Курс Rx - Интерпретация изображений Flashcards

(12 cards)

1
Q

Как правильно располагать пациента для стандартной Rx грудной клетки в задней прямой проекции (ЗПП) и в боковой проекции (БП)?

Стандартная ЗПП, пациент стоит, истинный размер сердца

В рентгенограмах грудной клетки размеры сердца и сосудов легких зависят от расстояния между объектом и кассетой (детектором в цифровом рентгене).

A

Пациент располагается на расстоянии 180-200 см. от рентгеновоской трубки.

Локти кладутся тыльной стороной на ягодичную область, локти отводятся кпереди. При этом лопатки поворачиваются кпереди, чтобы не закрывать верхние отделы легких.

Передняя поверхность грудной клетки и сердце располагается максимально близко к кассете/детектору, поэтому размеры сердца практически не увеличиваются.

В БП снимке выполняются при ходе луча справа налево, то есть левая боковая проекция (сердце ближе к кассете).

How well did you know this?
1
Not at all
2
3
4
5
Perfectly
2
Q

Какие особенности есть у Rx грудной клетки у лежачих больных на ИВЛ?

A

Рентгеновское излучение в этом случае проходит спереди назад, формируется передняя прямая проекция.

В результате, сердце удалено от кассеты, и его изображение на снимке получается увеличенным.

При этом фокусное расстояние тоже меньше, что приводит к большему рассеиванию рентгеновского излучения за сердцем, что усиливает эффект увеличения.

How well did you know this?
1
Not at all
2
3
4
5
Perfectly
3
Q

Как распределяется перфузия по легочным сосудам легких у пациента в положении стоя и лежа?

A

Перфузия по легочным сосудам верхних и нижних отделов легких осуществляется неравномерно.

Степень перфузии в нижних отделах увеличена из-за гидростатического градиента давления.

У лежачего пациента (предположим, в отделении ОРИТ) тоже будет отмечаться расширение легочных сосудов в верхних и верхушечных отделах легких. Не путаем с патологическим полнокровием, как при отеке легких, например.

Также не забываем, что очень важно смотреть предыдущие рентгенограммы, если таковые были выполнены.

How well did you know this?
1
Not at all
2
3
4
5
Perfectly
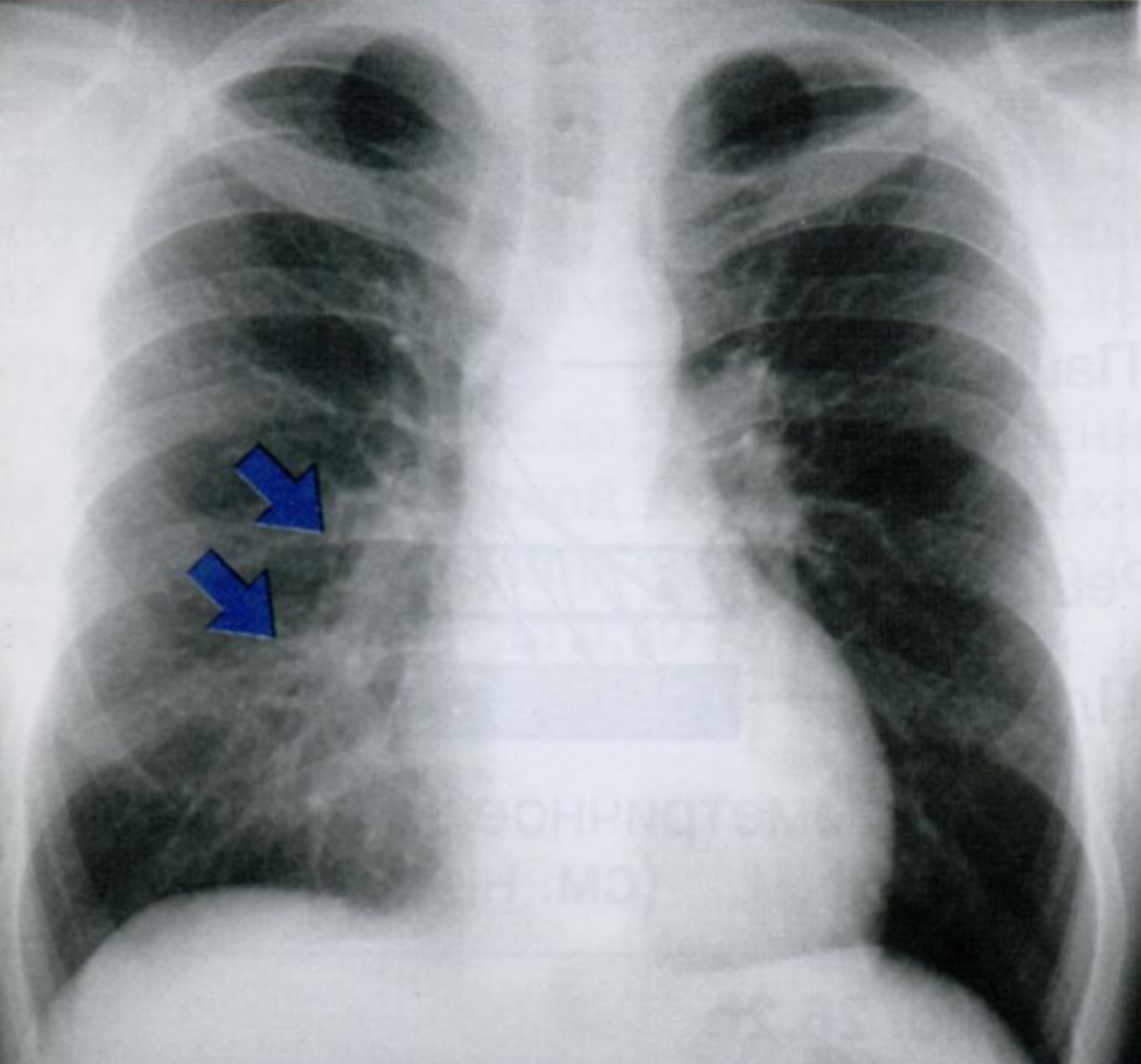
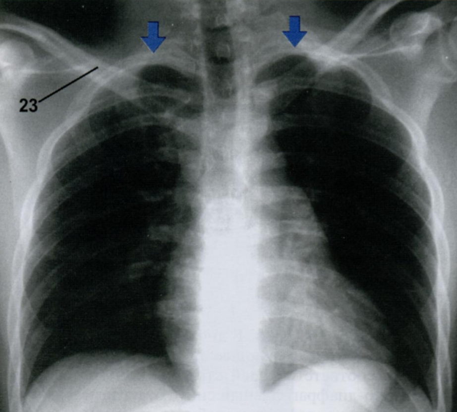
4
Q

Как мы оценим адекватную глубину вдоха по рентгенограмме?

A

Адекватные рентгенограммы получаются на глубоком вдохе, когда на задний сегмент 9-го ребра не накладывается диафрагма и он чётко виден. Это очень важно при оценке размеров сердца/диафрагмы в положении лежа/описании снимков в ОРИТ.

Rx лежа и на выдохе (обратите внимание на положение верхушек легких, отмечены стрелками)

Если мы выполним Rx органов грудной клетки на выдохе, то из-за высокого стояния куполов диафрагмы, сердце будет казаться приподнятым и расширенным, а сосуды легких сдавлены и полнокровны.

How well did you know this?
1
Not at all
2
3
4
5
Perfectly
5
Q

Для чего служит отсеивающая решетка и на какие артефакты снимка нужно обращать внимание?

У лежачих пациентов гораздо сложнее установить рентгеновскую трубку в срединном саггитальном положении, чем в положении стоя на стационарной стойке точно напротив кассетодержателя/детектора.

Поэтому у лежачего пациента мы используем кассету + отсеивающую решетку, чтобы получить качественное изображение обоих легких.

Изучите приведенную схему и сделайте выводы, как работает отсеивающая решетка.

A

Не смотря на то, что рентгенлаборант может очень тщательно установить кассету, рентгеновская трубка может быть смещена от центральной оси. То есть Rx будет выполнена как бы косо сбоку (последняя картинка на схеме), и одна половина грудной клетки получит больше излучения, будет более темной, имитируя плевральный выпот/гемоторакс (фото).

Чтобы разобраться, обратим внимание на реберно-диафрагмальный синус. Если он четко прорисован, значит жидкости там нет и затемнение на снимке - артефакт.

How well did you know this?
1
Not at all
2
3
4
5
Perfectly
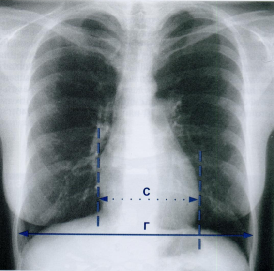
6
Q

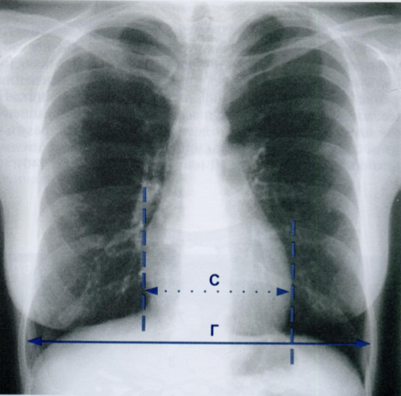
Определение сердечно-грудного индекса (объясните суть). Какая норма этого индекса?

Какие особенности у детей?

A

СГИ - это соотношение поперечной ширины сердца к ширине грудной клетки на уровне нижней апертуры.

Отмечаем точками наиболее выступающие тени сердца справа и слева (справа эта точка может быть выше - правое предсердие, чем слева - левый желудочек).

У взрослых данное отношение не превышает 0,5. То есть сердце не может быть больше, чем половина внутреннего диаметра грудной клетки.

СГИ в возрасте до года в норме до 0,65 и в 1-2 года - до 0,60.

How well did you know this?
1
Not at all
2
3
4
5
Perfectly
6
Q

Определение сердечно-грудного индекса (объясните суть). Какая норма этого индекса?

Какие особенности у детей?

A

СГИ - это соотношение поперечной ширины сердца к ширине грудной клетки на уровне нижней апертуры.

Отмечаем точками наиболее выступающие тени сердца справа и слева (справа эта точка может быть выше - правое предсердие, чем слева - левый желудочек).

У взрослых данное отношение не превышает 0,5. То есть сердце не может быть больше, чем половина внутреннего диаметра грудной клетки.

СГИ в возрасте до года в норме до 0,65 и в 1-2 года - до 0,60.

How well did you know this?
1
Not at all
2
3
4
5
Perfectly
7
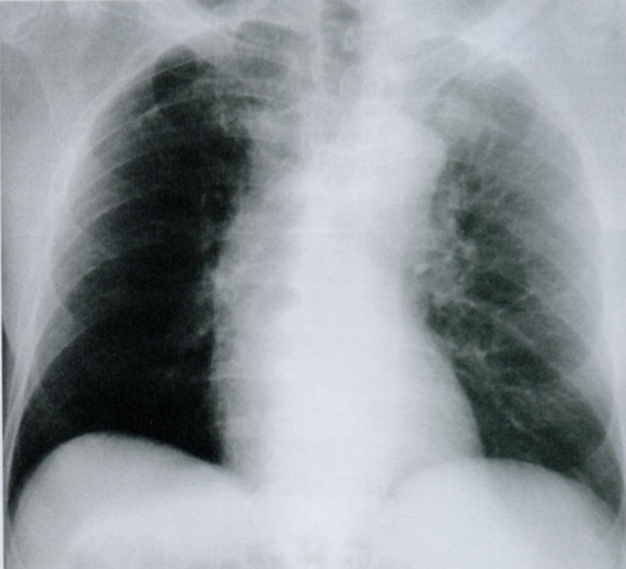
Q

На снимке в правом легочном поле мы видем участок инфильтрации. Справа легкое имеет три доли. В данную проекцию попадают СД и НД. В какой из них расположена инфильтрация и почему Вы пришли к такому выводу?

Запомните: если на фоне измененного легочного рисунка виден силуэт сердечной тени - затенение распологается в заднем отделе НД, а если силуэт не определяется - в переднем отделе СД.

A

КТ на уровне правого предсердия (2), с инфильтрацией (37) в СД (33), которая соприкасается с ПП (2).

Инфильтрация и окружающих отек повышают плотность легочной ткани до плотности, эквивалентной сердечной тени.

В результате граница между инфильтратом и контуром сердца не визуализируется.

Ответ: инфильтрат раполается в переднем отделе СД правого легкого.

26 - грудные позвонки
2 - правое предсердие
7 - восходящая аорта
9 - легочный ствол
3 - левое предсердие
8 - нисходящая аорта
30 - косая щель
33 - средняя доля
34 - нижняя доля

Запомните: если на фоне измененного легочного рисунка виден силуэт сердечной тени - затенение распологается в заднем отделе НД, а если силуэт не определяется - в переднем отделе СД.

How well did you know this?
1
Not at all
2
3
4
5
Perfectly
8
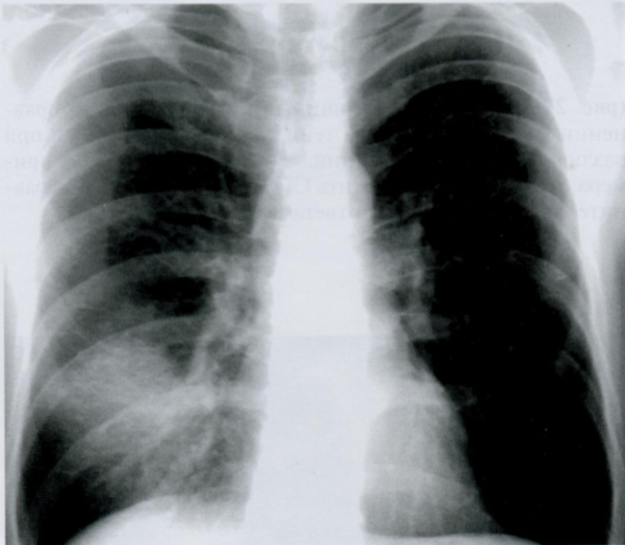
Q

На снимке в правом легочном поле мы видем участок инфильтрации. Справа легкое имеет три доли. В данную проекцию попадают СД и НД. В какой из них расположена инфильтрация и почему Вы пришли к такому выводу?

Запомните: если на фоне измененного легочного рисунка виден силуэт сердечной тени - затенение распологается в заднем отделе НД, а если силуэт не определяется - в переднем отделе СД.

A

КТ на уровне правого предсердия (2), с инфильтрацией (37) в правой НД (34), которая соприкасается с ПП (2).

Инфильтрация и окружающих отек не соприкасаются с сердцем, поэтому на снимке сохраняется контрастность и контур сердца.

Ответ: инфильтрат раполается в НД правого легкого.

26 - грудные позвонки
2 - правое предсердие
7 - восходящая аорта
9 - легочный ствол
3 - левое предсердие
8 - нисходящая аорта
30 - косая щель
33 - средняя доля
34 - нижняя доля

Запомните: если на фоне измененного легочного рисунка виден силуэт сердечной тени - затенение распологается в заднем отделе НД, а если силуэт не определяется - в переднем отделе СД.

How well did you know this?
1
Not at all
2
3
4
5
Perfectly
9
Q

В каком порядке мы оцениваем рентгенограмму грудной клетки?

A
  1. Проекция + качество
  2. Грудная клетка: скелет + мягкие ткани
  3. Диафрагма + контуры плевры
  4. Средостение + корни легких
  5. Паренхима
  6. Инородные тела
How well did you know this?
1
Not at all
2
3
4
5
Perfectly
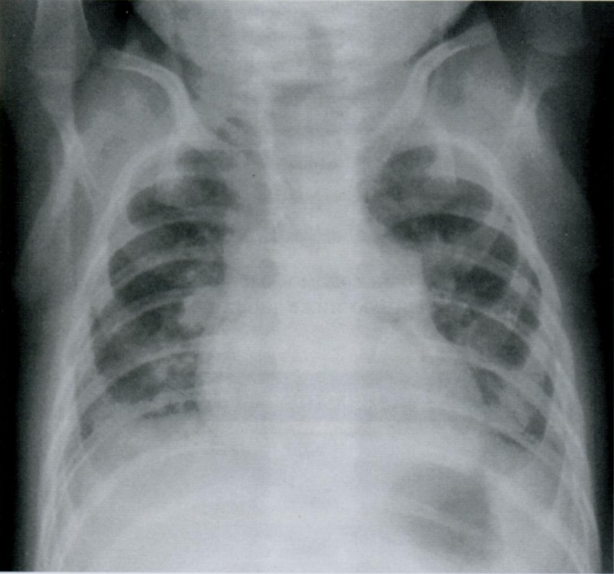
10
Q

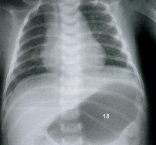
Данная рентгенография грудной клетки ребенка выполнена “на крике”. Что Вы можете отметить?

Оцените признаки наличия полнокровия/инфильтрации/аспирации мекония.

На данный момент обучения, возможно, Вы еще не знакомы с Rx-признаками пневмонии/аспирации мекония, однако визуально посмотрите на снимок и отметитьте некоторые черты, которые притягивают внимание.

Какие-то инфильтраты и полнокровие точно есть. И тут Вы начнете думать: почему? Пациент явно ребёнок. Аспирация? Пневмония?

Мы смотрим снимке ВСЕГДА в контексте клинической картины, но тут просто поразмыслим.

A

Ниже представлен снимок того же ребенка, который перестал плакать и лаборант успел выполнить повторный снимок.

Мы видим нормальную рентгенограмму грудной клетки (чистые легочные поля), и аэрофагию (18) - воздух в желудке, проглоченный во время плача.

Мораль: необходимо определить в какой фазе дыхания был выполнен снимок + ВСЕГДА иметь клинический контекст.

How well did you know this?
1
Not at all
2
3
4
5
Perfectly
11
Q

Отметьте линии, соотвествующие границам верхней, средней и нижней долей легких.

A
How well did you know this?
1
Not at all
2
3
4
5
Perfectly