Курс Rx - Сердце Flashcards

(13 cards)

1
Q

Какие преимущества у Rx грудной клетки в контексте оценки состояния сердца?

A

Традиционная рентгенография грудной клетки является быстрым, объективным и недорогим методом исследования сердца. Ее легко выполняет лаборант без присутствия врача.

Разумеется, эхокардиография дает намного более точную информацию о функции желудочков, состоянии перикарда и клапанов сердца. Например, можно измерить площадь клапанного отверстия и оценить необходимость оперативного вмешательства у больного со стенозом клапана.

Но, поскольку рентгенография позволяет одновременно оценивать состояние легких, средостения и грудной клетки, она по-прежнему остается незаменимым и повсеместно используемым методом исследования сердца.

How well did you know this?
1
Not at all
2
3
4
5
Perfectly
2
Q

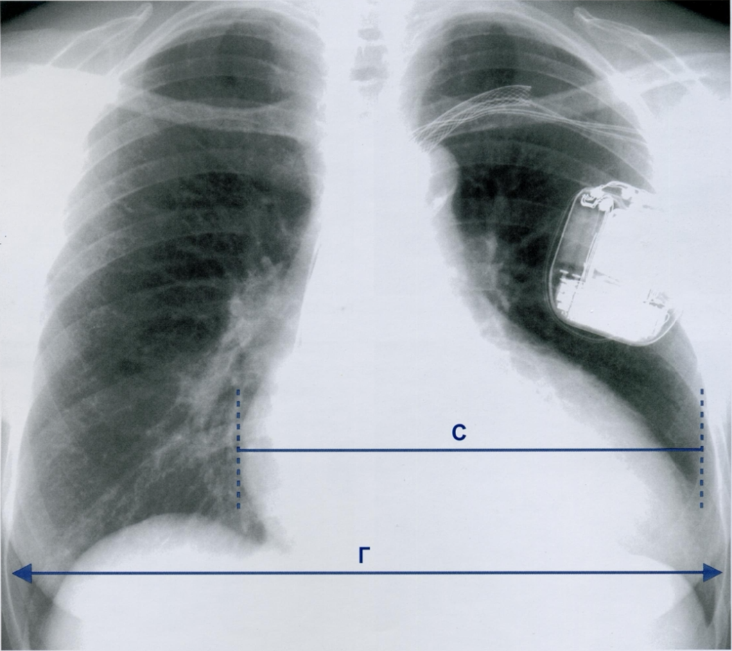
Что такое сердечно-грудной индекс (СГИ)?

Оцените СГИ на приведенном снимке.

A

Наиболее частая причина расширения сердечной тени в нижнем средостении (кардиомегалии) - дилатация камер сердца.

Размеры тени сердца оцениваются по сердечно-грудному индексу (СГИ). Если СГИ больше 0,5 (снимок), говорят о кардиомегалии.

В приведенном примере максимальная ширина сердечной тени составляет 22,3 см (С), тогда как общий диаметр грудной клетки (Г) между внутренними латеральными краями ребер равен 33,5 см. Соотношение С/Г в этом случае (22,3/33,5) составляет 0,66, что подтверждает наличие кардиомегалии.

How well did you know this?
1
Not at all
2
3
4
5
Perfectly
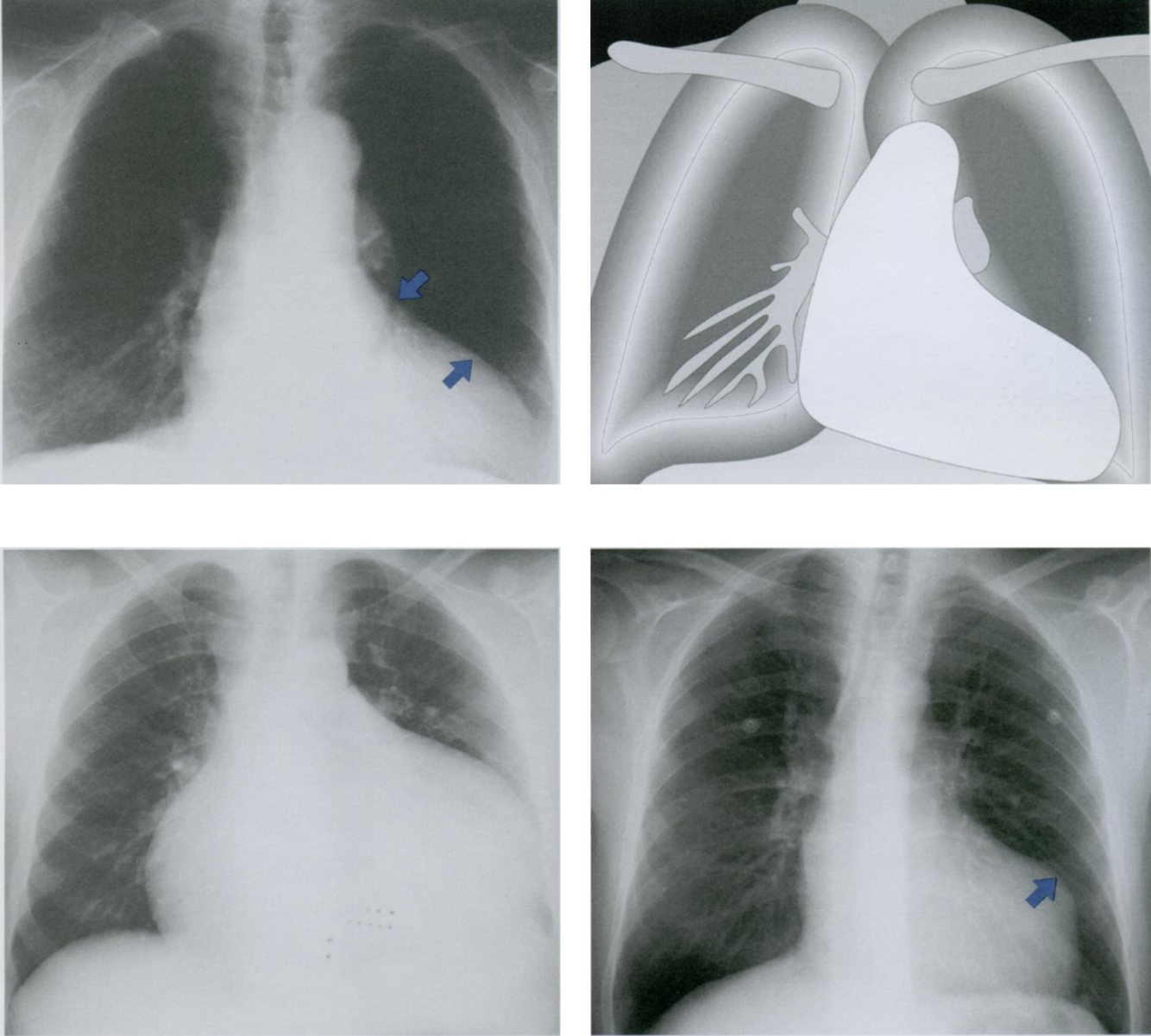
3
Q

Оцените Rx снимки.

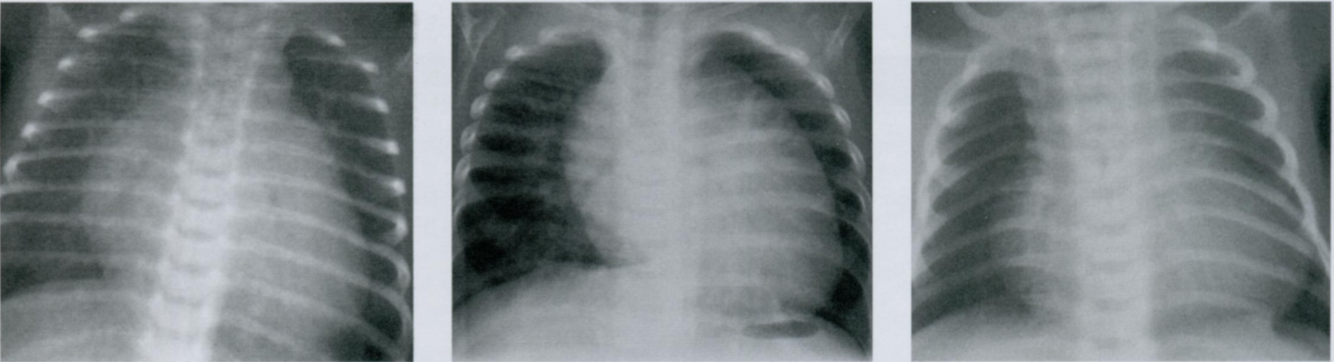
Назовите рентген-признаки митрального стеноза.

A

Стеноз митрального клапана нарушает опорожнение левого предсердия (ЛП),
а недостаочность приводит к рефлюксу крови в ЛП - это служит причиной его расширения.

В результате пороки митрального клапана приводят к формированию митральной конфигурации левого контура сердца на рентгенограмме грудной клетки (первый снимок).

Дилатация левого предсердия приводит к расширению талии сердца (косая стрелка) и может вызывать симптом двойного контура (синяя область втором рисунке).

Дилатация левого предсердия может быть настолько выражена, что его тень достигает правого контура средостения (горизонтальная стрелка на втором рисунке).

Расширение предсердия может увеличивать угол бифуркации трахеи (косые стрелки смотрят вверх) между правым (14) и левым (14b) главными бронхами (третий и четвертый снимки), подобно увеличенным подкаринным ЛУ или массивному перикардиальному выпоту.

How well did you know this?
1
Not at all
2
3
4
5
Perfectly
3
Q

Оцените Rx снимки.

Назовите рентген-признаки патологий аортального клапана.

A

Патология аортального клапана часто формирует аортальную конфигурацию сердца на рентгенограмме грудной клетки (первый и второй снимки).

Основной механизм возникновения тот же, что и при патологии митрального клапана. Стеноз или недостаточность аортального клапана приводят к гипертрофии или дилатации левого желудочка. В результате край левого желудочка (косая стрелка вверх) смещается влево при сохранении талии сердца (косая стрелка вниз).

«Бычье сердце» (третий снимок) - термин, обозначающий крайнюю степень увеличения тени сердца в обе стороны с СГИ более 0,66. Возможными причинами являются тяжелая степень аортальной недостаточности, кардиомиопатия и сочетанные пороки сердца.

В отличие от равномерного увеличения сердечной тени при дилатации его камер (третий снимок), аневризма желудочка проявляется округлым выпячиванием (стрелка на четвертом снимке) на контуре тени сердца (четвертый снимок). В сомнительных случаях диагноз устанавливается при эхокардиографии, когда определяется парадоксальное сокращение (дискинезия) стенки левого желудочка в области аневризмы.

How well did you know this?
1
Not at all
2
3
4
5
Perfectly
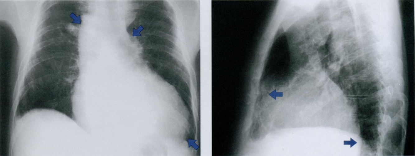
4
Q

Дифференциальный диагноз: стеноз или недостаточность

A

Существует несколько критериев для рентгеновской дифференциальной диагностики клапанных пороков сердца.

При митральном стенозе тень сердца имеет типичную митральную конфигурацию с расширенной талией. Уменьшение кровотока через митральный клапан приводит. к расширению левого предсердия, тогда как размеры левого желудомка остаются нормальными.

На рентгенограмме в боковой проекции после приема внутрь контрастного препарата можно установить характер дилатации левого предсердия. При этом пищевод заметно отклоняется от своего нормального (первые два снимка) вертикального хода - появляется выпуклость кзади на уровне левого предсердия (второй и третий снимки). Кроме того, при хроническом митральном стенозе определяются признаки венозного полнокровия из-за «блокирования» крови в малом круге кровообращения.

Митральная недостаточность приводит к дилатации левого предсердия с формированием митральной конфигурации тени сердца. Кроме того, двунаправленный кровоток приводит к перегрузке левого желудочка объемом.

Возникающее при этом расширение левого желудочка (косая стрелка вниз) можно оценить по сужению ретрокардиального пространства (13) на рентгенограмме в БП (четвертый снимок).

Это сужение возникает на более низком уровне (третий снимок), чем при дилатации левого предсердия. В результате исчезает треугольник НПВ (11), обнаруживаемый на предыдущей рентгенограмме, что является ранним симптомом начинающейся дилатации левого желудочка.

How well did you know this?
1
Not at all
2
3
4
5
Perfectly
5
Q

Характеристика сердца на Rx при митральном стенозе

A
How well did you know this?
1
Not at all
2
3
4
5
Perfectly
6
Q

Характеристика сердца на Rx при митральной недостаточности

A
How well did you know this?
1
Not at all
2
3
4
5
Perfectly
7
Q

Характеристика сердца на Rx при аортальном стенозе

A

При изолированном аортальном стенозе, не сопровождающемся аортальной недостаточностью, тень сердца вначале имеет неизмененные размеры, поскольку вначале перегрузка давлением вызывает лишь концентрическую гипертрофию миокарда левого желудочка.

Часто наблюдается постстенотическое расширение восходящего отдела аорты, но его степень напрямую не зависит от тяжести стеноза. При рентгеноскопии нередко видны обызвествления в проекции аортального клапана, но они могут наблюдаться и при отсутствии гемодинамически значимого стеноза.

How well did you know this?
1
Not at all
2
3
4
5
Perfectly
8
Q

Характеристика сердца на Rx при аортальной недостаточности

A

У пациентов с аортальной недостаточностью перегрузка объемом приводит к ранней эксцентрической дилатации левого желудочка, которая формирует аортальную конфигурацию левого края тени сердца. Поэтому на рентгенограммах в ЗПП увеличение СГИ возникает раньше, чем при аортальном стенозе.

При первичной недостаточности аортального клапана диаметр просвета аорты остается неизменным. Но когда недостаточность вторичная, за счет аневризмы восходяще-. го отдела аорты, определяются характерные признаки расширения аорты.

How well did you know this?
1
Not at all
2
3
4
5
Perfectly
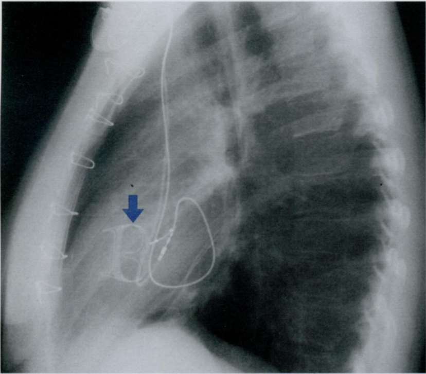
9
Q

Оцените Rx снимок. Предположите, какую структуру мы видим?

A

Первичное поражение трехстворчатого клапана, ранее очень редкое, в последние годы участилось в связи с ростом наркомании.

Инфекционное поражение клапана часто развивается после внутривенных инъекций с нестирильными иглами. На Rx показан пример трикуспидальной недостаточности, сопровождающейся стойкой брадиаритмией у женщины-наркоманки.

В данном случае проведено протезирование клапана (стрелка смотрит вниз) и имплантация искусственного вводителя ритма.

How well did you know this?
1
Not at all
2
3
4
5
Perfectly
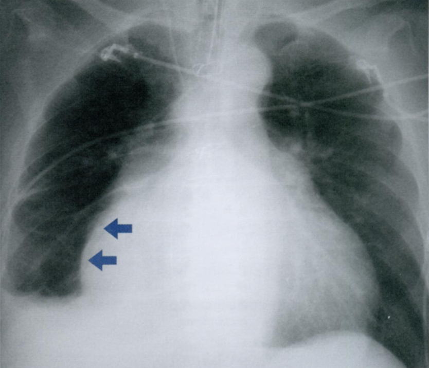
10
Q

Оцените Rx снимок. Какие признаки трикуспидальной недостаточности Вы видите?

A

Относительно часто встречается трикуспидальная недостаточность, которая может развиваться, например, при митральном стенозе.

Клапан становится неполноценным из-за миогенной дилатации правого желудочка и кольца трехстворчатого клапана. Дилатация правого предсердия приводит к значительному расширению тени сердца вправо на рентенограмме в ЗПП (стрелки).

How well did you know this?
1
Not at all
2
3
4
5
Perfectly
11
Q

На снимках мы видим 3 разных врожденных порока сердца. Назовите каждый из них. Чем они отличаются?

A

Основная задача рентгенологического исследования при врожденных пороках сердца - различить пороки, сопровождающиеся увеличением и уменьшением кровотока в малом круге кровообращения. Расширение тени сердца является неспецифическим симптомом и зависит от степени тяжести порока.

Дефект межжелудочковой перегородки (ДМЖП, первый снимок) и открытый артериальный проток (второй снимок)
являются характерными врожденными пороками с лево-правым сбросом крови и увеличением перфузии легких.

В противоположность этому, такие пороки, как атрезия легочного ствола (третий снимок) и тетрада Фалло характеризуются уменьшением легочного кровотока, что вызывает обеднение легочного рисунка (повышение прозрачности легочных полей) на рентгенограммах грудной клетки.

How well did you know this?
1
Not at all
2
3
4
5
Perfectly
12
Q

Оцените Rx снимок. Какой ВПС Вы видете? Какие его характеристики Вы знаете?

A

Тетрада Фалло (снимки) - наиболее часто встречающийся синий врожденный порок сердца. Это комбинированный порок, включающий ДМЖП, правостороннее расположение аорты и первичный стеноз устья легочного ствола, что приводит к гипертрофии правого желудочка.

Рентгенологическими симптомами являются увеличение правого желудочка с приподнятостью верхушки сердца (косые стрелки на первом снимке), маленький или отсутствующий легочной ствол (косая стрелка слева на первом снимке) и, в 25 % случаев, правостороннее расположение дуги аорты (косая стрелка справа на первом снимке).

В приведенном примере СГИ составляет 0,66, но он не всегда увеличен. На рентгенограмме в БП также отмечается характерное расширение правого желудочка (тсрелки на втором снимке), которое в данном случае сочетается с расширением левого желудочка (второй снимок, горизонтальная стрелка кзади).

Стеноз легочного ствола приводит к уменьшению легочных сосудов, что обычно сопровождается компенсаторным расширением артерий бронхов, отходящих от аорты. Эти сосуды можно обнаружить в виде прямых внутрилегочных линий (снимок ниже).

Часто с паллиативной целью при тетраде Фалло выполняется операция Блалока-Тауссига. При этом подключичную артерию пересекают проксимальнее устья внутренней грудной артерии и анастомозируют с легочной артерией, что увеличивает кровоток в легких. Верхняя конечность получает ретроградный кровоток из внутренней грудной артерии, которая кровоснабжается из межреберных артерий, отходящих от аорты.

Увеличение кровотока в межреберных артериях приводит к появлению борозд узурации по нижнему краю ребер (снимок ниже, стрелки). Эта узурация определяется лишь на стороне шунтирования, в отличие от двусторонней узурации при коарктации аорты.

How well did you know this?
1
Not at all
2
3
4
5
Perfectly