Курс Rx - Грудная клетка: скелет и мягкие ткани Flashcards

(23 cards)

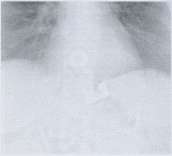
1
Q

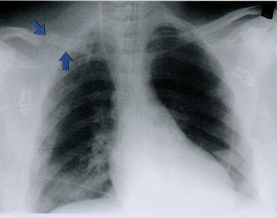
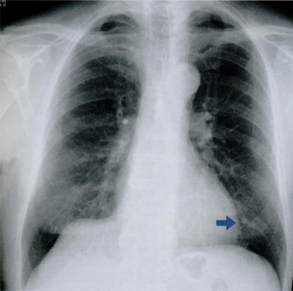
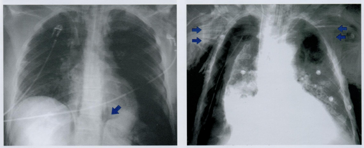
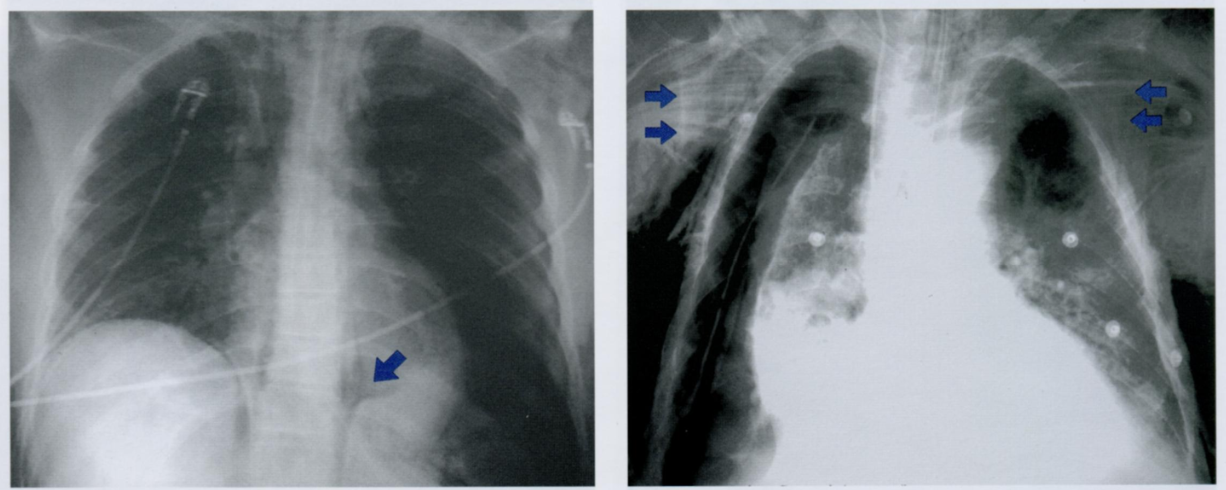
Оцените ассиметричность мягких тканей на снимке.

Обратите внимание на тень молочной железы (стрелочки), оцените симметричность теней слева и справа.

Ассиметрия прозрачности может наблюдаться после мастэктомий, радикального иссечения шейных лимфатических узлов, посттравматической гематомы грудной стенки, гепертрофии/атрофии мышц.

С чем может быть связана ассиметрия прозрачности легкого на рентгенограмме у пациента в положении лежа?

A

Пациентка после левосторонней мастэктомии с просветлением в нижних отделах с соотвествующей стороны (звездочка) в связи с отсутствием молочной железы (стрелочки).

Если есть сомнения, можно внимательнее рассмотреть подмышечную область на предмет возможного наличия металических клипс после иссечения ЛУ подмышечной впадины (фото ниже).

Ключевой момент - не ошибиться, принимая уменьшение прозрачности с одной стороны за выпот или внутрилегочное образование.

Вспомните, что в положении лежа ассиметричность легочных полей может быть связана с ассиметричным засвечиванием снимка, что освещается в теме “интрепретация изображений” (применение отсеивающей решетки и положение рентгеновской трубки/кассеты).

How well did you know this?
1
Not at all
2
3
4
5
Perfectly
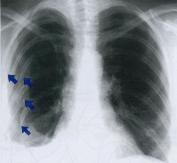
2
Q

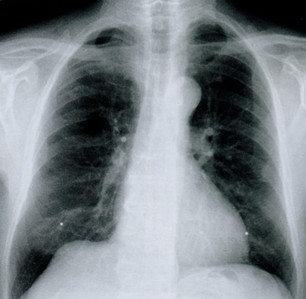
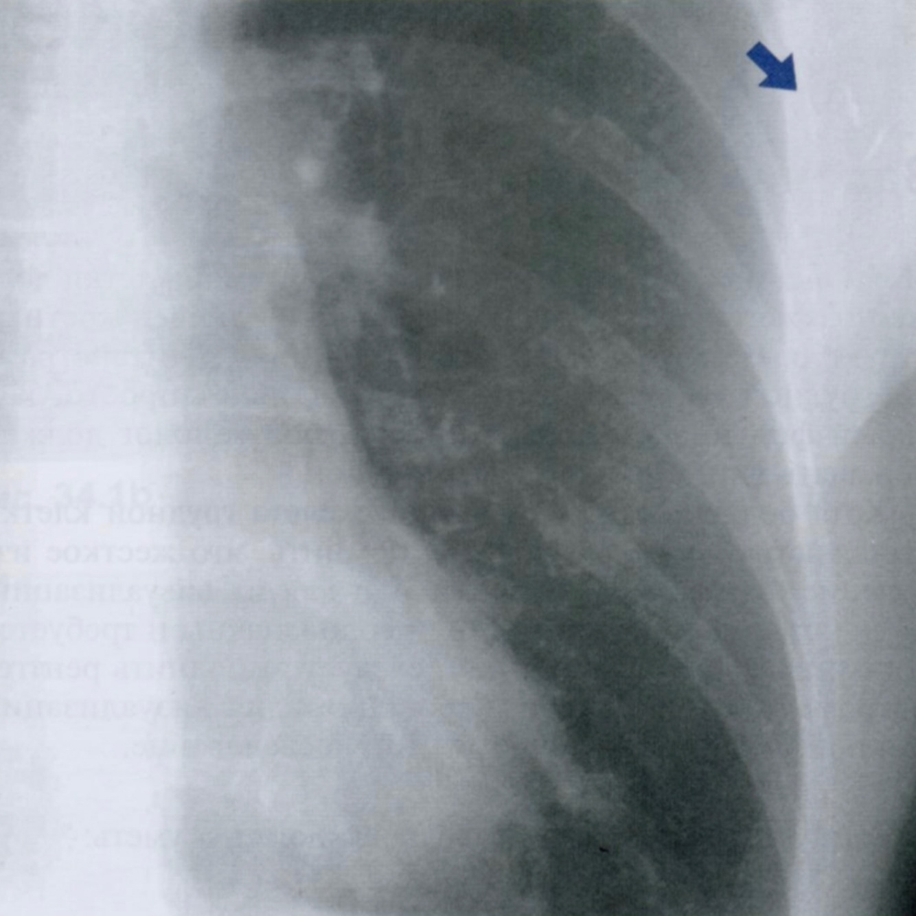
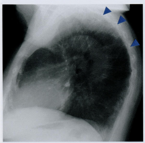
Как вы оцените объект, отмеченный стрелкой?

A

Это очередной источник недоразумения, который может быть интрепертирован, как внутрилегочное образование. Этот соски.

В некоторых случаях после пометки сосков накожными металлическими маркерами выполняется контрольная рентгенограмма (фото ниже).

How well did you know this?
1
Not at all
2
3
4
5
Perfectly
3
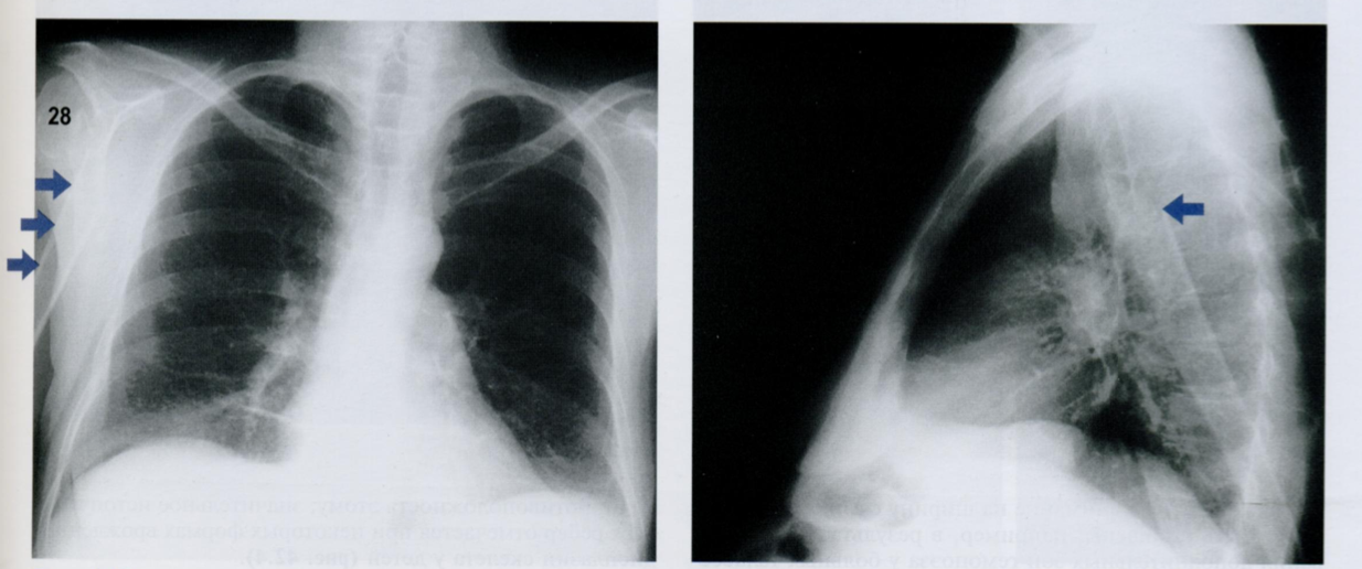
Q

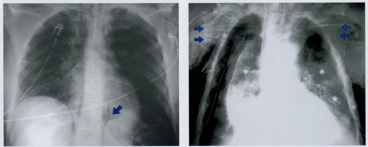
Как Вы оцените объекты отмеченные на снимке, принимая во внимание, что клиника и снимок никак нет коррелируют?

ЗПП - задняя прямая проекция и БП - боковая проекция

То есть, вероятнее всего, это артефакты. Какие?

A

Стрелками на первом снимке отмечены заплетенные и распущенные волосы, которые приводят к появлению артефатков, которые имитируют восходящий пневмомедиастинум или подкожную эмфизему.

На втором снимке мы видим ампутационную культю руки в БП, которая выглядит как веслообразное затемнение на уровне проекции верхнего средостения. Может имитировать новообразование.

How well did you know this?
1
Not at all
2
3
4
5
Perfectly
4
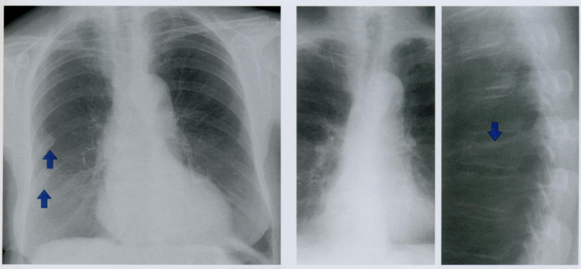
Q

Назовите причины пневмомедиастинума

5 групп причин

Наиболее частой причиной скопления воздуха в средостении является спонтанный пневмодиастинум (1 из 5 причин).

На данной карточке обратите внимание на просветления, отмеченные стрелками, которые свидетельствуют о наличии свободного воздуха в мягких тканях и средостении.

A

Спонтанный: крик, рвота, гипервентиляция, проба Вальсальвы, громкое пение

Травматический: переломы ребер, разрыв трахеи, баротравма, инородные тела

Неопластический: перфорация пищевода, эрозивные поражения дыхательных путей

Ятрогенный: ИВЛ, эндоскопическое исследование

Воспалительный: нисходящий заглоточный абсцесс

How well did you know this?
1
Not at all
2
3
4
5
Perfectly
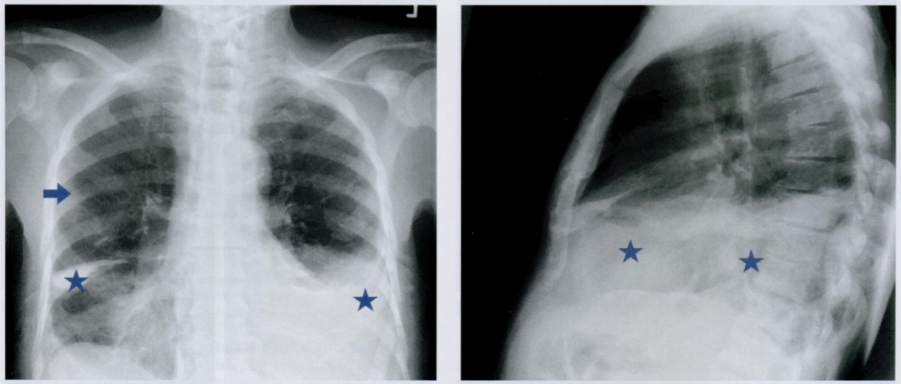
5
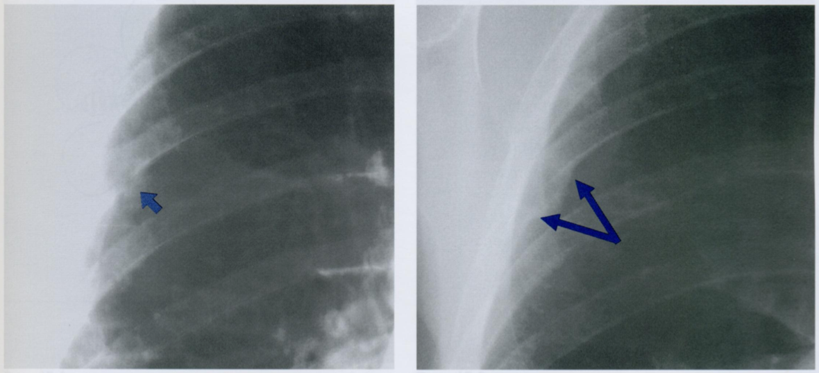
Q

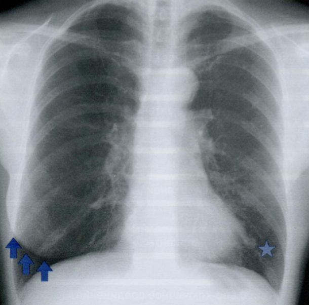
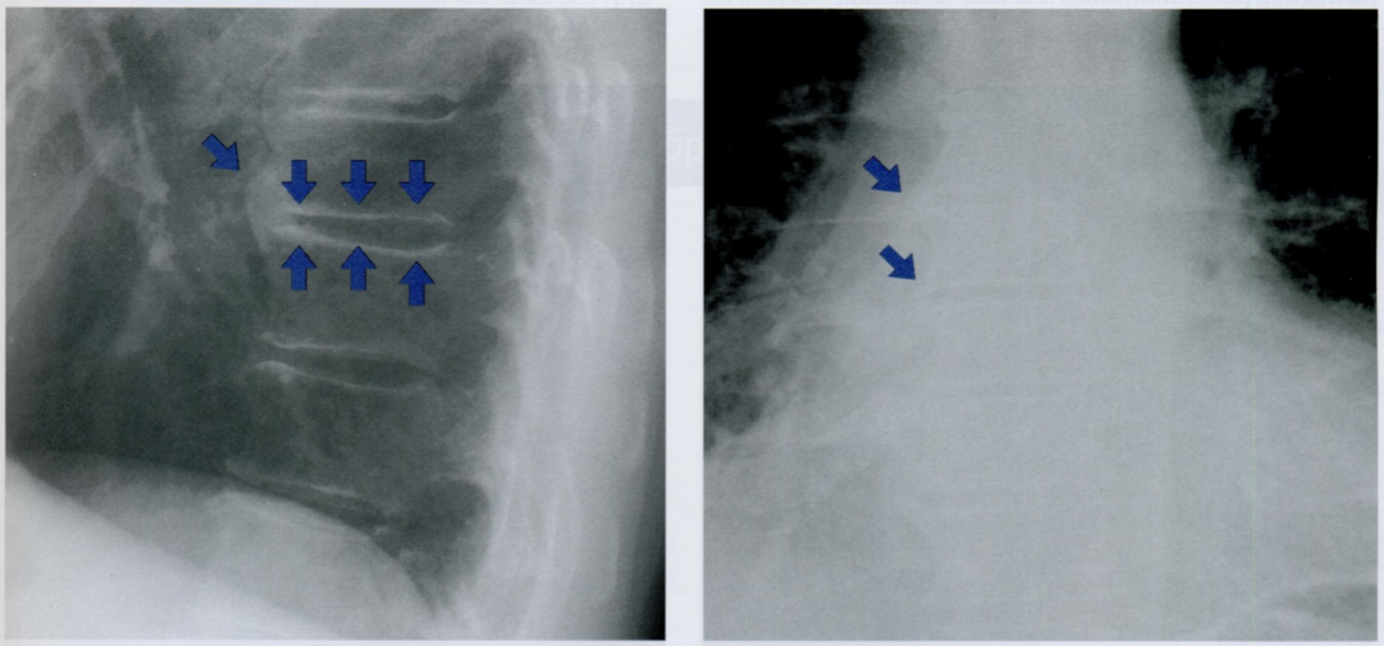
Назовите Rx признаки пневмомедиастинума

Что отмечено стрелками на снимке?

Важно помнить причины пневмомедиастинума (спонтанный, травматический, неопластический, ятрогенный и воспалительный) + Rx признаки

A

Признаки пневмомедиастинума:

1) эмфизема мягких тканей шеи
2) заметное просветление по контуру сердца или аорты, ограниченное снаружи париетальной плеврой (это то, что видно на данном снимке)
3) субкардиальное или ретрокардиальное скопление воздуха, четкая визуализация диафрагмы на всем протяжении
4) вилочковая железа у детей обнаруживается в виде «треугольного паруса» (у новорожденных - это норма)
5) пневмоторакс
6) пневмоперикард
7) воздух, окружающий ствол легочной артерии (в виде круга в боковой проекции)

На снимках воздух вдоль контуров сердца + воздух между волокон грудных мышц

How well did you know this?
1
Not at all
2
3
4
5
Perfectly
6
Q

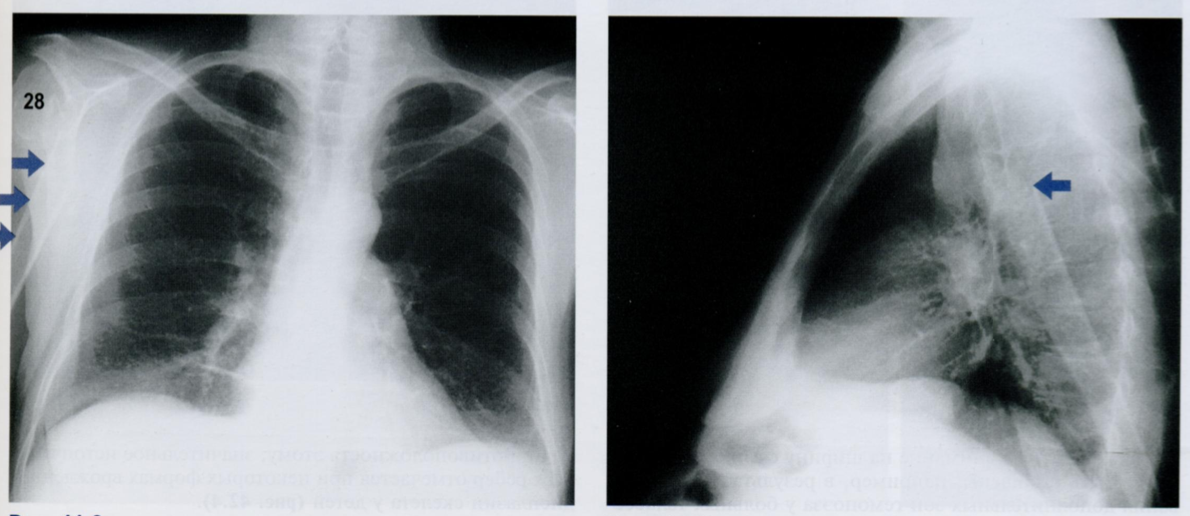
Оцените костные структуры, отмеченные стрелками.

Какие возрастные особенности реберного каркаса могут встречаться на снимках?

A

На снимке отмечены реберные дуги, что очевидно. Мы видим четкие верхние и нижние края ребер, при этом картинка может быть менее четкая в нижних и средних отделах грудной клетки, что считается нормой (зависит от хода рентгеновских лучей, так как картинка становится более четкой, когда луч проходит край ребра по касательной).

У лиц старше 15 лет в области костно-хрящевого соединения отмечаются обызвествления различной степени выраженности (стрелки на снимках). Обычно они симметричны и чаще встречаются у женщин, чем у мужчин.

How well did you know this?
1
Not at all
2
3
4
5
Perfectly
7
Q

Оцените структуры, отмеченные стрелками.

Какой синдром может быть ассоциирован с находками на первом снимке?

A

На первом снимке мы видим шейные ребра, которые мы чаще всего находим у 7 шейного позвонка. Чаще всего, это случайная находка, они бессимптомны, короткие и тонкие. Однако, шейные ребра могут быть причиной синдрома верхней апертуры грудной клетки, поэтому их наличие необходимо отмечать в описании снимка.

На втором снимке отмечена другая возможная случайная находка - это неполное сращение дуг позвонков. Выглядит как изолированный дефект в области шейногрудного или грудопоясничного перехода.

Синдромы верхней апертуры грудной клетки — это группа заболеваний, вызванных сдавлением нервов, артерий или крупных вен, проходящих из шеи в грудную клетку. При сдавлении нервов возникает ощущение боли и покалывания (парестезии) в кисти, шее, плече и руке. При сдавлении артерий руки становятся бледными и холодными. При сдавлении вен руки отекают, а покрывающая их кожа может выглядеть синюшной.

How well did you know this?
1
Not at all
2
3
4
5
Perfectly
8
Q

Основные концепты повреждения, которое отмечено на снимке.

Как выглядят типичные переломы и почему? Как лечить?

A

Перелом ключицы - наиболее частое повреждение скелета грудной клетки, обычно протекает без осложнений.

Может возникать при прямом воздействии (спортивные или автотравмы) или непрямом при падении на предплечье/плечо.

Типичная картина: косой или клиновидный перелом с средней части ключицы. При этом медиальный фрагмент смещается кверху из-за тяги грудинно-ключично-сосцевидной мышцы.

Лечение: консервативное, 8 образная повязка или косынка с фиксацией руки к туловищу, чтобы сместить медиальный фрагмент книзу.

При переломе ключицы +/- 1го-2го-3го ребер возможны повреждения плечевого сплетения.

На картинке изображена 8-образная повязка с направлением разворота лопаток для фиксации фрагмента ключицы книзу.

How well did you know this?
1
Not at all
2
3
4
5
Perfectly
9
Q

На снимке мы видим акромиально-ключичное соединение. Попытайтесь разобраться, какое повреждение тут можно увидеть.

Разрывы каких связок наиболее типичны в данной структуре (2)? Как выглядят на Rx снимке? Какие классификации данной травмы существуют?

Что мы видим на снимке b?

A

На снимке мы видим разрыв связок между ключицей и клювовидным отростком (посмотрите на картинке анатомию клювовидно-ключичной связки) или между ключицей и акромионом.

При этом сокращение грудинно-ключично-соцевидной мышцы тянет ключицу вверх, формируя видимую ступеньку клинически и на Rx (снимок “а”). При этом, если мы давим на ключицу, она опускается вниз и затем возвращается назад под тягой мышцы (симптом “клавиши пианино”).

Существуют классификация Тосси и Роквуда. Выполняют повторно снимок области, при этом пациент держит по 5 кг. гире в каждой руке для смещения акромиона вниз, и уже по изменениям/отсутствию изменений классифицируют перелом, и можно точнее понять, какие связки разорваны.

На снимке “b” мы видим фиксацию разрыва/перелома крючковидной пластиной.

How well did you know this?
1
Not at all
2
3
4
5
Perfectly
10
Q

Кратко охарактеризуйте данный вид перелома. Механизм травмы? У кого чаще всего возникает?

A

Переломы шейки плечевой кости обычно возникают при падении на руку или локоть, чаще всего это пожилая женщина с остеопенией. Диагностируются достаточно просто клинически и по Rx снимкам, и мы не имеем права пропускать такие переломы по невнимательности.

Мораль: внимательно осматриваем снимок, по алгоритму.

Обратим внимание, что в ЗПП проксимальный отломок плечевой кости смещен медиально.

Проксимальный отломок диафиза плечевой кости хорошо виден в БП.

Вспомним алгоритм осмотра снимка:

Проекция + качество
Грудная клетка: скелет + мягкие ткани
Диафрагма + контуры плевры
Средостение + корни легких
Паренхима
Инородные тела

How well did you know this?
1
Not at all
2
3
4
5
Perfectly
11
Q

Что Вы видите на снимке?

A

Перелом ребра на снимке выглядит как ступенька или прерывистость плотной кортикальной пластинки ребра.

Рентгенологический диагноз обычно не представляет затруднений (особенно с полными переломами и смещением костных отломков).

How well did you know this?
1
Not at all
2
3
4
5
Perfectly
12
Q

Что такое “узурация” ребер?

A

Узурация ребер - четко ограниченные участки остеолиза шириной 2-4 мм., которые обычно видны по нижнему краю боковых/заднебоковых сегментов ребер.

Вспомним, что именно по нижнему краю ребер проходят межреберные артерии.

Узурация появляется из-за механического сдавления расширенных межреберных артерий при коарктации аорты, когда эти артерии функционируют как коллатерали.

How well did you know this?
1
Not at all
2
3
4
5
Perfectly
13
Q

Обратите внимание на ширину ребер. Вам кажется что-то странным?

A

Конечно! Ребра на данном снимке утолщены.

Это может быть в результате формирования дополнительных зон гемопоэза у больных талассемией.

How well did you know this?
1
Not at all
2
3
4
5
Perfectly
14
Q

Обратите внимание на ширину ребер. Вам кажется что-то странным?

A

Конечно! Ребра выглядят очень тонкими и хрупкими.

Значительное истончение ребер может наблюдаться при некоторых врожденных дисплазиях скелета у детей.

How well did you know this?
1
Not at all
2
3
4
5
Perfectly
15
Q

Данный снимок выполнен у одного и того же пожилого пациента с интервалом в 3 месяца. Обратите внимание на неравномерное утолщения ребер, отмеченные стрелками.

Дайте характеристику находке. Какие структуры грудной клетки наиболее часто поражаются?

Как отличить данную находку от костной мозоли после перелома?

A

Гематогенные метастазы - наиболее часто встречающиееся опухоли скелета грудной клетки у пожилых людей.

Особенно подозрительны кости, которые содержат костный мозг - ребра, грудина и позвоночник.

На повторном снимке мы видим прогрессию кортикального дефекта и увеличение размера метастаза.

На снимке слева ниже для сравнения показано веретенообразное утолщение после перелома ребра (костная мозоль), которое не сопровождается остеолическими изменениями кости. Важно визуально отличать костные мозоли и метастазы на ребрах.

На правом снимке также представлены участки остеолиза на телах грудных позвонков +/- снижение их высоты (отмечено стрелкой). При этом эти изменения не видны в ЗПП, поэтому показана БП.

How well did you know this?
1
Not at all
2
3
4
5
Perfectly
16
Q

На какие два типа мы можем разделить костные метастазы, чтобы было удобнее искать первичную опухоль?

Какие опухоли характерны для каждого типа?

Какой тип метастазов характерен для рака почек?

Five Bees Like Pollen.

A

Остеолитические (лизис костной ткани): миеломная болезнь, рак легкого, молочной железы, щитовидной железы и почек (метастазы рака почек всегда остеолитические).

Остеобластические: молочная железа, медуллобластома головного мозга, рак легкого, рак желудка/толстой кишки/карциноид, рак мочевого пузыря, лимфома, предстательная железа.

Первичные опухоли с остеобластическими метастазами "Five Bees Like Pollen"

Смешанный литико-бластический тип метастазирования характерен для рака предстательной железы, молочной железы и опухолей ЖКТ.

17
Q

Внимательно рассмотрите снимок с метастазами (стрелочка) и плевральным выпотом (звездочка). Это случай поздней стадии рака. Оцените позвонки в БП.

Попытайтесь определить тип метастаза и предопложить источник первичной опухоли.

Помним про остеобластические, остеолитические и смешанные метатсазы.

A

На снимке представлен пример распространенного метастазирования в кости при раке предстательной железы в далеко зашедшей стадии.

Мы видим генерализованное диффузное увеличение рентгеновской плотности костей. Посмотрим на боковую проекцию, оценим позвонки. Такой позвоночник называют “с позвонками из слоновой кости”.

Стрелочкой отмечен изолированный очаг остеолиза. Такой смешанный литико-бластический тип метастазирования характерен для рака предстательной железы, молочной железы и опухолей ЖКТ. Звездочкой отмечен плевральный выпот.

18
Q

Оцените находки, отмеченные стрелками.

Опишите дегенеративные изменения, которые происходят в позвоночнике с возрастом.

A

После определенного возрасте в любой Rx мы можем найти дегенеративные изменения позвоночника. C возрастом, студенистое ядро в межпозвоночных дисках теряет эластичность.

На рентгеновских снимках отмечается снижение высоты межпозвоночных дисков (хондроз) и изменения прилежащих костных структур - остеохондроз со склерозом и неровном контуром (верикальные стрелки) замыкательных плaстинок тел прилежащих позвонков.

В результате развивается реактивный гиперостоз (косая стрелка), известный, как спондилезные костные разрастания, которые стабилизируют стареющий позвоночник.

19
Q

Оцените структуры, отмеченную стрелкой. Как называется данная связка?

Какое заболевание связано с обызвествлением и окостенением данной связки?

Ниже на испанском прочитайте вводную по enfermedad de Forestier-Rotes-Querol и на испанском назовите критерии DS. Эту карточку полезно просматривать много раз и выучить, потому что данное заболевание фигурирует в экзамене MIR и здесь представлена важная лексика для описания снимков.

Назовите criterios diagnósticos de hiperostosis anquilosante vertebral idiopática (enfermedad de Forestier-Rotes-Querol) на испанском языке.

La hiperostosis anquilosante vertebral idiopática no es una espondiloartritis, sino que es una entesopatía degenerativa más frecuente en varones >40 años. El curso de la enfermedad es crónico y su manifestación clínica más frecuente es la limitación de la movilidad vertebral, aunque también puede existir dolor cervico-dorso-lumbar. El daño radiológico es más frecuente en la columna dorsal, pero también se observa en las regiones cervical y lumbar. El tratamiento es conservador con analgesia y rehabilitación.

A

На передней поверхности позвоночника часто можно обнаружить обызвествление и окостенение передней продольной связки с участками гиперостоза.

Если эти изменения затрагивают, по меньшей мере, тела четырех позвонков и не связаны с другими дегенеративными изменениями межпозвоночных дисков (остеохондроз, пролапс), как при спондилоартропатиях, то можно ставить диагноз диффузного идиопатического костного гиперостоза, известного также как болезнь Форестье (Forestier-Rotes-Querol).

Заболевание чаще поражает грудопоясничный переход и нижние шейные позвонки.

Calcificación u osificación anterolateral de al menos cuatro cuerpos vertebrales contiguos. La osificación del ligamento vertebral común anterior es un hallazgo radiológico que debe correlacionarse con la enfermedad de Forestier-Rotes-Querol + preservación de la altura de los cuerpos vertebrales sin datos de discopatía degenerativa + ausencia de anquilosis ósea y sacroilitis al contrario que en la espondilitis anquilosante donde la sacroilitis es criterio diagnóstico imprescindible.

20
Q

Оцените позвоночный столб на снимке.

Дайте краткую характеристику находке.

A

Сколиоз - фиксированное боковое искривление позвоночника.

При этом отдельные тела позвонков повернуты по отношению друг к другу и менее подвижны в пораженном сегменте.

Кроме идиопатической формы, которая может возникать в любом возрасте, существуют вторичные формы, обусловленные инфекционным процессом, ревматоидными заболеваниями, травмой или метастатическими деформациями позвоночника.

21
Q

Оцените позвоночный столб на снимке.

Дайте краткую характеристику находке. Если данные изменения обнаруживаются в молодом возрасте, с каким заболевание необходимо провести дифференциальную диагностику?

A

Гиперкифоз - аномально усиленный изгиб в грудном отделе позвоночника. Он может быть врожденным, возрастным (данный снимок), а также вторичным вследствие различных заболеваний: рахита, анкилозирующего спрондилита., туберкулезного спондилита.

Если гиперкифоз обнаруживается у молодого человека, дифференциальную диагностику следует провести с пубертатным кифозом - болезнью Шойермана-Мау, когда кифоз грудного отдела позвоночника является ведущим симптомом.

Более поздние признаки включают волнистость краев замыкательных пластинок тел позвонков и образование узлов (грыж) Шморля. Узлы Шморля возникают в местах разрывов межпозвонковых дисков, заполнены тканью, подвергшейся хрящевой трансформации, и внедряются в середину или передний край верхней и нижней замыкательных пластинок тел позвонков.

Заболевание может прогрессировать до конечной стадии, при которой отмечается выраженная деформация тел позвонков.

22
Q

Оценка верхнего отдела брюшной полости.

Что Вы видите на снимке? Как метод диагностики явдяется более предпочтительным в данном случае?

Помимо изменений сердца, легких, мягких тканей и костных структур при Rx грудной клетки также следует обращать внимание на верхние отделы брюшной полости.

A

У пациентов с желчекаменной болезнью можно увидеть лишь рентгеноконтрастные конкременты.

В этой ситуации УЗИ является гораздо более чувствительным методом диагностики. Зато металлические клипсы (снимок справа) после оперативного вмешательства обнаруживаются достаточно легко.

Инородные тела, инструментарий и аппаратура в грудной полости подробно рассматриваются в карточках по инородным предметам.

23
Q

Оценка верхнего отдела брюшной полости. Что Вы видите на снимке?

Как называется данное устройство и при каких патологиях используется?

Помимо изменений сердца, легких, мягких тканей и костных структур при Rx грудной клетки также следует обращать внимание на верхние отделы брюшной полости.

A

В качестве примера инородного устройства в брюшной полости приведена пациентка после хирургического уменьшения входного отверстия желудка (желудочный бандаж) в связи с ожирением.

Клапанный механизм устройства приспособлен для индивидуальной регулировки внутреннего диаметра кольцевидного бандажа.

Инородные тела, инструментарий и аппаратура в грудной полости подробно рассматриваются в карточках по инородным предметам.