Курс Rx - Рентгеноанатомия грудной клетки Flashcards

(23 cards)

1
Q

Какие анатомические структуры на Rx снимке будут выглядеть светлее?

Переведите Ваш ответ на испанский язык.

A

Костные структуры.

При этом на языке рентгенографии мы их назовем “затенениями”, не смотря их значительную яркость (более белые/светлые на снимке).

Se dice que un cuerpo es radiopaco o radiodenso cuando tiene elevada densidad radiológica y por tanto se ve blanco en la radiografía o en el TC.

How well did you know this?
1
Not at all
2
3
4
5
Perfectly
2
Q

Почему костные структуры более светлые на Rx пленке?

Переведите на испанский:

1) поглощение и рассеивание, Rx плотность, рентгенпозитивное тело, рентгеннегативное тело.

2) Если ты выслушиваешь односторонние хрипы, запроси снимок на выдохе, чтобы исключить воздушные ловушки при эмфиземе или обструкции. Так как воздух не выходит из легкого, часть паренхимы будет более темной.

A

Потому что поглощают и рассеивают больше Rx излучения, поэтому на пленке, которая позади данных структур, изорбражение становится более светлым.

1) Absorción y dispersión de los rayos X, densidad radiológica, cuerpo radiopaco o radiodenso (se ve blanco), cuerpo radiolucente o radiotransparente (se ve negro).

2) Si auscultas una sibilancia unilateral, pide una placa en espiración para descartar atrapamiento aéreo en enfisema u obstrucción. Al no desinflarse en espiración, el parénquima afectado aparece más negro que el resto.

How well did you know this?
1
Not at all
2
3
4
5
Perfectly
3
Q

“Просветлениями” на Rx снимке называют..что?

И как эти просветления выглядят на Rx снимкe?

Переведите Ваш ответ на испанский язык.

A

Участки сверхпрозрачности, через которые Rx лучи проходят с минимальным поглощением.

При этом на снимках они выглядят более темными.

Se dice que un cuerpo es radiolucente o radiotransparente cuando tiene baja densidad radiológica y por tanto se ve negro en la radiografía o en el TC.

How well did you know this?
1
Not at all
2
3
4
5
Perfectly
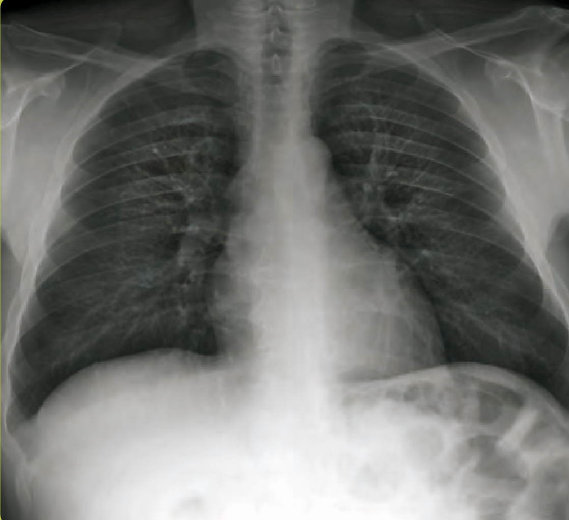
4
Q

Как расположены ребра на Rx грудной клетки?

Как выглядят верхушки легких на снимке?

Обратите внимание на верхушки легких. Что Вы ещё видите на снимке?

Обычно Rx выполняются при глубоком вдохе, когда в легком находится максимально возможное количество воздуха, и потому оно имеет наименьшую плотность. При корректно выполненом снимке на вдохе должны считаться 10 ребер по задней поверхности (или шесть по передней).

A

Задние сегменты ребер расположены горизонтально, передние проходят косо кпереди и книзу.

Верхушки легких, которые прикрыты первым ребром, могут выглядеть как участки сверхпрозрачности. Это обман зрения от перепада контрастности между ребром и верхушкой легкого.

Не перепутайте с буллой/пневмотораксом.

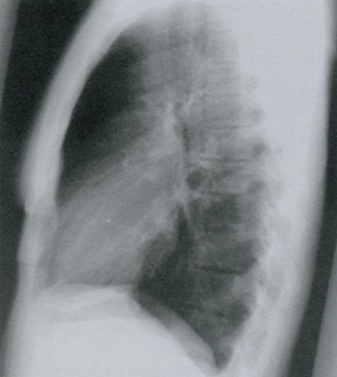
Rx грудной клетки на вдохе с признаками левостороннего пневмоторакса.

Normalmente las radiografías se toman en inspiración profunda, de manera que el pulmón tiene la mayor cantidad de aire posible y por tanto la menor densidad. En una placa correctamente inspirada deben poder contarse 10 costillas por su parte posterior (o seis por la anterior).

How well did you know this?
1
Not at all
2
3
4
5
Perfectly
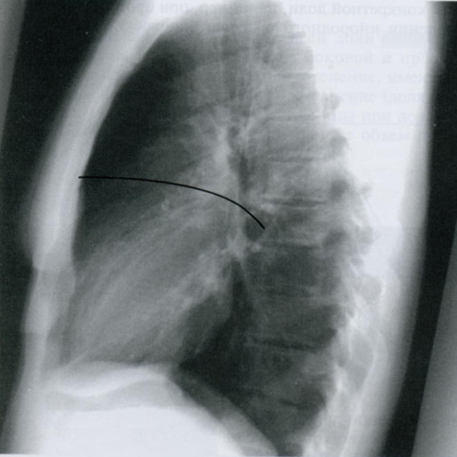
5
Q

Какая структура отмечена линией на снимке?

A

Горизонтальная междолевая щель легкого.

How well did you know this?
1
Not at all
2
3
4
5
Perfectly
6
Q

На картинке схема Rx легких в ЗПП.

Какие отделы легких отмечены крестиками?

ЗПП - задняя прямая проекция.

A

В - верхушка, которая находится выше ключицы. ВО - верхний отдел, расположен от ключицы до верхнего края корня.

Под ВО расположен СО - средний отдел, который внизу ограничен линией, разделяющую среднюю и нижнюю трети легкого на уровне нижнего края корня.

НО - нижний отдел продолжается до купола диафрагмы.

Данное деление легких не отражает долевое строение (смотрите в других карточках), а служит больше для разметки для локализации очага именно на снимке.

How well did you know this?
1
Not at all
2
3
4
5
Perfectly
7
Q

Какие зоны легких отмечены на картинке?

A

Прикорневая, центральная и перифереческая зоны.

How well did you know this?
1
Not at all
2
3
4
5
Perfectly
8
Q

На картинке изображены легкие в правой и левой боковых проекциях. Какие доли отмечены цветными кружками? Сколько долей в правом легком?

Границы долей изменяются при воспалительных изменениях?

A

Красный кружок - верхняя доля.

Зеленый кружок - нижняя доля.

Средняя доля и горизонтальная междолевая щель есть только в правом легком.

При долевых пневмониях объем/границы доли обычно не изменяются.

Иная картина при неадекватной вентиляции (диселектаз) или ателектазе (отсуствие вентиляции доли) при закупорке бронха.

How well did you know this?
1
Not at all
2
3
4
5
Perfectly
9
Q

Визуально представьте/нарисуйте Rx органов грудной клетки в прямых и боковых проекциях слева и справа, и подумайте, как будут выглядеть затемнения долей легких при долевых пневмониях?

Ответ на картинке на другой стороне карточки.

Лучше на бумажке нарисовать картинки легких в разных проекциях, слева и справа, и отметить затемнения долей: верхние, средняя (одна и справа) и нижние, с каждой стороны.

A
How well did you know this?
1
Not at all
2
3
4
5
Perfectly
10
Q

На картинке вы видите трахеобронхиальное дерево. Назовите анатомические структуры, соотвествующие каждой цифре.

Какой диаметр у трахеи (муж. и жен.)?

Анатомические ориентиры трахеи? Возрастные особенности бифуркации?

На мой взгляд, этот вопрос низкой важности, если Вы не занимаетесь торакальной хирургией. Важно образно предсталять строение брохиального дерева, не вдаваясь в глубокие подробности.

Более подробное описание рентгенанатомии бронхиального дерева Вы можете найти в атласе Матиаса Хофера (редактор) по Rx грудной клетки, который доступен на русском языке.

A

Трахея состоит из 15-20 подковообразных хрящевых колец, которые стабилизируют её форму во время движения воздуха. Задняя поверхность трахеи представлена мембраной.

Диаметр: примерно 25-26 мм у мужчин и 20-22 мм у женщин.

Анатомические ориентиры: начала на уровне С6-С7, продолжается до бифуркации на уровне Th4-Th6. До 15 лет бифуркация симметрична, после - правый бронх распологается более вертикально, чем левый.

14а - правый гланый бронх.
14b - левый главный бронх.
14с - бифуркация.

Главные бронхи делятся на долевые бронхи, которые, в свою очередь, на сегментарные. Цифры 1-10 соотвевстуют номерам сегментов легких.

Угол бифуркации в норме 70-80 градусов у детей и 55-70 у взрослых.

Угол более 90 градусов свидететельствует о наличии объемного образования в данной области.

How well did you know this?
1
Not at all
2
3
4
5
Perfectly
11
Q

КТ грудной клетки №1

Назовите все анатомические структуры, которые Вы знаете, на данном КТ срезе (7).

Найдите грудину и грудные позвонки. Затем верхнюю полую вену, дугу аорты, трахею, непарную вену и пищевод.

A

24 - грудина
26 - грудные позвонки
1 - верхняя полая вена
6 - дуга аорты
14 - трахея
15 - непарная вена
16 - пищевод

Синим цветом отмечены номера сегментов.

How well did you know this?
1
Not at all
2
3
4
5
Perfectly
12
Q

КТ грудной клетки №2

Назовите все анатомические структуры, которые Вы знаете, на данном КТ срезе (9).

Найдите грудные позвонки. Затем верхнюю полую вену, восходящую и нисходящую аорту, легочный ствол с легочными артериями, бифуркацию трахеи, непарную вену и пищевод.

A

1 - верхняя полая вена
7 - восходящая аорта
8 - нисходящая аорта
9 - легочный ствол с правой легочной артерией (а) и левой легочной артерией (b)
10 - сосуды
81b - бифуркация
15 - непарная вена
16 - пищевод

Синим цветом отмечены номера сегментов.

How well did you know this?
1
Not at all
2
3
4
5
Perfectly
12
Q

КТ грудной клетки №3

Назовите все анатомические структуры, которые Вы знаете, на данном КТ срезе (10).

Найдите грудные позвонки и грудину. Затем верхнюю полую вену, восходящую и нисходящую аорту, легочный ствол, левое предсердие и легочные сосуды, непарную вену и пищевод.

A

26 - грудные позвонки
24 - грудина
1 - верхняя полая вена
7 - восходящая аорта
9 - легочный ствол
3 - левое предсердие
10 - сосуды легких
8 - нисходящая аорта
15 - непарная вена
16 - пищевод

Синим цветом отмечены номера сегментов.

How well did you know this?
1
Not at all
2
3
4
5
Perfectly
13
Q

КТ грудной клетки №4

Назовите все анатомические структуры, которые Вы знаете, на данном КТ срезе (11).

Найдите грудные позвонки и грудину. Затем верхнюю полую вену, ушко правого предсердия, восходящую и нисходящую аорту, легочный ствол, левое предсердие и легочные сосуды, непарную вену и пищевод.

A

26 - грудные позвонки
24 - грудина
1 - верхняя полая вена
2а - ушко правого предсердия
7 - восходящая аорта
9 - легочный ствол
3 - левое предсердие
10 - сосуды легких
8 - нисходящая аорта
15 - непарная вена
16 - пищевод

Синим цветом отмечены номера сегментов.

How well did you know this?
1
Not at all
2
3
4
5
Perfectly
14
Q

КТ грудной клетки №5

Назовите все анатомические структуры, которые Вы знаете, на данном КТ срезе (10).

Найдите грудные позвонки и грудину. Затем правое предсердие, восходящую и нисходящую аорту, легочный ствол, левое предсердие и легочные сосуды, непарную вену и пищевод.

A

26 - грудные позвонки
24 - грудина
2 - правое предсердие
7 - восходящая аорта
9 - легочный ствол
3 - левое предсердие
10 - сосуды легких
8 - нисходящая аорта
15 - непарная вена
16 - пищевод

Синим цветом отмечены номера сегментов.

How well did you know this?
1
Not at all
2
3
4
5
Perfectly
15
Q

КТ грудной клетки №6

Назовите все анатомические структуры, которые Вы знаете, на данном КТ срезе (8).

Найдите грудные позвонки и грудину. Затем правый желудочек, правое предсердие, левый желудочек, ушко левого предсердия, нисходящую аорту, нижнюю полую вену.

A

26 - грудные позвонки
24 - грудина
4 - правый желудочек
2 - правое предсердие
5 - левый желудочек
3а - ушко левого предсердия
8 - нисходящая аорта
11 - нижняя полая вена

Синим цветом отмечены номера сегментов.

16
Q

На каком уровне происходит газообмен?

Что такое ацинус?

A

Альвеолы отходят от стенок дыхательных бронхиол. Именно в альвеолах начинается газообмен.

Ацинус - субъединица вторичной дольки, где происходит вентиляция+перфузия. Включает в себя дыхательные бронхиолы+альвеолярные мешочки+альвеолы.

Иногда на рентгене можно рассмотреть тени ацинусов.

17
Q

Какие направления имеют сосуды на Rx грудной клетки в ЗПП?

Задняя прямая проекция (ЗПП)

Посмотрите на снимок и попробуйте различить и назвать те сосуды, которые Вы видеть/должны присуствовать в данной проекции.

A

Легочные вены (10b) идут в нижних отделах легких поперечно и в направлении левого предсердия, то есть проходят паренхиму горизонтально/с легким уклоном.

Легочные артерии (9а) идут кверху, более вертикально.

14 - трахея
6 - дуга аорты

Есть карточка с делением легких на отделы (отделы - не доли, а как бы три этажа легочного поля, чтобы более понятно описывать локализацию структур именно на снимке).

18
Q

Ангиографическая визуализация сосудов легких.

Какая фаза распространения контраста? Артериальная или венозная?

Назовите все пронумернованные структуры.

Задняя прямая проекция (ЗПП)

Ангиография выполняется с помощью введения контраста через катетер в полой вене, правом предсердии или артериях малого круга.

A

Артериальная фаза. Норма.

9 - легочный ствол
9а - правая легочная артерия
9b - левая легочная артерия
10а - легочные артерии
59 - катетер

19
Q

Ангиографическая визуализация сосудов легких.

Какая фаза распространения контраста? Артериальная или венозная?

Назовите все пронумернованные структуры.

Ангиография выполняется с помощью введения контраста через катетер в полой вене, правом предсердии или артериях малого круга.

A

Венозная фаза. Норма.

3 - левое предсердие
10b - легочные вены
59 - катетер

20
Q

Оценка границ средостения. Оцениваем сверху вниз, начиная с правой стороны.

Найдем правый желудочек (сразу за грудиной). Сердце нормальных размеров имеет пространство между ПЖ и грудиной - загрудинное пространство (просветление на Rx органов грудной клетки в боковой проекции).

Далее ищем: дуга аорты, левый главный бронх, левая легочная артерия, легочный ствол, ушко левого предсредия, левый желудочек, верхняя полая вена, непарная вена, правая легочная артерия, правое предсердие, легочные вены.

Отметим: контур диафрагмы, контур молочной железы, газовый пузырь желудка, кишечник.

A

6 - дуга аорты
14b - левый главный бронх
9b - левая легочная артерия
9 - легочный ствол
3a - ушко левого предсредия
5 - левый желудочек
1 - верхняя полая вена
15 - непарная вена
9a - правая легочная артерия
2 - правое предсердие
10b - легочные вены.
17 - контур диафрагмы
20 - контур молочной железы
18 - газовый пузырь желудка
47 - кишечник

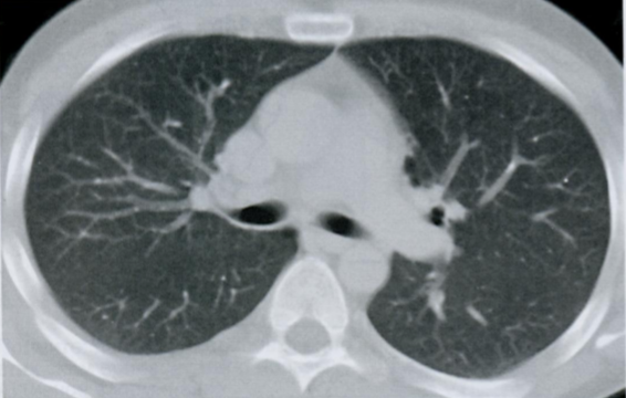
21
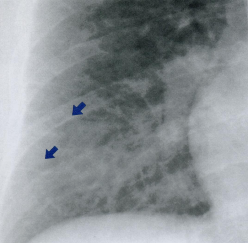
Q

Что отмечено стрелками на снимке?

Что такое линии Кёрли? Какие типы Вы знаете?

Интерстициальные заболевания легких характеризуются ретикулоузловой картиной паутиноподобных затенений из-за наложения отечных междольковых перегородок + мелкоочаговых затенений с четкими границами.

A

Поверхностные лимфатические протоки легких, в даном случае с признаками застоя походу междольковых перегородок.

На снимке становятся видны в виде линий, которые мы называем линиями Керли. В даном случае линии Керли типа В (короткие линейные затенения 1-2 см. в сублевральной области (на периферии полей легких) в нижнем или среднем отделе легких.

Линии Керли типа А более длинные (до 5 см.), идут от корней легких в верхней доле.

Есть карточка с делением легких на отделы (отделы - не доли, а как бы три этажа легочного поля, чтобы более понятно описывать локализацию структур именно на снимке).

22
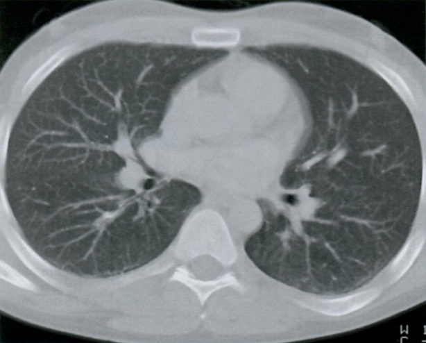
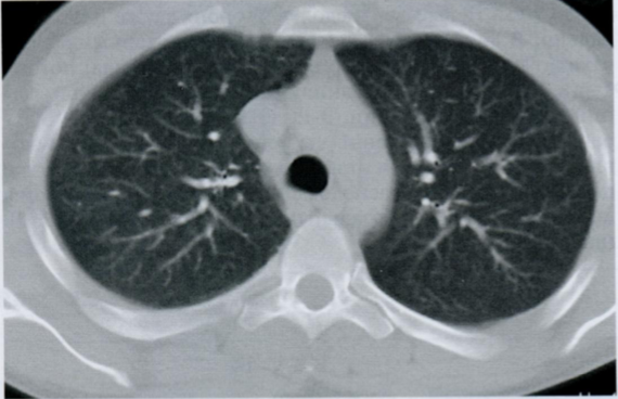
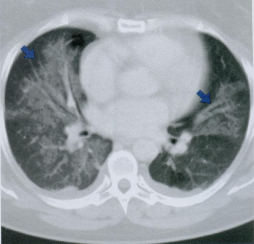
Q

КТ органов грудной клетки высокого разрешения.

Что Вы видите на данном КТ снимке? Постарайтесь вспомнить и назвать все анатомические структуры.

Что отмечено стрелками?

При хронических и прогрессирующих заболеваниях, когда ткань легкого становится более плотной из-за рубцевания и фиброза, податливость и вентиляция легкого уменьшается.

В результате формируется высокое стояние диафрагмы, кистозные изменения в виде “сот” и эмфизема. На ранних стадиях заболевания, когда еще нет признаков поражения на Rx, можно увидеть изменения на спирометрии и КТВР.

A

Стрелками отмечен симптом матового стекла, напоминающий воспалительную экссудацию или неопластическую инфильтрацию.

26 - грудные позвонки
24 - грудина
2 - правое предсердие
7 - восходящая аорта
9 - легочный ствол
3 - левое предсердие
10 - сосуды легких
8 - нисходящая аорта
15 - непарная вена
16 - пищевод