not at all
2
3
4
5
Perfectly
16
Q
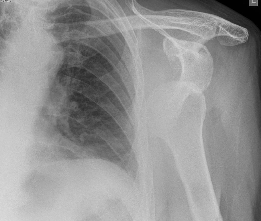
A
  • Anterior shoulder dislocation
  • Most common shoulder dislocation
  • Humeral head is below the coracoid most commonly
  • May also be subglenoid, subclavicular, or intrathoracic (very rare)
  • May be associated with Hill Sachs lesion
    • Compression fracture of posterolateral humeral head, most often in recurrent dislocation (rests against glenoid)
  • May be associated with Bankhart lesion of glenoid
    • Detachment of anterior inferior labrum from glenoid (bony or soft)
17
Q

Order of elbow centres of ossification

A
  • Capitellum
  • Radial head
  • Internal epicondyle
  • Trochlea
  • Olecranon
  • External epicondyle
  • Seen at 1, 3, 5, 7, 9, 11 years of age
18
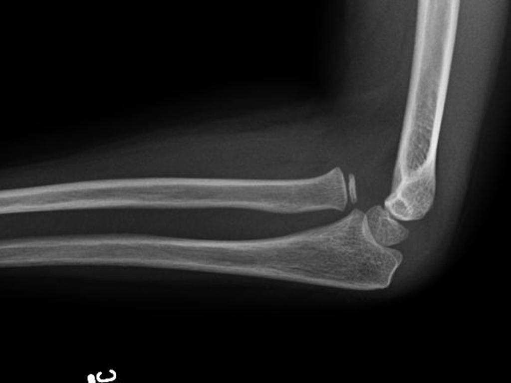
Q
A
  • Radial head dislocation
  • Check radiocapitellar line - line through radial neck should always intersect the capitellum in any view
  • Often dislocated anteriorly

https://radiopaedia.org/articles/radiocapitellar-line

19
Q

Approach to elbow x-ray

A
  • CRITOE
  • Alignment
    • Anterior humeral line should intersect middle third of capitellum (if not, think supracondylar fracture)
    • Radiocapitellar line (line through radial neck should always intersect capitellum, if not think radial head dislocation)
  • Effusion
    • Posterior fat pad - always abnormal
    • Anterior fat pad - abnormal if massive
  • Bone cortex of all bones for irregularities
20
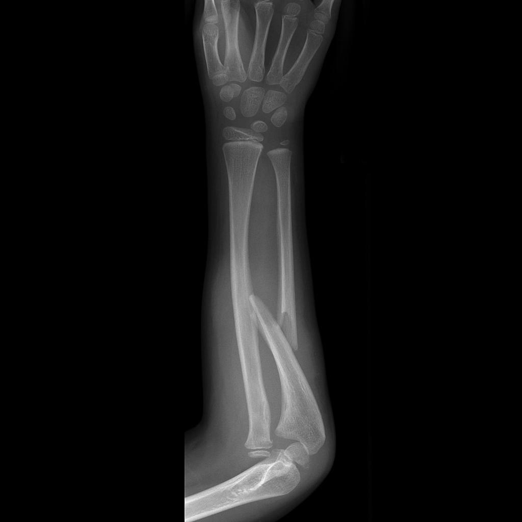
Q
A
  • Monteggia fracture dislocation
  • Fracture of ulnar shaft with radial head dislocation
  • Note radiocapitellar line
21
Q

Supracondylar fracture

  • Classification
  • Indirect signs
A
  • Gartland classification
    • Type 1 non-displaced (anterior humeral line intersects the middle third of capitellum)
    • Type 2 displaced but intact posterior cortex
    • Type 3 completely displaced with disruption of anterior and posterior cortex
  • Posterior fat pad - always abnormal
  • Anterior fat pad - abnormal if massive
  • Anterior humeral line
22
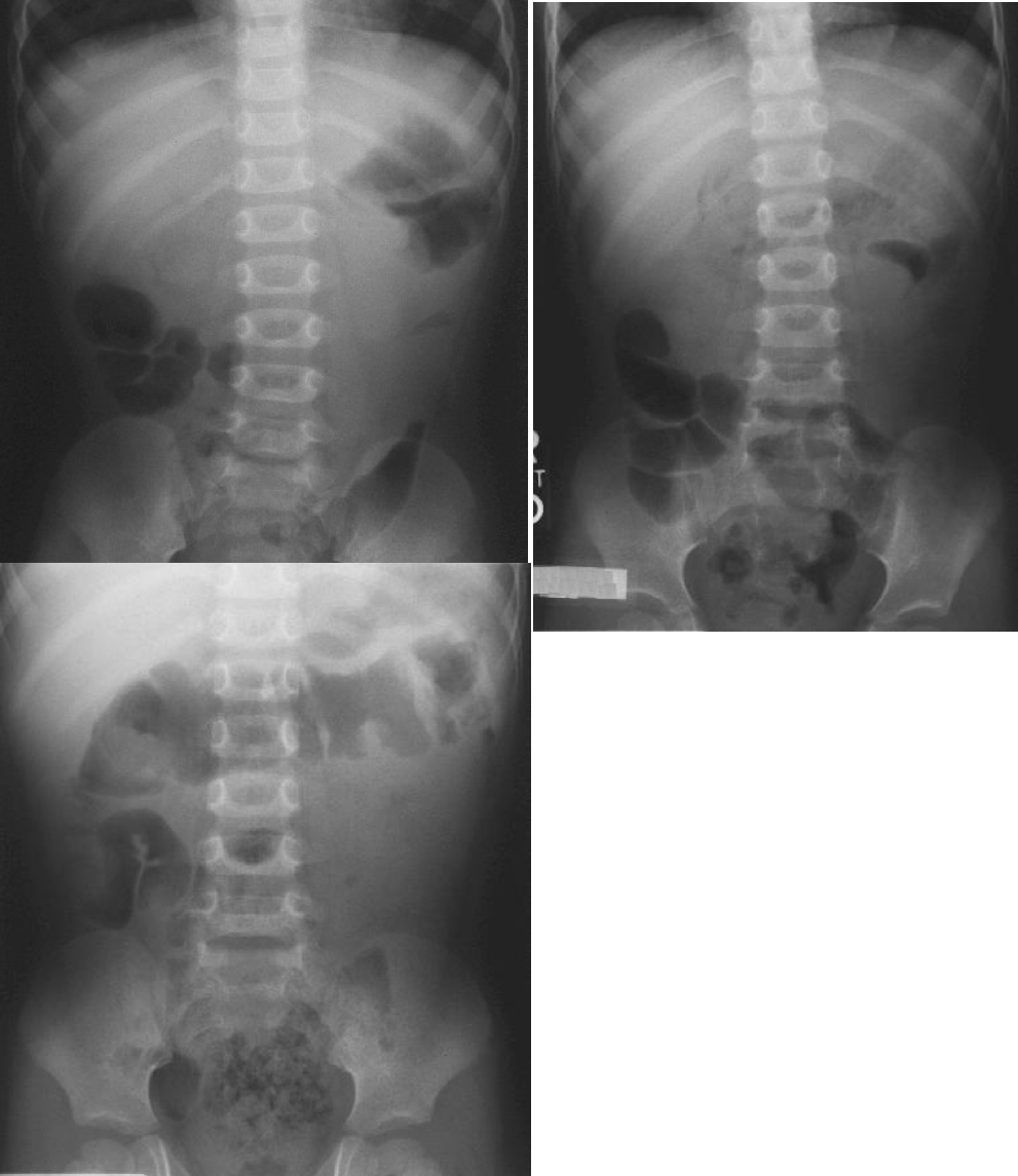
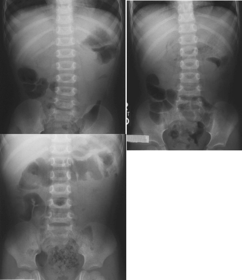
Q
A
  • Signs of intussusception on plain film:
    • Target sign
      • This radiograph shows a classic target sign in the right upper quadrant just below the liver. It resembles a chubby doughnut with a puffy center. It is very subtle. This radiograph also shows the absent liver edge sign and the crescent sign. A paucity of bowel gas is also noted.
    • Crescent sign
      • Soft-tissue density mass of the intussusceptum projecting into the colon (leading edge). If the head of the intussusceptum is projecting into a gas filled pocket, it will show itself. It often takes on a crescent shape; however, it may also merely resemble a protruding head into a gas filled pocket.
      • This radiograph shows a classic crescent sign in the left upper quadrant. This radiograph indicates that the head of the intussuception is in the distal transverse colon. Also note that this radiograph demonstrates the target sign and the absent liver edge sign.
      • This radiograph shows an atypical crescent sign in the right upper quadrant just below the liver. The head of the intussusception is coming up the ascending colon. It can be seen protruding upward into the gas filled transverse colon at the hepatic flexure.
    • Absent liver edge sign
      http: //www.hawaii.edu/medicine/pediatrics/pemxray/v1c02.html
23
Q

Radiographic signs of intussusception on plain film:

A
  • Target sign: Two approximately concentric circles of fat density to the right of the spine, due to layers of peritoneal fat surrounding and within the intussusceptum alternating with layers of mucosa and muscle. This sign resembles a very faint target, or bull’s eye, or doughnut appearance.
  • Crescent sign: Soft-tissue density mass of the intussusceptum projecting into the colon (leading edge). If the head of the intussusceptum is projecting into a gas filled pocket, it will show itself. It often takes on a crescent shape; however, it may also merely resemble a protruding head into a gas filled pocket.
  • Absent liver edge sign: loss of subhepatic angle
  • Other non-specific
    • Abdominal mass: An absence of bowel gas in the area suggesting indirectly that something is pushing normal bowel out of the way.
    • Small bowel obstruction: Dilated bowel loops and air-fluid levels.
      http: //www.hawaii.edu/medicine/pediatrics/pemxray/v1c02.html
24
Q

Intussception - Gold Standard of Diagnosis

Contraindications to above investigation

A
  • Barium enema is the gold standard of diagnosis. It often results in a successful reduction of the intussusception as well.
  • Ultrasound and air contrast enemas have also been used to diagnose intussusception.
  • The two contraindications to performing a barium enema include shock and/or radiographic or clinical evidence of bowel perforation.
  • Patients with hypovolemic shock should first have their intravascular volume restored before undergoing a barium enema.
  • Any patient with evidence of bowel perforation should be taken immediately to surgery.
    http: //www.hawaii.edu/medicine/pediatrics/pemxray/v1c02.html