Курс Rx - Плевра Flashcards

(18 cards)

1
Q

Оцените снимки.

Что отмечено стрелками? Каковы функции плевры, какая её нормальная ширина?

Где в норме визуализируется плевра на Rx снимках?

A

Функция плевры состоит в снижении трения между грудной стенкой и легким во время дыхательных движений. Ее нормальная ширина составляет 0,2-0,4 мм. При отсутствии патологических утолщений тонкая линия плевры видна лишь в местах, где рентгеновский луч проходит ее по касательной.

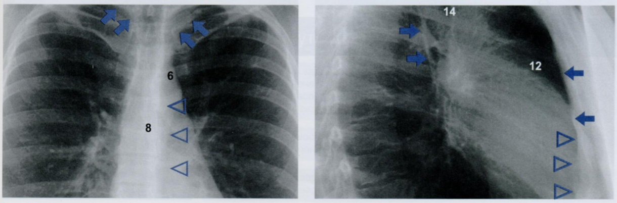
На снимке контурной стрелкой показана «парааортальная полоска», образованная за сердцем тенью плевры, примыкающей к нисходящей аорте (8). Подобная картина наблюдается и в области верхушек. Плевральная линия выглядит, как продолжение заднего сегмента второго ребра с каждой стороны в медиальном направлении. Обе линии соединяются над дугой аорты (6), образуя вертикальную линию.

На рентгенограмме в БП по заднему краю трахеи (14) определяется ретротрахеальная полоска (закрашенная стрелка). Кроме того, в базальных отделах (12) - загрудинная полоска (контурная стрелка). Эта полоска образуется за счет жировой клетчатки эпикарда, и ее не следует путать с участком уголщенной плевры.

Кроме того, париетальная плевра хорошо видна несколько выше, где она выглядит, как волнистая линия из-за периодических вдавлений в межреберные промежутки. В норме плевра выглядит как тонкая, гладкая, ровная линия.

How well did you know this?
1
Not at all
2
3
4
5
Perfectly
2
Q

Оцените снимки.

Что отмечено стрелками? Мы можем это расценить как патологическое утолщение плевры?

A

Некоторые участки плевры могут выглядеть расширенными или неровными, и это не следует принимать за патологическое утолщение.

В частности, линия париетального листка плевры хорошо видна в ЗПП (первый снимок). Она имеет волнистый характер из-за того, что повторяет анатомические контуры межреберных промежутков (сравните со вторым снимком).

На втором снимке верхушечная плевра расположена по касательной к ходу рентгеновского излучения и поэтому выглядит, как сопровождающее затенение вдоль нижнего края второго ребра (22).

How well did you know this?
1
Not at all
2
3
4
5
Perfectly
3
Q

Оцените снимки.

Что отмечено стрелками? Мы можем это расценить как патологическое утолщение плевры?

A

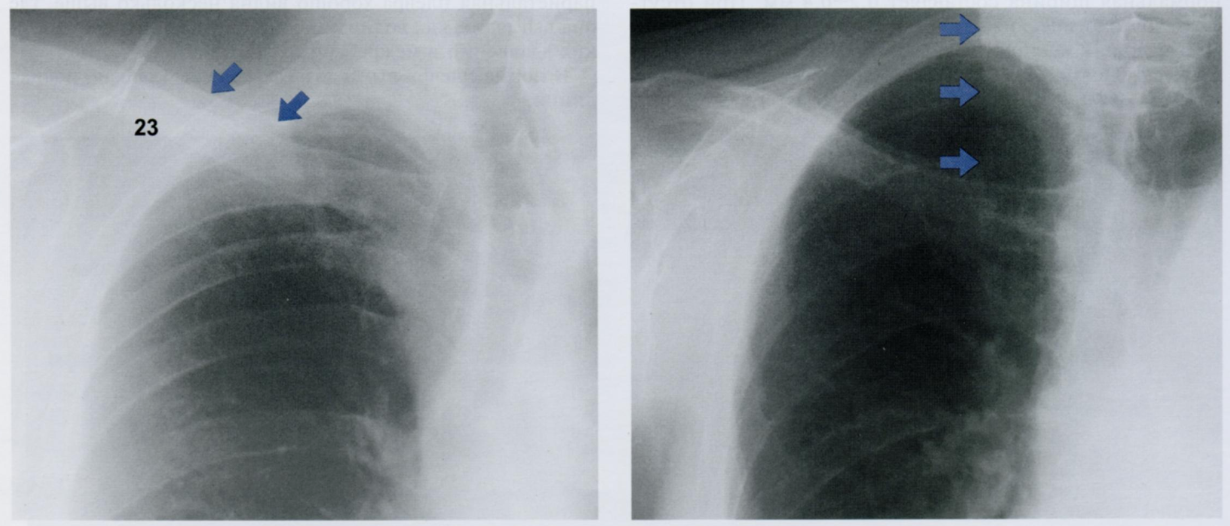
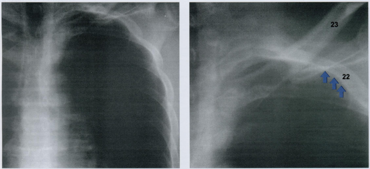
На первом снимке затенение выше ключицы (косые стрелки) образовано складкой кожи над ключицей (23), поскольку складка расположена по касательной к направлению рентгеновского излучения. Эта тень не имеет никакого отношения к плевре. Чем больше глубина надключичной ямки, тем лучше видна эта тень.

На втором снимке определяется вертикальная линия на уровне купола правого легкого. Это нормальное рентгеновское изображение грудино-ключично-сосцевидной мышцы, край которой расположен по касательной к ходу рентгеновского излучения.

Будьте внимательны, чтобы не принять тень, сопровождающую ключицу, или вертикальную тень от грудино-ключично-сосцевидной мышцы за тень плевры.

How well did you know this?
1
Not at all
2
3
4
5
Perfectly
4
Q

Оцените снимок.

Что отмечено стрелками? Мы можем это расценить как патологическое утолщение плевры?

Как причины и признаки на Rx утолщения плевры?

A

Утолщение плевры может быть очаговым или распространенным. Его причины самые разнообразные, от поствоспалительных изменений (самая частая причина) до опухолей плевры.

Рентгенологическая картина утолщения зависит от его расположения и морфологии. Области утолщения плевры на латеральной стенке грудной клетки в ЗПП будут четко видны из-за хода луча по касательной.

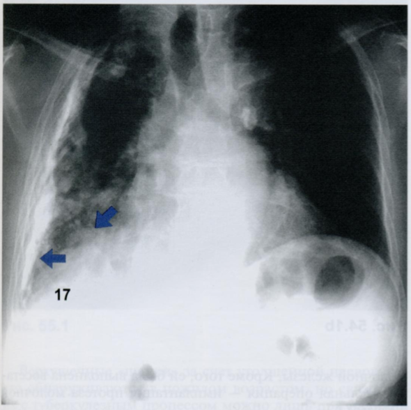
На снимке определяются обызвествления плевры на правой стороне грудной стенки. Прилежащий нижний отдел легкого (косая стрелка) и диафрагма (17) слегка деформированы за счет кальциноза.

Утолщение плевры на передней или задней поверхности грудной стенки выглядит на снимке в ЗПП одинаково - в виде диффузного или пятнистого затенения.

How well did you know this?
1
Not at all
2
3
4
5
Perfectly
5
Q

Оцените снимок.

Что отмечено стрелками? Как мы отличим обызвествления плевры от внутрилегочных образований?

В каком случае мы подозреваем наличие опухоли при утолщении плевры? Когда рекомендует проводить КТ органов грудной клетки?

A

На снимке отмечены двусторонние обызвествления плевры (косые стрелки), которые проецируются посреди легочного поля из-за их расположения на передней и задней поверхностях грудной стенки. Эти обызвествления не следует принимать за внутрилегочные образования. Кроме того, утолщение плевры (горизонтальная стрелка) определяется на латеральных поверхностях грудной стенки с обеих сторон

Наличие ограниченного утолщения плевры размером более 1 см должно вызвать подозрение об опухоли.

Утолщение париетального и висцерального листков можно дифференцировать при помощи УЗИ или рентгеноскопии в реальном масштабе времени: образования висцеральной плевры повторяют дыхательные движения легких, тогда как в случае расположения на париетальной плевре или в самой грудной стенке происходит повторение движений ребер.

Если толщина плевры превышает 3 мм, необходимо провести компьютерную томографию. КТ-исследование позволяет отличить патологию плевры от изменений в прилегающих тканях.

How well did you know this?
1
Not at all
2
3
4
5
Perfectly
6
Q

Какова рентгеносемиотика утолщения плевры?

A

Наложения на задней или передней поверхности выглядят как диффузные затенения с нечеткими контурами.

Наложения, расположенные по касательной к направлению рентгеновского излучения, имеют линейную форму и четкие контуры.

How well did you know this?
1
Not at all
2
3
4
5
Perfectly
7
Q

Основная причина утолщения плевры?

A

Последствие воспалительных (после плеврита) изменений; чаще всего одиночное, ограниченное утолщение.

How well did you know this?
1
Not at all
2
3
4
5
Perfectly
8
Q

Ключевые размеры утолщения плевры?

A

Утолщение плевры неустановленного характера > 3 мм: рекомендуется КТ.

Утолщение плевры > 1 см: подозрение на опухоль.

How well did you know this?
1
Not at all
2
3
4
5
Perfectly
9
Q

Оцените снимки.

Что из себя представляет фиброз плевры?

На этом снимке довольно сложно разглядеть хирургические клипсы (52).

A

Фиброз плевры может развиться вследствие воспалительных изменений плевры или выпота в плевральную полость и чаще поражает висцеральный листок. Он представляет собой грануляционную ткань, которая может вторично обызвествляться. Первичный плевральный фиброз не имеет большого значения.

На снимках, особенно на боковой проекции (стрелки), заметны переднебазальные фиброзные наложения. В 3ПП они скрыты тенью сердца .

В этом случае фиброзные наложения являются следствием воспалительных изменений, развившихся после операции аортокоронарного шунтирования и протезирования клапана.

На этом снимке довольно сложно разглядеть хирургические клипсы (52).

How well did you know this?
1
Not at all
2
3
4
5
Perfectly
10
Q

Оцените снимки.

Что из себя представляет фиброз плевры?

A

Физброз представляет собой грануляционную ткань, которая может вторично обызвествляться.

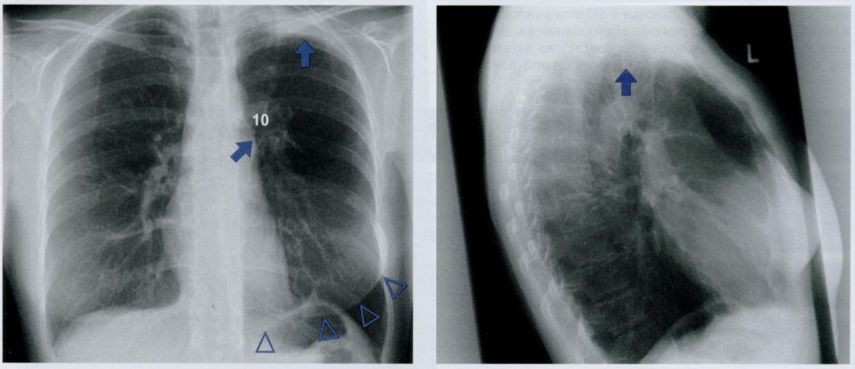
Плевральный фиброз может развиться как отдаленное последствие лучевой терапии. На снимке определятся подозрительное утолщение плевры в области верхушки (вертикальная стрелка) левого легкого, напоминающее шапку. Фиброз вызвал значительное смещение корня кверху (10) с этой же стороны.

За несколько лет до этого снимка пациентка проходила курс лучевой терапии по поводу рака молочной железы. Кроме того, ей была выполнена восстановительная операция - имплантация протеза молочной железы (контурные стрелки).

На рентгенограмме в БП плевральную «шапку» (стрелка) обнаружить труднее, чем на снимке в ЗПП, из-за наложения различных анатомических структур, что делает более высокой вероятность ошибки.

How well did you know this?
1
Not at all
2
3
4
5
Perfectly
11
Q

Оцените снимки.

Что из себя представляет фиброз плевры?

A

Физброз представляет собой грануляционную ткань, которая может вторично обызвествляться.

На снимке приведен пример плеврального фиброза в базальном отделе слева (стрелка). Изменения плевры в базальном отделе могут симулировать выпот с небольшим количеством жидкости из-за того, что реберно-диафрагмальный синус выглядит размытым.

Междолевой фиброз (стрелки) с обеих сторон граничит с воздушной тканью легкого и по этому отчётливо определяется в виде линейной тени (второй снимок).

На этой ренттенограмме также имеется утолщение плевры (горизонтальная стрелка) слева в латеральных отделах и сопутствующий выпот в плевральной полости (41).

How well did you know this?
1
Not at all
2
3
4
5
Perfectly
12
Q

Оцените снимки.

Что из себя представляет фиброз плевры?

A

Физброз представляет собой грануляционную ткань, которая может вторично обызвествляться.

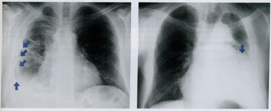
Верхушечные «шапки» за счет утолщенной плевры часто обнаруживаются в пожилом возрасте, но связывать их с туберкулезным процессом можно лишь при наличии внутрилегочного поражения. В этом случае верхушечные «шапки» более выражены.

На первом снимке показаны двусторонние плевральные «шапки» у пациента с туберкулезом. Натяжение фиброзной ткани на верхушках вызвало смещение обоих корней кверху (косые стрелки).

На рентгенограмме в БП четко видна полосовидная текстура плотного интерстиция (горизонтальные стрелки). Кроме того, на тень сердца проецируются очаги фиброза в переднебазальных участках плевры (косые стрелки, смотрят вниз).

How well did you know this?
1
Not at all
2
3
4
5
Perfectly
13
Q

Оцените снимок.

Что из себя представляют плевральные бляшки?

Какие варианты абестоза плевры Вы знаете?

A

Плевральные бляшки представляют собой очаговые утолщения париетальной плевры. Они состоят из скопления гиалинизированных коллагеновых волокон, почти всегда образующихся в результате асбестозной пролиферации.

Они часто развиваются в латеральных отделах грудной стенки и в базальном отделе около диафрагмы. В отличие от остаточных изменений после воспалительного процесса, асбостозные изменения («асбестоз плевры») часто приводят к двусторонному утолщению париетальной плевры.

У пациента на снимке определяются двусторонние диафрагмальные плевральные бляшки и дополнительные бляшки рядом с перикардом (стрелки).

Варианты асбестоза плевры представлены на схеме.

How well did you know this?
1
Not at all
2
3
4
5
Perfectly
14
Q

Оцените снимки.

Что из себя представляют плевральные бляшки?

Какие варианты абестоза плевры Вы знаете?

A

Плевральные бляшки представляют собой очаговые утолщения париетальной плевры. Они состоят из скопления гиалинизированных коллагеновых волокон, почти всегда образующихся в результате асбестозной пролиферации.

На снимке показано утолщение плевры при асбестозе и плевральные шварты (стрелки).

Результаты КТ на подтверждают наличие фиброзных изменений (стрелки) на плевре латерально с левой стороны с множественным распространением на междольковые перегородки.

Варианты асбестоза плевры представлены на схеме.

How well did you know this?
1
Not at all
2
3
4
5
Perfectly
15
Q

Из каких клеток плевры возникают первичные опухоли плевры?

Откуда метастазируют вторичные опухоли (нарисуйте схему)?

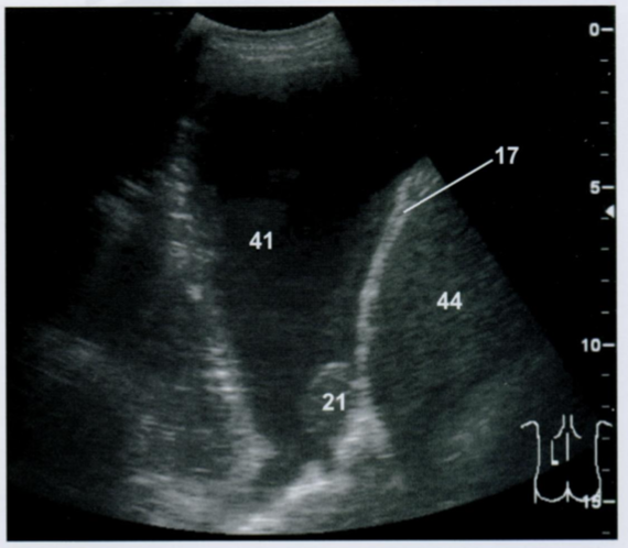
Опишите УЗИ картину плевры и легкого.

A

Первичные опухоли плевры возникают из мезотелия, но чаще встречаются вторичные новообразования. Это, прежде всего, метастазы опухолей легких, молочной железы, поджелудочной железы, яичников и толстой кишки или прорастание злокачественных новообразований в плевральную полость.

Возможные пути инвазии и метастазирования показаны на схеме ниже.

В то время, как периферический рак легкого часто прорастает в плевральную полость, центральный поражает ЛУ в корнях.

При ультразвуковой визуализации показаны плевральный метастаз (21) с сопутствующим выпотом (41) у пациента с раком легкого. Метастаз расположен с грудной стороны диафрагмы (17) на париетальной плевре над селезенкой (44).

How well did you know this?
1
Not at all
2
3
4
5
Perfectly
16
Q

Оцените снимки.

Обратите внимание на диафрагму и верхушку пораженного легко. Как называется эта опухоль?

A

Рентгеновская томография и КТ дают более детализированную информацию об опухолях плевры.

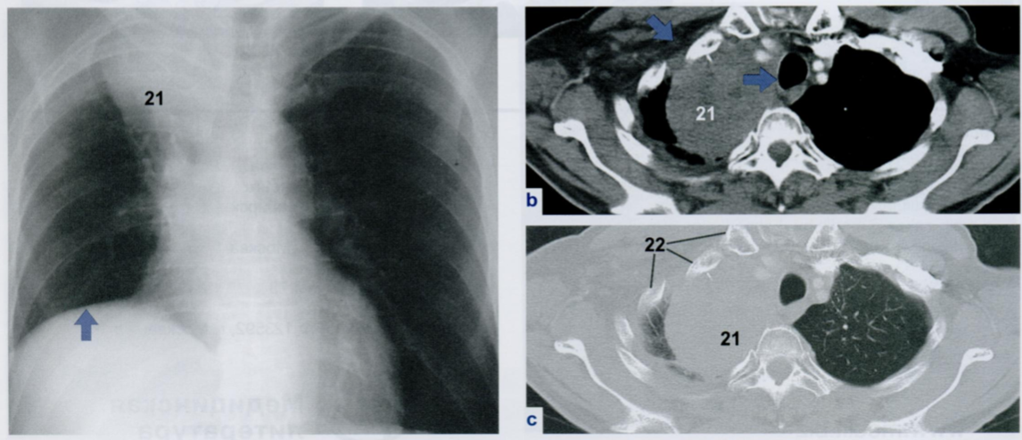
На Rx снимке показан пациент с опухолью Панкоста (21) в верхушке правого легкого.

Причина высокого стояния купола диафрагмы (стрелка) на стороне поражения заключается в параличе правого диафрагмального нерва, вызванном прорастанием опухоли.

При КТ четко видна инфильтрация мягких тканей грудной стенки (косая стрелка). Также определяются неоднородная структура опухоли (21) и смещение средостения влево (горизонтальная стрелка).

Однако сканирование в легочном окне (нижнее КТ) показываст, что узурации верхних ребер (22) пока еще отсутствуют.

17
Q

Что такое “правило Ленка”?

Оцените схему и снимки.

A

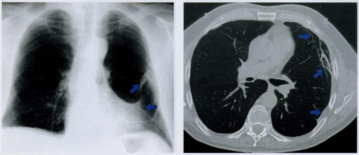
Правило Ленка (схема) помогает установить, исходит ли внутригрудное образование (21) из плевры или легочной ткани.

Образования плевры на боковой стенке грудной клетки, видимые в профиль, образуют с грудной стенкой тупой угол (> 90°) (первая Rx). Это отличает их от внутрилегочных образований, расположенных рядом с плеврой, которые образуют с грудной стенкой острый угол (< 90°) (вторая Rx).

18
Q

Что такое мезотелиома плевры? Краткие характеристики.

Как мы отличим мезотелиому от вторичной опухоли?

A

Мезотелиома плевры - злокачественная опухоль, часто возникающая на фоне асбестозного поражения плевры.

Обычно это односторонние диффузные распространенные узловые утолщения, которые могут располагаться вдоль края легкого или средостении, а также соприкасаться с диафрагмой или возникать в междолевой щели. Характерно появление сопутствующего плеврального выпота.

Признаками далеко зашедшего процесса являются двустороннее поражение, а также прорастание в легкие и перикард.

На первом снимке определяется заметное узловое утолщение плевры (косая стрелка вниз) по краю правого легкого и выпот в реберно-диафрагмальном синусе с той же стороны (стрелка вверх).

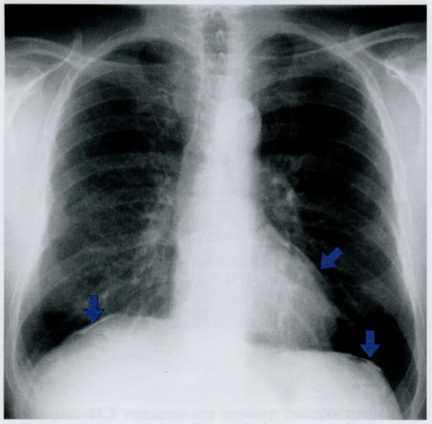
На втором снимке видна большая мезотелиома плевры (стрелка вниз), которая смещает значительную часть левого легкого и сливается с левым контуром сердца. Аналогичные изменения наблюдаются при КТ. Лучевая диагностика при необходимости дополняется биопсией плевры.

Денситометрия помогает отличить простые фиброзные изменения плевры от мезотелиом и вторичных опухолей (21). Плотность новообразования обычно повышается с исходных 40 HU до 80 HU после введения контрастного вещества.